AUCTORES
Globalize your Research
Research Article | DOI: https://doi.org/10.31579/2690-8808/272
Department of Infection, First Affiliated Hospital of Nanchang University, Nanchang, Jiangxi Province, China.
* These authors contribute equally to this work
*Corresponding Author: Yuanmei Che Department of Infection, First Affiliated Hospital of Nanchang University, Nanchang, Jiangxi Province, China.
Citation: Xiaopeng Li, Li Gao, Lunli Zhang, Yuanbin Zhong, Liang Wang, et al, (2025), m6A Demethylase FTO Contributes to Tuberculous Meningitis by Upregulating MMP-9 and OX-42 in Cortical Neurons, J, Clinical Case Reports and Studies, 6(8); DOI:10.31579/2690-8808/272
Copyright: ©, 2025, Yuanmei Che. This is an open access article distributed under the Creative Commons Attribution License, which permits unrestricted use, distribution, and reproduction in any medium, provided the original work is properly cited.
Received: 10 September 2025 | Accepted: 08 October 2025 | Published: 04 November 2025
Keywords: tuberculous meningitis, microglia, fto, mmp-9, ox-42
FTO is an RNA N6-methyladenosine (m6A) demethylase. Despite the involvement of FTO in various neural diseases, its role in Tuberculosis meningitis (TBM) remains unclear.
Based on a high-throughput analysis, we found that FTO is transcriptionally activated in patients with TBM. We then validated that Tuberculous induced the expression of FTO in isolated mouse microglia and in mouse brain, which further increased the expression of matrix Metalloproteinase-9 (MMP-9) and Integrin alpha-M (ITGAM, or OX42). Knockdown of FTO dramatically abrogates the up-regulation of MMP-9 and OX42. FTO depletion also restores the Tuberculous -induced microglial apoptosis. We further validated that increased FTO can reduce m6A modifications in MMP-9 and OX42 transcripts.
Collectively, we showed that FTO contributes to TBM via up-regulating the expression of MMP-9 and OX42, indicating the potential therapeutic mechanisms of FTO in TBM.
Tuberculosis (TB) remains a threat to public health globally, which was the top cause of death from a single pathogen in the pre-COVID-19 era [1]. When aerosols that contain Mycobacterium tuberculosis (M.tb) enter the alveoli of the human lung, TB first develops as a pulmonary disease. Among extrapulmonary tuberculosis that occurs secondary to pulmonary TB, Tuberculosis meningitis (TBM) is the most severe disease. Its mortality is estimated to be in a range from 20% to 50%. For those who survive TBM, nearly half develop serious neural sequelae [2]. Yet, the molecular mechanisms underlying the pathogenesis of TBM remains elusive.
Matrix metalloproteinases (MMPs) are a superfamily of evolutionarily conserved protease that degrade the extracellular matrix (ECM) in a calcium- and zinc- dependent manner [3] [4]. Previous studies suggested that several MMPs were aberrantly up-regulated in TBM, indicating their involvement in TBM development. So far, human TBM researches mainly focused on the subfamily of gelatinases, MMP-2 (gelatinase-A) and MMP-9 (gelatinase-B) [5]. MMP-2 is constitutively expressed in the CNS whereas MMP-9 is kept silent or only expressed at a limited level under normal circumstances. However, MMP-9 is activated during neuroinflammation, typically in meningitis associated with bacterial infection [6]. In addition, increased level of MMP-9 in cerebrospinal fluid of TBM patients positively correlates with poor outcome [7-9]. Considering the biochemical role of gelatinase, highly expressed MMP-9 may participate in tissue destruction and blood-brain barrier (BBB) breakdown in TBM by degrading a wide range of ECM components, including type IV collagen, fibronectin, tenascins, proteoglycans and laminin [4, 5, 10]. Despite the potential pivotal roles of MMP-9 in TBM, how MMP-9 is regulated in TBM is unclear.
N6-methyladenosine (m6A) is the most prevalent and conserved modification in eukaryotic messenger RNA [11, 12]. Numerous studies have shown that m6A is critical for regulating the splicing, transport, localization and translation of mRNA in both physiological and pathological conditions (Roignant and Soller 2017, Yang, Hu et al. 2020). This epigenetic modification is a dynamic and reversible process. The m6A methyltransferase complex, or m6A writer, which comprises proteins methyltransferase-like 3 (METTL3), methyltransferase-like 14 (METTL14), and Wilms tumor 1 associated protein (WTAP) promotes m6A installation while demethylases such as obesity-associated protein (FTO) and AlkB homolog 5 (ALKBH5) assume the role of erasers to remove m6A marks [13, 14]. m6A modifications are recognized by m6A readers such as YTH-domain family 1-3 (YTHDF1-3) [15, 16]. The m6A demethylase FTO, or α-ketoglutarate-dependent dioxygenase, was shown to be associated with body mass index, thus predisposing to child and adult obesity [17]. Numerous studies have indicated that FTO can modulate a plethora of biological processes including nutrient sensing, adipogenesis and mitochondrial biogenesis [18-20]. Although FTO is ubiquitously expressed in multiple tissues, it has a highest expression in the brain [21], suggesting its indispensable role in central neural system (CNS). FTO has been shown to be required for neural gene expression and thus neural development. It has been associated with many neuropsychiatric diseases, including Alzheimer’s disease, Parkinson’s disease, epilepsy, anxiety and depression [22, 23]. However, the role of FTO in CNS infectious disease has not been reported to the best of our knowledge so far.
In this study, the role of FTO in MBT was explored. First, the role of FTO in mouse primary microglia was studied. Microglia are macrophages residing in CNS that can recognize M.tb and are the main infected cells in CNS (Rock, Hu et al. 2005, Colonna and Butovsky 2017, Davis, Rohlwink et al. 2019). We report that FTO was upregulated upon TB inoculation in both cultured mouse microglia in vitro and brain in vivo and induced the expression of MMP-9 and OX-42. Our RNA immunoprecipitation experiment confirmed that MMP-9 and OX42 were demethylated in TB context. Overall, our study illuminated the promoting role of FTO in TBM. This indicates that FTO can be a potential therapeutic target for TBM.
RNA sequencing and data processing
Our study was approved by the Ethics Committee of the First Affiliated Hospital of Nanchang University. 3 ml of whole blood were collected from 15 TBM patients and 24 healthy volunteers. Total RNA was purified from whole blood using QIAamp RNA Blood Mini Kit (Qiagen, Germany). PolyA+ RNA was enriched from Total RNA using VAHTS DNA Clean Beads (Vazyme, China). Stranded mRNA library was constructed using VAHTS Universal V8 RNA-seq Library Prep Kit for Illumina (Vazyme, China). AMPure XP beads were used to purify to library. We then utilized 2100 Bioanalyzer (Agilent, USA) to examine the library size distribution. Library was quantified using Qubit Fluorometer (Thermo Fisher Scientific, USA) and Equalbit 1 × dsDNA HS Assay Kit (Vazyme, China). Sequencing was performed by Illumina Hiseq Platform PE150 (Illumina, USA).
Trimmomatic (v0.39) and TopHat (v2.1.1) were employed for sequence trimming and alignment respectively. The R package DESeq2 was used for both raw read normalization and differential gene expression. P values are adjusted based on Benjamini-Hochberg method. The genes with a false discovery rate (FDR) lower than 0.05 were considered differentially expressed.
Isolation, culture and transfection of mouse primary microglial cells
All animal experiments carried out in this study are in compliance with the National Institutes of Health Guide for the Care and Use of Laboratory Animals. Primary microglia cells were isolated from pathogen-free C57Bl/6 mouse pups. After decapitation, the mouse brains were dissected and kept in ice-cold Hank's buffered salt solution (HBSS), with the meninges stripped off. Then, we homogenized those brain tissues at 37°C in Dulbecco’s modified Eagle’s medium (DMEM), supplemented with 10% fetal bovine serum penicillin (50 U/mL), streptomycin (50 lg/mL), Fungizon (0.5 lg/mL), and L-glutamine (2 mM) (Invitrogen, USA). The cell suspension was centrifuged and the pellet was collected, followed by resuspension in fresh medium to remove debris. Cells from two brains were combined and seeded in one T-75 flask at 37 °C in a humidified incubator with 5% CO2. Medium was replaced by fresh medium every four days. After 11-12 days, we isolated the primary microglia cells from the monolayer of astrocytes by agitation. Immunohistochemical approaches were used to assess the purity of isolated microglial cells (95%). Plasmids for cell transfection were synthesized by Gemma Gene (Shanghai, China). The short hairpin RNA (shRNA) sequences are shown as follows. sh-FTO: 5’-AAGGACGTTCCCAATAGCCAA-3’; Scrambled non-targeting RNA: 5’-UUCUCCGAACGUGUCACGUTT-3’. Cells were seeded in a six-well plate and transfection was performed using Lipofectamine 2000 (Invitrogen, USA) in accordance with the manufacturer’s instructions when the confluence reaches 70%.
M. tuberculosis maintenance and infection
M. tuberculosis H37Rv strain was cultivated at 37°C in Middlebrook 7H9 liquid broth (Difco, USA) that contains oleic acid-albumin dextrose catalase (ADC), 0.05% Tween 80 and 0.5% glycerol. One day prior to infection, primary microglial cells were plated in 6-well plates (Falcon, USA) at 2.5×105 cells per well. Cells were then infected with diluted M. tuberculosis H37Rv. The approximate infection ratio is 10 bacilli per microglial cell. To establish murine TB model, we anesthetized mice with isoflurane. 1×105 cfu of H37Rv (based on counts on M7H11 agar plates) in 50 μL of saline was then injected intracerebrally, as descried previously [24].
Cell transfection & in vivo knockdown
Plasmids for cell transfection were synthesized by Gemma Gene (Shanghai, China). The short hairpin RNA (shRNA) sequences are shown as follows. sh-FTO: 5’-AAGGACGTTCCCAATAGCCAA-3’; scrambled non-targeting RNA: 5’-UUCUCCGAACGUGUCACGUTT-3’. Cells were seeded in a six-well plate and transfection was performed using Lipofectamine 2000 (Invitrogen, USA) in accordance with the manufacturer’s instructions when the confluence reaches 70%. For in vivo knockdown, we expressed sh-FTO and the scramble shRNA using a lentivirus vector under the control of U6 promoter. Lenti-Pac HIV Expression Packaging Kit (GeneCopoeia, USA) was used for Lentivirus production. Cortical injection of high-titer lentivirus preparation was performed 24 h after H37Rv infection, directed by a stereotaxic apparatus.
Western blotting
Cells were lysed using lysis buffer with the supernatant collected for further immunoblotting experiments. Before the assay, the concentration of protein was measured using BCA kit (Epizyme, China). Equivalent proteins were then loaded into 10 % SDS-PAGE gels. Separated proteins were then transferred to polyvinylidene difluoride (PVDF) membranes. Membranes were incubated using in tris-buffered saline containing 0.1 % Triton X-100 (TBST) with 5% nonfat milk for 1 h. After blocking, membranes were incubated by primary antibody diluted in TBST overnight at 4 ℃. Concentrations of each antibody used in this study were listed as follows: anti-FTO (1:1,500, Abcam, UK); anti-MMP-9 (1:1,000, Abcam, UK); anti-OX-42 (1:1,000, Invitrogen, USA); anti-METTL14 (1:1,500, Invitrogen, USA); anti-GFAP (1:1,000, Cell Signaling Technology, USA); anti-β-Actin (1:1,000; Sigma, USA); anti-GAPDH (1:2,000, Invitrogen, USA).
Membranes were washed for 5 min using TBST for three times at room temperature. Appropriate secondary antibodies diluted in TBST were then added to those membranes, which were incubated for 1 h at room temperature. After washing in PBST for three times, images were taken for membranes treated with chemiluminescence reagent (Vazyme, China) immediately. All western blotting experiments were performed three times independently, with representative data shown in the figures. Densitometry analysis was conducted using ImageJ software [25].
TUNEL assay
Apoptotic microglial cells were detected by TUNEL assay. Mouse primary microglial cells were cultured and transfected with negative control or sh-FTO on coverslips. After transfection for 72h, cells were harvested and fixed with phosphate buffered saline (PBS) containing 4% formaldehyde (FA) for 20 min. Then cells were kept for 5 min in PBS with 0.2 % Triton X-100 for permeabilization. A TUNEL staining kit was used to stain apoptotic cells according to instructions provided by manufacturer (Abcam, UK). Cell nucleus were stained by PI (50 μg/ml). Slides were examined by Leica DM3000 fluorescence microscopy (Leica, Germany). Images were taken by DFC 420 camera (Leica, Germany).
RNA isolation and quantitative RT-PCR (RT-qPCR)
Total RNA was isolated from cultured primary microglial cells using TRIzol reagent (Invitrogen, USA). Then the RNA was reverse transcribed to cDNA using a reverse transcription kit according to the protocol provided by manufacturer (Vazyme, China). To evaluate the relative mRNA levels, we performed quantitative PCR (qPCR) experiments using Real-time PCR kits (Yeasen, China). Primers used in qPCR were shown as follows: FTO (Forward 5’-CGGTATCTCGCATCCTCATT -3’; Reverse 5’-ATTTCAGCCTCGGTGTGTTT-3’); METTL14 (Forward: 5’-GAGCTGAGAGTGCGGATAGC-3’; Reverse: 5’-GCAGATGTATCATAGGAAGCCC-3’); MMP-9 (Forward: 5’-AGGACCGCTTCTACTGGCG-3’; Reverse: 5’-CTCCTCCCTTTCCTCCAGAAC-3’); ITGAM (OX42) (Forward: 5’-TTTCATGAGCCTGGACTGCC-3’; Reverse: 5’-TTCAAGGCCCCAGACACTTC-3’).
Prediction of m6A sites
m6A sites of MMP-9 and ITGAM transcripts were predicted by SRAMP (sequence-based RNA adenosine methylation site predictor, http://www.cuilab.cn/sramp). Prediction was performed based on default setting.
Methylated RNA immunoprecipitation (MeRIP)
Total RNA was extracted from primary microglial cells using TRIzol (Invitrogen, USA) and treated by DNase I (Sigma Aldrich, USA). rRNA was removed using RiboMinus Eukaryote Kit (Invitrogen, USA). RNAs were then physically fragmented by sonication for 10 seconds on a mixture of ice and water. For MeRIP, RNA fragments were incubated with an anti-N6-methyladenosine antibody (1:1,000, Abcam, USA) or control IgG (1:1,000, Cell Signaling Technology, USA) conjugated to magnetic beads (Invitrogen, USA) in Magna RIP buffer (MilliporeSigma, USA) overnight at 4 °C. The beads were then incubated with Proteinase K for 1.5h at 42 °C. Phenol-chloroform extraction method was used to isolate RNAs. Methylated RNA levels were determined by RT-qPCR followed by agarose gel electrophoresis.
Statistical analysis
All values are presented as the means ± standard deviation. All experiments are performed three times independently. Statistical differences among groups were determined using unpaired Student’s t-test. p values less than 0.05 were considered statistically significant. All statistical analyses in this study were performed by GraphPad Prism 7 software. All data presented in this article are available upon request.
modifier
We first performed an RNA-seq for whole blood from TBM patients and healthy individuals. 907 differentially expressed genes (DEGs) were identified, including 340 up-regulated genes and 567 down-regulated genes (Figure 1A). Among those genes showed a dramatic expression change (fold change > 2 or < 0 xss=removed xss=removed xss=removed xss=removed>
TB induced ectopic FTO expression in mouse primary microglial cells
To investigate the non-redundant role of FTO, we examined its expression in mouse primary microglial cells infected by M.tb. After being co-cultured with H37Rv, a strain of M.tb, for 12 hours, the microglia showed a dramatic increase of FTO level while Mettl14 was not affected (Figure 2A&B), consistent with our RNA-seq data. Unexpectedly, the expression of FTO was notably down-regulated 24 hours post-infection (hpi) compared to 12 hpi (Figure 2 B). This indicated that the FTO induction by TB might be transient and dynamic. We then questioned whether FTO was up-regulated in microglial cells transcriptionally or post-transcriptionally. Quantitative reverse transcription PCR (RT-qPCR) results suggested a much higher transcript abundance of FTO in 12 hpi group compared to both control and 24 hpi group (Figure 3A, consistent to our immunoblotting data. Similarly, Mettl14 was transcriptionally unchanged during TB (Figure 3B). This result implies that RNA demethylation, rather than RNA methylation, was involved in TBM.
TB led to an FTO-dependent upregulation of MMP-9, Ox-42 and GFAP
Based on this finding, we further explored the consequences of ectopic FTO expression in CNS when infected with M.tb. OX-42, also known as CD11b encoded by ITGAM, a marker for activated macrophage was first examined [26-29]. The expression of OX-42 was significantly up-regulated upon TB for 12 h, indicating microglial activation. Similarly, the expression level of Glial fibrillary acid protein (GFAP), a molecular marker for astroglia was also higher than the non-infected group. More importantly, when FTO was depleted by RNAi in TB-infected microglial cells, the expression level of OX-42 and GFAP was restored (p < 0.05, Figure 3A and B upper left). Apart from those two microglial markers, we wondered whether TB-induced FTO also controlled MMP-9, a gelatinase with potential engagement in TBM. As shown in Figure 3 A and B, infected microglia showed a much higher level of MMP-9, and this up-regulation was dramatically mitigated upon FTO knockdown (p < 0>
FTO contributed to apoptosis triggered by TB
The elevated level of MMP-9 may lead to a loss of collagen, which may further promote cell death [30]. Thus, we asked if cell death was also regulated by FTO in the context of TB. TdT-mediated dUTP-biotin nick end labeling (TUNEL) assay was performed to detect cell apoptosis of microglia cells. Inter-nucleosomal DNA fragmentation was stained to indicate cells that have undergone programmed cell death [31]. Apoptotic signals, as labelled red, in microglial cells infected with H37Rv were dramatically up-regulated compared to the control group while FTO depletion notably reduced the positive TUNEL signals (Figure 5A&B). The apoptosis rescued by FTO shRNA indicated that FTO was involved in the regulation of programmed cell death in TBM.
FTO mediates the upregulation of MMP-9 and OX-42 by TB in vivo
Since we have observed that FTO induced the expression of OX-42, GFAP and MMP-9 in primary microglial cells, we wondered if FTO was also required for their elevation in vivo. For the infection group, mouse brains were injected with H37Rv and analyzed after one month (1M). In accordance to the in vitro data, OX-42, GFAP and MMP were all up-regulated in 1M group, and FTO depletion partially restored their expression level in cortex neurons infected with H37Rv for one month (Figure 6 A&B). Consistently, our in vivo experiment supported that FTO induced the expression of MMP-9, OX-42 and GFAP (Figure 6 A, C, D and E). Since OX-42 and GFAP are the indicative markers for microglia and astroglia respectively, this result might indicate that FTO can regulate the activation of microglia and astroglia.
TB induces the demethylation of OX-42 and MMP-9 transcripts
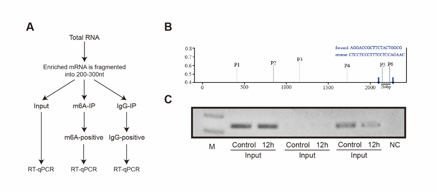
Considering the role of FTO in mRNA modification, we hypothesized that FTO controlled the expression of OX-42 and MMP-9 via directly demethylating their transcripts. To test this hypothesis, we first performed an in silico prediction of the m6A sites in those two transcripts using SCRAMP. It was shown that MMP-9 possessed 6 potential methylation sites, among which three sites are over moderate confidence. To experimentally verify this, we combined RNA immunoprecipitation (RIP) and RT-qPCR. The antibody that specifically recognizes m6A site was harnessed in our RNA immunoprecipitation assay to pulldown the transcripts with m6A modification. A control IgG was used as a control to confirm the antibody specificity. Then, those transcripts were reverse transcribed and amplified, which was subjected to electrophoresis for a final detection (Figure 7A). Primers was designed for a 241-bp amplicon in MMP-9 transcript that covers candidate site P5 (2139) and P6 (2225) (Figure 7B). By electrophoresis, the m6A modification in the transcript of MMP-9 was validated in cultured non-infected microglia with no amplified signal in the IgG-pulldown group. More importantly, when infected with M.tb for 12h, the level significantly reduced, suggesting an enhanced demethylation by up-regulated FTO. The same approach that combines bioinformatic analysis and RIP/RT-qPCR was used to detect the m6A modification of OX-42 as well (Figure 8A). Analysis by SRAMP discovered 9 out of 12 potential methylation sites over moderate confidence in the transcript of OX-42. Based on this, we amplified a fragment that allows a simultaneous detection for any m6A modification of 4 candidate sites (P7-P10, i.e., 2364, 2459, 2503 and 2525) (Figure 8B). Similarly, m6A modification was found in RNAs pulled down by m6A-specific antibodies and this level was reduced 12 hpi (Figure 8C). Those data demonstrated that MMP-9 and OX-42 were post-transcriptionally regulated by m6A modification, and m6A level declined upon TB, coinciding with the up-regulation of FTO. Taken together, our results suggested that TB induced the expression of MMP-9 and OX-42 in an FTO-dependent manner.

Figure 1: Transcriptional profile alterations induced by TBM.
A. Volcano plot depicting all differentially expressed genes (DEGs)
B. Heatmap showing the expression of genes involved in m6A modification

Figure 2: The expression of FTO and METTL14 in M.tb infected and non-infected mouse primary microglial cells
A. Representative Western blots of FTO and METTL14 in mouse primary microglia co-cultured with H37Rv for 12h or 24h.
B. Associated quantitative analysis of FTO and METTL14. *p < 0.05 versus non-infected (Control) group; #p < 0.05 versus 12h group.

Figure 3: TB alters the transcriptional profile of FTO in mouse primary microglia
A. mRNA level of METTL14 is not affected upon M.tb infection.
B. mRNA level of FTO is increased in microglia infected by M.tb after 12h and 24h. *p <0.05 versus non-infected control group; ***p < 0.01 versus the control group.

Figure 4: FTO is required for the up-regulation of ITGAM, MMP-9, and GFAP in primary microglia by TB.
A. Representative Western blots of OX-42, MMP-9 and GFAP in non-infected (Control), 12h-infection (12h) and 12h-infection microglia transfected with sh-FTO (12h+sh-FTO). Actin was used as an internal control.
B. Associated quantification. *p < 0.05 versus control group; ***p < 0.01 versus 12 h-infection group; #p < 0.05 versus control group; ###p < 0.05 versus control group.

Figure 5: FTO is required for microglial apoptosis caused by TB.
A. TUNEL assay of microglial cell in control, 12h and 12h+sh-FTO group. Nuclei is shown in blue while positive TUNEL signals that indicate apoptosis are in red.
B. Quantification of apoptotic cell number. ***p< 0.01 versus control group; ###p < 0.01 versus microglial cell treated with H37Rv for 12h.

Figure 6: FTO positively regulates MMP-9, OX-42 and GFAP in vivo
A. Representative immunoblots of FTO, OX-42, MMP-9 and GFAP in mouse cortex neuron from uninfected individuals (Ctrl), individuals infected with M.tb for a month (1M) and individuals infected for a month with FTO knockdown (1M+shFTO). GAPDH was used as an internal control.
B. Densitometry analysis of FTO. ** p < 0.01 versus control group; ### p<0.001 versus 1M group.
C. Densitometry analysis of MMP-9. **** p < 0.0001 versus control group; # p < 0.05 versus 1M group.
D. Densitometry analysis of GFAP. *** p < 0.001 versus control group; ### p< 0.001 versus 1M group.
E. Densitometry analysis of OX-42. *** p < 0.001 versus control group; ## p< 0.01 versus 1M group.

Figure 7: The mRNA of MMP-9 is demethylated in M.tb-infected microglial cells.
A. Schematic diagram showing the detecting workflow for MMP-9 transcripts.
B. Predicted m6A sites and target fragment amplified using indicated primers on MMP-9 mRNA transcripts.
C. Target fragment amplified from MMP-9 transcripts pulled down by indicated antibodies from normal (Control) and primary microglia infected with M.tb for 12h (12h), examined by agarose gel electrophoresis. M: ladder marker; NC: negative control (no reverse transcription template).

Figure 8: The mRNA of OX-42 is demethylated in M.tb-infected microglial cells.
A. Predicted m6A sites and target fragment amplified using indicated primers on OX-42 mRNA transcripts.
B. Target fragment amplified from MMP-9 transcripts pulled down by indicated antibodies from normal (Control) and primary microglia infected with M.tb for 12h (12h), examined by agarose gel electrophoresis. M: ladder marker. NC: negative control (no template control).
The main treatment strategy for MBT is antibiotic therapy based on the strategy for pulmonary TB. Yet, due to the limited penetration of BBB, the drug level in cerebrospinal fluid (CSF) may be insufficient with no standard for optimal drug dosage and combination established so far. For antibiotic-resistant TBM, few effective therapeutic approaches have been reported, which is normally led to extremely poor outcome [32]. The lack of therapeutic strategy may be largely attributed to the insufficient understanding of the molecular mechanism underlying TBM pathogenesis. Therefore, in-depth study of TBM is important for therapy development. Here, we verified the involvement of m6A in TBM progression, providing novel insights into TBM pathogenesis.
Physiologically, the expression of MMP-9 is limited in CNS. Clinal studies establish that the abnormally high concentration of MMP-9 in CSF of TBM patients is associated to TBM severity, including tissue damage and neurological compromise [9, 33]. Host-directed drug that specifically targets MMP-9 may provide a solution adjunctive with conventional antibacterial therapy. The MMP-9-specific inhibitor SB-3CT was shown to enhance TB bacilli clearing while BBB disruption was also ameliorated for TBM rats treated with another MMP inhibitor, Batimastat (BB-94) [34, 35]. Although MMP-9 plays a vital role in TBM and has been studies clinically and pharmaceutically, how MMP-9 is up-regulated in TBM remains largely unknown. Our study identifies FTO as the positive regulator of MMP-9. This is supported by our data that MMP-9 is upregulated during TB and that FTO RNAi reversed the elevation of MMP-9 (Figure 4 and Figure 6). Furthermore, RNA immunoprecipitation experiments validated the m6A modification in MMP-9 transcript, which are directly controlled by FTO (Figure 7).
m6A is a common RNA modification, playing a multifaceted role in mRNA modulation. It is estimated that m6A occurs in approximately 30% transcripts [36]. Due to the universality of m6A, it regulates the expression of a myriad of genes, thereby exerting important functions physiologically. Thus, m6A disruption may lead to aberrant gene expression, which further causes the dysregulation of cellular functions. It is widely believed that m6A is involved in many diseases, such as cancers, psychiatric disorders, osteoporosis, and metabolic disease [36]. However, only a few studies link m6A with infectious disease. For instance, m6A-modified viral transcripts are less likely to bind to cytosolic RIG-I-like receptors to trigger antiviral signaling [37]. It is also demonstrated that m6A regulators participate in other immunoregulatory processes, including inflammatory response and autoimmune [38, 39]. However, little is known about the role of m6A in bacterial infectious diseases. This is the first study that establishes the link between m6A and bacterial infection.
Herein, robust evidences are provided to support that the m6A demethylase FTO (but not the methyltransferase Mettl14) is involved in TBM. We first showed that TB induces the ectopic expression of FTO in both cultured microglial cells (Figure 2 and Figure 3) and in vivo (Figure 6), and then functionally validated the engagement of FTO in TB-induced apoptosis (Figure 5). Intriguingly, FTO is shown to be a positive regulator of apoptosis in the context of TBM, which is a founding contradictory to the majority of previous studies. FTO is considered as an apoptotic inhibitor since its overexpression inhibits apoptosis while its knockdown promotes cell death. This apoptotic-inhibiting role is confirmed in a wide range of contexts, including adipocytes, multiple cancer cells and myocardial cells with hypoxia/reoxygenation injury [40-43]. By contrast, the pro-apoptotic function is much less frequently reported, limited to only a few cancer types such as clear cell renal cell carcinoma and intrahepatic cholangiocarcinoma [44, 45]. These contradictory results suggest that FTO plays a dual role in apoptosis modulation, which is likely to be transcriptional context-dependent. Our data also highlighted that TB altered the epigenetic landscape of the transcripts of MMP-9 and OX42 by inducing the ectopic expression of m6A eraser FTO. The uninstallation of m6A then stabilizes the mRNA of MMP-9 and OX-42, ultimately leading to their upregulation. Considering the role of MMP-9, FTO may be a potential therapeutic target for TBM. Upon inhibition of FTO, the MMP-9 down-regulation may at least partially restore the BBB integrity and alleviate CNS tissue destruction. Actually, MMP-9 is not the only known MMP controlled by FTO, a study in 2020 found that FTO was also overexpressed in esophageal squamous cell carcinoma and it contributes to the up-regulation of MMP13 [46]. We speculate that the transcripts of other MMPs may also harbor m6A modification sites, which were also regulated by FTO, and that FTO-dependent MMP regulation may be implicated in diseases beyond cancer and TBM.
Apart from MMP-9, we also found the m6A sites in the mRNA of OX42 (integrin subunit alpha M or ITGAM). Similar to MMP-9, our data suggest that TB promoted the demethylation and stabilization of OX-42 transcript, causing the upregulation of OX-42. OX-42 is a component of complement receptor 3, a critical molecule in pro-inflammatory responses [47], which normally remains expressed at a low level in the CNS [48]. Genome-wide association study (GWAS) data unveiled the genetic association between OX-42 and several autoimmune diseases, such as systemic lupus erythematosus, scleroderma and multiple sclerosis [29, 49, 50]. By genotyping patients with common variable immunodeficiency disorders, Maggadottir et al. found that multiple signaling pathways of B and T cell are enriched in OX-42-interacting network [51]. Although these hypothesis-free GWAS studies established OX-42 as a risk factor of autoimmune diseases and identified the risk alleles based on single nucleotide polymorphisms (SNPs), it is still unknown how these SNPs affect the expression of OX-42. Furthermore, functional research into OX-42 is sparse [52]. Thus, it still remains a question how OX-42 is regulated in vivo and whether OX-42 is involved and dysregulated in other diseases. Our data not only illuminated the abnormal elevation of OX-42 in CNS infected by M.tb (Figure 4 and Figure 6), but also mechanically demonstrated that this upregulation is mediated by m6A demethylation FTO (Figure 8). This finding suggests that the role of OX-42 may be more diverse than we expected, at least not limited in autoimmunity.
Taken together, our study shed light on the involvement of m6A modification in TBM, and the removal of m6A in the transcripts of MMP-9 and OX42 led to their stabilization, which may further functionally contribute to the development of TBM. Our study deepened the current understanding of TBM pathogenesis and more importantly, provided new insights into the development of non-antibiotic therapy of TBM.
Clearly Auctoresonline and particularly Psychology and Mental Health Care Journal is dedicated to improving health care services for individuals and populations. The editorial boards' ability to efficiently recognize and share the global importance of health literacy with a variety of stakeholders. Auctoresonline publishing platform can be used to facilitate of optimal client-based services and should be added to health care professionals' repertoire of evidence-based health care resources.
Journal of Clinical Cardiology and Cardiovascular Intervention The submission and review process was adequate. However I think that the publication total value should have been enlightened in early fases. Thank you for all.
Journal of Women Health Care and Issues By the present mail, I want to say thank to you and tour colleagues for facilitating my published article. Specially thank you for the peer review process, support from the editorial office. I appreciate positively the quality of your journal.
Journal of Clinical Research and Reports I would be very delighted to submit my testimonial regarding the reviewer board and the editorial office. The reviewer board were accurate and helpful regarding any modifications for my manuscript. And the editorial office were very helpful and supportive in contacting and monitoring with any update and offering help. It was my pleasure to contribute with your promising Journal and I am looking forward for more collaboration.
We would like to thank the Journal of Thoracic Disease and Cardiothoracic Surgery because of the services they provided us for our articles. The peer-review process was done in a very excellent time manner, and the opinions of the reviewers helped us to improve our manuscript further. The editorial office had an outstanding correspondence with us and guided us in many ways. During a hard time of the pandemic that is affecting every one of us tremendously, the editorial office helped us make everything easier for publishing scientific work. Hope for a more scientific relationship with your Journal.
The peer-review process which consisted high quality queries on the paper. I did answer six reviewers’ questions and comments before the paper was accepted. The support from the editorial office is excellent.
Journal of Neuroscience and Neurological Surgery. I had the experience of publishing a research article recently. The whole process was simple from submission to publication. The reviewers made specific and valuable recommendations and corrections that improved the quality of my publication. I strongly recommend this Journal.
Dr. Katarzyna Byczkowska My testimonial covering: "The peer review process is quick and effective. The support from the editorial office is very professional and friendly. Quality of the Clinical Cardiology and Cardiovascular Interventions is scientific and publishes ground-breaking research on cardiology that is useful for other professionals in the field.
Thank you most sincerely, with regard to the support you have given in relation to the reviewing process and the processing of my article entitled "Large Cell Neuroendocrine Carcinoma of The Prostate Gland: A Review and Update" for publication in your esteemed Journal, Journal of Cancer Research and Cellular Therapeutics". The editorial team has been very supportive.
Testimony of Journal of Clinical Otorhinolaryngology: work with your Reviews has been a educational and constructive experience. The editorial office were very helpful and supportive. It was a pleasure to contribute to your Journal.
Dr. Bernard Terkimbi Utoo, I am happy to publish my scientific work in Journal of Women Health Care and Issues (JWHCI). The manuscript submission was seamless and peer review process was top notch. I was amazed that 4 reviewers worked on the manuscript which made it a highly technical, standard and excellent quality paper. I appreciate the format and consideration for the APC as well as the speed of publication. It is my pleasure to continue with this scientific relationship with the esteem JWHCI.
This is an acknowledgment for peer reviewers, editorial board of Journal of Clinical Research and Reports. They show a lot of consideration for us as publishers for our research article “Evaluation of the different factors associated with side effects of COVID-19 vaccination on medical students, Mutah university, Al-Karak, Jordan”, in a very professional and easy way. This journal is one of outstanding medical journal.
Dear Hao Jiang, to Journal of Nutrition and Food Processing We greatly appreciate the efficient, professional and rapid processing of our paper by your team. If there is anything else we should do, please do not hesitate to let us know. On behalf of my co-authors, we would like to express our great appreciation to editor and reviewers.
As an author who has recently published in the journal "Brain and Neurological Disorders". I am delighted to provide a testimonial on the peer review process, editorial office support, and the overall quality of the journal. The peer review process at Brain and Neurological Disorders is rigorous and meticulous, ensuring that only high-quality, evidence-based research is published. The reviewers are experts in their fields, and their comments and suggestions were constructive and helped improve the quality of my manuscript. The review process was timely and efficient, with clear communication from the editorial office at each stage. The support from the editorial office was exceptional throughout the entire process. The editorial staff was responsive, professional, and always willing to help. They provided valuable guidance on formatting, structure, and ethical considerations, making the submission process seamless. Moreover, they kept me informed about the status of my manuscript and provided timely updates, which made the process less stressful. The journal Brain and Neurological Disorders is of the highest quality, with a strong focus on publishing cutting-edge research in the field of neurology. The articles published in this journal are well-researched, rigorously peer-reviewed, and written by experts in the field. The journal maintains high standards, ensuring that readers are provided with the most up-to-date and reliable information on brain and neurological disorders. In conclusion, I had a wonderful experience publishing in Brain and Neurological Disorders. The peer review process was thorough, the editorial office provided exceptional support, and the journal's quality is second to none. I would highly recommend this journal to any researcher working in the field of neurology and brain disorders.
Dear Agrippa Hilda, Journal of Neuroscience and Neurological Surgery, Editorial Coordinator, I trust this message finds you well. I want to extend my appreciation for considering my article for publication in your esteemed journal. I am pleased to provide a testimonial regarding the peer review process and the support received from your editorial office. The peer review process for my paper was carried out in a highly professional and thorough manner. The feedback and comments provided by the authors were constructive and very useful in improving the quality of the manuscript. This rigorous assessment process undoubtedly contributes to the high standards maintained by your journal.
International Journal of Clinical Case Reports and Reviews. I strongly recommend to consider submitting your work to this high-quality journal. The support and availability of the Editorial staff is outstanding and the review process was both efficient and rigorous.
Thank you very much for publishing my Research Article titled “Comparing Treatment Outcome Of Allergic Rhinitis Patients After Using Fluticasone Nasal Spray And Nasal Douching" in the Journal of Clinical Otorhinolaryngology. As Medical Professionals we are immensely benefited from study of various informative Articles and Papers published in this high quality Journal. I look forward to enriching my knowledge by regular study of the Journal and contribute my future work in the field of ENT through the Journal for use by the medical fraternity. The support from the Editorial office was excellent and very prompt. I also welcome the comments received from the readers of my Research Article.
Dear Erica Kelsey, Editorial Coordinator of Cancer Research and Cellular Therapeutics Our team is very satisfied with the processing of our paper by your journal. That was fast, efficient, rigorous, but without unnecessary complications. We appreciated the very short time between the submission of the paper and its publication on line on your site.
I am very glad to say that the peer review process is very successful and fast and support from the Editorial Office. Therefore, I would like to continue our scientific relationship for a long time. And I especially thank you for your kindly attention towards my article. Have a good day!
"We recently published an article entitled “Influence of beta-Cyclodextrins upon the Degradation of Carbofuran Derivatives under Alkaline Conditions" in the Journal of “Pesticides and Biofertilizers” to show that the cyclodextrins protect the carbamates increasing their half-life time in the presence of basic conditions This will be very helpful to understand carbofuran behaviour in the analytical, agro-environmental and food areas. We greatly appreciated the interaction with the editor and the editorial team; we were particularly well accompanied during the course of the revision process, since all various steps towards publication were short and without delay".
I would like to express my gratitude towards you process of article review and submission. I found this to be very fair and expedient. Your follow up has been excellent. I have many publications in national and international journal and your process has been one of the best so far. Keep up the great work.
We are grateful for this opportunity to provide a glowing recommendation to the Journal of Psychiatry and Psychotherapy. We found that the editorial team were very supportive, helpful, kept us abreast of timelines and over all very professional in nature. The peer review process was rigorous, efficient and constructive that really enhanced our article submission. The experience with this journal remains one of our best ever and we look forward to providing future submissions in the near future.
I am very pleased to serve as EBM of the journal, I hope many years of my experience in stem cells can help the journal from one way or another. As we know, stem cells hold great potential for regenerative medicine, which are mostly used to promote the repair response of diseased, dysfunctional or injured tissue using stem cells or their derivatives. I think Stem Cell Research and Therapeutics International is a great platform to publish and share the understanding towards the biology and translational or clinical application of stem cells.
I would like to give my testimony in the support I have got by the peer review process and to support the editorial office where they were of asset to support young author like me to be encouraged to publish their work in your respected journal and globalize and share knowledge across the globe. I really give my great gratitude to your journal and the peer review including the editorial office.
I am delighted to publish our manuscript entitled "A Perspective on Cocaine Induced Stroke - Its Mechanisms and Management" in the Journal of Neuroscience and Neurological Surgery. The peer review process, support from the editorial office, and quality of the journal are excellent. The manuscripts published are of high quality and of excellent scientific value. I recommend this journal very much to colleagues.
Dr.Tania Muñoz, My experience as researcher and author of a review article in The Journal Clinical Cardiology and Interventions has been very enriching and stimulating. The editorial team is excellent, performs its work with absolute responsibility and delivery. They are proactive, dynamic and receptive to all proposals. Supporting at all times the vast universe of authors who choose them as an option for publication. The team of review specialists, members of the editorial board, are brilliant professionals, with remarkable performance in medical research and scientific methodology. Together they form a frontline team that consolidates the JCCI as a magnificent option for the publication and review of high-level medical articles and broad collective interest. I am honored to be able to share my review article and open to receive all your comments.
“The peer review process of JPMHC is quick and effective. Authors are benefited by good and professional reviewers with huge experience in the field of psychology and mental health. The support from the editorial office is very professional. People to contact to are friendly and happy to help and assist any query authors might have. Quality of the Journal is scientific and publishes ground-breaking research on mental health that is useful for other professionals in the field”.
Dear editorial department: On behalf of our team, I hereby certify the reliability and superiority of the International Journal of Clinical Case Reports and Reviews in the peer review process, editorial support, and journal quality. Firstly, the peer review process of the International Journal of Clinical Case Reports and Reviews is rigorous, fair, transparent, fast, and of high quality. The editorial department invites experts from relevant fields as anonymous reviewers to review all submitted manuscripts. These experts have rich academic backgrounds and experience, and can accurately evaluate the academic quality, originality, and suitability of manuscripts. The editorial department is committed to ensuring the rigor of the peer review process, while also making every effort to ensure a fast review cycle to meet the needs of authors and the academic community. Secondly, the editorial team of the International Journal of Clinical Case Reports and Reviews is composed of a group of senior scholars and professionals with rich experience and professional knowledge in related fields. The editorial department is committed to assisting authors in improving their manuscripts, ensuring their academic accuracy, clarity, and completeness. Editors actively collaborate with authors, providing useful suggestions and feedback to promote the improvement and development of the manuscript. We believe that the support of the editorial department is one of the key factors in ensuring the quality of the journal. Finally, the International Journal of Clinical Case Reports and Reviews is renowned for its high- quality articles and strict academic standards. The editorial department is committed to publishing innovative and academically valuable research results to promote the development and progress of related fields. The International Journal of Clinical Case Reports and Reviews is reasonably priced and ensures excellent service and quality ratio, allowing authors to obtain high-level academic publishing opportunities in an affordable manner. I hereby solemnly declare that the International Journal of Clinical Case Reports and Reviews has a high level of credibility and superiority in terms of peer review process, editorial support, reasonable fees, and journal quality. Sincerely, Rui Tao.
Clinical Cardiology and Cardiovascular Interventions I testity the covering of the peer review process, support from the editorial office, and quality of the journal.
Clinical Cardiology and Cardiovascular Interventions, we deeply appreciate the interest shown in our work and its publication. It has been a true pleasure to collaborate with you. The peer review process, as well as the support provided by the editorial office, have been exceptional, and the quality of the journal is very high, which was a determining factor in our decision to publish with you.
The peer reviewers process is quick and effective, the supports from editorial office is excellent, the quality of journal is high. I would like to collabroate with Internatioanl journal of Clinical Case Reports and Reviews journal clinically in the future time.
Clinical Cardiology and Cardiovascular Interventions, I would like to express my sincerest gratitude for the trust placed in our team for the publication in your journal. It has been a true pleasure to collaborate with you on this project. I am pleased to inform you that both the peer review process and the attention from the editorial coordination have been excellent. Your team has worked with dedication and professionalism to ensure that your publication meets the highest standards of quality. We are confident that this collaboration will result in mutual success, and we are eager to see the fruits of this shared effort.
Dear Dr. Jessica Magne, Editorial Coordinator 0f Clinical Cardiology and Cardiovascular Interventions, I hope this message finds you well. I want to express my utmost gratitude for your excellent work and for the dedication and speed in the publication process of my article titled "Navigating Innovation: Qualitative Insights on Using Technology for Health Education in Acute Coronary Syndrome Patients." I am very satisfied with the peer review process, the support from the editorial office, and the quality of the journal. I hope we can maintain our scientific relationship in the long term.
Dear Monica Gissare, - Editorial Coordinator of Nutrition and Food Processing. ¨My testimony with you is truly professional, with a positive response regarding the follow-up of the article and its review, you took into account my qualities and the importance of the topic¨.
Dear Editorial Coordinator of the Journal of Nutrition and Food Processing! "I would like to thank the Journal of Nutrition and Food Processing for including and publishing my article. The peer review process was very quick, movement and precise. The Editorial Board has done an extremely conscientious job with much help, valuable comments and advices. I find the journal very valuable from a professional point of view, thank you very much for allowing me to be part of it and I would like to participate in the future!”
Dealing with The Journal of Neurology and Neurological Surgery was very smooth and comprehensive. The office staff took time to address my needs and the response from editors and the office was prompt and fair. I certainly hope to publish with this journal again.Their professionalism is apparent and more than satisfactory. Susan Weiner
My Testimonial Covering as fellowing: Lin-Show Chin. The peer reviewers process is quick and effective, the supports from editorial office is excellent, the quality of journal is high. I would like to collabroate with Internatioanl journal of Clinical Case Reports and Reviews.
My experience publishing in Psychology and Mental Health Care was exceptional. The peer review process was rigorous and constructive, with reviewers providing valuable insights that helped enhance the quality of our work. The editorial team was highly supportive and responsive, making the submission process smooth and efficient. The journal's commitment to high standards and academic rigor makes it a respected platform for quality research. I am grateful for the opportunity to publish in such a reputable journal.
My experience publishing in International Journal of Clinical Case Reports and Reviews was exceptional. I Come forth to Provide a Testimonial Covering the Peer Review Process and the editorial office for the Professional and Impartial Evaluation of the Manuscript.
I would like to offer my testimony in the support. I have received through the peer review process and support the editorial office where they are to support young authors like me, encourage them to publish their work in your esteemed journals, and globalize and share knowledge globally. I really appreciate your journal, peer review, and editorial office.
Dear Agrippa Hilda- Editorial Coordinator of Journal of Neuroscience and Neurological Surgery, "The peer review process was very quick and of high quality, which can also be seen in the articles in the journal. The collaboration with the editorial office was very good."
I would like to express my sincere gratitude for the support and efficiency provided by the editorial office throughout the publication process of my article, “Delayed Vulvar Metastases from Rectal Carcinoma: A Case Report.” I greatly appreciate the assistance and guidance I received from your team, which made the entire process smooth and efficient. The peer review process was thorough and constructive, contributing to the overall quality of the final article. I am very grateful for the high level of professionalism and commitment shown by the editorial staff, and I look forward to maintaining a long-term collaboration with the International Journal of Clinical Case Reports and Reviews.
To Dear Erin Aust, I would like to express my heartfelt appreciation for the opportunity to have my work published in this esteemed journal. The entire publication process was smooth and well-organized, and I am extremely satisfied with the final result. The Editorial Team demonstrated the utmost professionalism, providing prompt and insightful feedback throughout the review process. Their clear communication and constructive suggestions were invaluable in enhancing my manuscript, and their meticulous attention to detail and dedication to quality are truly commendable. Additionally, the support from the Editorial Office was exceptional. From the initial submission to the final publication, I was guided through every step of the process with great care and professionalism. The team's responsiveness and assistance made the entire experience both easy and stress-free. I am also deeply impressed by the quality and reputation of the journal. It is an honor to have my research featured in such a respected publication, and I am confident that it will make a meaningful contribution to the field.
"I am grateful for the opportunity of contributing to [International Journal of Clinical Case Reports and Reviews] and for the rigorous review process that enhances the quality of research published in your esteemed journal. I sincerely appreciate the time and effort of your team who have dedicatedly helped me in improvising changes and modifying my manuscript. The insightful comments and constructive feedback provided have been invaluable in refining and strengthening my work".
I thank the ‘Journal of Clinical Research and Reports’ for accepting this article for publication. This is a rigorously peer reviewed journal which is on all major global scientific data bases. I note the review process was prompt, thorough and professionally critical. It gave us an insight into a number of important scientific/statistical issues. The review prompted us to review the relevant literature again and look at the limitations of the study. The peer reviewers were open, clear in the instructions and the editorial team was very prompt in their communication. This journal certainly publishes quality research articles. I would recommend the journal for any future publications.
Dear Jessica Magne, with gratitude for the joint work. Fast process of receiving and processing the submitted scientific materials in “Clinical Cardiology and Cardiovascular Interventions”. High level of competence of the editors with clear and correct recommendations and ideas for enriching the article.
We found the peer review process quick and positive in its input. The support from the editorial officer has been very agile, always with the intention of improving the article and taking into account our subsequent corrections.
My article, titled 'No Way Out of the Smartphone Epidemic Without Considering the Insights of Brain Research,' has been republished in the International Journal of Clinical Case Reports and Reviews. The review process was seamless and professional, with the editors being both friendly and supportive. I am deeply grateful for their efforts.
To Dear Erin Aust – Editorial Coordinator of Journal of General Medicine and Clinical Practice! I declare that I am absolutely satisfied with your work carried out with great competence in following the manuscript during the various stages from its receipt, during the revision process to the final acceptance for publication. Thank Prof. Elvira Farina
Dear Jessica, and the super professional team of the ‘Clinical Cardiology and Cardiovascular Interventions’ I am sincerely grateful to the coordinated work of the journal team for the no problem with the submission of my manuscript: “Cardiometabolic Disorders in A Pregnant Woman with Severe Preeclampsia on the Background of Morbid Obesity (Case Report).” The review process by 5 experts was fast, and the comments were professional, which made it more specific and academic, and the process of publication and presentation of the article was excellent. I recommend that my colleagues publish articles in this journal, and I am interested in further scientific cooperation. Sincerely and best wishes, Dr. Oleg Golyanovskiy.
Dear Ashley Rosa, Editorial Coordinator of the journal - Psychology and Mental Health Care. " The process of obtaining publication of my article in the Psychology and Mental Health Journal was positive in all areas. The peer review process resulted in a number of valuable comments, the editorial process was collaborative and timely, and the quality of this journal has been quickly noticed, resulting in alternative journals contacting me to publish with them." Warm regards, Susan Anne Smith, PhD. Australian Breastfeeding Association.
Dear Jessica Magne, Editorial Coordinator, Clinical Cardiology and Cardiovascular Interventions, Auctores Publishing LLC. I appreciate the journal (JCCI) editorial office support, the entire team leads were always ready to help, not only on technical front but also on thorough process. Also, I should thank dear reviewers’ attention to detail and creative approach to teach me and bring new insights by their comments. Surely, more discussions and introduction of other hemodynamic devices would provide better prevention and management of shock states. Your efforts and dedication in presenting educational materials in this journal are commendable. Best wishes from, Farahnaz Fallahian.
Dear Maria Emerson, Editorial Coordinator, International Journal of Clinical Case Reports and Reviews, Auctores Publishing LLC. I am delighted to have published our manuscript, "Acute Colonic Pseudo-Obstruction (ACPO): A rare but serious complication following caesarean section." I want to thank the editorial team, especially Maria Emerson, for their prompt review of the manuscript, quick responses to queries, and overall support. Yours sincerely Dr. Victor Olagundoye.
Dear Ashley Rosa, Editorial Coordinator, International Journal of Clinical Case Reports and Reviews. Many thanks for publishing this manuscript after I lost confidence the editors were most helpful, more than other journals Best wishes from, Susan Anne Smith, PhD. Australian Breastfeeding Association.
Dear Agrippa Hilda, Editorial Coordinator, Journal of Neuroscience and Neurological Surgery. The entire process including article submission, review, revision, and publication was extremely easy. The journal editor was prompt and helpful, and the reviewers contributed to the quality of the paper. Thank you so much! Eric Nussbaum, MD
Dr Hala Al Shaikh This is to acknowledge that the peer review process for the article ’ A Novel Gnrh1 Gene Mutation in Four Omani Male Siblings, Presentation and Management ’ sent to the International Journal of Clinical Case Reports and Reviews was quick and smooth. The editorial office was prompt with easy communication.
Dear Erin Aust, Editorial Coordinator, Journal of General Medicine and Clinical Practice. We are pleased to share our experience with the “Journal of General Medicine and Clinical Practice”, following the successful publication of our article. The peer review process was thorough and constructive, helping to improve the clarity and quality of the manuscript. We are especially thankful to Ms. Erin Aust, the Editorial Coordinator, for her prompt communication and continuous support throughout the process. Her professionalism ensured a smooth and efficient publication experience. The journal upholds high editorial standards, and we highly recommend it to fellow researchers seeking a credible platform for their work. Best wishes By, Dr. Rakhi Mishra.
Dear Jessica Magne, Editorial Coordinator, Clinical Cardiology and Cardiovascular Interventions, Auctores Publishing LLC. The peer review process of the journal of Clinical Cardiology and Cardiovascular Interventions was excellent and fast, as was the support of the editorial office and the quality of the journal. Kind regards Walter F. Riesen Prof. Dr. Dr. h.c. Walter F. Riesen.
Dear Ashley Rosa, Editorial Coordinator, International Journal of Clinical Case Reports and Reviews, Auctores Publishing LLC. Thank you for publishing our article, Exploring Clozapine's Efficacy in Managing Aggression: A Multiple Single-Case Study in Forensic Psychiatry in the international journal of clinical case reports and reviews. We found the peer review process very professional and efficient. The comments were constructive, and the whole process was efficient. On behalf of the co-authors, I would like to thank you for publishing this article. With regards, Dr. Jelle R. Lettinga.
Dear Clarissa Eric, Editorial Coordinator, Journal of Clinical Case Reports and Studies, I would like to express my deep admiration for the exceptional professionalism demonstrated by your journal. I am thoroughly impressed by the speed of the editorial process, the substantive and insightful reviews, and the meticulous preparation of the manuscript for publication. Additionally, I greatly appreciate the courteous and immediate responses from your editorial office to all my inquiries. Best Regards, Dariusz Ziora
Dear Chrystine Mejia, Editorial Coordinator, Journal of Neurodegeneration and Neurorehabilitation, Auctores Publishing LLC, We would like to thank the editorial team for the smooth and high-quality communication leading up to the publication of our article in the Journal of Neurodegeneration and Neurorehabilitation. The reviewers have extensive knowledge in the field, and their relevant questions helped to add value to our publication. Kind regards, Dr. Ravi Shrivastava.
Dear Clarissa Eric, Editorial Coordinator, Journal of Clinical Case Reports and Studies, Auctores Publishing LLC, USA Office: +1-(302)-520-2644. I would like to express my sincere appreciation for the efficient and professional handling of my case report by the ‘Journal of Clinical Case Reports and Studies’. The peer review process was not only fast but also highly constructive—the reviewers’ comments were clear, relevant, and greatly helped me improve the quality and clarity of my manuscript. I also received excellent support from the editorial office throughout the process. Communication was smooth and timely, and I felt well guided at every stage, from submission to publication. The overall quality and rigor of the journal are truly commendable. I am pleased to have published my work with Journal of Clinical Case Reports and Studies, and I look forward to future opportunities for collaboration. Sincerely, Aline Tollet, UCLouvain.
Dear Ms. Mayra Duenas, Editorial Coordinator, International Journal of Clinical Case Reports and Reviews. “The International Journal of Clinical Case Reports and Reviews represented the “ideal house” to share with the research community a first experience with the use of the Simeox device for speech rehabilitation. High scientific reputation and attractive website communication were first determinants for the selection of this Journal, and the following submission process exceeded expectations: fast but highly professional peer review, great support by the editorial office, elegant graphic layout. Exactly what a dynamic research team - also composed by allied professionals - needs!" From, Chiara Beccaluva, PT - Italy.
Dear Maria Emerson, Editorial Coordinator, we have deeply appreciated the professionalism demonstrated by the International Journal of Clinical Case Reports and Reviews. The reviewers have extensive knowledge of our field and have been very efficient and fast in supporting the process. I am really looking forward to further collaboration. Thanks. Best regards, Dr. Claudio Ligresti
Dear Chrystine Mejia, Editorial Coordinator, Journal of Neurodegeneration and Neurorehabilitation. “The peer review process was efficient and constructive, and the editorial office provided excellent communication and support throughout. The journal ensures scientific rigor and high editorial standards, while also offering a smooth and timely publication process. We sincerely appreciate the work of the editorial team in facilitating the dissemination of innovative approaches such as the Bonori Method.” Best regards, Dr. Matteo Bonori.
I recommend without hesitation submitting relevant papers on medical decision making to the International Journal of Clinical Case Reports and Reviews. I am very grateful to the editorial staff. Maria Emerson was a pleasure to communicate with. The time from submission to publication was an extremely short 3 weeks. The editorial staff submitted the paper to three reviewers. Two of the reviewers commented positively on the value of publishing the paper. The editorial staff quickly recognized the third reviewer’s comments as an unjust attempt to reject the paper. I revised the paper as recommended by the first two reviewers.
Dear Maria Emerson, Editorial Coordinator, Journal of Clinical Research and Reports. Thank you for publishing our case report: "Clinical Case of Effective Fetal Stem Cells Treatment in a Patient with Autism Spectrum Disorder" within the "Journal of Clinical Research and Reports" being submitted by the team of EmCell doctors from Kyiv, Ukraine. We much appreciate a professional and transparent peer-review process from Auctores. All research Doctors are so grateful to your Editorial Office and Auctores Publishing support! I amiably wish our article publication maintained a top quality of your International Scientific Journal. My best wishes for a prosperity of the Journal of Clinical Research and Reports. Hope our scientific relationship and cooperation will remain long lasting. Thank you very much indeed. Kind regards, Dr. Andriy Sinelnyk Cell Therapy Center EmCell
Dear Editorial Team, Clinical Cardiology and Cardiovascular Interventions. It was truly a rewarding experience to work with the journal “Clinical Cardiology and Cardiovascular Interventions”. The peer review process was insightful and encouraging, helping us refine our work to a higher standard. The editorial office offered exceptional support with prompt and thoughtful communication. I highly value the journal’s role in promoting scientific advancement and am honored to be part of it. Best regards, Meng-Jou Lee, MD, Department of Anesthesiology, National Taiwan University Hospital.
Dear Editorial Team, Journal-Clinical Cardiology and Cardiovascular Interventions, “Publishing my article with Clinical Cardiology and Cardiovascular Interventions has been a highly positive experience. The peer-review process was rigorous yet supportive, offering valuable feedback that strengthened my work. The editorial team demonstrated exceptional professionalism, prompt communication, and a genuine commitment to maintaining the highest scientific standards. I am very pleased with the publication quality and proud to be associated with such a reputable journal.” Warm regards, Dr. Mahmoud Kamal Moustafa Ahmed
Dear Maria Emerson, Editorial Coordinator of ‘International Journal of Clinical Case Reports and Reviews’, I appreciate the opportunity to publish my article with your journal. The editorial office provided clear communication during the submission and review process, and I found the overall experience professional and constructive. Best regards, Elena Salvatore.
Dear Mayra Duenas, Editorial Coordinator of ‘International Journal of Clinical Case Reports and Reviews Herewith I confirm an optimal peer review process and a great support of the editorial office of the present journal
Dear Editorial Team, Clinical Cardiology and Cardiovascular Interventions. I am really grateful for the peers review; their feedback gave me the opportunity to reflect on the message and impact of my work and to ameliorate the article. The editors did a great job in addition by encouraging me to continue with the process of publishing.
Dear Cecilia Lilly, Editorial Coordinator, Endocrinology and Disorders, Thank you so much for your quick response regarding reviewing and all process till publishing our manuscript entitled: Prevalence of Pre-Diabetes and its Associated Risk Factors Among Nile College Students, Sudan. Best regards, Dr Mamoun Magzoub.
International Journal of Clinical Case Reports and Reviews is a high quality journal that has a clear and concise submission process. The peer review process was comprehensive and constructive. Support from the editorial office was excellent, since the administrative staff were responsive. The journal provides a fast and timely publication timeline.
Dear Mayra Duenas, Editorial Coordinator of the journal IJCCR, I write here a little on my experience as an author submitting to the International Journal of Clinical Case Reports and Reviews (IJCCR). This was my first submission to IJCCR and my manuscript was inherently an outsider’s effort. It attempted to broadly identify and then make some sense of life’s under-appreciated mysteries. I initially had responded to a request for possible submissions. I then contacted IJCCR with a tentative topic for a manuscript. They quickly got back with an approval for the submission, but with a particular requirement that it be medically relevant. I then put together a manuscript and submitted it. After the usual back-and-forth over forms and formality, the manuscript was sent off for reviews. Within 2 weeks I got back 4 reviews which were both helpful and also surprising. Surprising in that the topic was somewhat foreign to medical literature. My subsequent updates in response to the reviewer comments went smoothly and in short order I had a series of proofs to evaluate. All in all, the whole publication process seemed outstanding. It was both helpful in terms of the paper’s content and also in terms of its efficient and friendly communications. Thank you all very much. Sincerely, Ted Christopher, Rochester, NY.
Dear Grace Pierce, Editorial Coordinator of the journal IJCCR, I had a very positive experience with Auctores - Journal throughout the publication process. The Editorial Team was highly responsive, professional, and supportive at every stage. I would like to extend my sincere thanks to the Editor: Grace Pierce, for her guidance and assistance. The peer-review process was smooth and constructive, helping improve the quality of my work. I would gladly recommend Auctores Journal to fellow researchers and authors. Dr. SABITA SINHA, Medical Oncologist, MD (Electro Homeopathy).
Dear Maria Emerson, Editorial Coordinator of - Journal of Clinical Research and Reports. ''I am pleased to provide this testimonial following the publication of our recent case report in this journal. The peer review process was rigorous, constructive, thorough, and conducted in a timely manner. The reviewers’ comments were thoughtful, detailed, and highly constructive, contributing substantially to the refinement, clarity, and scientific robustness of our manuscript. The process was conducted with professionalism and academic integrity throughout. The support provided by the editorial office was exemplary. Communication was consistently prompt, clear, and courteous at all stages of the submission and publication process. The editorial team demonstrated a high level of organization and responsiveness, ensuring that all queries were addressed efficiently and that the process remained transparent and well-coordinated. The overall quality of the journal is reflected in its strong editorial standards, commitment to scientific excellence, and dedication to publishing clinically meaningful research. It has been a privilege to publish our work in this journal, and we would welcome the opportunity to contribute further in the future.'' Best wishes from, Dr. Efstratios Trogkanis, Cardiologist.
Dear Reader: We have published several articles in the Auctores Publishing, LLC, journal, Clinical Medical Reviews and Reports in recent years (CMRR). This is an ‘open access’ journal and the following are our observations. From the initial invitation to submit an article, to the final edits of galley proofs, we have found CMRR personnel to be professional, responsive, rapid and thorough. This entire process begins with Catherine Mitchell, Editorial Coordinator. She is simply outstanding, and, I believe, unparalleled in her capacity. I cannot imagine a more responsive and dedicated Editorial Coordinator. As I read the dates and timing of her correspondence with us, it seems that she never sleeps. I hope Auctores Publishing, LLC, appreciates her efforts as much as these authors do. Thank you to Auctores Publishing, LLC, to the Editorial Staff/Board, and to Catherine Mitchell from a grateful author(s).
Dear Maria Emerson, Editorial Coordinator of International Journal of Clinical Case Reports and Reviews, What distinguishes International Journal of Clinical Case Report and Review is not only the scientific rigor of its publications, but the intellectual climate in which research is evaluated. The submission process is refreshingly free of unnecessary formal barriers and bureaucratic rituals that often complicate academic publishing without adding real value. The peer-review system is demanding yet constructive, guided by genuine scientific dialogue rather than hierarchical or authoritarian attitudes. Reviewers act as collaborators in improving the manuscript, not as gatekeepers imposing arbitrary standards. This journal offers a rare balance: high methodological standards combined with a respectful, transparent, and supportive editorial approach. In an era where publishing can feel more burdensome than research itself, this platform restores the original purpose of peer review — to refine ideas, not to obstruct them Prof. Perlat Kapisyzi, FCCP PULMONOLOGIST AND THORACIC IMAGING.
Dear Mercy Grace, Editorial Coordinator of Obstetrics Gynecology and Reproductive Sciences, We would like to express our gratitude for your help at all stages of publishing and editing the article. The editors of the magazine answer all the necessary questions and help at every stage. We will definitely continue to cooperate and publish other works in the Obstetrics Gynecology and Reproductive Sciences! Best wishes from, Alla Konstantinovna Politova,