AUCTORES
Globalize your Research
Case Report | DOI: https://doi.org/10.31579/2692-9759/190
1Memorial Health Systems, Gulfport, MS, USA.
2Merit Health Wesley Health Center, Hattiesburg, MS, USA.
*Corresponding Author: Sri Harsha Kanuri, Merit Health Wesley Health Center, Hattiesburg, MS, USA.
Citation: Salman Bari, Bradley Lasseigne, Hema Edupuganti, Wayne Latack, Sarah Rashed. et al., (2026), Snowballing, Flaccid and Flabby Myocardium in the Framework of Bacteremia: Exploration of This Perplexing Conglomeration, Cardiology Research and Reports, 8(2); DOI:10.31579/2692-9759/190
Copyright: © 2026, Sri Harsha Kanuri. This is an open-access article distributed under the terms of the Creative Commons Attribution License, which permits unrestricted use, distribution, and reproduction in any medium, provided the original author and source are credited.
Received: 10 February 2026 | Accepted: 23 February 2026 | Published: 03 March 2026
Keywords: bacteremia; sepsis; ballooning of left heart; hypokinesis; congestive heart failure; takutsubo cardiomyopathy and atrial fibrillation
Introduction:
Takutsubo (TTS) cardiomyopathy is a syndrome characterized by apical ballooning of left ventricle along with transient hypokinesis. It is also referred to broken heart syndrome or stress cardiomyopathy. Although physical/emotional stressful event usually the most common predisposing factor, its eventuation in the context of ESBL bacteremia has not been reported in the literature. This outlandish relationship is presented in this clinical case and further debunked to assess its clinical significance.
Clinical Case:
77-yr-old female with PMH of CAD s/p stent, PAF, DM, CHF, GERD, HTN and HPL presented to the ER with chest pain and shortness of breath. Work up showed total CK:209, troponin :1672.9, & BNP: 12,700. Urinalysis revealed leukocyte esterase positive UTI. Echocardiogram uncovered severe global hypokinesis with sparing of the basal myocardium and EF = 25%. Physical examination showed + JVD, bilateral inspiratory crackles and irregularly irregular rhythm. CT chest showed pulmonary edema and pneumonia. She also developed acute hypoxic respiratory failure secondary to UTI-sepsis, and was transferred to ICU for further evaluation and management.
Treatment:
In ICU, she was managed with IV phenylephrine, IV antibiotics, IV diuretics (Vancomycin & Cefepime), and beta-blockers. As culture results came back positive as ESBL E. coli, Klebsiella pneumonia, Cefepime is replaced with Ertapenem (14 days). After 5-days, her symptoms resolved. Echocardiogram 5 weeks later revealed a moderately dilated left atrium with normal LV Function, EF 55%.
Takehome Message:
This clinical case emphasizes the unusual relationship between sepsis and TTS cardiomyopathy in elderly patients. Emotional stress, inflammation, estrogen deficiency and endothelial dysfunction are the prevailing risk factors. Spasmodically, sepsis comes into play where cytokine induced myocardial depression preponderates, thus paving the way for TTS. Elderly female presenting with chest pain and shortness of breath should undergo EKG, coronary angiography and echocardiography. Empiric IV antibiotics followed by culture specific antibiotics to trample the source of infection can potentially tweak the disease course of TTS. Apart from this, conservative management with GDMT, calcium channel blockers and anticoagulants should result in symptomatic relief within few days as disease process runs its due course and fizzles out. Efforts should be made to limit the use of cardiotoxic drugs that can stonewall the conventional disease process and digress from faster recovery of cardiac function. Follow up with serial imaging studies is recommended to monitor regional wall abnormalities, ejection fraction, valvular dysfunction and thrombus formation.
Stress cardiomyopathy or broken heart syndrome is represented by ballooning of the apical myocardium along with regional wall motion abnormalities [1]. According to American College of Cardiology, broken heart syndrome is classified as primary acquired cardiomyopathy[2]. Broken heart syndrome is conceived from the fact that severe emotional stressful event is galvanizing event for engendering myocardial damage in older age women[1]. It is crucial to comprehend the fact that, stress induced catecholamine surge in the blood is primarily accountable for provoking the myocardial wreckage in TTS[3]. Uncommonly, intracranial disorders such as stroke, anxiety and depression can stimulate brain-heart axis, instigate autonomic dysfunction and spawn myocardial stunning, there by laying the foundation for TTS[4]. Occasionally, sepsis can be encountered as an etiological factor, when cytokine burst can directly exert toxic effects on the heart muscle and incite TTS. TTS is a diagnosis of exclusion and there should be absence of coronary artery disease, atherosclerosis, myocarditis, dissection or coronary spasm. TTS is a reversible cardiomyopathy, where culmination of its typical clinical course results in recuperation of cardiac pump function to its physiological state within days to weeks[5]. Consequently, management of heart failure along with treatment of associated comorbidities would result in symptomatic resolution. It goes without saying that some clinical cases deviate from predictable trajectory, and thus endure high-speed disease progression and eventually suffer cardiac or extra-cardiac complications. It would be prudent to monitor these patients with serial echocardiography scans to detect recurrence after discharge.
This case is unique in the sense that, an unfathomable combination of sepsis and TTS has been rarely reported in the literature. By presenting this case, we would like to lay emphasis on this unlikely collaboration, so that clinicians will have heightened awareness for prompt evaluation and management, thus opening the doors for improved prognosis as well as optimal clinical outcomes.
A 77-year-old white female with a past medical history of coronary artery disease with a history of LAD stent in 2010, paroxysmal atrial flutter, diabetes, diastolic CHF, paroxysmal atrial fibrillation, GERD, GI bleeding, iron deficiency anemia, hypertension, and hyperlipidemia presented to the ER with complaints of chest pain and shortness of breath. She states that over the last week, she has felt short of breath and weak with exertion, and last night she became acutely short of breath and felt her heart racing too fast. The patient arrived on supplemental oxygen at an 8L nasal cannula. Due to increased work of breathing, the patient required initiation of BiPAP. The patient has a history of atrial fibrillation, which is treated with sotalol. She is not chronically anticoagulated due to a recent GI bleed and was planned for a Watchman device. She received a dose of furosemide in the ER and was transferred to the ICU. She is currently in atrial flutter with a controlled rate on amiodarone.
Vitals : Temp: 38.0 °C HR: 149 RR: 40 BP: 100/56 SpO2: 100% on BiPaP 16/6 Fio2 60% Neck: Supple. + JVD; Cardiovascular: +Irregular rate and rhythm; Respiratory: Lungs with basilar crackles bilaterally. Labs: WBC 15.89, hemoglobin 8.6, hematocrit 31.4, creatinine 0.7, potassium 4.6, lactic acid 5.21, total CK 209, troponin 1672.9, BNP 12,700 Urinalysis: leukocyte esterase large, nitrite positive, blood large, bacteria. CT Chest: Mild smooth interlobular septal line thickening in both lungs, consistent with mild interstitial pulmonary edema. Patchy Tree-in-bud opacities, ground-glass, and consolidation throughout both lungs, consistent with pneumonia.
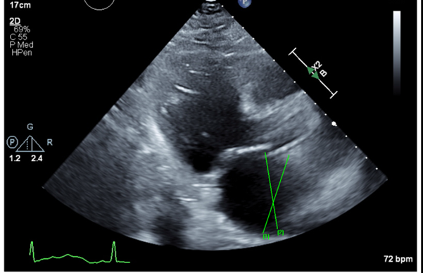
Echocardiogram 2 months ago: Mild MR, mildly dilated left atrium, mildly increased LV wall thickness, estimated EF of 60%. Echocardiogram today: Moderately dilated left atrium. There is severe global hypokinesis with sparing of the basal myocardium suggestive of Takutsubo cardiomyopathy, Estimated EF = 25%.
Patient was managed in the ICU with acute hypoxic respiratory failure secondary to Urosepsis and CHF Exacerbation, initiated on pressors with IV phenylephrine, antibiotic coverage with IV cefepime and vancomycin. Urine cultures: ESBL E. coli, Klebsiella pneumonia. Cefepime discontinued. Started on ertapenem based on sensitivities. Patient was managed with watchful diuresis for decompensated heart failure and remains in rate-controlled atrial fibrillation with beta-blockers. After 5 days of symptomatic management, the patient denied shortness of breath upon discharge. Oxygenating well on room air. Follow-up Chest x-ray: no focal consolidation, pulmonary vascular congestion, or changes. Patient transitioned to oral diuretics. Midline was placed before discharge. Plan to continue ertapenem for a complete course of 14 days. Echocardiogram 5 weeks later revealed a moderately dilated left atrium with normal LV Function, EF 55%.

Figure 1: Echocardiography on admission: Moderately dilated left atrium. There is severe global hypokinesis with sparing of the basal myocardium. Estimated EF = 25%. Previous echocardiography 2 months ago showed Mild MR, mildly dilated left atrium, mildly increased LV wall thickness, estimated EF of 60%.
We present a case where 70-year-old with PMH of CAD, PAF, DM, & CHF presented with chest pain and shortness of breath. Workup including CXR [pneumonia], urine analysis [ESBL E.Coli & Kliebsella UTI] and echocardiography [global hypokinesis and EF 25%] were promptly performed. Patient is managed with IV antibiotics, diuretics and beta-blockers for UTI, CHF and AFIB respective. After 5 days of symptomatic management, the symptoms resolved and patient is discharged. Echocardiography after 5 weeks showed normal LV function with EF 55%. This case represents a classic case of Takutsubo cardiomyopathy (TTS) in the setting of UTI-sepsis, which underwent spontaneous resolution within 5 weeks.
The TTS syndrome was first recognized in Japan in 1990, and name is derived from the octopus trap like pot used to catch octopuses by Japanese fisherman [6]. After its identification in Japan, first case of TTS presenting with chest pain, ECG and cardiac enzymes has been in detected in United States in 2003[7]. Emotional and physical stressful events as harbinger for TTS has been documented in 26.8% and 37.8?ses[8]. The most common age of presentation reported is 67.7 years[9]. It has more predilection to occur in females as compared to males [9:1][10]. There are some racial differences in susceptibility for TTS, with highest in Asians (57.2%) followed by Caucasians (40%) and other races (2.8%)[9].
In evaluation of 199,890 patients with TTS, 83% of them were older age postmenopausal women, with most of them ending up with complications including atrial fibrillation [20.7%], cardiac arrest [3.4%], congestive cardiac failure [35.9%], cardiogenic shock [6.6%] and stroke [5.3%][11]. The incidence of TTS was documented to be around 1-2% of acute coronary syndrome[12]. Out of all the patients admitted to hospital with acute coronary syndrome, TTS has been found in 2% of the cases[13]. With no specific therapies available to abort the disease progression, patients who come through unscathed during first episode of TTS, have higher recurrence at 6 months [1.2%] and 6 years [5%][13].
In 75-80% percentage of cases, there is apical ballooning and hypokinesis of the left ventricle, however atypical cases including biventricular, basal and focal are occasionally encountered[14, 15]. The clinical criteria for diagnosis of TTS includes occurrence of chest pain/shortness of breath following a severe stressful event with spilling of troponin into the blood circulation, ST-elevation/T-wave inversion, left ventricular dysfunction, regional wall motion abnormalities, hypokinesis of the left ventricle, and absence of coronary artery disease, myocarditis or pheochromocytoma[14]. Occasionally, right ventricular wall motion abnormalities are encountered, with apico-lateral, anterio-lateral and inferior areas effected along with pleural effusion[16].
Studies indicate that TTS has more proclivity to occur in females as compares to males, with the mean age of presentation being around 66 years [10]. TTS has been noticed in 2% of the ACS patients under coronary angiography in which ejection fraction has been suddenly relegated to less than 30%[17]. TTS has been in witnessed in 0.02% of hospitalizations in postmenopausal women with history of smoking, alcohol and hyperlipidemia[18].
TTS has the tendency to develop in patients with pre-existing cardiovascular disorders who are threatened with stressful scenarios. To shed light on these stressful situations, clinical researchers delineated that excessive emotional/physical stress [domestic abuse, death of a family member, financial loss & new medical diagnosis], estrogen deficiency, microvascular dysfunction, inflammatory disorders, spasm of coronary vessels, impaired myocardial fatty acid metabolism and aborted myocardial infarction [1, 19, 20]. Furthermore, other risk factors such as type D personality disorder, anxiety and depression are also documented in the literature. These subset of patients have heightened sympathetic drive and lower threshold for firing of sympathetic neurons in response to stressful events, thus making them best suited to establish TTS [21]. In these patients, neuro-cardiogenic stunning can spring up, where autonomic dysfunction provoked by neuropsychiatric disorders can catalyze left ventricular dysfunction, ECG changes and spilling of cardiac enzymes – reminiscent of TTS [3, 22]. Very rarely, consumption of sushi has been documented to instigate broken heart syndrome[23].
A TTS like syndrome is had been documented in clinical scenarios such as sepsis neurological conditions [seizures, stroke, transient ischemic attack, tumors, traumatic brain injury], pheochromocytoma, cancer, asthma, COPD, endoscopy, cardioversion, drugs [Cocaine, amphetamine, dopamine, dobutamine, epinephrine, and norepinephrine] and anesthesia [1, 24, 25]. Higher incidence of TTS in postmenopausal women can be attributed to estrogen deficiency. Estrogen loss lays the foundation for increased proclivity for developing TTS in these women due to loss of cardiac protective function offered by estrogen. To further enlighten this cardio-protective function, estrogen greases the wheels for sustenance of vasodilation while at the same time offering immunity against atherosclerosis and endothelial dysfunction[19]. Keeping that in mind, it is not surprising that postmenopausal women are more susceptible to bear the brunt of increased vasoconstriction, endothelial dysfunction in the setting of emotional stressors[26].
As the emotional stressors occur, they are sensed by the neocortex and limbic system (hippocampus and amygdala) which sends afferent fibers to the locus coeruleus located in the rostral pons. As locus coeruelus is activated, it then stimulates the hypothalamic-pituitary-adrenal axis and posterior hypothalamus, which becomes the primary motivation for adrenal medullary secretion of epinephrine and norepinephrine into the blood stream. The sympathetic nerve terminals in the heart muscles and coronary circulation release epinephrine and norepinephrine, thus activating the α and β-adrenergic receptors in the heart. Studies have shown that there is increased circulating levels of catecholamines along with increased concentration of the catecholamines at the myocardial interface [27, 28]. This latter finding can be explained by a synergic effect of enhanced exocytosis from the presynaptic cleft along with decreased reuptake from uptake transporter [29]. Studies report that, levels of epinephrine, norepinephrine and dopamine levels can reach as high as 3 times above upper limit of normal [27]. As this cathecholamine surge transpires, they provoke beta-2 adrenargic receptor transmutation, where Gs [stimulatory type of G-protein] is revamped into Gi [inhibitory type of G-protein], due to which negative inotrophy can be the final consequence [30]. On top of these, enhanced sarcolemmal permeability, free radical overproduction, decreased anti-oxidant synthesis, calcium overloand and enhanced lipid mobility might also contribute to bolster the myocardial injury[31]. Studies have shown that excess stimulation of beta-1/2 adrenergic receptor induced catecholamine surge has resulted in widespread cardiomyocyte death with sparing of the cardiac stem cells as well as myocardial insulin resistance[9, 32, 33] These cellular changes can be the radical stimulus for eventuation of left ventricular dysfunction in TTS.
Catecholamine surge in the myocardial milieu can provoke endothelial dysfunction, which is more pronounced in estrogen deficient postmenopausal women exposed to severe emotional/physical stress[34]. This can be harbinger for inciting imbalance in vasocontriction and vasodilation in the coronary vasculature, an underlying factor for triggering myocardial ischemia and transient left ventricular dysfunction in TTS patients [29]. To corroborate these findings, estrogen supplementation in animals blunted the stress induced hypothalamic-pituitary-adrenal axis induced sympathetic outflow, spiking in blood pressure& heart rate, attenuated apical LV ballooning and upregulated the cardio-protective peptides including atrial natriuretic peptide and heat shock protein-70 (HSP-70)[20, 35].
Excess catecholamines in the blood can increase heart rate and contractibility, due to which myocardial ischemia can be the culminating by-product secondary to supply-demand discordance [36]. Over and above that, catocholamine surge in blood circulation might set in motion a cluster of metabolic changes in the heart muscle including lipid heaping in cardiomyocytes, uncoupling of oxidative phosphorylation, electrolyte depletion, mineral deficiencies [Zinc & Selenium] and free radical toxicity[37, 38]
Direct release of catecholamines from the sympathetic nerve terminals onto the surface of myocardial fibres an trigger contract band necrosis due to cAMP mediated calcium overload which is characterized by interstitial inflammatory infiltrate, dense eosinophilic transverse bands and hypercontracted sarcomeres[39]. As compared to pheochromocytoma, TTS has less severe catocholamine elevation, which gives rise to less cardiac damage, mild spiking of cardiac markers and lack of late enhancement in cardiac magnetic resonance imaging.[40, 41]. A significant proportion of patients were also found to have coronary spasm and microvascular dysfunction, a synergistic and lethal combination that catalyzes the progression of cardiac dysfunction in TTS [42-44].
In our patient, sepsis induced TTS is the likely clinical scenario. It is been speculated that, sepsis induces TTS though multifarious mechanisms including, increased coronary circulation release of pro-inflammatory cytokines (TNF-α, IL-1 & IL-6) triggered myocardial slowing through nitric oxide, reduced calcium sensitivity of myocardium and mitochondrial dysfunction[45].
In a typical clinical profile, patients are exposed to very stressful event such as major life event, earthquake, or COVID-19 pandemic before the symptoms comes to light [1, 14, 46]. However, not all patients fit in this category, as some patients might have low-level stressful event that has been going on for quite a bit of time. Nevertheless, with a catastrophic stressful event, superfluous cathecholamine surge in the blood stream triggering cardiac injury will precede the symptom onset. Resultantly, patients without typical cardiac risk factors present with symptoms mimicking acute coronary syndrome such as chest pain, dyspnea[1, 46].
It is not unforeseen that the disease progression marches forwards swiftly in few vulnerable patients, thus TTS exposes itself with severe manifestations such as heart failure, cardiogenic shock, tachyarrhythmias, bradyarrhythmias, mitral regurgitation, cardiac arrest[1]. Apical ballooning of the left ventricular apex gives rise to excess pooling of blood, a water shed movement that sets in motion ominous events starting with stagnation, activation of pro-coagulant pathways and deactivation of anti-coagulant pathways, where synergistic intersection of these pathways ultimately culminates in thrombus formation. This LV thrombus being motile, can be thrusted forward in the direction of blood flow, thus showing heightened propensity to embolize into the brain circulation. These antecedent events make the patient more prone to present with transient ischemic event or stroke[1].
The diagnosis of TTS can be performed by various tests including cardiac biomarkers, EKG, echocardiography, coronary angiography and magnetic resonance imaging. It goes without saying that, TTS is officially diagnosed when reversible systolic dysfunction that occurs following stressful event gradually pulls through and rehabilitates to near normal function, without evidence of coronary spasm, dissection, atherosclerosis or thromboembolism[47, 48]. Although it is been argued that rejuvenation occurs over 6-8 weeks, it usually does not follow any specific time frame with case-by-case variation more evident.
On the account of ventricular dilation, stretching and mild-moderate necrosis, there can be elevation of cardiac markers including creatinine kinase-MB [CKMB], troponin, brain natriuretic peptide [BNP] and N-terminal inactive molecule [NT-proBNP] [20]. The amount of release of cardiac enzymes into the blood is usually proportional to the extent of cardiac muscle injury and pump dysfunction. The levels of troponin elevation is usually at a lesser magnitude as compared to myocardial infarction due to presence of mild or absent myocardial necrosis in TTS [49, 50]. In contraposition, the intensity of BNP elevation is generally greater than myocardial infarction secondary to omnipresence of higher amplitude of myocardial stretch and chamber dilation in TTS [51, 52].
As TTS presents with similar clinical presentation as acute coronary syndrome, EKG changes that comes to light can range from ST elevation, T wave in version and left bundle branch block [53, 54]. Some clinical researchers categorized into three stages namely stage I [ST elevation] in initial few hours, stage II in 1-6 days [T wave inversion, QTc prolongation, Torsade de pointes and ventricular tachycardia] and stage III [Resolution of T wave and QTc changes] in weeks to months[46, 53, 54]. Apart from these, J wave, fragmented QRS and low-voltage QRS complexes are occasionally encountered, although not common [46, 55].
Echocardiography is usually performed can be useful in delineating location [apical, biventricular, basal or focal], extent, severity, presence of thrombus, left ventricular outflow tract obstruction, pericardial effusion, right ventricular involvement, and mitral regurgitation[1, 19, 46]. By the way of explanation, myocardial edema and increased LV wall thickness are primarily responsible for bringing to pass NSTEMI related wall motion abnormalities[56].
Examination of 145 patients between 1998-2012 revealed that apical ballooning along with hypokinesis is present 90% patients, with most of them having apical nipple sign[57]. In conjunction with this, there is well-conserved small territory of contractile activity located in the most apical portion of left ventricle, labelled as apical nipple sign[57]. As TTS closely mimics ST elevation myocardial infarction, presence of apical nipple sign can be a striking distinguishing feature between these two clinical entities[57].
Cardiac magnetic resonance imaging (cMRI) with gadolinium contrast might offer clues to the diagnosis of TTS by unearthing a fibrotic band at the junction of hyperkinetic and hypokinetic ventricular wall, a culmination that unfolds due to conflicting contractile forces impinging on the ventricular wall[46]. Moreover, myocardial edema, right ventricular involvement, efflux of collagen into the extracellular matrix, and pericardial effusion are also not uncommon findings[46, 56]. cMRI can be utilized for drawing a distinction for broken heart syndrome from apical hypertrophic cardiomyopathy by prolonged T1 mapping times, absence of late gadolinium enhancement and extracellular volume bulging to collagen accumulation[56].
Histopathological examination of myocardium in TTS might reveal contraction band necrosis, myocardial lysis, focal fibrosis and inflammatory infiltrate based in the stage and severity of the disease process [1, 19].
Since TTS presents with similar symptoms with acute coronary syndrome, an initial coronary angiography should be performed to rule our thrombosis, embolism, atherosclerosis, spasm or dissection[46]. In the absence of these abnormalities, the presence of non-infarct pattern on cardiac MRI points towards TTS[46]. In this clinical scenario, (GDMT) guideline directed medical therapy including aspirin, beta-blocker, ACE inhibitor, calcium channel blockers, and lipid lowering agent should be prescribed for 3-6 months in hemodynamically stable patients [1, 9, 19, 58]. In a small subset of patients who have a history of thromboembolism or thrombus, supplementing anticoagulation therapy should improve therapeutic outcomes[1]. As QTc prolongation is a more to develop during hospitalization, a cautious prudence warrants avoiding QTc prolonging drugs and regular ECG monitoring[59, 60].
Resurrection of cardiac enzymes, EKG changes and LV function usually takes placed within few days to few weeks[9]. On top of this, therapy should be tailored towards treatment of congestive heart failure, and cardiogenic shock, associated with TTS, which might entail inotropes, intra-aortic balloon pump, and left ventricular assist devices [1, 14]. As the patients gets stabilized, upon discharge, these patients should be advised to undergo serial cardiac imaging studies to evaluate ejection fraction, regional wall motion abnormalities, and thrombus formation[1].
Although TTS is self-limiting and resolves within few weeks, some patients have protracted clinical course, thus making them liable to complications. With that in mind, hypotension, right ventricular involvement with pleural effusion, atrial/ventricular tachyarrhythmias, mitral regurgitation, left ventricular outflow tract obstruction, left ventricular mural thrombus, rupture of ventricular thrombus polymorphic ventricular tachycardia, torsade de pointes, cardiac arrest, and systemic thromboembolism are reported in the literature[14, 46]. Resultantly, a part of management entails delivering symptomatic therapy directed towards these complications.
Patients with TTS are deemed to have favorable prognosis as near normal recovery of cardiac function is a universal phenomenon rather than an exception. Efforts should be made to limit the use of cardiotoxic drugs that can stonewall the usual disease process and digress from faster recovery of cardiac function. With being said, it is conceivable that 95% of the patients recuperate to regain their LV pump function within 6-8 weeks[61]. However, few patients experience recurrence of 1-2%, thus increasing their mortality and morbidity[14, 62]. In those where disease process marches forward swiftly, there is increased propensity of mortality 2-3% [20]. According to Kashou, A.H. et al broken heart syndrome should not be presumed be a benign disorder, rather a profound pathological disorder where short-term myocardial dysfunction during the first hit might kick off concealed shattering of ventricular electrical conduction system, thus setting the stage for ventricular arrhythmias during second hit in the near future[63].
In patients with severe TTS, complications that can expected can range from cardiogenic shock, congestive heart failure, cardiac arrest, respiratory arrest, acute renal failure, stroke, TIA and sepsis [10, 64, 65]. Acute neurological disorders, male sex, right ventricular involvement, moderate-to-severe mitral regurgitation, EF <45%, very high BNP levels, and troponin (> 10-fold) are considered as harbingers for worse clinical outcomes and prognosis[4, 66, 67]. Specifically, the all-cause mortality and adverse cardiovascular events occur in 5.6% and 9?ses [19]. Clinical case studies suggest that even in cases who completely recover from first episode of TTS can experience lingering chest pain, lethargy and shortness for a substantial period (>2 years), a prognostic factor that is associated with long-term morbidity and mortality[46].
Take-home messages
Ethical Approval and Consent to participate: Not Applicable
Consent for publication: Consent taken
Availability of data and materials: Not Applicable
Competing interests: Not Applicable
Funding: Not Applicable
Acknowledgements: Not applicable.
Authors' contributions: Conceptualization, S.H.K&S.B; Methodology, S.H.K&S.B; Software, N.G.; Validation, N.A; Formal Analysis, N.A.; Investigation S.H.K & S.B; Resources, N.A.; Data Curation, N.A.; Writing– Original Draft Preparation, S.H.K,&S.B; Writing– Review & Editing, , S.H.K, BL. HE W.L.&S.B.; Visualization, S.H.K & SB.; Supervision SHK: Project Administration: SHK.
Clearly Auctoresonline and particularly Psychology and Mental Health Care Journal is dedicated to improving health care services for individuals and populations. The editorial boards' ability to efficiently recognize and share the global importance of health literacy with a variety of stakeholders. Auctoresonline publishing platform can be used to facilitate of optimal client-based services and should be added to health care professionals' repertoire of evidence-based health care resources.
Journal of Clinical Cardiology and Cardiovascular Intervention The submission and review process was adequate. However I think that the publication total value should have been enlightened in early fases. Thank you for all.
Journal of Women Health Care and Issues By the present mail, I want to say thank to you and tour colleagues for facilitating my published article. Specially thank you for the peer review process, support from the editorial office. I appreciate positively the quality of your journal.
Journal of Clinical Research and Reports I would be very delighted to submit my testimonial regarding the reviewer board and the editorial office. The reviewer board were accurate and helpful regarding any modifications for my manuscript. And the editorial office were very helpful and supportive in contacting and monitoring with any update and offering help. It was my pleasure to contribute with your promising Journal and I am looking forward for more collaboration.
We would like to thank the Journal of Thoracic Disease and Cardiothoracic Surgery because of the services they provided us for our articles. The peer-review process was done in a very excellent time manner, and the opinions of the reviewers helped us to improve our manuscript further. The editorial office had an outstanding correspondence with us and guided us in many ways. During a hard time of the pandemic that is affecting every one of us tremendously, the editorial office helped us make everything easier for publishing scientific work. Hope for a more scientific relationship with your Journal.
The peer-review process which consisted high quality queries on the paper. I did answer six reviewers’ questions and comments before the paper was accepted. The support from the editorial office is excellent.
Journal of Neuroscience and Neurological Surgery. I had the experience of publishing a research article recently. The whole process was simple from submission to publication. The reviewers made specific and valuable recommendations and corrections that improved the quality of my publication. I strongly recommend this Journal.
Dr. Katarzyna Byczkowska My testimonial covering: "The peer review process is quick and effective. The support from the editorial office is very professional and friendly. Quality of the Clinical Cardiology and Cardiovascular Interventions is scientific and publishes ground-breaking research on cardiology that is useful for other professionals in the field.
Thank you most sincerely, with regard to the support you have given in relation to the reviewing process and the processing of my article entitled "Large Cell Neuroendocrine Carcinoma of The Prostate Gland: A Review and Update" for publication in your esteemed Journal, Journal of Cancer Research and Cellular Therapeutics". The editorial team has been very supportive.
Testimony of Journal of Clinical Otorhinolaryngology: work with your Reviews has been a educational and constructive experience. The editorial office were very helpful and supportive. It was a pleasure to contribute to your Journal.
Dr. Bernard Terkimbi Utoo, I am happy to publish my scientific work in Journal of Women Health Care and Issues (JWHCI). The manuscript submission was seamless and peer review process was top notch. I was amazed that 4 reviewers worked on the manuscript which made it a highly technical, standard and excellent quality paper. I appreciate the format and consideration for the APC as well as the speed of publication. It is my pleasure to continue with this scientific relationship with the esteem JWHCI.
This is an acknowledgment for peer reviewers, editorial board of Journal of Clinical Research and Reports. They show a lot of consideration for us as publishers for our research article “Evaluation of the different factors associated with side effects of COVID-19 vaccination on medical students, Mutah university, Al-Karak, Jordan”, in a very professional and easy way. This journal is one of outstanding medical journal.
Dear Hao Jiang, to Journal of Nutrition and Food Processing We greatly appreciate the efficient, professional and rapid processing of our paper by your team. If there is anything else we should do, please do not hesitate to let us know. On behalf of my co-authors, we would like to express our great appreciation to editor and reviewers.
As an author who has recently published in the journal "Brain and Neurological Disorders". I am delighted to provide a testimonial on the peer review process, editorial office support, and the overall quality of the journal. The peer review process at Brain and Neurological Disorders is rigorous and meticulous, ensuring that only high-quality, evidence-based research is published. The reviewers are experts in their fields, and their comments and suggestions were constructive and helped improve the quality of my manuscript. The review process was timely and efficient, with clear communication from the editorial office at each stage. The support from the editorial office was exceptional throughout the entire process. The editorial staff was responsive, professional, and always willing to help. They provided valuable guidance on formatting, structure, and ethical considerations, making the submission process seamless. Moreover, they kept me informed about the status of my manuscript and provided timely updates, which made the process less stressful. The journal Brain and Neurological Disorders is of the highest quality, with a strong focus on publishing cutting-edge research in the field of neurology. The articles published in this journal are well-researched, rigorously peer-reviewed, and written by experts in the field. The journal maintains high standards, ensuring that readers are provided with the most up-to-date and reliable information on brain and neurological disorders. In conclusion, I had a wonderful experience publishing in Brain and Neurological Disorders. The peer review process was thorough, the editorial office provided exceptional support, and the journal's quality is second to none. I would highly recommend this journal to any researcher working in the field of neurology and brain disorders.
Dear Agrippa Hilda, Journal of Neuroscience and Neurological Surgery, Editorial Coordinator, I trust this message finds you well. I want to extend my appreciation for considering my article for publication in your esteemed journal. I am pleased to provide a testimonial regarding the peer review process and the support received from your editorial office. The peer review process for my paper was carried out in a highly professional and thorough manner. The feedback and comments provided by the authors were constructive and very useful in improving the quality of the manuscript. This rigorous assessment process undoubtedly contributes to the high standards maintained by your journal.
International Journal of Clinical Case Reports and Reviews. I strongly recommend to consider submitting your work to this high-quality journal. The support and availability of the Editorial staff is outstanding and the review process was both efficient and rigorous.
Thank you very much for publishing my Research Article titled “Comparing Treatment Outcome Of Allergic Rhinitis Patients After Using Fluticasone Nasal Spray And Nasal Douching" in the Journal of Clinical Otorhinolaryngology. As Medical Professionals we are immensely benefited from study of various informative Articles and Papers published in this high quality Journal. I look forward to enriching my knowledge by regular study of the Journal and contribute my future work in the field of ENT through the Journal for use by the medical fraternity. The support from the Editorial office was excellent and very prompt. I also welcome the comments received from the readers of my Research Article.
Dear Erica Kelsey, Editorial Coordinator of Cancer Research and Cellular Therapeutics Our team is very satisfied with the processing of our paper by your journal. That was fast, efficient, rigorous, but without unnecessary complications. We appreciated the very short time between the submission of the paper and its publication on line on your site.
I am very glad to say that the peer review process is very successful and fast and support from the Editorial Office. Therefore, I would like to continue our scientific relationship for a long time. And I especially thank you for your kindly attention towards my article. Have a good day!
"We recently published an article entitled “Influence of beta-Cyclodextrins upon the Degradation of Carbofuran Derivatives under Alkaline Conditions" in the Journal of “Pesticides and Biofertilizers” to show that the cyclodextrins protect the carbamates increasing their half-life time in the presence of basic conditions This will be very helpful to understand carbofuran behaviour in the analytical, agro-environmental and food areas. We greatly appreciated the interaction with the editor and the editorial team; we were particularly well accompanied during the course of the revision process, since all various steps towards publication were short and without delay".
I would like to express my gratitude towards you process of article review and submission. I found this to be very fair and expedient. Your follow up has been excellent. I have many publications in national and international journal and your process has been one of the best so far. Keep up the great work.
We are grateful for this opportunity to provide a glowing recommendation to the Journal of Psychiatry and Psychotherapy. We found that the editorial team were very supportive, helpful, kept us abreast of timelines and over all very professional in nature. The peer review process was rigorous, efficient and constructive that really enhanced our article submission. The experience with this journal remains one of our best ever and we look forward to providing future submissions in the near future.
I am very pleased to serve as EBM of the journal, I hope many years of my experience in stem cells can help the journal from one way or another. As we know, stem cells hold great potential for regenerative medicine, which are mostly used to promote the repair response of diseased, dysfunctional or injured tissue using stem cells or their derivatives. I think Stem Cell Research and Therapeutics International is a great platform to publish and share the understanding towards the biology and translational or clinical application of stem cells.
I would like to give my testimony in the support I have got by the peer review process and to support the editorial office where they were of asset to support young author like me to be encouraged to publish their work in your respected journal and globalize and share knowledge across the globe. I really give my great gratitude to your journal and the peer review including the editorial office.
I am delighted to publish our manuscript entitled "A Perspective on Cocaine Induced Stroke - Its Mechanisms and Management" in the Journal of Neuroscience and Neurological Surgery. The peer review process, support from the editorial office, and quality of the journal are excellent. The manuscripts published are of high quality and of excellent scientific value. I recommend this journal very much to colleagues.
Dr.Tania Muñoz, My experience as researcher and author of a review article in The Journal Clinical Cardiology and Interventions has been very enriching and stimulating. The editorial team is excellent, performs its work with absolute responsibility and delivery. They are proactive, dynamic and receptive to all proposals. Supporting at all times the vast universe of authors who choose them as an option for publication. The team of review specialists, members of the editorial board, are brilliant professionals, with remarkable performance in medical research and scientific methodology. Together they form a frontline team that consolidates the JCCI as a magnificent option for the publication and review of high-level medical articles and broad collective interest. I am honored to be able to share my review article and open to receive all your comments.
“The peer review process of JPMHC is quick and effective. Authors are benefited by good and professional reviewers with huge experience in the field of psychology and mental health. The support from the editorial office is very professional. People to contact to are friendly and happy to help and assist any query authors might have. Quality of the Journal is scientific and publishes ground-breaking research on mental health that is useful for other professionals in the field”.
Dear editorial department: On behalf of our team, I hereby certify the reliability and superiority of the International Journal of Clinical Case Reports and Reviews in the peer review process, editorial support, and journal quality. Firstly, the peer review process of the International Journal of Clinical Case Reports and Reviews is rigorous, fair, transparent, fast, and of high quality. The editorial department invites experts from relevant fields as anonymous reviewers to review all submitted manuscripts. These experts have rich academic backgrounds and experience, and can accurately evaluate the academic quality, originality, and suitability of manuscripts. The editorial department is committed to ensuring the rigor of the peer review process, while also making every effort to ensure a fast review cycle to meet the needs of authors and the academic community. Secondly, the editorial team of the International Journal of Clinical Case Reports and Reviews is composed of a group of senior scholars and professionals with rich experience and professional knowledge in related fields. The editorial department is committed to assisting authors in improving their manuscripts, ensuring their academic accuracy, clarity, and completeness. Editors actively collaborate with authors, providing useful suggestions and feedback to promote the improvement and development of the manuscript. We believe that the support of the editorial department is one of the key factors in ensuring the quality of the journal. Finally, the International Journal of Clinical Case Reports and Reviews is renowned for its high- quality articles and strict academic standards. The editorial department is committed to publishing innovative and academically valuable research results to promote the development and progress of related fields. The International Journal of Clinical Case Reports and Reviews is reasonably priced and ensures excellent service and quality ratio, allowing authors to obtain high-level academic publishing opportunities in an affordable manner. I hereby solemnly declare that the International Journal of Clinical Case Reports and Reviews has a high level of credibility and superiority in terms of peer review process, editorial support, reasonable fees, and journal quality. Sincerely, Rui Tao.
Clinical Cardiology and Cardiovascular Interventions I testity the covering of the peer review process, support from the editorial office, and quality of the journal.
Clinical Cardiology and Cardiovascular Interventions, we deeply appreciate the interest shown in our work and its publication. It has been a true pleasure to collaborate with you. The peer review process, as well as the support provided by the editorial office, have been exceptional, and the quality of the journal is very high, which was a determining factor in our decision to publish with you.
The peer reviewers process is quick and effective, the supports from editorial office is excellent, the quality of journal is high. I would like to collabroate with Internatioanl journal of Clinical Case Reports and Reviews journal clinically in the future time.
Clinical Cardiology and Cardiovascular Interventions, I would like to express my sincerest gratitude for the trust placed in our team for the publication in your journal. It has been a true pleasure to collaborate with you on this project. I am pleased to inform you that both the peer review process and the attention from the editorial coordination have been excellent. Your team has worked with dedication and professionalism to ensure that your publication meets the highest standards of quality. We are confident that this collaboration will result in mutual success, and we are eager to see the fruits of this shared effort.
Dear Dr. Jessica Magne, Editorial Coordinator 0f Clinical Cardiology and Cardiovascular Interventions, I hope this message finds you well. I want to express my utmost gratitude for your excellent work and for the dedication and speed in the publication process of my article titled "Navigating Innovation: Qualitative Insights on Using Technology for Health Education in Acute Coronary Syndrome Patients." I am very satisfied with the peer review process, the support from the editorial office, and the quality of the journal. I hope we can maintain our scientific relationship in the long term.
Dear Monica Gissare, - Editorial Coordinator of Nutrition and Food Processing. ¨My testimony with you is truly professional, with a positive response regarding the follow-up of the article and its review, you took into account my qualities and the importance of the topic¨.
Dear Dr. Jessica Magne, Editorial Coordinator 0f Clinical Cardiology and Cardiovascular Interventions, The review process for the article “The Handling of Anti-aggregants and Anticoagulants in the Oncologic Heart Patient Submitted to Surgery” was extremely rigorous and detailed. From the initial submission to the final acceptance, the editorial team at the “Journal of Clinical Cardiology and Cardiovascular Interventions” demonstrated a high level of professionalism and dedication. The reviewers provided constructive and detailed feedback, which was essential for improving the quality of our work. Communication was always clear and efficient, ensuring that all our questions were promptly addressed. The quality of the “Journal of Clinical Cardiology and Cardiovascular Interventions” is undeniable. It is a peer-reviewed, open-access publication dedicated exclusively to disseminating high-quality research in the field of clinical cardiology and cardiovascular interventions. The journal's impact factor is currently under evaluation, and it is indexed in reputable databases, which further reinforces its credibility and relevance in the scientific field. I highly recommend this journal to researchers looking for a reputable platform to publish their studies.
Dear Editorial Coordinator of the Journal of Nutrition and Food Processing! "I would like to thank the Journal of Nutrition and Food Processing for including and publishing my article. The peer review process was very quick, movement and precise. The Editorial Board has done an extremely conscientious job with much help, valuable comments and advices. I find the journal very valuable from a professional point of view, thank you very much for allowing me to be part of it and I would like to participate in the future!”
Dealing with The Journal of Neurology and Neurological Surgery was very smooth and comprehensive. The office staff took time to address my needs and the response from editors and the office was prompt and fair. I certainly hope to publish with this journal again.Their professionalism is apparent and more than satisfactory. Susan Weiner
My Testimonial Covering as fellowing: Lin-Show Chin. The peer reviewers process is quick and effective, the supports from editorial office is excellent, the quality of journal is high. I would like to collabroate with Internatioanl journal of Clinical Case Reports and Reviews.
My experience publishing in Psychology and Mental Health Care was exceptional. The peer review process was rigorous and constructive, with reviewers providing valuable insights that helped enhance the quality of our work. The editorial team was highly supportive and responsive, making the submission process smooth and efficient. The journal's commitment to high standards and academic rigor makes it a respected platform for quality research. I am grateful for the opportunity to publish in such a reputable journal.
My experience publishing in International Journal of Clinical Case Reports and Reviews was exceptional. I Come forth to Provide a Testimonial Covering the Peer Review Process and the editorial office for the Professional and Impartial Evaluation of the Manuscript.
I would like to offer my testimony in the support. I have received through the peer review process and support the editorial office where they are to support young authors like me, encourage them to publish their work in your esteemed journals, and globalize and share knowledge globally. I really appreciate your journal, peer review, and editorial office.
Dear Agrippa Hilda- Editorial Coordinator of Journal of Neuroscience and Neurological Surgery, "The peer review process was very quick and of high quality, which can also be seen in the articles in the journal. The collaboration with the editorial office was very good."
I would like to express my sincere gratitude for the support and efficiency provided by the editorial office throughout the publication process of my article, “Delayed Vulvar Metastases from Rectal Carcinoma: A Case Report.” I greatly appreciate the assistance and guidance I received from your team, which made the entire process smooth and efficient. The peer review process was thorough and constructive, contributing to the overall quality of the final article. I am very grateful for the high level of professionalism and commitment shown by the editorial staff, and I look forward to maintaining a long-term collaboration with the International Journal of Clinical Case Reports and Reviews.
To Dear Erin Aust, I would like to express my heartfelt appreciation for the opportunity to have my work published in this esteemed journal. The entire publication process was smooth and well-organized, and I am extremely satisfied with the final result. The Editorial Team demonstrated the utmost professionalism, providing prompt and insightful feedback throughout the review process. Their clear communication and constructive suggestions were invaluable in enhancing my manuscript, and their meticulous attention to detail and dedication to quality are truly commendable. Additionally, the support from the Editorial Office was exceptional. From the initial submission to the final publication, I was guided through every step of the process with great care and professionalism. The team's responsiveness and assistance made the entire experience both easy and stress-free. I am also deeply impressed by the quality and reputation of the journal. It is an honor to have my research featured in such a respected publication, and I am confident that it will make a meaningful contribution to the field.
"I am grateful for the opportunity of contributing to [International Journal of Clinical Case Reports and Reviews] and for the rigorous review process that enhances the quality of research published in your esteemed journal. I sincerely appreciate the time and effort of your team who have dedicatedly helped me in improvising changes and modifying my manuscript. The insightful comments and constructive feedback provided have been invaluable in refining and strengthening my work".
I thank the ‘Journal of Clinical Research and Reports’ for accepting this article for publication. This is a rigorously peer reviewed journal which is on all major global scientific data bases. I note the review process was prompt, thorough and professionally critical. It gave us an insight into a number of important scientific/statistical issues. The review prompted us to review the relevant literature again and look at the limitations of the study. The peer reviewers were open, clear in the instructions and the editorial team was very prompt in their communication. This journal certainly publishes quality research articles. I would recommend the journal for any future publications.
Dear Jessica Magne, with gratitude for the joint work. Fast process of receiving and processing the submitted scientific materials in “Clinical Cardiology and Cardiovascular Interventions”. High level of competence of the editors with clear and correct recommendations and ideas for enriching the article.
We found the peer review process quick and positive in its input. The support from the editorial officer has been very agile, always with the intention of improving the article and taking into account our subsequent corrections.
My article, titled 'No Way Out of the Smartphone Epidemic Without Considering the Insights of Brain Research,' has been republished in the International Journal of Clinical Case Reports and Reviews. The review process was seamless and professional, with the editors being both friendly and supportive. I am deeply grateful for their efforts.
To Dear Erin Aust – Editorial Coordinator of Journal of General Medicine and Clinical Practice! I declare that I am absolutely satisfied with your work carried out with great competence in following the manuscript during the various stages from its receipt, during the revision process to the final acceptance for publication. Thank Prof. Elvira Farina
Dear Jessica, and the super professional team of the ‘Clinical Cardiology and Cardiovascular Interventions’ I am sincerely grateful to the coordinated work of the journal team for the no problem with the submission of my manuscript: “Cardiometabolic Disorders in A Pregnant Woman with Severe Preeclampsia on the Background of Morbid Obesity (Case Report).” The review process by 5 experts was fast, and the comments were professional, which made it more specific and academic, and the process of publication and presentation of the article was excellent. I recommend that my colleagues publish articles in this journal, and I am interested in further scientific cooperation. Sincerely and best wishes, Dr. Oleg Golyanovskiy.
Dear Ashley Rosa, Editorial Coordinator of the journal - Psychology and Mental Health Care. " The process of obtaining publication of my article in the Psychology and Mental Health Journal was positive in all areas. The peer review process resulted in a number of valuable comments, the editorial process was collaborative and timely, and the quality of this journal has been quickly noticed, resulting in alternative journals contacting me to publish with them." Warm regards, Susan Anne Smith, PhD. Australian Breastfeeding Association.
Dear Jessica Magne, Editorial Coordinator, Clinical Cardiology and Cardiovascular Interventions, Auctores Publishing LLC. I appreciate the journal (JCCI) editorial office support, the entire team leads were always ready to help, not only on technical front but also on thorough process. Also, I should thank dear reviewers’ attention to detail and creative approach to teach me and bring new insights by their comments. Surely, more discussions and introduction of other hemodynamic devices would provide better prevention and management of shock states. Your efforts and dedication in presenting educational materials in this journal are commendable. Best wishes from, Farahnaz Fallahian.
Dear Maria Emerson, Editorial Coordinator, International Journal of Clinical Case Reports and Reviews, Auctores Publishing LLC. I am delighted to have published our manuscript, "Acute Colonic Pseudo-Obstruction (ACPO): A rare but serious complication following caesarean section." I want to thank the editorial team, especially Maria Emerson, for their prompt review of the manuscript, quick responses to queries, and overall support. Yours sincerely Dr. Victor Olagundoye.
Dear Ashley Rosa, Editorial Coordinator, International Journal of Clinical Case Reports and Reviews. Many thanks for publishing this manuscript after I lost confidence the editors were most helpful, more than other journals Best wishes from, Susan Anne Smith, PhD. Australian Breastfeeding Association.
Dear Agrippa Hilda, Editorial Coordinator, Journal of Neuroscience and Neurological Surgery. The entire process including article submission, review, revision, and publication was extremely easy. The journal editor was prompt and helpful, and the reviewers contributed to the quality of the paper. Thank you so much! Eric Nussbaum, MD
Dr Hala Al Shaikh This is to acknowledge that the peer review process for the article ’ A Novel Gnrh1 Gene Mutation in Four Omani Male Siblings, Presentation and Management ’ sent to the International Journal of Clinical Case Reports and Reviews was quick and smooth. The editorial office was prompt with easy communication.
Dear Erin Aust, Editorial Coordinator, Journal of General Medicine and Clinical Practice. We are pleased to share our experience with the “Journal of General Medicine and Clinical Practice”, following the successful publication of our article. The peer review process was thorough and constructive, helping to improve the clarity and quality of the manuscript. We are especially thankful to Ms. Erin Aust, the Editorial Coordinator, for her prompt communication and continuous support throughout the process. Her professionalism ensured a smooth and efficient publication experience. The journal upholds high editorial standards, and we highly recommend it to fellow researchers seeking a credible platform for their work. Best wishes By, Dr. Rakhi Mishra.
Dear Jessica Magne, Editorial Coordinator, Clinical Cardiology and Cardiovascular Interventions, Auctores Publishing LLC. The peer review process of the journal of Clinical Cardiology and Cardiovascular Interventions was excellent and fast, as was the support of the editorial office and the quality of the journal. Kind regards Walter F. Riesen Prof. Dr. Dr. h.c. Walter F. Riesen.
Dear Ashley Rosa, Editorial Coordinator, International Journal of Clinical Case Reports and Reviews, Auctores Publishing LLC. Thank you for publishing our article, Exploring Clozapine's Efficacy in Managing Aggression: A Multiple Single-Case Study in Forensic Psychiatry in the international journal of clinical case reports and reviews. We found the peer review process very professional and efficient. The comments were constructive, and the whole process was efficient. On behalf of the co-authors, I would like to thank you for publishing this article. With regards, Dr. Jelle R. Lettinga.
Dear Clarissa Eric, Editorial Coordinator, Journal of Clinical Case Reports and Studies, I would like to express my deep admiration for the exceptional professionalism demonstrated by your journal. I am thoroughly impressed by the speed of the editorial process, the substantive and insightful reviews, and the meticulous preparation of the manuscript for publication. Additionally, I greatly appreciate the courteous and immediate responses from your editorial office to all my inquiries. Best Regards, Dariusz Ziora
Dear Chrystine Mejia, Editorial Coordinator, Journal of Neurodegeneration and Neurorehabilitation, Auctores Publishing LLC, We would like to thank the editorial team for the smooth and high-quality communication leading up to the publication of our article in the Journal of Neurodegeneration and Neurorehabilitation. The reviewers have extensive knowledge in the field, and their relevant questions helped to add value to our publication. Kind regards, Dr. Ravi Shrivastava.
Dear Clarissa Eric, Editorial Coordinator, Journal of Clinical Case Reports and Studies, Auctores Publishing LLC, USA Office: +1-(302)-520-2644. I would like to express my sincere appreciation for the efficient and professional handling of my case report by the ‘Journal of Clinical Case Reports and Studies’. The peer review process was not only fast but also highly constructive—the reviewers’ comments were clear, relevant, and greatly helped me improve the quality and clarity of my manuscript. I also received excellent support from the editorial office throughout the process. Communication was smooth and timely, and I felt well guided at every stage, from submission to publication. The overall quality and rigor of the journal are truly commendable. I am pleased to have published my work with Journal of Clinical Case Reports and Studies, and I look forward to future opportunities for collaboration. Sincerely, Aline Tollet, UCLouvain.
Dear Ms. Mayra Duenas, Editorial Coordinator, International Journal of Clinical Case Reports and Reviews. “The International Journal of Clinical Case Reports and Reviews represented the “ideal house” to share with the research community a first experience with the use of the Simeox device for speech rehabilitation. High scientific reputation and attractive website communication were first determinants for the selection of this Journal, and the following submission process exceeded expectations: fast but highly professional peer review, great support by the editorial office, elegant graphic layout. Exactly what a dynamic research team - also composed by allied professionals - needs!" From, Chiara Beccaluva, PT - Italy.
Dear Maria Emerson, Editorial Coordinator, we have deeply appreciated the professionalism demonstrated by the International Journal of Clinical Case Reports and Reviews. The reviewers have extensive knowledge of our field and have been very efficient and fast in supporting the process. I am really looking forward to further collaboration. Thanks. Best regards, Dr. Claudio Ligresti
Dear Chrystine Mejia, Editorial Coordinator, Journal of Neurodegeneration and Neurorehabilitation. “The peer review process was efficient and constructive, and the editorial office provided excellent communication and support throughout. The journal ensures scientific rigor and high editorial standards, while also offering a smooth and timely publication process. We sincerely appreciate the work of the editorial team in facilitating the dissemination of innovative approaches such as the Bonori Method.” Best regards, Dr. Matteo Bonori.
I recommend without hesitation submitting relevant papers on medical decision making to the International Journal of Clinical Case Reports and Reviews. I am very grateful to the editorial staff. Maria Emerson was a pleasure to communicate with. The time from submission to publication was an extremely short 3 weeks. The editorial staff submitted the paper to three reviewers. Two of the reviewers commented positively on the value of publishing the paper. The editorial staff quickly recognized the third reviewer’s comments as an unjust attempt to reject the paper. I revised the paper as recommended by the first two reviewers.
Dear Maria Emerson, Editorial Coordinator, Journal of Clinical Research and Reports. Thank you for publishing our case report: "Clinical Case of Effective Fetal Stem Cells Treatment in a Patient with Autism Spectrum Disorder" within the "Journal of Clinical Research and Reports" being submitted by the team of EmCell doctors from Kyiv, Ukraine. We much appreciate a professional and transparent peer-review process from Auctores. All research Doctors are so grateful to your Editorial Office and Auctores Publishing support! I amiably wish our article publication maintained a top quality of your International Scientific Journal. My best wishes for a prosperity of the Journal of Clinical Research and Reports. Hope our scientific relationship and cooperation will remain long lasting. Thank you very much indeed. Kind regards, Dr. Andriy Sinelnyk Cell Therapy Center EmCell
Dear Editorial Team, Clinical Cardiology and Cardiovascular Interventions. It was truly a rewarding experience to work with the journal “Clinical Cardiology and Cardiovascular Interventions”. The peer review process was insightful and encouraging, helping us refine our work to a higher standard. The editorial office offered exceptional support with prompt and thoughtful communication. I highly value the journal’s role in promoting scientific advancement and am honored to be part of it. Best regards, Meng-Jou Lee, MD, Department of Anesthesiology, National Taiwan University Hospital.
Dear Editorial Team, Journal-Clinical Cardiology and Cardiovascular Interventions, “Publishing my article with Clinical Cardiology and Cardiovascular Interventions has been a highly positive experience. The peer-review process was rigorous yet supportive, offering valuable feedback that strengthened my work. The editorial team demonstrated exceptional professionalism, prompt communication, and a genuine commitment to maintaining the highest scientific standards. I am very pleased with the publication quality and proud to be associated with such a reputable journal.” Warm regards, Dr. Mahmoud Kamal Moustafa Ahmed
Dear Maria Emerson, Editorial Coordinator of ‘International Journal of Clinical Case Reports and Reviews’, I appreciate the opportunity to publish my article with your journal. The editorial office provided clear communication during the submission and review process, and I found the overall experience professional and constructive. Best regards, Elena Salvatore.
Dear Mayra Duenas, Editorial Coordinator of ‘International Journal of Clinical Case Reports and Reviews Herewith I confirm an optimal peer review process and a great support of the editorial office of the present journal
Dear Editorial Team, Clinical Cardiology and Cardiovascular Interventions. I am really grateful for the peers review; their feedback gave me the opportunity to reflect on the message and impact of my work and to ameliorate the article. The editors did a great job in addition by encouraging me to continue with the process of publishing.
Dear Cecilia Lilly, Editorial Coordinator, Endocrinology and Disorders, Thank you so much for your quick response regarding reviewing and all process till publishing our manuscript entitled: Prevalence of Pre-Diabetes and its Associated Risk Factors Among Nile College Students, Sudan. Best regards, Dr Mamoun Magzoub.
International Journal of Clinical Case Reports and Reviews is a high quality journal that has a clear and concise submission process. The peer review process was comprehensive and constructive. Support from the editorial office was excellent, since the administrative staff were responsive. The journal provides a fast and timely publication timeline.
Dear Maria Emerson, Editorial Coordinator of International Journal of Clinical Case Reports and Reviews, What distinguishes International Journal of Clinical Case Report and Review is not only the scientific rigor of its publications, but the intellectual climate in which research is evaluated. The submission process is refreshingly free of unnecessary formal barriers and bureaucratic rituals that often complicate academic publishing without adding real value. The peer-review system is demanding yet constructive, guided by genuine scientific dialogue rather than hierarchical or authoritarian attitudes. Reviewers act as collaborators in improving the manuscript, not as gatekeepers imposing arbitrary standards. This journal offers a rare balance: high methodological standards combined with a respectful, transparent, and supportive editorial approach. In an era where publishing can feel more burdensome than research itself, this platform restores the original purpose of peer review — to refine ideas, not to obstruct them Prof. Perlat Kapisyzi, FCCP PULMONOLOGIST AND THORACIC IMAGING.
Dear Grace Pierce, International Journal of Clinical Case Reports and Reviews I appreciate the opportunity to review for Auctore Journal, as the overall editorial process was smooth, transparent and professionally managed. This journal maintains high scientific standards and ensures timely communications with authors, which is truly commendable. I would like to express my special thanks to editor Grace Pierce for his constant guidance, promt responses, and supportive coordination throughout the review process. I am also greatful to Eleanor Bailey from the finance department for her clear communication and efficient handling of all administrative matters. Overall, my experience with Auctore Journal has been highly positive and rewarding. Best regards, Sabita sinha
Dear Mayra Duenas, Editorial Coordinator of the journal IJCCR, I write here a little on my experience as an author submitting to the International Journal of Clinical Case Reports and Reviews (IJCCR). This was my first submission to IJCCR and my manuscript was inherently an outsider’s effort. It attempted to broadly identify and then make some sense of life’s under-appreciated mysteries. I initially had responded to a request for possible submissions. I then contacted IJCCR with a tentative topic for a manuscript. They quickly got back with an approval for the submission, but with a particular requirement that it be medically relevant. I then put together a manuscript and submitted it. After the usual back-and-forth over forms and formality, the manuscript was sent off for reviews. Within 2 weeks I got back 4 reviews which were both helpful and also surprising. Surprising in that the topic was somewhat foreign to medical literature. My subsequent updates in response to the reviewer comments went smoothly and in short order I had a series of proofs to evaluate. All in all, the whole publication process seemed outstanding. It was both helpful in terms of the paper’s content and also in terms of its efficient and friendly communications. Thank you all very much. Sincerely, Ted Christopher, Rochester, NY.