AUCTORES
Globalize your Research
Research Article | DOI: https://doi.org/DOI:10.31579/2690-8794/288
1Ophthalmology Service, Specialties Hospital. XXI Century National Medical Center, Mexican Institute of Social Security. México City, México.
2Pathological Anatomy Service, Specialties Hospital. XXI Century National Medical Center, Mexican Institute of Social Security. México City, México.
3Medical Research Unit in Metabolic Diseases, Cardiology Hospital. XXI Century National Medical Center, Mexican Institute of Social Security. México City, México.
*Corresponding Author: José D. Méndez, Medical Research Unit in Metabolic Diseases, Cardiology Hospital. XXI Century National Medical Center, Mexican Institute of Social Security. México.
Citation: Cedillo Morales VL, Carrasco Quiroz A, Rodríguez Florido MA, Montoya Diaz JA, Méndez JD, (2025), Histopathological Findings in Donated and Transplanted Human Corneas: A Descriptive Study, Clinical Medical Reviews and Reports, 7(8); DOI:10.31579/2690-8794/288
Copyright: © 2025, José D. Méndez. This is an open access article distributed under the Creative Commons Attribution License, which permits unrestricted use, distribution, and reproduction in any medium, provided the original work is properly cited.
Received: 02 October 2025 | Accepted: 14 October 2025 | Published: 22 October 2025
Keywords: cornea; histopathology; corneal transplantation; tissue donation; keratopathy; elastosis
Corneal transplantation is one of the most frequently performed tissue procedures worldwide. Histopathological evaluation of donated and transplanted corneas allows for the identification of structural alterations that may impact graft viability, optimize tissue selection criteria, and strengthen the quality of the procurement and allocation process.
This paper describes the histopathological findings observed in donated corneas and harvested corneas from donor and recipient patients during transplant procedures performed over a period of one year at a tertiary care hospital.
A descriptive, retrospective, and observational study was conducted in which histological slides from 390 corneas processed by the institutional service of Pathological Anatomy were reviewed, corresponding to 256 donors selected by Donors Coordination and 134 recipients selected by Corneal Transplant Service. Structural alterations in the different corneal layers were evaluated, as well as the presence of inflammation, vascularization, or calcification. The findings were systematized and classified according to the type of tissue (donated or explanted) and the compromised structure.
In the donated corneas, 57.81% showed some histological alteration, the most common being elastosis (18.04%), mainly in the tectonic corneal subgroup; absence of epithelium (28.9%) and endothelium (28.91%) was also documented in this group. In the explanted corneas of recipient patients, 18.7% showed alterations, most notably inflammation (11.2%), fibrosis, ulceration, and calcification according to the keratopathy previously diagnosed clinically. The epithelium and endothelium were the most affected layers in both groups.
These findings reveal a high frequency of histological alterations in donated tissues, many of them subclinical. Systematic evaluation of these changes can improve selection criteria in Donors’ Coordination to optimize surgical outcomes.
The cornea is an avascular, transparent, and highly specialized tissue that constitutes the main refractive surface of the eye, providing more than 70% of the total dioptric power.[1] Its architecture is composed of five histological layers: epithelium, Bowman's membrane, stroma, Descemet's membrane, and endothelium; whose integrity is essential to preserve transparency and its multiple functions.[2] When this is compromised by trauma, infection, dystrophy, degeneration, or other diseases, a corneal transplant may be necessary to preserve eye function and integrity.[3.4]
Advances in penetrating and lamellar keratoplasty techniques have improved visual success rates and graft survival. However, transplant success depends not only on the surgical technique but also on the quality of the donated tissue.[5] Currently, corneal tissue selection criteria in eye banks are based on clinical and serological parameters, complemented by specular microscopy evaluation. However, there is growing evidence that these criteria may not be sufficient to detect relevant structural alterations that compromise graft function.[6]
In this context, histopathological examination of corneal tissue, although not part of routine protocols for candidate selection, has been proposed as a valuable complementary tool to retrospectively optimize tissue selection and allocation. [3,7]
The literature in Mexico is limited regarding the structural characterization of donated and explanted corneas. [8,9]A histopathological analysis of corneal tissues processed by a national reference center identified subclinical alterations that go undetected in conventional evaluation. Furthermore, this type of analysis provides valuable information on the most common damage patterns in our donor and recipient population, which could contribute to optimizing tissue allocation, reducing rejection rates, and improving long-term visual outcomes. [10,11] This information may also be useful for promoting public eye health policies and strengthening eye bank protocols in the country.[12]
This study documented the presence of relevant histopathological findings in donated and explanted corneas including inflammation, elastosis, epithelial or endothelial loss, fibrosis, ulceration, and calcification. These alterations may reflect degenerative, infectious, immune-mediated, or postmortem processes and have direct implications for graft viability, transparency, and survival. [13,14]
2.1. Corneas
Corneas donated to the Corneal Transplant Service of the Specialties Hospital of the Century XXI National Medical Center, Mexican Institute of Social Security (IMSS) that were not transplanted due to lack of a suitable recipient were used and the leftover bedding from the corneas transplanted, as well as corneal tissue removed from recipient patients during corneal transplants. The study was conducted from January to December 2024 and was retrospective, observational, cross-sectional, and descriptive. The study was approved by the local research committee with institutional record number R-2025-3601-079. The following inclusion and exclusion criteria were considered.
Inclusion criteria: 1. Corneal tissue from adult patients of either gender during 2024, whose histopathological study was performed by the Anatomy Pathology Service of the same hospital. 2. Corneal tissue removed in corneal transplants from adult patients of either gender during 2024, whose histopathological study was also performed.
Exclusion criteria: 1. Corneas without a histopathological examination. 2. Corneas with a histopathological examination that could not be assessed due to poor quality.
The corneas were classified into two groups based on origin and histopathological analysis as follows: 1. Donated corneas, which in turn include the residual rim of transplanted corneas, as well as non-transplanted corneas with tectonic function. 2. Corneas removed from corneal transplant recipients.
2.2. Data collection.
The information search was conducted retrospectively in the patients’ medical records, as well as in the records of the donors included in the study period. Histopathological samples submitted to the Department of Pathology during 2024 at the National Medical Center “Siglo XXI” Specialty Hospital were reviewed in accordance with the national regulatory protocol for organ donation. All evaluations were performed by certified pathologists and subjected to blinded peer review.
2.3. Ethical Aspects.
There was no research risk, as a retrospective study it was conducted on tissue from deceased donors, so the integrity and health of patients who meet the inclusion criteria for the study were not jeopardized. While, tissues extracted from recipient patients to perform the corneal transplant were sent for histopathological study as in any other medical-surgical procedure where tissue is extracted, so this information was collected retrospectively.
2.4. Statistical Analysis.
Since the main objective of the study is to describe the characteristics and distribution of variables without establishing causal relationships between them, statistical analysis focused on summarizing and organizing the information to provide a clear view of the patterns and frequencies in the collected data. The following were performed: 1. Frequency and distribution analysis of qualitative variables. 2. Measures of central tendency and dispersion for quantitative variables. For the analysis of variables, averages were used as measures of central tendency and standard deviation as measures of dispersion if the distribution was like normal. Otherwise, the variables were summarized using medians and interquartile ranges. 3. Descriptive analysis of ordinal variables. For ordinal qualitative variables (such as the severity of the histopathological alteration, corneal vascularization, etc.), descriptive statistics were used to observe the frequency of each category within the ordinal scales.
The sample consisted of a total of 256 donors and 134 recipients.
3.1. Donors
The characteristics of the donors included in the analysis are presented in Table 1. The average donor age was 44.57 ± 12.47 years, with a proportion of men of 63.7% and women of 36.3%. Regarding the lateral distribution of the donated eyeball, an almost uniform distribution was recorded, with 126 corneas from the right eye (49.2%) and 130 from the left eye (50.8%).
| Age 44.57 ± 12.47 Years (Mean ± S. D.) |
Donors (n = 256) Male = 163 (63.7) Female = 93 (36.3) |
Laterality Right Eye = 126 (49.2) Left Eye = 130 (50.8) |
Diagnosis of death Cardiovascular diseases 121 (47.3) Respiratory diseases 39 (15.2) Trauma 22 (8.6) Infectious diseases 2 (0.8) Neurological diseases 11 (4.3) Cerebrovascular diseases 30 (11.7) Metabolic diseases 18 (7.0) Renal diseases 8 (3.1) Abdominal diseases 2 (0.8) Others 3 (1.2) |
Serology Positive 0 (0) Negative 256 (100) |
Destiny Optics 137 (53.5) Tectonics 119 (46.5) |
Table 1: Characteristics of the donors included in the study. ( ) = %
Of the total sample, serology was negative in 100% of cases. Regarding the use of corneal tissue, it was determined that 137 corneas (53.5%) were assigned for optical purposes, i.e., for vision restoration, while 119 (46.5%) were used for tectonic purposes, primarily to preserve the structural integrity of the eyeball.
3.2. Histopathological characteristics of donated corneas
The presence of histopathological abnormalities and their frequency were investigated in donated corneas. Of the 256 corneas, 148 (57.81%) presented some type of histopathological abnormality, while 42.19% (n=108) showed no classified abnormalities (Figure 1).
Regarding abnormalities, elastosis was the most prevalent, identified in 46 cases (18.04%), followed by isolated inflammation in 17 cases (6.67%). Combined lesions were also recorded, with two cases of elastosis with inflammation (0.78%) and one case of ulceration with inflammation (0.39%) documented, while 189 corneas (74.12%) showed no classified abnormalities. Related to the severity of the alterations, 51 cases (19.9%) were attributed to mild lesions, while moderate and severe lesions each only accounted for 3.1% of the tissues examined. In the remaining 189 corneal tissues (73.8%), this classification was not implemented due to the absence of alterations.
Figure 1: Frequency of histopathological abnormalities found in donated corneas.
During the structural evaluation, the epithelium stood out as one of the most affected layers. 175 tissues (68.4%) exhibited preserved epithelium, while the remaining 74 (28.9%) showed epithelial absence. A small proportion of tissues exhibited detachment (2.3%) or folding (0.4%) of epithelium. Bowman's membrane exhibited no abnormalities in any instance (100% normal), a situation that contrasts with the stroma, where detachments were detected in five tissues (2.0%) and thickening in three (1.2%). The majority (96.9%) reported a normal state. Descemet's membrane was detached in two cases (0.8%) and folded in one (0.4%). The percentage of normality was significantly high (98.8%). Finally, the morphology of the endothelium showed similarities to that of the epithelium, as only 175 tissues (68.36%) exhibited normal morphology. Endothelial absence was recorded in 74 individuals (28.91%), detachment in 6 individuals (2.34%), and folding in 1 individual (0.39%).
In the perilimbar conjunctiva, pathological abnormalities were detected in 46 tissues, representing 17.9% of the cases. These included elastosis (9.38%), inflammation (4.69%), melanosis (2.34%), calcification (0.39%), and complications of these alterations, such as melanosis with elastosis (0.78%) or inflammation with thickening (0.39%). The most of tissues, specifically 82.03%, did not exhibit alterations in this region.
Only 5 tissues (2.0%) presented calcifications, while vascularization was a rare alteration, observed in only 1 case (0.4%). Chronic inflammation material was detected in 14 cases (5.5%), and acute inflammation infiltrate in 6 tissues (2.3%).
3.3. Recipient patients
The characteristics of the recipient patients included in the analysis are presented in Table 2. A total of 134 recipient patients were included in the analysis: 53.73% were male and 46.27% were female, with a mean age of 57.65 ± 19.32 years. In 55.97% of cases, the right eye was transplanted, while in 44.03% it was the left.
| Age 57.65 ± 19.32 Years (Mean ± S. D.) |
Recipients (n = 134) Male = 72 (53.73) Female = 62 (46.27) |
Laterality Right Eye = 75 (55.97) Left Eye = 59 (44.03) |
Clinical Diagnosis Bullous Keratopathy 49 (36.57) Keratoconus 25 (18.66) Corneal rejection 17 (12.69) Corneal ulcer 12 (8.96) Sequelae of herpetic keratitis 11 (8.21) Sequelae of bacterial keratitis 6 (4.48) Sequelae of ocular trauma 5 (3.73) Fuchs’ dystrophy 4 (2.99) Sequelae of Acanthamoeba keratitis 2 (1.49) Descematocele 2 (1.49) Sequela of lagophthalmos 1 (0.75) |
Table 2. Characteristics of the recipients included in the study. ( ) = %
The characteristics and histopathological findings of the recipient corneal tissues were also analyzed.
According to the clinical diagnosis, bullous keratopathy was the most frequent indication, representing 36.57% of cases, followed by keratoconus (18.66%) and corneal graft rejection (12.69%). To a lesser extent, cases of corneal ulcer were identified in 8.96%, sequelae of herpetic keratitis in 8.21%, bacterial keratitis in 4.48%, and sequelae of ocular trauma in 3.73%. Other less frequent causes included Fuchs' dystrophy (2.99%), sequela of Acanthamoeba keratitis (1.49%), descematocele (1.49%), and sequela of lagophthalmos (0.75%)
In the analysis of the 134 tissues, the majority (n = 109, 81.3%) did not exhibit classified histopathological alterations but presented isolated anomalies. However, in 25 cases (18.7%), various types of lesions were detected. Inflammation was identified as the most prevalent alteration, occurring in 15 corneal tissues (11.2%), followed by ulceration (2.2%), calcification (1.5%), and other less frequent conditions such as fibrosis, necrosis, or infection, each with a frequency of 0.7%. Complications of lesions in certain tissues were also identified, such as inflammation with necrosis and ulceration accompanied by inflammation and necrosis. Regarding the severity of the alterations, they were identified as mild in 9.7% of the tissues, moderate in 3.0%, and severe in 6.0%.
Classifying the anomalies observed by layers in the removed tissues. In the epithelium, only 40 corneas, representing 29.85%, preserved a normal morphology. The most frequently observed anomalies included epithelial absence in 41.04%, bulla formation in 5.33%, subepithelial fibrosis in 4.48%, dyskeratosis in 3.73%, and acanthosis in 2.91%. Additionally, 9.7% of the tissues exhibited two or more epithelial abnormalities simultaneously; cases with simultaneous presence of bullae and subepithelial fibrosis were documented in three cases (2.2%), as well as bullae accompanied by dyskeratosis in two cases (1.5%), and bullae with fibrosis and acanthosis in two other tissues (1.5%). Less commonly, combinations such as epithelial detachment with bullae, bullae with calcification, subepithelial fibrosis associated with acanthosis, dyskeratosis with acanthosis, and the coexistence of epithelial absence, bullae, and fibrosis in the same tissue were identified; each of these combinations was present in one case (0.7%), (Figure 2).
Bowman's membrane was preserved in its original state in most cases (89.6%), however, alterations such as folding (2.99%), calcification (2.24%), detachment (1.49%), absence (1.49%), thinning (0.75%) were found, as well as the combination of thinning and detachment in one of the cases.
Normal stroma was recorded in 95 tissues (70.9%), however, changes such as thickening (10.4%), disorganization (8.2%), calcification (2.2%), and vascularization (2.2%) were detected, among other alterations. Various alterations were observed in certain tissues, such as disorganization in conjunction with calcification and cyst formation (0.7%).
In 85.8% of cases, Descemet's membrane was normal. While the most common abnormalities including folding (11.9%), and to a lesser extent, sloughing (0.7%), or combinations such as thickening and folding (1.5%).

Figure 2: Frequency of histopathological abnormalities found in corneal epithelium of recipients.
Regarding the endothelium, only 54 tissues (40.3%) presented a normal structure, while endothelial absence was recorded in 75 tissues (56.0%), and to a lesser extent, detachment (0.7%) and folding (3.0%).
Calcifications were recorded in five tissues (3.7%), while vascularization was also observed in four cases (3.0%). Ultimately, the manifestation of inflammation was negligible: only one tissue (0.75%) showed acute inflammation, while 99.25% (n=133) did not show inflammatory infiltration.
This study describes in detail the histopathological findings in 390 corneas processed by the institutional service of Pathological Anatomy
were reviewed, corresponding to 256 donors selected by Donors Coordination and 134 recipients selected by Corneal Transplant Service. This analysis represents a significant contribution to national knowledge about the structural quality of corneal tissues used in keratoplasty procedures, the subclinical alterations present in non-transplanted tectonic corneas, and the characteristic histopathological patterns of explanted tissues, frequently associated with advanced pathologies.
4.1. Findings in the donated corneal group
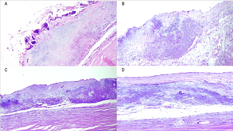
In the group of donated corneas, which included both the residual rims of transplanted tissue and tectonic corneas not used in the transplant procedure, 57.81% presented at least one histopathological alteration. The most frequent alteration was elastosis (18.04%), identified as a histological pattern characterized by the abnormal reorganization of limbal stromal fibers: tortuous, fragmented, and increased in number, partially replacing normal corneal collagen (Figure 3). This finding is typical of chronic actinic damage associated with prolonged exposure to ultraviolet radiation and has been widely documented in tissues such as the skin.[15]

Figure 3: Histopathological section photograph with hematoxylin and eosin staining x10. A) Elastosis with calcification. B) Nodular elastosis. C and D) Plaque elastosis.
The observed corneal elastosis do not shares characteristics with the alterations associated with sun damage as pterygium and pinguecula; in this case it presents as acellular, avascular tissue with minimal inflammation, which differentiates it from clinically active entities such as pterygium, in which main histologic findings include invading pterygium epithelial cells with proliferative features, squamous metaplasia, hyperplasia of goblet cells, underlying disrupted Bowman’s layer, stromal fibroblasts and vessels, altered extracellular matrix with accumulation of collagen and elastin fibers, and inflammatory infiltration.[16] Its presence in donated tissue, particularly in the sclero-corneal limbus region, suggests a prolonged history of sun exposure, especially in elderly patients. Although it is not an absolute contraindication for transplantation, it can affect the optical quality of the graft and should be considered during the preoperative evaluation.
Other common alterations included loss or damage to the corneal epithelium (28.9%) and endothelium (28.91%), which may be related to the postmortem time, handling during procurement, or tissue preservation conditions. Histologically, epithelial denudation can be observed as the loss of the superficial layer with exposure of the basement membrane or Bowman's membrane, while endothelial absence manifests as the disappearance of the posterior monolayer, often accompanied by undulations or folds in Descemet's membrane. These observations reinforce the need to standardize tissue procurement and preservation protocols, as the endothelium is essential for maintaining corneal transparency and graft function. [10,13] Perilimbal conjunctival alterations have also been identified, such as melanosis, elastosis, and inflammation, which reflect chronic degenerative processes or prolonged environmental exposure.
4.2. Findings in the explanted corneal group
In the group of explanted corneas from recipients, 18.7% were found to have classified structural histological alterations, with inflammation being the predominant finding (11.2%), followed by fibrosis, ulceration, and calcification.[17] Acute inflammation is characterized by a neutrophilic infiltrate, while chronic inflammation presents lymphocytes, plasma cells, and occasionally macrophages. These responses may be related to infectious keratitis, immune-mediated diseases, or rejection of previous grafts. Fibrosis was identified as a pattern of disorganized collagen in the stroma, representing a chronic reparative response that alters the lamellar architecture. Corneal ulceration, evidenced by loss of epithelium and surface stroma, is a common consequence of pathologies such as infectious or autoimmune keratitis. Calcification, observed as intensely stained basophilic deposits in the stroma or Bowman's membrane, may be associated with chronic inflammatory processes or local metabolic alterations. Despite these findings, it is noteworthy that more than 80% of the explanted grafts did not present major histological alterations, which opens the possibility of implementing lamellar techniques, such as Deep Anterior Lamellar Keratoplasty (DALK) or Descemet Stripping Automated Endothelial Keratoplasty (DSAEK), in patients with localized corneal diseases where the deep stromal structure remains functional. However, the present study did not include individual clinical correlation for each case, which represents a limitation that should be considered for future research.
4.3. Comparison between affected corneal layers
Layer-by-layer analysis showed that the epithelium and endothelium were the most affected in both groups. Endothelial absence was more frequent in explanted corneas (56%) than in donor corneas (28.91%), which could reflect irreversible damage secondary to advanced corneal disease or previous surgical procedures. This finding is consistent with that reported by who documented progressive endothelial loss in chronic keratopathies and after penetrating keratoplasty [14]. Cases of corneal vascularization (0.4% in donors, 3.0% in recipients) and calcification (2.9% and 3.7%, respectively) were also identified. Both findings, although less frequent, are clinically relevant due to their association with an increased risk of immunological rejection, persistent chronic inflammation, and decreased graft survival.[7,13]
4.4. Clinical value of histological analysis and perspectives
Even when histological examination prior to transplantation is not performed; however, the results obtained in this study show that postoperative microscopic evaluation can provide relevant information on the viability and quality of the transplanted tissue, as well as on alterations not clinically detected at the time of procurement.
We consider that although this study is limited by its retrospective, single-center design, and the lack of individualized clinical correlation, it represents a pioneering effort in the structural characterization of corneas in a highly specialized center in Mexico. The findings support the need for internal classification protocols, encourage the rational use of available tissue, and promote future multicenter research that correlates histopathological findings, clinical variables, and long-term visual outcomes.
These results underscore the usefulness of histopathological analysis as a tool for monitoring and continuously improving corneal tissue traceability. Its post-transplant application contributes to optimizing obtaining, preservation, allocation, and disposal processes, in addition to providing evidence for the design of more rigorous strategies for evaluating ocular tissue.
It is recommended that multicenter research be continued to correlate these findings with the clinical and functional outcomes of the grafts, thus strengthening the safety and efficacy of corneal transplantation in public health institutions.
The authors thank the opportunity to conduct this study in conjunction with the Corneal Transplant Service and Pathological Anatomy Service of the Specialties Hospital of the Century XXI National Medical Center of the Mexican Institute of Social security.
Clearly Auctoresonline and particularly Psychology and Mental Health Care Journal is dedicated to improving health care services for individuals and populations. The editorial boards' ability to efficiently recognize and share the global importance of health literacy with a variety of stakeholders. Auctoresonline publishing platform can be used to facilitate of optimal client-based services and should be added to health care professionals' repertoire of evidence-based health care resources.
Journal of Clinical Cardiology and Cardiovascular Intervention The submission and review process was adequate. However I think that the publication total value should have been enlightened in early fases. Thank you for all.
Journal of Women Health Care and Issues By the present mail, I want to say thank to you and tour colleagues for facilitating my published article. Specially thank you for the peer review process, support from the editorial office. I appreciate positively the quality of your journal.
Journal of Clinical Research and Reports I would be very delighted to submit my testimonial regarding the reviewer board and the editorial office. The reviewer board were accurate and helpful regarding any modifications for my manuscript. And the editorial office were very helpful and supportive in contacting and monitoring with any update and offering help. It was my pleasure to contribute with your promising Journal and I am looking forward for more collaboration.
We would like to thank the Journal of Thoracic Disease and Cardiothoracic Surgery because of the services they provided us for our articles. The peer-review process was done in a very excellent time manner, and the opinions of the reviewers helped us to improve our manuscript further. The editorial office had an outstanding correspondence with us and guided us in many ways. During a hard time of the pandemic that is affecting every one of us tremendously, the editorial office helped us make everything easier for publishing scientific work. Hope for a more scientific relationship with your Journal.
The peer-review process which consisted high quality queries on the paper. I did answer six reviewers’ questions and comments before the paper was accepted. The support from the editorial office is excellent.
Journal of Neuroscience and Neurological Surgery. I had the experience of publishing a research article recently. The whole process was simple from submission to publication. The reviewers made specific and valuable recommendations and corrections that improved the quality of my publication. I strongly recommend this Journal.
Dr. Katarzyna Byczkowska My testimonial covering: "The peer review process is quick and effective. The support from the editorial office is very professional and friendly. Quality of the Clinical Cardiology and Cardiovascular Interventions is scientific and publishes ground-breaking research on cardiology that is useful for other professionals in the field.
Thank you most sincerely, with regard to the support you have given in relation to the reviewing process and the processing of my article entitled "Large Cell Neuroendocrine Carcinoma of The Prostate Gland: A Review and Update" for publication in your esteemed Journal, Journal of Cancer Research and Cellular Therapeutics". The editorial team has been very supportive.
Testimony of Journal of Clinical Otorhinolaryngology: work with your Reviews has been a educational and constructive experience. The editorial office were very helpful and supportive. It was a pleasure to contribute to your Journal.
Dr. Bernard Terkimbi Utoo, I am happy to publish my scientific work in Journal of Women Health Care and Issues (JWHCI). The manuscript submission was seamless and peer review process was top notch. I was amazed that 4 reviewers worked on the manuscript which made it a highly technical, standard and excellent quality paper. I appreciate the format and consideration for the APC as well as the speed of publication. It is my pleasure to continue with this scientific relationship with the esteem JWHCI.
This is an acknowledgment for peer reviewers, editorial board of Journal of Clinical Research and Reports. They show a lot of consideration for us as publishers for our research article “Evaluation of the different factors associated with side effects of COVID-19 vaccination on medical students, Mutah university, Al-Karak, Jordan”, in a very professional and easy way. This journal is one of outstanding medical journal.
Dear Hao Jiang, to Journal of Nutrition and Food Processing We greatly appreciate the efficient, professional and rapid processing of our paper by your team. If there is anything else we should do, please do not hesitate to let us know. On behalf of my co-authors, we would like to express our great appreciation to editor and reviewers.
As an author who has recently published in the journal "Brain and Neurological Disorders". I am delighted to provide a testimonial on the peer review process, editorial office support, and the overall quality of the journal. The peer review process at Brain and Neurological Disorders is rigorous and meticulous, ensuring that only high-quality, evidence-based research is published. The reviewers are experts in their fields, and their comments and suggestions were constructive and helped improve the quality of my manuscript. The review process was timely and efficient, with clear communication from the editorial office at each stage. The support from the editorial office was exceptional throughout the entire process. The editorial staff was responsive, professional, and always willing to help. They provided valuable guidance on formatting, structure, and ethical considerations, making the submission process seamless. Moreover, they kept me informed about the status of my manuscript and provided timely updates, which made the process less stressful. The journal Brain and Neurological Disorders is of the highest quality, with a strong focus on publishing cutting-edge research in the field of neurology. The articles published in this journal are well-researched, rigorously peer-reviewed, and written by experts in the field. The journal maintains high standards, ensuring that readers are provided with the most up-to-date and reliable information on brain and neurological disorders. In conclusion, I had a wonderful experience publishing in Brain and Neurological Disorders. The peer review process was thorough, the editorial office provided exceptional support, and the journal's quality is second to none. I would highly recommend this journal to any researcher working in the field of neurology and brain disorders.
Dear Agrippa Hilda, Journal of Neuroscience and Neurological Surgery, Editorial Coordinator, I trust this message finds you well. I want to extend my appreciation for considering my article for publication in your esteemed journal. I am pleased to provide a testimonial regarding the peer review process and the support received from your editorial office. The peer review process for my paper was carried out in a highly professional and thorough manner. The feedback and comments provided by the authors were constructive and very useful in improving the quality of the manuscript. This rigorous assessment process undoubtedly contributes to the high standards maintained by your journal.
International Journal of Clinical Case Reports and Reviews. I strongly recommend to consider submitting your work to this high-quality journal. The support and availability of the Editorial staff is outstanding and the review process was both efficient and rigorous.
Thank you very much for publishing my Research Article titled “Comparing Treatment Outcome Of Allergic Rhinitis Patients After Using Fluticasone Nasal Spray And Nasal Douching" in the Journal of Clinical Otorhinolaryngology. As Medical Professionals we are immensely benefited from study of various informative Articles and Papers published in this high quality Journal. I look forward to enriching my knowledge by regular study of the Journal and contribute my future work in the field of ENT through the Journal for use by the medical fraternity. The support from the Editorial office was excellent and very prompt. I also welcome the comments received from the readers of my Research Article.
Dear Erica Kelsey, Editorial Coordinator of Cancer Research and Cellular Therapeutics Our team is very satisfied with the processing of our paper by your journal. That was fast, efficient, rigorous, but without unnecessary complications. We appreciated the very short time between the submission of the paper and its publication on line on your site.
I am very glad to say that the peer review process is very successful and fast and support from the Editorial Office. Therefore, I would like to continue our scientific relationship for a long time. And I especially thank you for your kindly attention towards my article. Have a good day!
"We recently published an article entitled “Influence of beta-Cyclodextrins upon the Degradation of Carbofuran Derivatives under Alkaline Conditions" in the Journal of “Pesticides and Biofertilizers” to show that the cyclodextrins protect the carbamates increasing their half-life time in the presence of basic conditions This will be very helpful to understand carbofuran behaviour in the analytical, agro-environmental and food areas. We greatly appreciated the interaction with the editor and the editorial team; we were particularly well accompanied during the course of the revision process, since all various steps towards publication were short and without delay".
I would like to express my gratitude towards you process of article review and submission. I found this to be very fair and expedient. Your follow up has been excellent. I have many publications in national and international journal and your process has been one of the best so far. Keep up the great work.
We are grateful for this opportunity to provide a glowing recommendation to the Journal of Psychiatry and Psychotherapy. We found that the editorial team were very supportive, helpful, kept us abreast of timelines and over all very professional in nature. The peer review process was rigorous, efficient and constructive that really enhanced our article submission. The experience with this journal remains one of our best ever and we look forward to providing future submissions in the near future.
I am very pleased to serve as EBM of the journal, I hope many years of my experience in stem cells can help the journal from one way or another. As we know, stem cells hold great potential for regenerative medicine, which are mostly used to promote the repair response of diseased, dysfunctional or injured tissue using stem cells or their derivatives. I think Stem Cell Research and Therapeutics International is a great platform to publish and share the understanding towards the biology and translational or clinical application of stem cells.
I would like to give my testimony in the support I have got by the peer review process and to support the editorial office where they were of asset to support young author like me to be encouraged to publish their work in your respected journal and globalize and share knowledge across the globe. I really give my great gratitude to your journal and the peer review including the editorial office.
I am delighted to publish our manuscript entitled "A Perspective on Cocaine Induced Stroke - Its Mechanisms and Management" in the Journal of Neuroscience and Neurological Surgery. The peer review process, support from the editorial office, and quality of the journal are excellent. The manuscripts published are of high quality and of excellent scientific value. I recommend this journal very much to colleagues.
Dr.Tania Muñoz, My experience as researcher and author of a review article in The Journal Clinical Cardiology and Interventions has been very enriching and stimulating. The editorial team is excellent, performs its work with absolute responsibility and delivery. They are proactive, dynamic and receptive to all proposals. Supporting at all times the vast universe of authors who choose them as an option for publication. The team of review specialists, members of the editorial board, are brilliant professionals, with remarkable performance in medical research and scientific methodology. Together they form a frontline team that consolidates the JCCI as a magnificent option for the publication and review of high-level medical articles and broad collective interest. I am honored to be able to share my review article and open to receive all your comments.
“The peer review process of JPMHC is quick and effective. Authors are benefited by good and professional reviewers with huge experience in the field of psychology and mental health. The support from the editorial office is very professional. People to contact to are friendly and happy to help and assist any query authors might have. Quality of the Journal is scientific and publishes ground-breaking research on mental health that is useful for other professionals in the field”.
Dear editorial department: On behalf of our team, I hereby certify the reliability and superiority of the International Journal of Clinical Case Reports and Reviews in the peer review process, editorial support, and journal quality. Firstly, the peer review process of the International Journal of Clinical Case Reports and Reviews is rigorous, fair, transparent, fast, and of high quality. The editorial department invites experts from relevant fields as anonymous reviewers to review all submitted manuscripts. These experts have rich academic backgrounds and experience, and can accurately evaluate the academic quality, originality, and suitability of manuscripts. The editorial department is committed to ensuring the rigor of the peer review process, while also making every effort to ensure a fast review cycle to meet the needs of authors and the academic community. Secondly, the editorial team of the International Journal of Clinical Case Reports and Reviews is composed of a group of senior scholars and professionals with rich experience and professional knowledge in related fields. The editorial department is committed to assisting authors in improving their manuscripts, ensuring their academic accuracy, clarity, and completeness. Editors actively collaborate with authors, providing useful suggestions and feedback to promote the improvement and development of the manuscript. We believe that the support of the editorial department is one of the key factors in ensuring the quality of the journal. Finally, the International Journal of Clinical Case Reports and Reviews is renowned for its high- quality articles and strict academic standards. The editorial department is committed to publishing innovative and academically valuable research results to promote the development and progress of related fields. The International Journal of Clinical Case Reports and Reviews is reasonably priced and ensures excellent service and quality ratio, allowing authors to obtain high-level academic publishing opportunities in an affordable manner. I hereby solemnly declare that the International Journal of Clinical Case Reports and Reviews has a high level of credibility and superiority in terms of peer review process, editorial support, reasonable fees, and journal quality. Sincerely, Rui Tao.
Clinical Cardiology and Cardiovascular Interventions I testity the covering of the peer review process, support from the editorial office, and quality of the journal.
Clinical Cardiology and Cardiovascular Interventions, we deeply appreciate the interest shown in our work and its publication. It has been a true pleasure to collaborate with you. The peer review process, as well as the support provided by the editorial office, have been exceptional, and the quality of the journal is very high, which was a determining factor in our decision to publish with you.
The peer reviewers process is quick and effective, the supports from editorial office is excellent, the quality of journal is high. I would like to collabroate with Internatioanl journal of Clinical Case Reports and Reviews journal clinically in the future time.
Clinical Cardiology and Cardiovascular Interventions, I would like to express my sincerest gratitude for the trust placed in our team for the publication in your journal. It has been a true pleasure to collaborate with you on this project. I am pleased to inform you that both the peer review process and the attention from the editorial coordination have been excellent. Your team has worked with dedication and professionalism to ensure that your publication meets the highest standards of quality. We are confident that this collaboration will result in mutual success, and we are eager to see the fruits of this shared effort.
Dear Dr. Jessica Magne, Editorial Coordinator 0f Clinical Cardiology and Cardiovascular Interventions, I hope this message finds you well. I want to express my utmost gratitude for your excellent work and for the dedication and speed in the publication process of my article titled "Navigating Innovation: Qualitative Insights on Using Technology for Health Education in Acute Coronary Syndrome Patients." I am very satisfied with the peer review process, the support from the editorial office, and the quality of the journal. I hope we can maintain our scientific relationship in the long term.
Dear Monica Gissare, - Editorial Coordinator of Nutrition and Food Processing. ¨My testimony with you is truly professional, with a positive response regarding the follow-up of the article and its review, you took into account my qualities and the importance of the topic¨.
Dear Dr. Jessica Magne, Editorial Coordinator 0f Clinical Cardiology and Cardiovascular Interventions, The review process for the article “The Handling of Anti-aggregants and Anticoagulants in the Oncologic Heart Patient Submitted to Surgery” was extremely rigorous and detailed. From the initial submission to the final acceptance, the editorial team at the “Journal of Clinical Cardiology and Cardiovascular Interventions” demonstrated a high level of professionalism and dedication. The reviewers provided constructive and detailed feedback, which was essential for improving the quality of our work. Communication was always clear and efficient, ensuring that all our questions were promptly addressed. The quality of the “Journal of Clinical Cardiology and Cardiovascular Interventions” is undeniable. It is a peer-reviewed, open-access publication dedicated exclusively to disseminating high-quality research in the field of clinical cardiology and cardiovascular interventions. The journal's impact factor is currently under evaluation, and it is indexed in reputable databases, which further reinforces its credibility and relevance in the scientific field. I highly recommend this journal to researchers looking for a reputable platform to publish their studies.
Dear Editorial Coordinator of the Journal of Nutrition and Food Processing! "I would like to thank the Journal of Nutrition and Food Processing for including and publishing my article. The peer review process was very quick, movement and precise. The Editorial Board has done an extremely conscientious job with much help, valuable comments and advices. I find the journal very valuable from a professional point of view, thank you very much for allowing me to be part of it and I would like to participate in the future!”
Dealing with The Journal of Neurology and Neurological Surgery was very smooth and comprehensive. The office staff took time to address my needs and the response from editors and the office was prompt and fair. I certainly hope to publish with this journal again.Their professionalism is apparent and more than satisfactory. Susan Weiner
My Testimonial Covering as fellowing: Lin-Show Chin. The peer reviewers process is quick and effective, the supports from editorial office is excellent, the quality of journal is high. I would like to collabroate with Internatioanl journal of Clinical Case Reports and Reviews.
My experience publishing in Psychology and Mental Health Care was exceptional. The peer review process was rigorous and constructive, with reviewers providing valuable insights that helped enhance the quality of our work. The editorial team was highly supportive and responsive, making the submission process smooth and efficient. The journal's commitment to high standards and academic rigor makes it a respected platform for quality research. I am grateful for the opportunity to publish in such a reputable journal.
My experience publishing in International Journal of Clinical Case Reports and Reviews was exceptional. I Come forth to Provide a Testimonial Covering the Peer Review Process and the editorial office for the Professional and Impartial Evaluation of the Manuscript.
I would like to offer my testimony in the support. I have received through the peer review process and support the editorial office where they are to support young authors like me, encourage them to publish their work in your esteemed journals, and globalize and share knowledge globally. I really appreciate your journal, peer review, and editorial office.
Dear Agrippa Hilda- Editorial Coordinator of Journal of Neuroscience and Neurological Surgery, "The peer review process was very quick and of high quality, which can also be seen in the articles in the journal. The collaboration with the editorial office was very good."
I would like to express my sincere gratitude for the support and efficiency provided by the editorial office throughout the publication process of my article, “Delayed Vulvar Metastases from Rectal Carcinoma: A Case Report.” I greatly appreciate the assistance and guidance I received from your team, which made the entire process smooth and efficient. The peer review process was thorough and constructive, contributing to the overall quality of the final article. I am very grateful for the high level of professionalism and commitment shown by the editorial staff, and I look forward to maintaining a long-term collaboration with the International Journal of Clinical Case Reports and Reviews.
To Dear Erin Aust, I would like to express my heartfelt appreciation for the opportunity to have my work published in this esteemed journal. The entire publication process was smooth and well-organized, and I am extremely satisfied with the final result. The Editorial Team demonstrated the utmost professionalism, providing prompt and insightful feedback throughout the review process. Their clear communication and constructive suggestions were invaluable in enhancing my manuscript, and their meticulous attention to detail and dedication to quality are truly commendable. Additionally, the support from the Editorial Office was exceptional. From the initial submission to the final publication, I was guided through every step of the process with great care and professionalism. The team's responsiveness and assistance made the entire experience both easy and stress-free. I am also deeply impressed by the quality and reputation of the journal. It is an honor to have my research featured in such a respected publication, and I am confident that it will make a meaningful contribution to the field.
"I am grateful for the opportunity of contributing to [International Journal of Clinical Case Reports and Reviews] and for the rigorous review process that enhances the quality of research published in your esteemed journal. I sincerely appreciate the time and effort of your team who have dedicatedly helped me in improvising changes and modifying my manuscript. The insightful comments and constructive feedback provided have been invaluable in refining and strengthening my work".
I thank the ‘Journal of Clinical Research and Reports’ for accepting this article for publication. This is a rigorously peer reviewed journal which is on all major global scientific data bases. I note the review process was prompt, thorough and professionally critical. It gave us an insight into a number of important scientific/statistical issues. The review prompted us to review the relevant literature again and look at the limitations of the study. The peer reviewers were open, clear in the instructions and the editorial team was very prompt in their communication. This journal certainly publishes quality research articles. I would recommend the journal for any future publications.
Dear Jessica Magne, with gratitude for the joint work. Fast process of receiving and processing the submitted scientific materials in “Clinical Cardiology and Cardiovascular Interventions”. High level of competence of the editors with clear and correct recommendations and ideas for enriching the article.
We found the peer review process quick and positive in its input. The support from the editorial officer has been very agile, always with the intention of improving the article and taking into account our subsequent corrections.
My article, titled 'No Way Out of the Smartphone Epidemic Without Considering the Insights of Brain Research,' has been republished in the International Journal of Clinical Case Reports and Reviews. The review process was seamless and professional, with the editors being both friendly and supportive. I am deeply grateful for their efforts.
To Dear Erin Aust – Editorial Coordinator of Journal of General Medicine and Clinical Practice! I declare that I am absolutely satisfied with your work carried out with great competence in following the manuscript during the various stages from its receipt, during the revision process to the final acceptance for publication. Thank Prof. Elvira Farina
Dear Jessica, and the super professional team of the ‘Clinical Cardiology and Cardiovascular Interventions’ I am sincerely grateful to the coordinated work of the journal team for the no problem with the submission of my manuscript: “Cardiometabolic Disorders in A Pregnant Woman with Severe Preeclampsia on the Background of Morbid Obesity (Case Report).” The review process by 5 experts was fast, and the comments were professional, which made it more specific and academic, and the process of publication and presentation of the article was excellent. I recommend that my colleagues publish articles in this journal, and I am interested in further scientific cooperation. Sincerely and best wishes, Dr. Oleg Golyanovskiy.
Dear Ashley Rosa, Editorial Coordinator of the journal - Psychology and Mental Health Care. " The process of obtaining publication of my article in the Psychology and Mental Health Journal was positive in all areas. The peer review process resulted in a number of valuable comments, the editorial process was collaborative and timely, and the quality of this journal has been quickly noticed, resulting in alternative journals contacting me to publish with them." Warm regards, Susan Anne Smith, PhD. Australian Breastfeeding Association.
Dear Jessica Magne, Editorial Coordinator, Clinical Cardiology and Cardiovascular Interventions, Auctores Publishing LLC. I appreciate the journal (JCCI) editorial office support, the entire team leads were always ready to help, not only on technical front but also on thorough process. Also, I should thank dear reviewers’ attention to detail and creative approach to teach me and bring new insights by their comments. Surely, more discussions and introduction of other hemodynamic devices would provide better prevention and management of shock states. Your efforts and dedication in presenting educational materials in this journal are commendable. Best wishes from, Farahnaz Fallahian.
Dear Maria Emerson, Editorial Coordinator, International Journal of Clinical Case Reports and Reviews, Auctores Publishing LLC. I am delighted to have published our manuscript, "Acute Colonic Pseudo-Obstruction (ACPO): A rare but serious complication following caesarean section." I want to thank the editorial team, especially Maria Emerson, for their prompt review of the manuscript, quick responses to queries, and overall support. Yours sincerely Dr. Victor Olagundoye.
Dear Ashley Rosa, Editorial Coordinator, International Journal of Clinical Case Reports and Reviews. Many thanks for publishing this manuscript after I lost confidence the editors were most helpful, more than other journals Best wishes from, Susan Anne Smith, PhD. Australian Breastfeeding Association.
Dear Agrippa Hilda, Editorial Coordinator, Journal of Neuroscience and Neurological Surgery. The entire process including article submission, review, revision, and publication was extremely easy. The journal editor was prompt and helpful, and the reviewers contributed to the quality of the paper. Thank you so much! Eric Nussbaum, MD
Dr Hala Al Shaikh This is to acknowledge that the peer review process for the article ’ A Novel Gnrh1 Gene Mutation in Four Omani Male Siblings, Presentation and Management ’ sent to the International Journal of Clinical Case Reports and Reviews was quick and smooth. The editorial office was prompt with easy communication.
Dear Erin Aust, Editorial Coordinator, Journal of General Medicine and Clinical Practice. We are pleased to share our experience with the “Journal of General Medicine and Clinical Practice”, following the successful publication of our article. The peer review process was thorough and constructive, helping to improve the clarity and quality of the manuscript. We are especially thankful to Ms. Erin Aust, the Editorial Coordinator, for her prompt communication and continuous support throughout the process. Her professionalism ensured a smooth and efficient publication experience. The journal upholds high editorial standards, and we highly recommend it to fellow researchers seeking a credible platform for their work. Best wishes By, Dr. Rakhi Mishra.
Dear Jessica Magne, Editorial Coordinator, Clinical Cardiology and Cardiovascular Interventions, Auctores Publishing LLC. The peer review process of the journal of Clinical Cardiology and Cardiovascular Interventions was excellent and fast, as was the support of the editorial office and the quality of the journal. Kind regards Walter F. Riesen Prof. Dr. Dr. h.c. Walter F. Riesen.
Dear Ashley Rosa, Editorial Coordinator, International Journal of Clinical Case Reports and Reviews, Auctores Publishing LLC. Thank you for publishing our article, Exploring Clozapine's Efficacy in Managing Aggression: A Multiple Single-Case Study in Forensic Psychiatry in the international journal of clinical case reports and reviews. We found the peer review process very professional and efficient. The comments were constructive, and the whole process was efficient. On behalf of the co-authors, I would like to thank you for publishing this article. With regards, Dr. Jelle R. Lettinga.
Dear Clarissa Eric, Editorial Coordinator, Journal of Clinical Case Reports and Studies, I would like to express my deep admiration for the exceptional professionalism demonstrated by your journal. I am thoroughly impressed by the speed of the editorial process, the substantive and insightful reviews, and the meticulous preparation of the manuscript for publication. Additionally, I greatly appreciate the courteous and immediate responses from your editorial office to all my inquiries. Best Regards, Dariusz Ziora
Dear Chrystine Mejia, Editorial Coordinator, Journal of Neurodegeneration and Neurorehabilitation, Auctores Publishing LLC, We would like to thank the editorial team for the smooth and high-quality communication leading up to the publication of our article in the Journal of Neurodegeneration and Neurorehabilitation. The reviewers have extensive knowledge in the field, and their relevant questions helped to add value to our publication. Kind regards, Dr. Ravi Shrivastava.
Dear Clarissa Eric, Editorial Coordinator, Journal of Clinical Case Reports and Studies, Auctores Publishing LLC, USA Office: +1-(302)-520-2644. I would like to express my sincere appreciation for the efficient and professional handling of my case report by the ‘Journal of Clinical Case Reports and Studies’. The peer review process was not only fast but also highly constructive—the reviewers’ comments were clear, relevant, and greatly helped me improve the quality and clarity of my manuscript. I also received excellent support from the editorial office throughout the process. Communication was smooth and timely, and I felt well guided at every stage, from submission to publication. The overall quality and rigor of the journal are truly commendable. I am pleased to have published my work with Journal of Clinical Case Reports and Studies, and I look forward to future opportunities for collaboration. Sincerely, Aline Tollet, UCLouvain.
Dear Ms. Mayra Duenas, Editorial Coordinator, International Journal of Clinical Case Reports and Reviews. “The International Journal of Clinical Case Reports and Reviews represented the “ideal house” to share with the research community a first experience with the use of the Simeox device for speech rehabilitation. High scientific reputation and attractive website communication were first determinants for the selection of this Journal, and the following submission process exceeded expectations: fast but highly professional peer review, great support by the editorial office, elegant graphic layout. Exactly what a dynamic research team - also composed by allied professionals - needs!" From, Chiara Beccaluva, PT - Italy.
Dear Maria Emerson, Editorial Coordinator, we have deeply appreciated the professionalism demonstrated by the International Journal of Clinical Case Reports and Reviews. The reviewers have extensive knowledge of our field and have been very efficient and fast in supporting the process. I am really looking forward to further collaboration. Thanks. Best regards, Dr. Claudio Ligresti
Dear Chrystine Mejia, Editorial Coordinator, Journal of Neurodegeneration and Neurorehabilitation. “The peer review process was efficient and constructive, and the editorial office provided excellent communication and support throughout. The journal ensures scientific rigor and high editorial standards, while also offering a smooth and timely publication process. We sincerely appreciate the work of the editorial team in facilitating the dissemination of innovative approaches such as the Bonori Method.” Best regards, Dr. Matteo Bonori.
I recommend without hesitation submitting relevant papers on medical decision making to the International Journal of Clinical Case Reports and Reviews. I am very grateful to the editorial staff. Maria Emerson was a pleasure to communicate with. The time from submission to publication was an extremely short 3 weeks. The editorial staff submitted the paper to three reviewers. Two of the reviewers commented positively on the value of publishing the paper. The editorial staff quickly recognized the third reviewer’s comments as an unjust attempt to reject the paper. I revised the paper as recommended by the first two reviewers.
Dear Maria Emerson, Editorial Coordinator, Journal of Clinical Research and Reports. Thank you for publishing our case report: "Clinical Case of Effective Fetal Stem Cells Treatment in a Patient with Autism Spectrum Disorder" within the "Journal of Clinical Research and Reports" being submitted by the team of EmCell doctors from Kyiv, Ukraine. We much appreciate a professional and transparent peer-review process from Auctores. All research Doctors are so grateful to your Editorial Office and Auctores Publishing support! I amiably wish our article publication maintained a top quality of your International Scientific Journal. My best wishes for a prosperity of the Journal of Clinical Research and Reports. Hope our scientific relationship and cooperation will remain long lasting. Thank you very much indeed. Kind regards, Dr. Andriy Sinelnyk Cell Therapy Center EmCell
Dear Editorial Team, Clinical Cardiology and Cardiovascular Interventions. It was truly a rewarding experience to work with the journal “Clinical Cardiology and Cardiovascular Interventions”. The peer review process was insightful and encouraging, helping us refine our work to a higher standard. The editorial office offered exceptional support with prompt and thoughtful communication. I highly value the journal’s role in promoting scientific advancement and am honored to be part of it. Best regards, Meng-Jou Lee, MD, Department of Anesthesiology, National Taiwan University Hospital.
Dear Editorial Team, Journal-Clinical Cardiology and Cardiovascular Interventions, “Publishing my article with Clinical Cardiology and Cardiovascular Interventions has been a highly positive experience. The peer-review process was rigorous yet supportive, offering valuable feedback that strengthened my work. The editorial team demonstrated exceptional professionalism, prompt communication, and a genuine commitment to maintaining the highest scientific standards. I am very pleased with the publication quality and proud to be associated with such a reputable journal.” Warm regards, Dr. Mahmoud Kamal Moustafa Ahmed
Dear Maria Emerson, Editorial Coordinator of ‘International Journal of Clinical Case Reports and Reviews’, I appreciate the opportunity to publish my article with your journal. The editorial office provided clear communication during the submission and review process, and I found the overall experience professional and constructive. Best regards, Elena Salvatore.
Dear Mayra Duenas, Editorial Coordinator of ‘International Journal of Clinical Case Reports and Reviews Herewith I confirm an optimal peer review process and a great support of the editorial office of the present journal
Dear Editorial Team, Clinical Cardiology and Cardiovascular Interventions. I am really grateful for the peers review; their feedback gave me the opportunity to reflect on the message and impact of my work and to ameliorate the article. The editors did a great job in addition by encouraging me to continue with the process of publishing.
Dear Cecilia Lilly, Editorial Coordinator, Endocrinology and Disorders, Thank you so much for your quick response regarding reviewing and all process till publishing our manuscript entitled: Prevalence of Pre-Diabetes and its Associated Risk Factors Among Nile College Students, Sudan. Best regards, Dr Mamoun Magzoub.
International Journal of Clinical Case Reports and Reviews is a high quality journal that has a clear and concise submission process. The peer review process was comprehensive and constructive. Support from the editorial office was excellent, since the administrative staff were responsive. The journal provides a fast and timely publication timeline.
Dear Mayra Duenas, Editorial Coordinator of the journal IJCCR, I write here a little on my experience as an author submitting to the International Journal of Clinical Case Reports and Reviews (IJCCR). This was my first submission to IJCCR and my manuscript was inherently an outsider’s effort. It attempted to broadly identify and then make some sense of life’s under-appreciated mysteries. I initially had responded to a request for possible submissions. I then contacted IJCCR with a tentative topic for a manuscript. They quickly got back with an approval for the submission, but with a particular requirement that it be medically relevant. I then put together a manuscript and submitted it. After the usual back-and-forth over forms and formality, the manuscript was sent off for reviews. Within 2 weeks I got back 4 reviews which were both helpful and also surprising. Surprising in that the topic was somewhat foreign to medical literature. My subsequent updates in response to the reviewer comments went smoothly and in short order I had a series of proofs to evaluate. All in all, the whole publication process seemed outstanding. It was both helpful in terms of the paper’s content and also in terms of its efficient and friendly communications. Thank you all very much. Sincerely, Ted Christopher, Rochester, NY.
Dear Grace Pierce, Editorial Coordinator of the journal IJCCR, I had a very positive experience with Auctores - Journal throughout the publication process. The Editorial Team was highly responsive, professional, and supportive at every stage. I would like to extend my sincere thanks to the Editor: Grace Pierce, for her guidance and assistance. The peer-review process was smooth and constructive, helping improve the quality of my work. I would gladly recommend Auctores Journal to fellow researchers and authors. Dr. SABITA SINHA, Medical Oncologist, MD (Electro Homeopathy).
Dear Maria Emerson, Editorial Coordinator of - Journal of Clinical Research and Reports. ''I am pleased to provide this testimonial following the publication of our recent case report in this journal. The peer review process was rigorous, constructive, thorough, and conducted in a timely manner. The reviewers’ comments were thoughtful, detailed, and highly constructive, contributing substantially to the refinement, clarity, and scientific robustness of our manuscript. The process was conducted with professionalism and academic integrity throughout. The support provided by the editorial office was exemplary. Communication was consistently prompt, clear, and courteous at all stages of the submission and publication process. The editorial team demonstrated a high level of organization and responsiveness, ensuring that all queries were addressed efficiently and that the process remained transparent and well-coordinated. The overall quality of the journal is reflected in its strong editorial standards, commitment to scientific excellence, and dedication to publishing clinically meaningful research. It has been a privilege to publish our work in this journal, and we would welcome the opportunity to contribute further in the future.'' Best wishes from, Dr. Efstratios Trogkanis, Cardiologist.
Dear Reader: We have published several articles in the Auctores Publishing, LLC, journal, Clinical Medical Reviews and Reports in recent years (CMRR). This is an ‘open access’ journal and the following are our observations. From the initial invitation to submit an article, to the final edits of galley proofs, we have found CMRR personnel to be professional, responsive, rapid and thorough. This entire process begins with Catherine Mitchell, Editorial Coordinator. She is simply outstanding, and, I believe, unparalleled in her capacity. I cannot imagine a more responsive and dedicated Editorial Coordinator. As I read the dates and timing of her correspondence with us, it seems that she never sleeps. I hope Auctores Publishing, LLC, appreciates her efforts as much as these authors do. Thank you to Auctores Publishing, LLC, to the Editorial Staff/Board, and to Catherine Mitchell from a grateful author(s).
Dear Maria Emerson, Editorial Coordinator of International Journal of Clinical Case Reports and Reviews, What distinguishes International Journal of Clinical Case Report and Review is not only the scientific rigor of its publications, but the intellectual climate in which research is evaluated. The submission process is refreshingly free of unnecessary formal barriers and bureaucratic rituals that often complicate academic publishing without adding real value. The peer-review system is demanding yet constructive, guided by genuine scientific dialogue rather than hierarchical or authoritarian attitudes. Reviewers act as collaborators in improving the manuscript, not as gatekeepers imposing arbitrary standards. This journal offers a rare balance: high methodological standards combined with a respectful, transparent, and supportive editorial approach. In an era where publishing can feel more burdensome than research itself, this platform restores the original purpose of peer review — to refine ideas, not to obstruct them Prof. Perlat Kapisyzi, FCCP PULMONOLOGIST AND THORACIC IMAGING.