AUCTORES
Globalize your Research
Case Report | DOI: https://doi.org/10.31579/2690-4861/519
1 Oncological Surgeon. Centro Oncológico de Antioquia. Colombia.
2 Chest surgeon. Oncological Surgeon. Centro Oncológico de Antioquia. Colombia.
3 General Surgeon. Centro Oncológico de Antioquia. (COA). Fellow in oncological surgery. Universidad de Antioquia, Colombia.
4 General Residente Surgery. Centro Oncológico de Antioquia. Colombia.
5 Nutritionist. Oncological surgery and nutritional support group. Centro Oncológico de Antioquia. Colombia.
6 General medicine. Oncological Surgery and nutritional support group. Centro Oncológico de Antioquia. Colombia.
*Corresponding Author: Luis Alberto Chinchilla Trigos, Chest surgeon. Oncological Surgeon. Centro Oncológico de Antioquia. Colombia.
Citation: José LQ González, Luis AC Trigos, Maya CV, Juliana Mesa, Laura Ortiz, et al, (2024), Primary Malignant Melanoma of the Esophagus, Surgical Management. Case Report and Literature Review, International Journal of Clinical Case Reports and Reviews, 19(1); DOI:10.31579/2690-4861/519
Copyright: © 2024, Luis Alberto Chinchilla Trigos. This is an open-access article distributed under the terms of the Creative Commons Attribution License, which permits unrestricted use, distribution, and reproduction in any medium, provided the original author and source are credited.
Received: 12 August 2024 | Accepted: 06 September 2024 | Published: 26 September 2024
Keywords: melanin; melanocytes; melanosis; melanoma; lymph nodes; cancer; FDG PET-CT
More than 100 years after the first record of esophageal melanoma in the literature, made by Baur in 1906, which was finally considered metastasis and not a primary malignant melanoma of the esophagus (MMPE), little is known about this pathology, with no overall 5-year survival rate. At the time of presentation of this case in 2022, the literature recorded approximately 400 cases of primary malignant melanoma of the esophagus, which corresponds to 0.2% of all esophageal neoplasms and, in terms of melanoma presentation sites, it occupies last place 0.5 to 1%, only preceded by anal canal melanoma. With the aim of contributing to the global casuistry, we present this case report of a 59-year-old woman with a primary malignant melanoma of the distal thoracic esophagus, treated at the Antioquia Oncology Center (COA). Envigado, Antioquia, Colombia, in light of the best evidence available in the literature and the scientific technical resources available at the institution.
Melanoma is defined as a tumour originating in melanocytes, cells that produce melanin (pigment) and nevic cells (proliferation of pigmented cells). Melanoma can arise anywhere in the body, wherever melanocytes are found and by far the skin, it is the place where it most commonly occurs, followed by uveal melanoma, melanoma of the mucous membranes of the head and neck, digestive tract and genitourinary mucosa [1,2]. In all these locations, although they share the name of malignant melanoma (cancer, due to its local infiltrative capacity, potential lymphatic lymphatic dissemination, and distant metastatic hematogenous lymphatic dissemination), they are different entities from their neoplastic genesis, risk factors, biological behavior, management, and prognosis [3]. Although the mucous membranes can be the site of metastasis of skin melanoma, the epithelium of the mucous membranes can also be the primary origin of melanoma, despite the low melanin that originates in it. Primary malignant melanoma of the mucosa of the aero-digestive tract is rare, as opposed to the large extension of the hollow viscera and there is only a grouping of the most commonly reported locations, melanoma of the anal, rectal and esophageal canal, which represent 0.5 to 2.0% of all melanomas in the body, and increasingly, they cease to be anecdotal [4].
The mucosa of the esophagus is made up of a non-keratinized stratified squamous epithelium, which rests on a basement membrane that separates it from the lamina propria, rich in lymphoid cells. De La Pava and later Ohashi, demonstrated the presence of melanocytes in the esophageal mucosa, in up to 8% of the population studied [5,6]. Melanocytosis or melanosis (areas of pigmentation) of the esophageal mucosa is a benign condition, due to the increase of melanin granules in the cytoplasm of the melanocyte of the basement membrane, also considered a precursor lesion of malignancy in 30% of cases. In primary malignant melanoma of the esophagus (MMPE) the cellular behavior of malignancy is evident, atypia, cellular, promising nucleoli and increased mitosis [7]. The incidence of MMPE is 0.0036 cases per million population, 0.1%-0.2% of all esophageal neoplasms [8,9]. The prognosis of MMPE is generally poor, with no overall survival of more than 5 years due to high regional lymph node involvement and distant metastatic 80% and 40%, respectively, at diagnosis [10].
The symptoms for MMPE are similar to those of benign conditions, gastroesophageal reflux, esophagitis, and less similar to dysphagia generated by squamous cell tumors and adenocarcinomas, in which endoluminal growth since its debut, requires upper gastrointestinal endoscopy and tumor identification; therefore, in the case of MMPE, its endoscopic identification is usually due to incidental findings of hyperpigmented lesions. in the esophageal lumen, which alert to suspicion [11, 12].
The sensitivity of endoscopic biopsies reaches 80% for the histological confirmation of MMPE, and is underdiagnosed in 15%, confusing it with a poorly differentiated carcinoma of the esophagus, especially cases of amelanocytic melanoma, which are approximately 26.9% of cases. This makes immunohistochemistry, S100, HMB-45, SOX 10 and Melan-A markers essential. The diagnostic criteria for primary melanoma of the esophagus are histological and clinical demonstration and the impossibility of demonstrating another possible site of primary melanoma, ahead in frequency [13, 14].
A 59-year-old female, resident of Medellín, Fibromyalgia as the only personal history and pancreatic cancer in the mother as a family history. Consultation for epigastralgia and heartburn of a year and a half of evolution, without weight loss, the esophagus-gastro-duodenoscopy evidences, in the esophageal mucosa a longitudinal hyperpigmented macula at 30 cm from the dental arch, which extends up to 32 cm, with areas that become discretely raised, without significant decrease in esophageal lumen, very suggestive of melanoma. The biopsy report indicates a melanocytic lesion suspicious of melanoma; positive HMB-45, MELAN-A, SOX-10 immunohistochemistry stains confirm this.
Endoscopic ultrasonography (EUS) reports extensive melanocytic elevated lesion in the distal esophagus, with involvement of 50% of the circumference and 20% of the lumen; in ultrasound vision, hypoechogenic lesion involving from the second echolayer (muscularis mucosa) to the fourth echolayer (muscularis propria) contacting the adventitia in a central segment, without calcifications or cystic degeneration, measuring 12 x 6 mm with a length of 20 mm and with the presence of a 6.4 mm aortic lymph node; considering advanced neoplasm of the distal esophagus compatible with primary esophageal melanoma uT3-uN0-umM.
CT-FDG PET (positron emission tomography with fluorodeoxyglucose) showed hypermetabolic thickening, in the distal third of the esophagus with 4.5 SUVmax (units of metabolic value), without extraesophageal extension, lymph node or other distant hypermetabolic lesions.
The patient's general conditions are good, with ECOG 0 (Eastern Cooperative Oncology Group) non-smoking, sedentary, with a body mass index (BMI) of 23 kg/m2, good nutritional status. Thus, meeting criteria of resectability and operability for radical esophagectomy and gastric ascent, using the Mc Kewon technique (abdominal-thoracic and cervical approach) [8].
In the first instance, the thoracic time approach is performed by right thoracoscopy with the intention of ruling out advanced unresectable or metastatic disease that may be underdiagnosed by imaging. We continued with a careful dissection of the esophagus in the posterior mediastinum, for which we sectioned the azygos vein prior to its entry into the inferior vena cava, using mechanical suture. Dissection also helps identify and preserve the chest duct. With this, we achieve ease for non-traumatic removal of the esophagus, minimize the risk of chylose fistula, in addition to preparing the space in the posterior mediastinum for gastric ascent, when the abdominal and cervical approach is continued. We continued with the mediastinal emptying of the at-risk lymph node stations, 2R – 4R – 3P – 3A – 7- 8 – 9R and 10R. (Figure 1-4).

Figure 1. Thoracic time of esophagectomy. The left photograph shows right thoracoscopy, esophageal exposure and dissection in the posterior mediastinum. On the right illustration for the anatomical correlation taken from adult chest surgery second edition. David J. Sugarbaker. 2015.
Photographic archive. Centro Oncológico de Antioquia. (COA)

Figure 2. Thoracic time of esophagectomy. The photographs on the left, right thoracoscopy view, esophageal exposure and dissection. Photo archive. On the right, illustration for the anatomical correlation taken from adult chest surgery second edition. David J. Sugarbaker. 2015.
Photographic archive. Centro Oncológico de Antioquia. (COA)

Figure 3. Thoracic time of esophagectomy. The photograph on the right shows right thoracoscopy, exposure and dissection of the upper mediastinal esophagus with exposure of mediastinal lymph nodes, prevascular and retrotracheal stations. On the left, illustration for the anatomical correlation taken from adult chest surgery second edition. David J. Sugarbaker. 2015.
Photographic archive. Centro Oncológico de Antioquia. (coa)

Figure 4. Thoracic time of esophagectomy. The photograph on the right shows the systematic mediastinal emptying performed for the patient. It is illustrated on paper and sent with these references to the pathology laboratory. On the left, representation of the gaglionic stations at risk and emptying target for esophageal melanoma. Taken from Thoracic Surgery in Adults Second Edition. David J. Sugarbaker. 2015.
Photographic archive. Centro Oncológico de Antioquia. (coa)
The second surgical stage was advanced via laparotomy for the gastric tube. The "tubulization" of the stomach is made with the greater curvature, making gastric section from proximal, at the level of the gastric fundus below the cardia, to guarantee greater length of the gastric tube, while providing safe margins on the gastroesophageal junction. The irrigation of the new gastric tube with the right and left gastroepiploic artery is guaranteed by extreme care of the greater omentum and preservation of the small gastric vessels at the level of the angularis incisure, for the gastric antrum coming from the right gastric artery. (Figures 5 and 6).

Figure 5. The photograph on the right shows the patient's triple approach, cervical, thoracic and abdominal, to control the same portions of the esophagus, removing the esophagus via the abdomen once mediastinal and cervical release has been achieved. On the left, illustration for the anatomical correlation taken from adult chest surgery second edition. David J. Sugarbaker. 2015.
Photographic archive. Centro Oncológico de Antioquia. (coa)

Figure 6. In the photograph on the right, creation of the gastric tube, through “tubulization” of the stomach with the greater curvature. Irrigation of the new gastric tube with the left gastroepiploic tube is guaranteed, for the ascent and replacement of the esophagus. The white dotted line exposes all the use of the greater curvature of the stomach to gain greater length. The illustration on the left shows how the section recommends from proximal, immediately after the gastroesophageal junction, note how to be careful with the preservation of gastric vessels at the level of the incisura angularis to preserve irrigation. Taken from adult chest surgery second edition. David J. Sugarbaker. 2015.
Photographic archive. Centro Oncológico de Antioquia. (coa)
By means of a left cervicotomy, the cervical esophagus is exposed, here we make a section of the esophagus, and we tie a long thread that serves as a guide for the removal of the esophagus via the abdomen and also for the ascent of the gastric tube through its traction, again via cervical. We performed a terminus-lateral anastomosis of the gastric esophagus, at the level of the neck with manual suturing and left a cervical drain. (Figure 7).

Figure 7. In the photograph on the right, gastric tube, “neoesophagus”. Note the prioritization and extreme care of the omentum that protects the greater curvature of the stomach and with it the right and left gastro-epilois that guarantees irrigation. In our team we omitted piloproplastica on the left correlation of gastric rise. Illustration taken from Operative Thoracic Surgery. Edited by Larry R Kaiser MD. FIFTH EDITION. 2006 Edward Arnold (Publishers).
Photographic archive. Centro Oncológico de Antioquia. (coa)
The total surgical time was 3 hours with estimated bleeding of 500cc without complications. He did not require red blood cell transfusion or vasopressor support. The time for monopulmonary ventilation was 45 minutes, immediate postoperative extubation, clinical surveillance in the intensive care unit, early initiation of peripheral parenteral nutrition (PPN) and assisted early ambulation. On the fourth postoperative day, a chest CT scan, with esophageal protocol, routinely, ruled out mediastinal anastomotic leakage, pleural or pulmonary complication. She started a liquid diet with tolerance and removal of the right chest tube.
On the eighth postoperative day, the patient presented tachycardia, signs of deep surgical site infection (ISO) in the neck, due to pus leaking from the left cervical drain, empirical antibiotic therapy was initiated, oral treatment was suspended, and the nutritional intake was continued by total parenteral (TPN). The elevated amylase in the drain confirms saliva, concluding low-output cervical esophageal anastomotic fistula, we continued conservative management, consisting of cervical drain fistula cannulation, broad-spectrum antibiotic therapy and exclusive TPN. Two weeks after the diagnosis of the fistula, its production ceased, a liquefied diet began, TPN was dismantled and he was discharged on the 26th postoperative day.
The pathology report identifies involvement by invasive melanoma, epithelioid type (mucosal melanoma). Tumor size of 3 x 1 cm, without ulceration, invading up to the submucosa, with high mitotic activity, with up to 38 mitoses in 10 fields of high magnification, no perineural invasion, no lymphovascular invasion, no necrosis, no intratumoral lymphocytes, no satelitosis. Resection margins were negative and wide
proximal, distal and radial to more than 3.5 cm. Associated melanoma in situ was found. In lymph node dissection, 27 lymph nodes were identified, 3 of them with metastatic involvement, two in the right cardial station and one in the minor curvature. The largest nodal tumor deposit was 6 mm, with extra-nodal extension present, of 3 mm. Immunohistochemistry S-100, HMB-45, Melan-A, SOX-10 were positive. Non-mutated BRAF biological profile. (Figure 8-10).

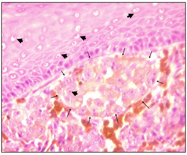
Figure 8. Hematoxylin and eosin staining. Cut at 100x.
Esophageal mucosa with preserved squamous lining long arrow and lamina propria (short arrow). Mucosa and submucosa occupied by cells with intracytoplasmic melanocytic pigment (arrowhead). Photographic archive. Centro Oncológico de Antioquia. (COA)

Figure 9. Hematoxylin and eosin staining, section at 400x.
Neoplastic cells forming nests (circled by arrows) with increased mitotic activity and protruding nucleoli (arrowheads). Photographic archive. Centro Oncológico de Antioquia. (COA)

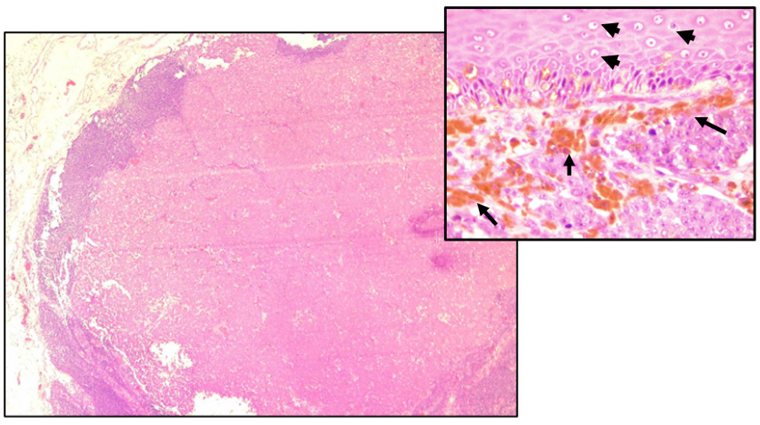
Figure 10. Hematoxylin and eosin staining of section of lymph node involved by melanoma at 100x and magnification at 400x. Cells with polygonal epithelioid morphology with prominent nucleoli, mitosis (arrowhead) and intracytoplasmic melanin pigment (arrow).
Photographic archive. Centro Oncológico de Antioquia. (COA)
In the third postoperative month, the patient was evaluated by clinical oncology, considering him outside the therapeutic window for the initiation of adjuvant, which only provided discreet results and opted for clinical surveillance. The patient was admitted to the emergency room in the fifth postoperative month with resting dyspnea and heartburn. In upper gastrointestinal endoscopy, a wide esophagogastric anastomosis with suture material was found at 17 cm of the dental arch, with no evidence of endoluminal lesions. In the proximal third of the body of the gastric tube there are 2 submucosal hyperpigmented lesions of 4mm 5mm. Biopsies are taken, which report melanosis, and malignant melanoma is ruled out. (Figure 11). At the sixth postoperative month, he was admitted to the emergency room with medium-exertion dyspnea. Chest CT scans identified carcinomatous pulmonary lymphangitic dissemination. He did not initiate specific palliative oncological management and died in the seventh month postoperatively.

Figure 11. Upper gastrointestinal endoscopy, 5 months after esophagectomy and gastric ascent. Two 4mm or 5mm hyperpigmented lesions are identified on the proximal mucosa of the gastric tube (arrows).
Photographic archive. Centro Oncológico de Antióquia. (COA)
We bring to discussion some factors that make MMPE (Primary Malignant Melanoma of the Esophagus) a disease with a poor short-term prognosis and on which we can act in search of better results. On the one hand, the lack of serosa in the esophagus, the copious network of lymphatic channels and the behavior of the melanoma cell leads to an incidence of up to 60% of regional lymph node involvement, from superficial invasion into the esophageal mucosa [15]. In our clinical case, we found this behavior, where the depth of the melanoma reached only the submucosa and presented three lymph nodes involved out of 27 harvested, in the lymphadenectomy that accompanied the radical esophagectomy. Despite the proven value of PET-CT-FDG (Positron Emission Tomography with Fluorodeoxyguse) for the rule out of distant lymph node and metastatic disease, given the avidity of the melanoma cell by FDG; [16] In our case, the PET CT with FDG showed no evidence of hypermetabolic lymph nodes or alteration in their morphology. The group of authors of this review consider that its limitation to presume preoperative regional lymph node involvement lies in the small size of the melanoma cell, and the low nodal tumor volume, which do not alter the morphology of the lymph node or produce increased metabolic activity [17]. On the other hand, the EUS (endoscopic ultrasonography) [18], did not come close to the correct staging of tumor size, nor preoperative lymph node, which I consider uT3uN0.
In histological evaluation, criteria such as the associated instu component, in proximity to mucosal invasive melanoma, radial pattern of mixed epithelioid and fusiform growth, guide the consideration of primary malignant melanoma of the esophagus [19-21]. Immunohistochemistry stains are conjunctural for diagnosis; Protein S-100, HMB-45, Melan-A, SOX-10 were positive, confirming melanoma and ruling out the presence of squamous cell carcinoma, adenocarcinoma, or poorly differentiated neuroendocrine tumors, and especially useful in cases of amelanic melanoma [22]. S-100 overexpression, as well as in cutaneous melanoma, provides a poor prognosis factor. In our case, 38 mitoses were identified by 10 high-power fields; Another independent adverse prognostic factor [23-25]. The absence of BRAF mutation eliminates a therapy option for this molecular target [26].
Lymph node involvement, apart from staging, is the most important independent adverse prognostic factor in non-metastatic disease. In mucosal melanoma of the digestive tract, radical lymphadenectomy has a low impact in terms of overall survival (OS) [8,27,28] and may offer unacceptable morbidity, especially in anorectal melanoma.29 Wang's retrospective analysis [12]. of 76 patients with surgical management of MMPE, with periesophageal, mediastinal and celiac axis lymphadenectomy, identified lymph node involvement in 66% of patients, not demonstrated preoperatively; which brings us back to the consideration of initial clinical substratification in most cases. We perform periesophageal, mediastinal and perigastric lymphadenectomy; 3 of 26 lymph nodes were involved by tumor. Lymphadenectomy did not leave sequelae such as chylose fistula, nor pleural, pulmonary or mediastinal morbidity. The patient in our clinical case died seven months after surgery, due to pulmonary metastatic recurrence with lymphangitic dissemination, corroborating the low impact of lymphadenectomy on OS. What lymphadenectomy did help with was knowing the real lymph node involvement that allowed better staging, prognosis and indication of postoperative adjuvant. In our practice of esophageal surgery, we do not routinely perform thoracic duct ligation, but we do section of the azygos vein and careful mediastinal dissection, thoracic route, under direct vision, which has decreased, the occurrence of chylous fistula or chylothorax that can cause blind traumatic dissection of the esophagus, when only the transhiatal and cervical Orringer route is implemented [30-32]. As for the dreaded anastomotic fistula [33], in our institutional experience, it has been partial undone, without severe clinical repercussions and its control is achieved with conservative measures or endoscopically placed stent requirements.
The final pathological staging of esophageal melanoma represented a serious dilemma. If we use the TNM (Tumor, Nodes, Metastatases) for esophageal cancer, we would have for our case, a pT1b (by invasion to the submucosa) N2 (metastasis in three-six lymph nodes) M0. Clinical stage IIIB, if it was squamous cell carcinoma and IVA if it was adenocarcinoma [34]. But clearly, because it is melanoma, it does not apply. The most approximate staging, in terms of its poor prognosis, is that offered by TNM for mucosal melanoma of the head and neck [35] which starts from pT3 (mucosal tumors or in the immediately underlying tissue) N0 without lymph node disease and N1 if there is lymph node involvement, without taking the number of nodes involved. With the latter, our patient had a clinical stage IVA (pT3N1M0). It should not be forgotten that the TNM of melanoma of the mucosa of the head and neck only takes into account the locations, oral cavity, pharynx and larynx, excluding the esophagus,36 again leaving a void for the correct staging of the MMPE.
The postoperative adjuvant strategy is a priority, despite its low results. The publication of Sabanathan in 1989 [11]. reported an overall survival of 10 months and Gao in 2016 [37]. Almost 30 years apart, he continued to show poor results, with an OS of 18.1 months, with postoperative chemotherapy schemes, dacacarbazine, nimustine, vincristine, cisplatin, and interferon. The action on the known molecular targets in melanoma has not been superior in melanoma of the mucosa and digestive tract either; oncogenic mutations such as BRAF (serine/threonine). NRAS (neuroblastoma RAS viral oncogene) and KIT (tyrosine protein kinase), present in up to 30% of patients with cutaneous melanoma, are only found in less than 5% of mucosal melanoma [38, 39]. Immunotherapy seems to have better results and show promise, check point inhibitors on cytotoxic T lymphocyte-associated protein 4 (CTLA-4; ipilimumab and tramelimumab), those that act on the programmed cell death receptor (PD-1; nivolumab and pembrolizumab) and those targeting programmed cell death ligand 1 (PD-L1; atezolizumab, avelumab, and durvalumab) [40]. The work of Hamid et al., on the efficacy of pembrolizumab as monotherapy in patients with advanced mucosal melanoma, showed a median overall survival of 11 months and the objective response rate was 22%. [40, 41] Our patient in the clinical case did not receive specific adjuvant oncological management in the postoperative period or as palliative oncological management at the diagnosis of pulmonary metastatic relapse. Something similar is found in Schizas' systematic review [42]. Out of 91 patients with MMPE, 85 (91%) underwent radical esophagectomy and only 22.1% of the patients managed to arrive in adequate conditions for adjuvant management. The median time to recurrence was six months, and disease-specific mortality was 43%.
Along with the diagnosis, defining the clinical stage of primary malignant melanoma of the esophagus (MMPE), establishing prognosis and the indicated management of this rare pathology, expose the need for these case reports that open the discussion on what is known and add to future systematic reviews. For the time being, the best available evidence should be used, local surgical oncological control, esophagectomy and regional lymphadenectomy, followed by rapid postoperative nutritional and pulmonary rehabilitation, and the patient should be taken to adjuvant with immunotherapy.
Clearly Auctoresonline and particularly Psychology and Mental Health Care Journal is dedicated to improving health care services for individuals and populations. The editorial boards' ability to efficiently recognize and share the global importance of health literacy with a variety of stakeholders. Auctoresonline publishing platform can be used to facilitate of optimal client-based services and should be added to health care professionals' repertoire of evidence-based health care resources.
Journal of Clinical Cardiology and Cardiovascular Intervention The submission and review process was adequate. However I think that the publication total value should have been enlightened in early fases. Thank you for all.
Journal of Women Health Care and Issues By the present mail, I want to say thank to you and tour colleagues for facilitating my published article. Specially thank you for the peer review process, support from the editorial office. I appreciate positively the quality of your journal.
Journal of Clinical Research and Reports I would be very delighted to submit my testimonial regarding the reviewer board and the editorial office. The reviewer board were accurate and helpful regarding any modifications for my manuscript. And the editorial office were very helpful and supportive in contacting and monitoring with any update and offering help. It was my pleasure to contribute with your promising Journal and I am looking forward for more collaboration.
We would like to thank the Journal of Thoracic Disease and Cardiothoracic Surgery because of the services they provided us for our articles. The peer-review process was done in a very excellent time manner, and the opinions of the reviewers helped us to improve our manuscript further. The editorial office had an outstanding correspondence with us and guided us in many ways. During a hard time of the pandemic that is affecting every one of us tremendously, the editorial office helped us make everything easier for publishing scientific work. Hope for a more scientific relationship with your Journal.
The peer-review process which consisted high quality queries on the paper. I did answer six reviewers’ questions and comments before the paper was accepted. The support from the editorial office is excellent.
Journal of Neuroscience and Neurological Surgery. I had the experience of publishing a research article recently. The whole process was simple from submission to publication. The reviewers made specific and valuable recommendations and corrections that improved the quality of my publication. I strongly recommend this Journal.
Dr. Katarzyna Byczkowska My testimonial covering: "The peer review process is quick and effective. The support from the editorial office is very professional and friendly. Quality of the Clinical Cardiology and Cardiovascular Interventions is scientific and publishes ground-breaking research on cardiology that is useful for other professionals in the field.
Thank you most sincerely, with regard to the support you have given in relation to the reviewing process and the processing of my article entitled "Large Cell Neuroendocrine Carcinoma of The Prostate Gland: A Review and Update" for publication in your esteemed Journal, Journal of Cancer Research and Cellular Therapeutics". The editorial team has been very supportive.
Testimony of Journal of Clinical Otorhinolaryngology: work with your Reviews has been a educational and constructive experience. The editorial office were very helpful and supportive. It was a pleasure to contribute to your Journal.
Dr. Bernard Terkimbi Utoo, I am happy to publish my scientific work in Journal of Women Health Care and Issues (JWHCI). The manuscript submission was seamless and peer review process was top notch. I was amazed that 4 reviewers worked on the manuscript which made it a highly technical, standard and excellent quality paper. I appreciate the format and consideration for the APC as well as the speed of publication. It is my pleasure to continue with this scientific relationship with the esteem JWHCI.
This is an acknowledgment for peer reviewers, editorial board of Journal of Clinical Research and Reports. They show a lot of consideration for us as publishers for our research article “Evaluation of the different factors associated with side effects of COVID-19 vaccination on medical students, Mutah university, Al-Karak, Jordan”, in a very professional and easy way. This journal is one of outstanding medical journal.
Dear Hao Jiang, to Journal of Nutrition and Food Processing We greatly appreciate the efficient, professional and rapid processing of our paper by your team. If there is anything else we should do, please do not hesitate to let us know. On behalf of my co-authors, we would like to express our great appreciation to editor and reviewers.
As an author who has recently published in the journal "Brain and Neurological Disorders". I am delighted to provide a testimonial on the peer review process, editorial office support, and the overall quality of the journal. The peer review process at Brain and Neurological Disorders is rigorous and meticulous, ensuring that only high-quality, evidence-based research is published. The reviewers are experts in their fields, and their comments and suggestions were constructive and helped improve the quality of my manuscript. The review process was timely and efficient, with clear communication from the editorial office at each stage. The support from the editorial office was exceptional throughout the entire process. The editorial staff was responsive, professional, and always willing to help. They provided valuable guidance on formatting, structure, and ethical considerations, making the submission process seamless. Moreover, they kept me informed about the status of my manuscript and provided timely updates, which made the process less stressful. The journal Brain and Neurological Disorders is of the highest quality, with a strong focus on publishing cutting-edge research in the field of neurology. The articles published in this journal are well-researched, rigorously peer-reviewed, and written by experts in the field. The journal maintains high standards, ensuring that readers are provided with the most up-to-date and reliable information on brain and neurological disorders. In conclusion, I had a wonderful experience publishing in Brain and Neurological Disorders. The peer review process was thorough, the editorial office provided exceptional support, and the journal's quality is second to none. I would highly recommend this journal to any researcher working in the field of neurology and brain disorders.
Dear Agrippa Hilda, Journal of Neuroscience and Neurological Surgery, Editorial Coordinator, I trust this message finds you well. I want to extend my appreciation for considering my article for publication in your esteemed journal. I am pleased to provide a testimonial regarding the peer review process and the support received from your editorial office. The peer review process for my paper was carried out in a highly professional and thorough manner. The feedback and comments provided by the authors were constructive and very useful in improving the quality of the manuscript. This rigorous assessment process undoubtedly contributes to the high standards maintained by your journal.
International Journal of Clinical Case Reports and Reviews. I strongly recommend to consider submitting your work to this high-quality journal. The support and availability of the Editorial staff is outstanding and the review process was both efficient and rigorous.
Thank you very much for publishing my Research Article titled “Comparing Treatment Outcome Of Allergic Rhinitis Patients After Using Fluticasone Nasal Spray And Nasal Douching" in the Journal of Clinical Otorhinolaryngology. As Medical Professionals we are immensely benefited from study of various informative Articles and Papers published in this high quality Journal. I look forward to enriching my knowledge by regular study of the Journal and contribute my future work in the field of ENT through the Journal for use by the medical fraternity. The support from the Editorial office was excellent and very prompt. I also welcome the comments received from the readers of my Research Article.
Dear Erica Kelsey, Editorial Coordinator of Cancer Research and Cellular Therapeutics Our team is very satisfied with the processing of our paper by your journal. That was fast, efficient, rigorous, but without unnecessary complications. We appreciated the very short time between the submission of the paper and its publication on line on your site.
I am very glad to say that the peer review process is very successful and fast and support from the Editorial Office. Therefore, I would like to continue our scientific relationship for a long time. And I especially thank you for your kindly attention towards my article. Have a good day!
"We recently published an article entitled “Influence of beta-Cyclodextrins upon the Degradation of Carbofuran Derivatives under Alkaline Conditions" in the Journal of “Pesticides and Biofertilizers” to show that the cyclodextrins protect the carbamates increasing their half-life time in the presence of basic conditions This will be very helpful to understand carbofuran behaviour in the analytical, agro-environmental and food areas. We greatly appreciated the interaction with the editor and the editorial team; we were particularly well accompanied during the course of the revision process, since all various steps towards publication were short and without delay".
I would like to express my gratitude towards you process of article review and submission. I found this to be very fair and expedient. Your follow up has been excellent. I have many publications in national and international journal and your process has been one of the best so far. Keep up the great work.
We are grateful for this opportunity to provide a glowing recommendation to the Journal of Psychiatry and Psychotherapy. We found that the editorial team were very supportive, helpful, kept us abreast of timelines and over all very professional in nature. The peer review process was rigorous, efficient and constructive that really enhanced our article submission. The experience with this journal remains one of our best ever and we look forward to providing future submissions in the near future.
I am very pleased to serve as EBM of the journal, I hope many years of my experience in stem cells can help the journal from one way or another. As we know, stem cells hold great potential for regenerative medicine, which are mostly used to promote the repair response of diseased, dysfunctional or injured tissue using stem cells or their derivatives. I think Stem Cell Research and Therapeutics International is a great platform to publish and share the understanding towards the biology and translational or clinical application of stem cells.
I would like to give my testimony in the support I have got by the peer review process and to support the editorial office where they were of asset to support young author like me to be encouraged to publish their work in your respected journal and globalize and share knowledge across the globe. I really give my great gratitude to your journal and the peer review including the editorial office.
I am delighted to publish our manuscript entitled "A Perspective on Cocaine Induced Stroke - Its Mechanisms and Management" in the Journal of Neuroscience and Neurological Surgery. The peer review process, support from the editorial office, and quality of the journal are excellent. The manuscripts published are of high quality and of excellent scientific value. I recommend this journal very much to colleagues.
Dr.Tania Muñoz, My experience as researcher and author of a review article in The Journal Clinical Cardiology and Interventions has been very enriching and stimulating. The editorial team is excellent, performs its work with absolute responsibility and delivery. They are proactive, dynamic and receptive to all proposals. Supporting at all times the vast universe of authors who choose them as an option for publication. The team of review specialists, members of the editorial board, are brilliant professionals, with remarkable performance in medical research and scientific methodology. Together they form a frontline team that consolidates the JCCI as a magnificent option for the publication and review of high-level medical articles and broad collective interest. I am honored to be able to share my review article and open to receive all your comments.
“The peer review process of JPMHC is quick and effective. Authors are benefited by good and professional reviewers with huge experience in the field of psychology and mental health. The support from the editorial office is very professional. People to contact to are friendly and happy to help and assist any query authors might have. Quality of the Journal is scientific and publishes ground-breaking research on mental health that is useful for other professionals in the field”.
Dear editorial department: On behalf of our team, I hereby certify the reliability and superiority of the International Journal of Clinical Case Reports and Reviews in the peer review process, editorial support, and journal quality. Firstly, the peer review process of the International Journal of Clinical Case Reports and Reviews is rigorous, fair, transparent, fast, and of high quality. The editorial department invites experts from relevant fields as anonymous reviewers to review all submitted manuscripts. These experts have rich academic backgrounds and experience, and can accurately evaluate the academic quality, originality, and suitability of manuscripts. The editorial department is committed to ensuring the rigor of the peer review process, while also making every effort to ensure a fast review cycle to meet the needs of authors and the academic community. Secondly, the editorial team of the International Journal of Clinical Case Reports and Reviews is composed of a group of senior scholars and professionals with rich experience and professional knowledge in related fields. The editorial department is committed to assisting authors in improving their manuscripts, ensuring their academic accuracy, clarity, and completeness. Editors actively collaborate with authors, providing useful suggestions and feedback to promote the improvement and development of the manuscript. We believe that the support of the editorial department is one of the key factors in ensuring the quality of the journal. Finally, the International Journal of Clinical Case Reports and Reviews is renowned for its high- quality articles and strict academic standards. The editorial department is committed to publishing innovative and academically valuable research results to promote the development and progress of related fields. The International Journal of Clinical Case Reports and Reviews is reasonably priced and ensures excellent service and quality ratio, allowing authors to obtain high-level academic publishing opportunities in an affordable manner. I hereby solemnly declare that the International Journal of Clinical Case Reports and Reviews has a high level of credibility and superiority in terms of peer review process, editorial support, reasonable fees, and journal quality. Sincerely, Rui Tao.
Clinical Cardiology and Cardiovascular Interventions I testity the covering of the peer review process, support from the editorial office, and quality of the journal.
Clinical Cardiology and Cardiovascular Interventions, we deeply appreciate the interest shown in our work and its publication. It has been a true pleasure to collaborate with you. The peer review process, as well as the support provided by the editorial office, have been exceptional, and the quality of the journal is very high, which was a determining factor in our decision to publish with you.
The peer reviewers process is quick and effective, the supports from editorial office is excellent, the quality of journal is high. I would like to collabroate with Internatioanl journal of Clinical Case Reports and Reviews journal clinically in the future time.
Clinical Cardiology and Cardiovascular Interventions, I would like to express my sincerest gratitude for the trust placed in our team for the publication in your journal. It has been a true pleasure to collaborate with you on this project. I am pleased to inform you that both the peer review process and the attention from the editorial coordination have been excellent. Your team has worked with dedication and professionalism to ensure that your publication meets the highest standards of quality. We are confident that this collaboration will result in mutual success, and we are eager to see the fruits of this shared effort.
Dear Dr. Jessica Magne, Editorial Coordinator 0f Clinical Cardiology and Cardiovascular Interventions, I hope this message finds you well. I want to express my utmost gratitude for your excellent work and for the dedication and speed in the publication process of my article titled "Navigating Innovation: Qualitative Insights on Using Technology for Health Education in Acute Coronary Syndrome Patients." I am very satisfied with the peer review process, the support from the editorial office, and the quality of the journal. I hope we can maintain our scientific relationship in the long term.
Dear Monica Gissare, - Editorial Coordinator of Nutrition and Food Processing. ¨My testimony with you is truly professional, with a positive response regarding the follow-up of the article and its review, you took into account my qualities and the importance of the topic¨.
Dear Dr. Jessica Magne, Editorial Coordinator 0f Clinical Cardiology and Cardiovascular Interventions, The review process for the article “The Handling of Anti-aggregants and Anticoagulants in the Oncologic Heart Patient Submitted to Surgery” was extremely rigorous and detailed. From the initial submission to the final acceptance, the editorial team at the “Journal of Clinical Cardiology and Cardiovascular Interventions” demonstrated a high level of professionalism and dedication. The reviewers provided constructive and detailed feedback, which was essential for improving the quality of our work. Communication was always clear and efficient, ensuring that all our questions were promptly addressed. The quality of the “Journal of Clinical Cardiology and Cardiovascular Interventions” is undeniable. It is a peer-reviewed, open-access publication dedicated exclusively to disseminating high-quality research in the field of clinical cardiology and cardiovascular interventions. The journal's impact factor is currently under evaluation, and it is indexed in reputable databases, which further reinforces its credibility and relevance in the scientific field. I highly recommend this journal to researchers looking for a reputable platform to publish their studies.
Dear Editorial Coordinator of the Journal of Nutrition and Food Processing! "I would like to thank the Journal of Nutrition and Food Processing for including and publishing my article. The peer review process was very quick, movement and precise. The Editorial Board has done an extremely conscientious job with much help, valuable comments and advices. I find the journal very valuable from a professional point of view, thank you very much for allowing me to be part of it and I would like to participate in the future!”
Dealing with The Journal of Neurology and Neurological Surgery was very smooth and comprehensive. The office staff took time to address my needs and the response from editors and the office was prompt and fair. I certainly hope to publish with this journal again.Their professionalism is apparent and more than satisfactory. Susan Weiner
My Testimonial Covering as fellowing: Lin-Show Chin. The peer reviewers process is quick and effective, the supports from editorial office is excellent, the quality of journal is high. I would like to collabroate with Internatioanl journal of Clinical Case Reports and Reviews.
My experience publishing in Psychology and Mental Health Care was exceptional. The peer review process was rigorous and constructive, with reviewers providing valuable insights that helped enhance the quality of our work. The editorial team was highly supportive and responsive, making the submission process smooth and efficient. The journal's commitment to high standards and academic rigor makes it a respected platform for quality research. I am grateful for the opportunity to publish in such a reputable journal.
My experience publishing in International Journal of Clinical Case Reports and Reviews was exceptional. I Come forth to Provide a Testimonial Covering the Peer Review Process and the editorial office for the Professional and Impartial Evaluation of the Manuscript.
I would like to offer my testimony in the support. I have received through the peer review process and support the editorial office where they are to support young authors like me, encourage them to publish their work in your esteemed journals, and globalize and share knowledge globally. I really appreciate your journal, peer review, and editorial office.
Dear Agrippa Hilda- Editorial Coordinator of Journal of Neuroscience and Neurological Surgery, "The peer review process was very quick and of high quality, which can also be seen in the articles in the journal. The collaboration with the editorial office was very good."
I would like to express my sincere gratitude for the support and efficiency provided by the editorial office throughout the publication process of my article, “Delayed Vulvar Metastases from Rectal Carcinoma: A Case Report.” I greatly appreciate the assistance and guidance I received from your team, which made the entire process smooth and efficient. The peer review process was thorough and constructive, contributing to the overall quality of the final article. I am very grateful for the high level of professionalism and commitment shown by the editorial staff, and I look forward to maintaining a long-term collaboration with the International Journal of Clinical Case Reports and Reviews.
To Dear Erin Aust, I would like to express my heartfelt appreciation for the opportunity to have my work published in this esteemed journal. The entire publication process was smooth and well-organized, and I am extremely satisfied with the final result. The Editorial Team demonstrated the utmost professionalism, providing prompt and insightful feedback throughout the review process. Their clear communication and constructive suggestions were invaluable in enhancing my manuscript, and their meticulous attention to detail and dedication to quality are truly commendable. Additionally, the support from the Editorial Office was exceptional. From the initial submission to the final publication, I was guided through every step of the process with great care and professionalism. The team's responsiveness and assistance made the entire experience both easy and stress-free. I am also deeply impressed by the quality and reputation of the journal. It is an honor to have my research featured in such a respected publication, and I am confident that it will make a meaningful contribution to the field.
"I am grateful for the opportunity of contributing to [International Journal of Clinical Case Reports and Reviews] and for the rigorous review process that enhances the quality of research published in your esteemed journal. I sincerely appreciate the time and effort of your team who have dedicatedly helped me in improvising changes and modifying my manuscript. The insightful comments and constructive feedback provided have been invaluable in refining and strengthening my work".
I thank the ‘Journal of Clinical Research and Reports’ for accepting this article for publication. This is a rigorously peer reviewed journal which is on all major global scientific data bases. I note the review process was prompt, thorough and professionally critical. It gave us an insight into a number of important scientific/statistical issues. The review prompted us to review the relevant literature again and look at the limitations of the study. The peer reviewers were open, clear in the instructions and the editorial team was very prompt in their communication. This journal certainly publishes quality research articles. I would recommend the journal for any future publications.
Dear Jessica Magne, with gratitude for the joint work. Fast process of receiving and processing the submitted scientific materials in “Clinical Cardiology and Cardiovascular Interventions”. High level of competence of the editors with clear and correct recommendations and ideas for enriching the article.
We found the peer review process quick and positive in its input. The support from the editorial officer has been very agile, always with the intention of improving the article and taking into account our subsequent corrections.
My article, titled 'No Way Out of the Smartphone Epidemic Without Considering the Insights of Brain Research,' has been republished in the International Journal of Clinical Case Reports and Reviews. The review process was seamless and professional, with the editors being both friendly and supportive. I am deeply grateful for their efforts.
To Dear Erin Aust – Editorial Coordinator of Journal of General Medicine and Clinical Practice! I declare that I am absolutely satisfied with your work carried out with great competence in following the manuscript during the various stages from its receipt, during the revision process to the final acceptance for publication. Thank Prof. Elvira Farina
Dear Jessica, and the super professional team of the ‘Clinical Cardiology and Cardiovascular Interventions’ I am sincerely grateful to the coordinated work of the journal team for the no problem with the submission of my manuscript: “Cardiometabolic Disorders in A Pregnant Woman with Severe Preeclampsia on the Background of Morbid Obesity (Case Report).” The review process by 5 experts was fast, and the comments were professional, which made it more specific and academic, and the process of publication and presentation of the article was excellent. I recommend that my colleagues publish articles in this journal, and I am interested in further scientific cooperation. Sincerely and best wishes, Dr. Oleg Golyanovskiy.
Dear Ashley Rosa, Editorial Coordinator of the journal - Psychology and Mental Health Care. " The process of obtaining publication of my article in the Psychology and Mental Health Journal was positive in all areas. The peer review process resulted in a number of valuable comments, the editorial process was collaborative and timely, and the quality of this journal has been quickly noticed, resulting in alternative journals contacting me to publish with them." Warm regards, Susan Anne Smith, PhD. Australian Breastfeeding Association.
Dear Jessica Magne, Editorial Coordinator, Clinical Cardiology and Cardiovascular Interventions, Auctores Publishing LLC. I appreciate the journal (JCCI) editorial office support, the entire team leads were always ready to help, not only on technical front but also on thorough process. Also, I should thank dear reviewers’ attention to detail and creative approach to teach me and bring new insights by their comments. Surely, more discussions and introduction of other hemodynamic devices would provide better prevention and management of shock states. Your efforts and dedication in presenting educational materials in this journal are commendable. Best wishes from, Farahnaz Fallahian.
Dear Maria Emerson, Editorial Coordinator, International Journal of Clinical Case Reports and Reviews, Auctores Publishing LLC. I am delighted to have published our manuscript, "Acute Colonic Pseudo-Obstruction (ACPO): A rare but serious complication following caesarean section." I want to thank the editorial team, especially Maria Emerson, for their prompt review of the manuscript, quick responses to queries, and overall support. Yours sincerely Dr. Victor Olagundoye.
Dear Ashley Rosa, Editorial Coordinator, International Journal of Clinical Case Reports and Reviews. Many thanks for publishing this manuscript after I lost confidence the editors were most helpful, more than other journals Best wishes from, Susan Anne Smith, PhD. Australian Breastfeeding Association.
Dear Agrippa Hilda, Editorial Coordinator, Journal of Neuroscience and Neurological Surgery. The entire process including article submission, review, revision, and publication was extremely easy. The journal editor was prompt and helpful, and the reviewers contributed to the quality of the paper. Thank you so much! Eric Nussbaum, MD
Dr Hala Al Shaikh This is to acknowledge that the peer review process for the article ’ A Novel Gnrh1 Gene Mutation in Four Omani Male Siblings, Presentation and Management ’ sent to the International Journal of Clinical Case Reports and Reviews was quick and smooth. The editorial office was prompt with easy communication.
Dear Erin Aust, Editorial Coordinator, Journal of General Medicine and Clinical Practice. We are pleased to share our experience with the “Journal of General Medicine and Clinical Practice”, following the successful publication of our article. The peer review process was thorough and constructive, helping to improve the clarity and quality of the manuscript. We are especially thankful to Ms. Erin Aust, the Editorial Coordinator, for her prompt communication and continuous support throughout the process. Her professionalism ensured a smooth and efficient publication experience. The journal upholds high editorial standards, and we highly recommend it to fellow researchers seeking a credible platform for their work. Best wishes By, Dr. Rakhi Mishra.
Dear Jessica Magne, Editorial Coordinator, Clinical Cardiology and Cardiovascular Interventions, Auctores Publishing LLC. The peer review process of the journal of Clinical Cardiology and Cardiovascular Interventions was excellent and fast, as was the support of the editorial office and the quality of the journal. Kind regards Walter F. Riesen Prof. Dr. Dr. h.c. Walter F. Riesen.
Dear Ashley Rosa, Editorial Coordinator, International Journal of Clinical Case Reports and Reviews, Auctores Publishing LLC. Thank you for publishing our article, Exploring Clozapine's Efficacy in Managing Aggression: A Multiple Single-Case Study in Forensic Psychiatry in the international journal of clinical case reports and reviews. We found the peer review process very professional and efficient. The comments were constructive, and the whole process was efficient. On behalf of the co-authors, I would like to thank you for publishing this article. With regards, Dr. Jelle R. Lettinga.
Dear Clarissa Eric, Editorial Coordinator, Journal of Clinical Case Reports and Studies, I would like to express my deep admiration for the exceptional professionalism demonstrated by your journal. I am thoroughly impressed by the speed of the editorial process, the substantive and insightful reviews, and the meticulous preparation of the manuscript for publication. Additionally, I greatly appreciate the courteous and immediate responses from your editorial office to all my inquiries. Best Regards, Dariusz Ziora
Dear Chrystine Mejia, Editorial Coordinator, Journal of Neurodegeneration and Neurorehabilitation, Auctores Publishing LLC, We would like to thank the editorial team for the smooth and high-quality communication leading up to the publication of our article in the Journal of Neurodegeneration and Neurorehabilitation. The reviewers have extensive knowledge in the field, and their relevant questions helped to add value to our publication. Kind regards, Dr. Ravi Shrivastava.
Dear Clarissa Eric, Editorial Coordinator, Journal of Clinical Case Reports and Studies, Auctores Publishing LLC, USA Office: +1-(302)-520-2644. I would like to express my sincere appreciation for the efficient and professional handling of my case report by the ‘Journal of Clinical Case Reports and Studies’. The peer review process was not only fast but also highly constructive—the reviewers’ comments were clear, relevant, and greatly helped me improve the quality and clarity of my manuscript. I also received excellent support from the editorial office throughout the process. Communication was smooth and timely, and I felt well guided at every stage, from submission to publication. The overall quality and rigor of the journal are truly commendable. I am pleased to have published my work with Journal of Clinical Case Reports and Studies, and I look forward to future opportunities for collaboration. Sincerely, Aline Tollet, UCLouvain.
Dear Ms. Mayra Duenas, Editorial Coordinator, International Journal of Clinical Case Reports and Reviews. “The International Journal of Clinical Case Reports and Reviews represented the “ideal house” to share with the research community a first experience with the use of the Simeox device for speech rehabilitation. High scientific reputation and attractive website communication were first determinants for the selection of this Journal, and the following submission process exceeded expectations: fast but highly professional peer review, great support by the editorial office, elegant graphic layout. Exactly what a dynamic research team - also composed by allied professionals - needs!" From, Chiara Beccaluva, PT - Italy.
Dear Maria Emerson, Editorial Coordinator, we have deeply appreciated the professionalism demonstrated by the International Journal of Clinical Case Reports and Reviews. The reviewers have extensive knowledge of our field and have been very efficient and fast in supporting the process. I am really looking forward to further collaboration. Thanks. Best regards, Dr. Claudio Ligresti
Dear Chrystine Mejia, Editorial Coordinator, Journal of Neurodegeneration and Neurorehabilitation. “The peer review process was efficient and constructive, and the editorial office provided excellent communication and support throughout. The journal ensures scientific rigor and high editorial standards, while also offering a smooth and timely publication process. We sincerely appreciate the work of the editorial team in facilitating the dissemination of innovative approaches such as the Bonori Method.” Best regards, Dr. Matteo Bonori.
I recommend without hesitation submitting relevant papers on medical decision making to the International Journal of Clinical Case Reports and Reviews. I am very grateful to the editorial staff. Maria Emerson was a pleasure to communicate with. The time from submission to publication was an extremely short 3 weeks. The editorial staff submitted the paper to three reviewers. Two of the reviewers commented positively on the value of publishing the paper. The editorial staff quickly recognized the third reviewer’s comments as an unjust attempt to reject the paper. I revised the paper as recommended by the first two reviewers.
Dear Maria Emerson, Editorial Coordinator, Journal of Clinical Research and Reports. Thank you for publishing our case report: "Clinical Case of Effective Fetal Stem Cells Treatment in a Patient with Autism Spectrum Disorder" within the "Journal of Clinical Research and Reports" being submitted by the team of EmCell doctors from Kyiv, Ukraine. We much appreciate a professional and transparent peer-review process from Auctores. All research Doctors are so grateful to your Editorial Office and Auctores Publishing support! I amiably wish our article publication maintained a top quality of your International Scientific Journal. My best wishes for a prosperity of the Journal of Clinical Research and Reports. Hope our scientific relationship and cooperation will remain long lasting. Thank you very much indeed. Kind regards, Dr. Andriy Sinelnyk Cell Therapy Center EmCell
Dear Editorial Team, Clinical Cardiology and Cardiovascular Interventions. It was truly a rewarding experience to work with the journal “Clinical Cardiology and Cardiovascular Interventions”. The peer review process was insightful and encouraging, helping us refine our work to a higher standard. The editorial office offered exceptional support with prompt and thoughtful communication. I highly value the journal’s role in promoting scientific advancement and am honored to be part of it. Best regards, Meng-Jou Lee, MD, Department of Anesthesiology, National Taiwan University Hospital.
Dear Editorial Team, Journal-Clinical Cardiology and Cardiovascular Interventions, “Publishing my article with Clinical Cardiology and Cardiovascular Interventions has been a highly positive experience. The peer-review process was rigorous yet supportive, offering valuable feedback that strengthened my work. The editorial team demonstrated exceptional professionalism, prompt communication, and a genuine commitment to maintaining the highest scientific standards. I am very pleased with the publication quality and proud to be associated with such a reputable journal.” Warm regards, Dr. Mahmoud Kamal Moustafa Ahmed
Dear Maria Emerson, Editorial Coordinator of ‘International Journal of Clinical Case Reports and Reviews’, I appreciate the opportunity to publish my article with your journal. The editorial office provided clear communication during the submission and review process, and I found the overall experience professional and constructive. Best regards, Elena Salvatore.
Dear Mayra Duenas, Editorial Coordinator of ‘International Journal of Clinical Case Reports and Reviews Herewith I confirm an optimal peer review process and a great support of the editorial office of the present journal
Dear Editorial Team, Clinical Cardiology and Cardiovascular Interventions. I am really grateful for the peers review; their feedback gave me the opportunity to reflect on the message and impact of my work and to ameliorate the article. The editors did a great job in addition by encouraging me to continue with the process of publishing.
Dear Cecilia Lilly, Editorial Coordinator, Endocrinology and Disorders, Thank you so much for your quick response regarding reviewing and all process till publishing our manuscript entitled: Prevalence of Pre-Diabetes and its Associated Risk Factors Among Nile College Students, Sudan. Best regards, Dr Mamoun Magzoub.
International Journal of Clinical Case Reports and Reviews is a high quality journal that has a clear and concise submission process. The peer review process was comprehensive and constructive. Support from the editorial office was excellent, since the administrative staff were responsive. The journal provides a fast and timely publication timeline.
Dear Mayra Duenas, Editorial Coordinator of the journal IJCCR, I write here a little on my experience as an author submitting to the International Journal of Clinical Case Reports and Reviews (IJCCR). This was my first submission to IJCCR and my manuscript was inherently an outsider’s effort. It attempted to broadly identify and then make some sense of life’s under-appreciated mysteries. I initially had responded to a request for possible submissions. I then contacted IJCCR with a tentative topic for a manuscript. They quickly got back with an approval for the submission, but with a particular requirement that it be medically relevant. I then put together a manuscript and submitted it. After the usual back-and-forth over forms and formality, the manuscript was sent off for reviews. Within 2 weeks I got back 4 reviews which were both helpful and also surprising. Surprising in that the topic was somewhat foreign to medical literature. My subsequent updates in response to the reviewer comments went smoothly and in short order I had a series of proofs to evaluate. All in all, the whole publication process seemed outstanding. It was both helpful in terms of the paper’s content and also in terms of its efficient and friendly communications. Thank you all very much. Sincerely, Ted Christopher, Rochester, NY.
Dear Grace Pierce, Editorial Coordinator of the journal IJCCR, I had a very positive experience with Auctores - Journal throughout the publication process. The Editorial Team was highly responsive, professional, and supportive at every stage. I would like to extend my sincere thanks to the Editor: Grace Pierce, for her guidance and assistance. The peer-review process was smooth and constructive, helping improve the quality of my work. I would gladly recommend Auctores Journal to fellow researchers and authors. Dr. SABITA SINHA, Medical Oncologist, MD (Electro Homeopathy).
Dear Maria Emerson, Editorial Coordinator of - Journal of Clinical Research and Reports. ''I am pleased to provide this testimonial following the publication of our recent case report in this journal. The peer review process was rigorous, constructive, thorough, and conducted in a timely manner. The reviewers’ comments were thoughtful, detailed, and highly constructive, contributing substantially to the refinement, clarity, and scientific robustness of our manuscript. The process was conducted with professionalism and academic integrity throughout. The support provided by the editorial office was exemplary. Communication was consistently prompt, clear, and courteous at all stages of the submission and publication process. The editorial team demonstrated a high level of organization and responsiveness, ensuring that all queries were addressed efficiently and that the process remained transparent and well-coordinated. The overall quality of the journal is reflected in its strong editorial standards, commitment to scientific excellence, and dedication to publishing clinically meaningful research. It has been a privilege to publish our work in this journal, and we would welcome the opportunity to contribute further in the future.'' Best wishes from, Dr. Efstratios Trogkanis, Cardiologist.
Dear Reader: We have published several articles in the Auctores Publishing, LLC, journal, Clinical Medical Reviews and Reports in recent years (CMRR). This is an ‘open access’ journal and the following are our observations. From the initial invitation to submit an article, to the final edits of galley proofs, we have found CMRR personnel to be professional, responsive, rapid and thorough. This entire process begins with Catherine Mitchell, Editorial Coordinator. She is simply outstanding, and, I believe, unparalleled in her capacity. I cannot imagine a more responsive and dedicated Editorial Coordinator. As I read the dates and timing of her correspondence with us, it seems that she never sleeps. I hope Auctores Publishing, LLC, appreciates her efforts as much as these authors do. Thank you to Auctores Publishing, LLC, to the Editorial Staff/Board, and to Catherine Mitchell from a grateful author(s).
Dear Maria Emerson, Editorial Coordinator of International Journal of Clinical Case Reports and Reviews, What distinguishes International Journal of Clinical Case Report and Review is not only the scientific rigor of its publications, but the intellectual climate in which research is evaluated. The submission process is refreshingly free of unnecessary formal barriers and bureaucratic rituals that often complicate academic publishing without adding real value. The peer-review system is demanding yet constructive, guided by genuine scientific dialogue rather than hierarchical or authoritarian attitudes. Reviewers act as collaborators in improving the manuscript, not as gatekeepers imposing arbitrary standards. This journal offers a rare balance: high methodological standards combined with a respectful, transparent, and supportive editorial approach. In an era where publishing can feel more burdensome than research itself, this platform restores the original purpose of peer review — to refine ideas, not to obstruct them Prof. Perlat Kapisyzi, FCCP PULMONOLOGIST AND THORACIC IMAGING.