AUCTORES
Globalize your Research
Case Report | DOI: https://doi.org/10.31579/2690-1897/274
Candidate of biological science, assistant professor of pathophysiology department named D.A. Maslakov, Grodno State Medical University; Grodno, Belarus.
*Corresponding Author: Ramachandran Muthiah., Candidate of biological science, assistant professor of pathophysiology department named D.A. Maslakov, Grodno State Medical University; Grodno, Belarus.
Citation: Ramachandran Muthiah., (2025), End stage Endomyocardial Fibrosis- Echocardiographic Features, J, Surgical Case Reports and Images, 8(8); DOI:10.31579/2690-1897/274
Copyright: © 2025, Ramachandran Muthiah, this is an open access article distributed under the Creative Commons Attribution License, which permits unrestricted use, distribution, and reproduction in any medium, provided the original work is properly cited.
Received: 08 September 2025 | Accepted: 16 September 2025 | Published: 20 September 2025
Keywords: endomyocardial fibrosis; burnt-out stage; pericardial effusion; endocardial calcification; ‘cobra-head’ fibrosis
Tropical endomyocardial fibrosis (EMF) is a public health problem affecting the children, young adSSults and elderly individuals in an epidemic fashion in the coastal districts of south India. Due to lack of resources for research in these endemic areas, its etiology remains elusive and hypotheses ranging from infections and allergic causes to malnutrition and toxins have not been tested rigorously. The disease is characterized by endocardial fibrosis and the right ventricle is the cardiac chamber most frequently affected. Patients may present clinically with heart failure and an associated AV (atrioventricular) valve regurgitation is common. Several features of the advanced disease called as ‘burnt-out’ or “End stage” endomyocardial fibrosis (EMF) are not fully understand. Background of these case studies described the clinical presentation, echocardiographic features and management of this late stage of the disease.
Endomyocardial fibrosis (EMF) is an active and progressive disease, characterized by patchy fibrosis of endocardial surface of the heart. It was first described in West African troops serving in the Middle East and in indigenous African subjects in Uganda. It can be thought of in the same general pattern of behavior as rheumatic heart disease and increasingly recognized in the tropical and subtropical regions of the world within 15 degrees of the equator. The epidemiology of EMF is a ‘vanishing mystery’ in the southern districts of India and the coastal belt of Thoothukudi in Tamil Nadu state is the “hot spot” for this enigmatic disease. It is the commonest cause of restrictive cardiomyopathy in Africa and worldwide and discussed as a neglected tropical disease [1].
In 1938, Arthur Williams, the foundation professor of medicine at Makerere University, Kampala, Uganda described two cases of mitral incompetence and correlated with large patches of fibrosis affecting the ventricular walls at necropsy and it is the earliest documentation of EMF in the literature. A pathologist, Jack N.P.Davis first coined the term ‘ endomyocardial fibrosis’(EMF) while working at Mulagu hospital in Uganda and said that “he had met a new disease” [2] and it accounted for 15% of the deaths due to congestive heart failure in that hospital and delineated the clinico-pathologic features of this new restrictive cardiomyopathy and its distribution in Africa [3] in 1954 at a Royal society meeting, still called as “Davies disease” by some authors[4]. Endomyocardial fibrosis (EMF) was first reported from India at Christian Medical college, Vellore by JD Ball. The highest prevalence of the disease remains in the region of sub-Saharan Africa and a study in rural area of Mozambique showed that 20% of a random sample of 1063 subjects of all age groups had echocardiographic evidence of this disease with a male preponderance [5].The natural history of EMF is not completely understood and the disease usually come to clinical attention in the late, chronic, burnt-out phase after remaining asymptomatic for long periods and so these cases have been reported.
Case 1 (Right ventricular Endomyocardial Fibrosis in Psoriasis)
A 52-year old male was admitted with symptoms of cough and breathlessness for 6 months duration. He had sudden onset of itchy skin lesions on the trunk and extremities for one-month duration following the respiratory infection. Blood chemistry, ECG and X-ray chest were normal. Serum ASO (anti-streptolysin O) titer was negative. Physical examination revealed numerous, itchy, drop-shaped small salmon-pink papules, 1-10 mm in diameter, scaly and covered with silvery-white ‘micaceous scales’, predominantly seen on the trunk and limbs as shown in Figures 1 and 2, suggesting the “Guttate Psoriasis”. It appears suddenly, 2-3 weeks after an episode of upper respiratory infection caused by group A beta- hemolytic streptococcal infection. On scratching, pinpoint bleeding occurs when the scales are removed (Auspitz’s sign) and the lesio ns induced by trauma to the skin (Koebner phenomenon). It is an immune-mediated inflammatory disease that causes an incre ase in epidermal cell turnover with hyperproliferation of keratinocytes. The environmental, genetic and immunological factors play a role in its pathogenesis.
Figure 20: Apical four chamber view showing right ventricular EMF with apical fibrosis and tricuspid regurgitation in a 62-year old female. Fibrotic lesion is characterized by rugose border with a mushroom appearance and thus differentiating from Apical right ventricular hypertrophic cardiomyopathy as shown in Figure-26.
Figure 1: Guttate Psoriasis on the trunk and extremities in a 52 –year old male (Photo image taken with consent)

Figure 2: Guttate Psorisis in the back of trunk and extremities in a 52-year old male.(Photo image taken with consent)
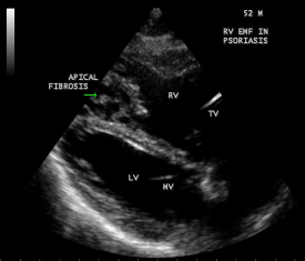
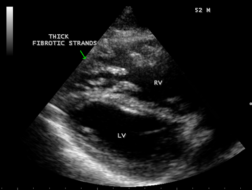
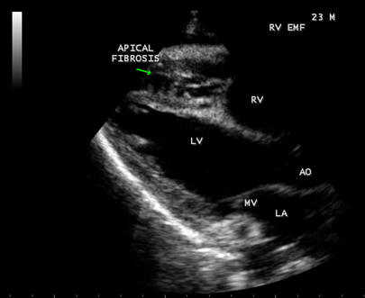
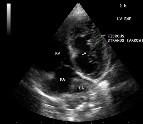
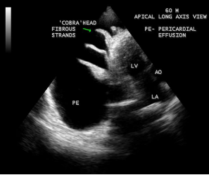
Transthoracic echocardiography revealed strong fibrous strands appearing as ‘finger like projections’ or ‘cobra-head’ appearance in the right ventricular apex due to fibrosis of muscular trabeculae, suggesting right ventricular endomyocardial fibrosis as shown in Figures 3 to 7.

Figure 3: Subcostal view showing the ‘finger like’ projections of fibrous strands in the RV (right ventricular) apex suggesting Right ventricular endomyocardial fibrosis in a 52-year old male with psoriasis.

Figure 4: Tilted apical view showing the ‘cobra-head’ appearance of fibrous strands suggesting right ventricular endomyocardial fibrosis in a 52-year old male with Psoriasis.

Figure 5: Parasternal long axis view showing the RV (right ventricular) apical fibrosis in a 52-year old male with psoriasis

Figure 6: Dense fibrosis in RV apex in Psoriasis in a 52-year old male.

Figure 7: Thick fibrotic stands in RV apex due to fibrosis of muscular trabeculae in Psoriasis.
The patient was advised daily sun exposure, sea bathing (balneotherapy), topical moisturizers such as petrolatum jelly and a combination therapy with vitamin D analog (calcipotriol and calcipotriene) or retinoid (tazarotene) and topical steroid ointments. Psoralen is a photosensitizer for either topical (bath) or systemic use. Systemic therapy for severe cases includes non-biological (retinoids (acetretin), immunosuppressives (cyclosporine or azathioprine)) and biological (protein with pharmacological activity) agents. Guttate Psoriasis is responsive to phototherapy and therapies such as UVB (short wave ultraviolet B) and PUVA (psoralen and ultraviolet A (long wave) radiation) have low efficacy and may increase the risk of malignancies such as squamous cell carcinoma and malignant melanoma. Drugs such as chloroquine, beta-blockers, aspirin or other NSAIDS should be avoided. Drugs targeted on T cells (since psoriasis is related to excess T cell activity) such as efalizumab and alefacept were withdrawn since they result in progressive multifocal leukoencephalpathy. The respiratory infection was treated with azithromycin 500 mg daily for 5 days. Psoriasis is a manifestation of EMF or both conditions result from the same etiopathological mechanisms are yet to be evaluated.
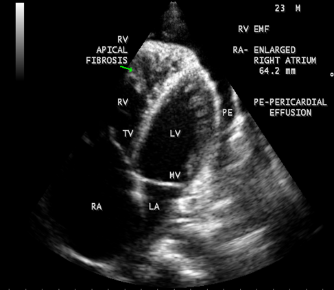
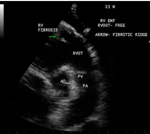
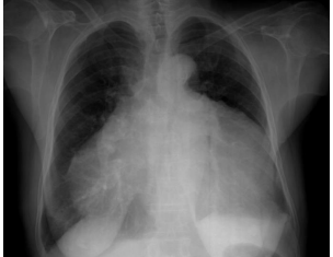
Case 2 (Right ventricular endomyocardial fibrosis in Tuberculosis) A 23-year old male was admitted with sudden onset of ascites for one-month duration. He was treated for pulmonary tuberculosis 3 years back with a positive sputum AFB (acid fast bacilli). Blood chemistry revealed as ( Total count-7400 cells/cu.mm of blood ( normal-4000 to 11000 cells/cu.mm of blood), polymorphs -70% (normal- 40 to 75 %), lymphocytes-22%(normal-20 to 40%), eosinophils-8% (normal- 1 to 4%), ESR (erythrocyte sedimentation rate)-10 to 22 mm/hour ( normal- 0 to 15mm/hour), platelets-2.5 lakhs/cu.mm of blood and a mild elevation of serum bilirubin-total-2mg/dl(normal---up to 1.2 mg/dl) direct-1.2mg%(normal—upto—0.3 mg/dl), indirect-0.8mg%(normal – upto 0.9 mg/dl). Total serum proteins 5.2gm% (normal -6.6 to 8.3 gm/dl), albumin-3.2gm% (normal- 3.5 to 5.0 gm/dl), globulin -2.0gm%(normal 2.5 to 3.5 gm/dl ), urea-39 mg%(normal 15-50 mg/dl), creatinine-0.1mg%(normal- 0.7 to 1.4mg/dl), sugar-112 mg/dl random (normal – 80 to120 mg/dl- random sample). Ascites fluid tapping revealed an exudate (protein-3 gm%) and cytology revealed no malignant cells. Ascites fluid adenosine deaminase (ADA)activity revealed 10.4 U/L (normal < 40>Figure 8. His pulse rate was 108 bpm and blood pressure 100/70 mmHg. Auscultation revealed clear lung fields and no cardiac abnormalities. ECG revealed no arrhythmias and X-ray chest showed right- sided pleural effusion and extensive calcification over the cardiac shadow as shown in Figure 9. Transthoracic echocardiography revealed apical fibrosis of right ventricle, moderate pericardial effusion, right atrial dilatation as shown in Figures 10 and 11, suggesting right ventricular endomyocardial fibrosis and severe tricuspid regurgitation as in Figure 12 indicates coexisting pulmonary hypertension due to pulmonary damage caused by tuberculosis as shown in Figure 13 and free RV outflow tract as in Figure 15. Patient was treated with antituberculous drugs, antifailure measures such as digoxin and diuretics, ascites fluid tapping and antibiotics. He showed mild improvement in his symptoms.

Figure 8: Physical appearance of RV EMF in burnt-out stage with heart failure, ascites and skeletal muscle wasting due to fibrosis in a 23 –year old male in tuberculosis (Photo image taken with consent)

Figure 9: X-ray chest PA (postero-anterior) view showing right-sided pleural effusion and endocardial calcification over the left ventricle in burn- out stage of EMF (endomyocardial fibrosis).

Figure 10: Parasternal long axis view showing RV (right ventricular) apical fibrosis suggesting EMF (endomyocardial fibrosius) in a 23-year-old male with tuberculosis

Figure 11: Apical four chamber view suggesting RV (right ventricular) apical fibrosis, RA dilatation and severe tricuspid regurgitation suggesting right ventricular endomyocardial fibrosis with an extension of fibrosis in the LV apex

Figure 12: Apical four chamber view showing the RV apical fibrosis with mild pericardial effusion in a 23-year old male with tuberculosis.

Figure 13: CW (continuous wave Doppler) showing the tricuspid jet velocity 3.76 m/s with Pulmonary artery systolic pressure of 67 mmHg ((4 x 3.76 m/s)2 + RA pressure (10 mmHg), suggesting pulmonary hypertension due to coexisting lung disease (tuberculosis) in RV EMF with fibrosis extending to LV apex.

Figure 14: Pulsed Doppler showing systolic flow reversal in hepatic venous flow due to severe tricuspid regurgitation and dilated hepatic veins.

Figure 15: RV outflow tract is free of fibrosis and fibrous strands stand as ridge in Endomyocardial fibrosis with tuberculosis.
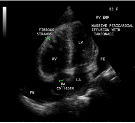
Case 3. (Right ventricular endomyocardial fibrosis with massive pericardial effusion in a 85 –year old male)
A 85-year old obese female was admitted in the cardiac intensive care unit with breathlessness. X-ray chest revealed massive pericardial effusion with calcification in the right ventricular region as shown in Figure 16. ECG revealed low voltage complexes. Blood chemistry revealed normal. Transthoracic echocardiography revealed large pericardial effusion with Right ventricular apical fibrosis, suggesting right ventricular endomyocardial fibrosis as shown in Figure 17 with tamponade physiology as in Figure 18 and treated with pericardiocentesis and pericardial fluid revealed an exudate on biochemical analysis.

Figure 16. X-ray chest PA view showing massive pericardial effusion in a 85-year old female with endocardial calcification in the right ventricle suggesting the burnt-out stage of endomyocardial fibrosis.

Figure 17: Apical four chamber view suggesting RV apical fibrosis with massive pericardial effusion

Figure 18: Pulsed-doppler imaging showing tamponade physiology.
Case 4. Right ventricular endomyocardial fibrosis presented with atrial fibrillation in a 62-year old female as shown in Figures 19 and 20.

Figure 19. ECG Showing atrial fibrillation in a 62-year old female with Right ventricular endomyocardial fibrosis.

Figure 20: Apical four chamber view showing right ventricular EMF with apical fibrosis and tricuspid regurgitation in a 62-year old female. Fibrotic lesion is characterized by rugose border with a mushroom appearance and thus differentiating from Apical right ventricular hypertrophic cardiomyopathy as shown in Figure-26.
Case 5. Right ventricular EMF presented with complete heart block in a 75- year old female as shown in Figures 21 and 22.

Figure 21: ECG showing complete heart block in a 75-year old female with right ventricular EMF.

Figure 22: Apical four chamber view showing right ventricular EMF with apical fibrosis in a 75 –year old female
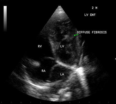
Case 6. Left ventricular endomyocardial fibrosis mimicking as Apical left ventricular hypertrophic cardiomyopathy in a 2- year old male child as shown in Figures 23 , 24 and 25.

Figure 23: (Left ventricular endomyocardial fibrosis mimicking as apical left ventricular hypertrophic cardiomyopathy in a 2- year old male child}

Figure 24: Apical four chamber view showing the endocardial fibrosis of the left ventricle in a 2-year old male child

Figure 25 Apical four chamber view showing diffuse endocardial fibrosis of left ventricle in 2-year old male child.
Case 7 Apical right ventricular hypertrophic cardiomyopathy in a 60- year old female mimicking as right ventricular EMF as shown in Figure 26.

Figure 26: Apical Right ventricular hypertrophic cardiomyopathy (asymmetric lateral wall hypertrophy with a thickness of 30 mm) mimicking as right ventricular endomyocardial fibrosis in a 60- year old female. (rugose border, a characteristic feature of EMF is absent and mild tricuspid regurgitation)
Case 8. Left ventricular endomyocardial fibrosis coexisting with RHD (rheumatic heart disease) in a 60-year old male as shown in Figures 27 and 28.

Figure 27: showing the thickening and calcification of mitral leaflets with flail Posterior mitral leaflet suggesting rheumatic involvement in a 60-year old male.

Figure 28: showing the mitral regurgitation due to PML (posterior mitral leaflet) involvement in a 60-year old male.
The other echocardiographic manifestations of burnt-out endomyocardial fibrosis are shown in Figures 29 to 44 as given below

Figure 29: 2D Echocardiographic imaging showing massive pericardial effusion with ‘cobra-head’
fibrous strands in the pericardial sac suggesting the burnt- out stage of endomyocardial fibrosis in a 60-year old male.

Figure 30: showing thick fibrous strands in the right ventricle with mild pericardial effusion suggesting right ventricular endomyocardial fibrosis in a 33-year old male.

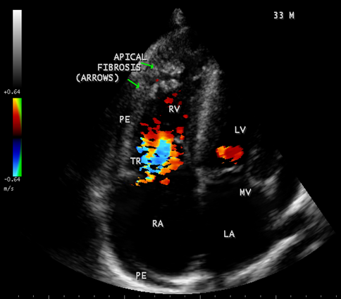
Figure 31: showing tricuspid regurgitation with thick fibrous strands in the Right ventricle in a 33-year old male in RV EMF.

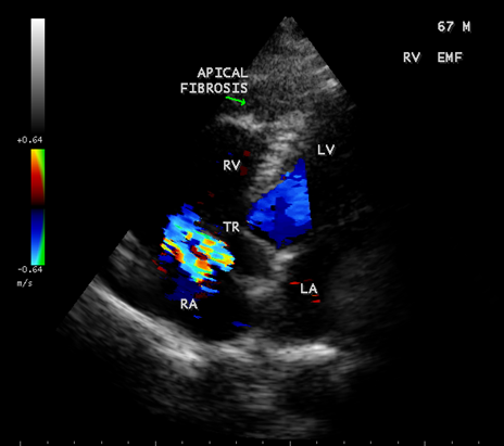
Figure 32. Endomyocardial fibrosis with aneurysmal right ventricle in a 67-year old male with RV apical fibrosis.

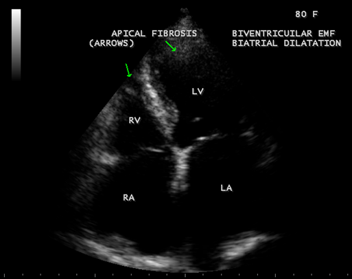
Figure 33: Endomyocardial fibrosis with biatrial enlargement in a 80-year old female suggesting biventricular EMF.

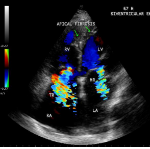
Figure 34: Biventricular EMF showing AV (atrioventricular) valve regurgitation in a 67- year old male.

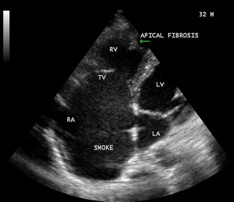
Figure 35: Endomyocardial fibrosis showing thick fibrous strands in the right atrium in a 32 -year old male and a dilated right atrium

Figure 36: Endomyocardial fibrosis showing SEC (spontaneous echo contrast or smoke) in the right atrium in a 32 -year old male.

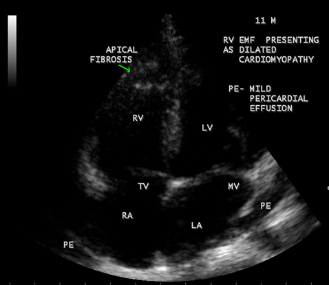
Figure 37: Endomyocardial fibrosis presented with dilated cardiomyopathy with RV apical fibrosis in a 11- year old male child.

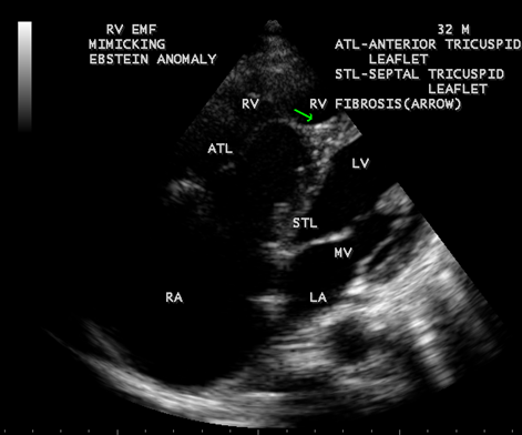
Figure 38: Right ventricular Endomyocardial fibrosis mimicking as Ebstein anomaly in a 32- year old male.

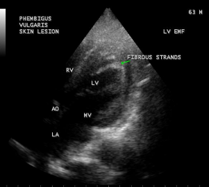
Figure 39: Left ventricular endomyocardial fibrosis in Pemphigus skin lesions in a 63-year old male.

Figure 40: Endomyocardial fibrosis with biventricular enlargement in a 50-year old female and tricuspid annular retraction.

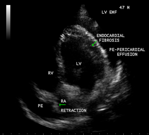
Figure 41: showing Endomyocardial fibrosis with moderate pericardial effusion and right atrial notch (RA retraction) in a year 47-year old male

Figure 42: Endomyocardial fibrosis showing subtricuspid fibrosis, aneurysmal right ventricle, mild pericardial effusion and right atrial notch (RA retraction) in a 14-year old male.

Figure 44: Endomyocardial fibrosis showing thickening of LV tendons seen as fibrous ridges as an initial manifestation of LV EMF in a 23-year old male.
Etiopathogenesis
The majority of EMF cases are reported from low-lying humid parts of tropical countries. In Tanzania and Mozambique, cases have clustered along the coastal forests [6], the coastal districts in south India and in China, the largest number of case reports from southern province of Guangxi [7]. The underlying etiology and its unique geographic distribution remain a great mystery in cardiology [8]. The proposed causes of endomyocardial fibrosis are listed in Table-1 given below, but none of these causes could establish itself as the reason for this enigmatic disease [9].
| Infections | Allergy | Malnutrition | Toxic agents |
Toxoplasmosis Rheumatic fever Malaria Myocarditis Helminth parasites Psoriasis Pemphigus Tuberculosis | Esoninophila Auto-immunity | Protein deficiency Magnesium deficiency | Cerium Cassava Thorium Serotonin Plant toxins Vitamin D |
Table 1: Proposed causes of endomyocardial fibrosis)
Researches in African populations showed a high prevalence of anti-heart antibodies in EMF patients when compared to those with rheumatic heart disease and it is not clear whether these autoantibodies are the cause or the result of EMF. In Mozambique, when the serum of patients was tested for the presence of anti-myocardial proteins [10], an increased immunoglobulins G and M reactivity were detected in EMF patients [11]. The role of infectious agents appears as possible causes or triggers for this disease [12], however, no specific organism has been consistently associated with endomyocardial fibrosis.
Presence of interstitial fibrosis, myohypertrophy, and calcification suggest a role of cytokines in its genesis [13],[14]. The inflammatory response occurring in the younger age group could manifest as calcification in the later years. Dominant right ventricular involvement, argues for toxic factors which are removed in the lungs or a factor which affects the heart when the right ventricle is dominant or predisposed, as during in utero life since the right ventricle receives most of the umbilical venous return.
Davies described three phases of the disease in his patients from Uganda. The initial phase is an acute carditis phase, starts as a febrile episode with facial swelling and in severe cases with heart failure, progress into subacute and chronic burnt-out phase. The condition is associated with fibrosis of endocardium of right and left ventricles, involving predominantly the apices and inflow regions, resulting in impaired filling, valvular regurgitation owing to frequent involvement of papillary muscles with tethering to ventricular walls. Endocardial lesions in EMF may evolve into necrotic, thrombotic and fibrotic stages as proposed by Olsen in Uganda. Most patients have rapidly progressive heart failure, leading to death within 2 years of the initial insult [15]. However, some patients may have a steady period without any clinical deterioration and recently a high prevalence of predominantly asymptomatic cases occurred in Mozambique [16], others may experience remissions of the clinical signs with no further progression.
When the endocardium is replaced by collagenous fibrosis (consist of collagen deposition and fibroblast proliferation), the final fibrotic stage is reached after several years of disease activity. Fibrotic obliteration of the apices of the affected ventricles is the hallmark of the disorder and fibrosis involving the papillary muscles and chordae tendineae leading to atrioventricular valve distortion and regurgitation. In the left ventricle, the fibrosis extends from the apex to the posterior mitral leaflet, usually sparing the anterior mitral leaflet and outflow tract and cause PML (posterior mitral leaflet) distortion and regurgitation. Like the peculiar geographical distribution, the fibrotic endomyocardial involvement stops short of the ventricular outflow tract like a ridge [17] as shown in Figures 15,29,31,35 and 44. The fibrotic tissue often creates a nidus for thrombus formation, which can be extensive. Atrial thrombi also occur and the right atrium may be aneurysmally dilated. Aneurysmal right atrium with spontaneous echo contrast was detected in a 32- year old male as shown in Figure 36 [18- Figure 3]. In addition, there are fibrosis and granular septation extending into the underlying myocardial tissue and myocyte hypertrophy is common [19]. Fibrotic process causes tethering of leaflets into ventricular walls and may mimic Ebstein’s malformation as shown in Figure 38[20],[21]. Fibrosis increases the stiffness of the heart, resulting restrictive physiology, AV (atrioventricular) valve regurgitation which has been linked to atrial arrhythmias such as atrial fibrillation as shown in Figures 19 and 20 in a 62-year old female. Atrial fibrillation has been reported in more than 30% of patients with EMF. Fibrosis impairs activation patterns of the conduction system and may provide substrate for wave breaks and reentry [22]. Fibrosis reduces conduction velocity and cause conduction abnormalities like junctional rhythms, heart blocks as shown in Figure 21 and 22 in a 75-year old female and atrioventricular conduction delay [23].
Endocardial calcific deposits can be present involving diffuse areas of the ventricles and Cockshott et al described this feature in 1967. Calcification, an impressive finding on imaging denotes a burnt-out phase of endomyocardial fibrosis (EMF) and confirming the malignant nature of the disease. Chest X-rays show varying degrees of cardiomegaly and at times typical endocardial calcifications in the left and right ventricles as shown in Figure 9 (left ventricular endocardialcalcification) [24- Figure 2(a)] and in Figure 16 (right ventricular endocardial calcification)[25- Figure 2 (c)- shows calcification in both ventricles], [26].
A large pericardial effusion is often present and noted as another peculiar feature of this disease [27]. Pericardial effusion and ascites dominate the clinical picture of right ventricular EMF [28], [29], [30]. Etiology of pericardial effusion is possibly inflammatory and EMF is to be considered as ‘pancarditis’ since all the layers are involved. Adhesions between the parietal and visceral layers of the pericardial sac may develop and visible as strong fibrotic strands as shown in Figures 29. A right ventricular EMF presented with massive pericardial effusion was detected in a 85 –year old female as shown in Figure 16, 17 and 29[31]. Cardiomegaly can be exaggerated by pericardial effusion, and pleural effusion is also a common finding as shown in Figure 9 [16-Figure 2]. Giant ascites in EMF is not fully explained by congestion alone and it is due to peritoneal inflammation and reduced reabsorption of peritoneal fluid, caused by fibrosis since the fluid is an exudate with predominant lymphocytes. The triad of elevated JVP (Jugular venous pressure), ascites and hepatomegaly formed the hallmark of right ventricular EMF.
Progression to generalized edema, hypoalbuminemia, cachexia, malnutrition, skeletal muscle fibrosis (fibrosis is also present in skeletal muscles, suggestinga generalized fibrotic process that would explain remarkable skeletal muscle atrophy present in some patients) [ 32] in advanced disease with hepatic dysfunction as shown in Figure 8. [33 –Figure 3 E].
Endomyocardial Fibrosis may present as dilated cardiomyopathy in a child as shown in Figure 37 [34]. In some cases, scattered areas of fibrosis in the submitral and subtricuspid regions may cause valvular regurgitation as shown in Figure 42. The valvular regurgitations occur in rheumatic heart disease and the differential features are given in Table 2. It may coexist with RHD (rheumatic heart disease) rarely as shown in Figures 27 and 28 [35].
| EMF (endomyocardial fibrosis) | RHD (rheumatic heart disease) |
Starts as a febrile illness with facial swelling May occur in neonatal period and infancy AV (atrioventricular) regurgitation mild to moderate Stenosis of AV valves uncommon Semilunar valves are unaffected Pancarditis like picture is present Antiheart antibodies are found Infectious and immunological mediated mechanism is suggested Endocardial and apical fibrosis. Fibrosis is a diffuse process and may affect skeletal muscles | Starts as a febrile illness with joint swelling Uncommon in neonatal period and infancy Moderate to severe
Common Commonly affected Present Found Suggested Commissural fusion and chordal fibrosis. Localized to valvular apparatus only. |
Table 2: Differential features of EMF (endomyocardial fibrosis) and RHD (rheumatic heart disease) Echocardiographic Features
Today echocardiography is used as the screening tool at the community level as the diagnosis of EMF could be confirmed at the bedside. Echocardiography accurately assesses the pathological abnormalities of chronic disease and it is the gold standard technique for the diagnosis of EMF [36]. It reveals dense endomyocardial echocardiograms along different parts of the mural and valvular endocardium and AV valve dysfunction [37] as shown in Figures 3 to 44. The typical feature of EMF is the obliteration of trabecular portion of the ventricle and in advanced cases, there is shrinkage of the cavities creating an apical notch, regurgitation, slow flow with spontaneous echo contrast as in Figure 36 and considerable pericardial effusion. Similar to apical notch of right ventricle, a right atrial notch is well seen as contraction (or retraction) of tricuspid annulus as in Figure 40 and right atrial notch as in Figure 41 and 42, indicating the retraction of rightatrial cavity as a peculiar feature of right ventricular EMF. Biventricular enlargement as shown in Figure 40 and biatrial enlargement as in Figure 32 are the characteristic features of advanced stage of EMF. The fibrosed muscular trabeculae extending into the cavities from the walls of the chambers in the right ventricle visible as ‘cobra heads’ as in Figure 4 and in pericardial sac as in Figure 29, in the left ventricle. Aneurysmal right ventricle with scattered areas of fibrosis in the sub tricuspid region and a notch in the right atrium is well seen in a 14 –year old boy as in Figure 42 . Right atrial notch is frequently noticed in EMF patients as shown in Figure 41 in a 47- year old male with left ventricular EMF and moderate pericardial effusion.
The features of burnt-out EMF (endomyocardial fibrosis) is summarized in Table 3 given below.
| Clinical | Radiology | Echocardiography |
Features of heart failure
Skin lesions
Skeletal muscle atrophy Giant exudative ascites | Exudative pericardial effusion
Cardiomegaly
Pleural effusion rarely Endocardial calcification | Notch or retraction of right sided cardiac chambers (never in left sided chambers) Prominent fibrous strands and may appear as ‘cobra head’ in cardiac chambers and pericardial space Aneurysmal right atrium Biatrial enlargement Biventricular enlargement Dilated cardiomyopathy Apical and endocardial fibrosis with apical obliteration and tethering of AV valve leaflets to the ventricular walls |
Table 3: Features of burnt-out EMF (endomyocardial fibrosis)
Screening of population
A left ventricular EMF mimicking apical left ventricular hypertrophic cardiomyopathy in a year-old boy as shown in Figures 23, 24 and 25 in a 2-year old male child and an apical right ventricular cardiomyopathy in a year-old female as shown in Figure 26 mimicking as right ventricular EMF have been found by Transthoracic echocardiographic screening. A right ventricular EMF associated with Psoriasis as shown in Figure 3 to7 in a 52- year old male and a left ventricular EMF associated with pemphigus in a 63- year old male as in Figure 39 were detected in this region of Thoothukudi.
Outcome the EMF is usually progressive and the time course of decline varies [38]. Since majority of cases come to attention in the advanced stage, survival rate is averaging about 2 years after the onset of symptoms [38]. Ascites and atrial fibrillation are the poor prognostic indicators [39]. Patients with right sided disease may remain asymptomatic for several years and the relative longevity is attributed to the capacity to maintain cardiac output with a mild increase in right atrial pressure [40] and the prognosis of patients with EMF depends on the extent and distribution of the disease in the cardiac chambers.

Figure 45: (D–F) Late gadolinium enhancement sequences showing the ‘double V sign’ (red arrows) with endocardial enhancement and superimposed apical thrombus [59].
RF (Rheumatic fever and EMF may coexist in the same patient as shown in Figures 46 & 47.

Figure 46: showing fibrosis of RV apex (upper arrow- EMF) and anterior mitral leaflet (lower arrow- RF)

Figure 47 showing RV apical fibrosis (upper arrow) and rheumatic mitral stenosis (lower arrow) [60]
Medical Treatment
Medical therapy is aimed to control the symptoms with amelioration of acute illness and to prevent and treat heart failure, arrhythmias and thromboembolism. In endemic areas, small doses of diuretics and antibiotics are helpful to treat the initiating febrile illness with facial swelling. Steroids have little or no influence on the natural course of EMF [41] and antifailure measures such as digitalis, diuretics, ACE (angiotensin converting enzyme) inhibitors are utilized to treat heart failure. Patients with advanced disease may require invasive procedures to alleviate effusion and arrhythmias. Recurrent pericardial effusion can benefit from pericardio-pleural windows or pericardio-peritoneal shunts. Management of ascites relies on frequent evacuation of fluid by paracentesis with intravenous replacement of albumin at the time of procedure is used to compensate the protein loss [42],[43]. Patients with atrial fibrillation and thrombus or SEC (spontaneous echo contrast) may need anticoagulant therapy with warfarin and antiplatelet agents (aspirin or clopidogrel) and AV blocks may require pacemaker implantation
Surgical Therapy Surgery improves survival and must be performed before the occurrence of irreversible cardiac and hepatic damage [44]. In advanced stage of EMF, surgical decortications (conservative endocardiectomy) through a relatively well-preserved cleavage plane to excise the thick fibrotic endocardial lining and valve repair or replacement. This procedure causes reduction in ventricular filling pressures, improvement in hemodynamic status, but the operative mortality is high (15 to 25%) [45]. Long-standing ascites, extensive fibrosis and calcification, impaired myocardial function are relative contra-indications for surgery. Recurrence of fibrosis may occur after surgery, but excellent long-term survival was observed in certain cases [46]. Cardiac transplant was done in one patient [47]. Investigational Therapy The presence of inflammatory markers such as C-reactive protein, cytokines (IL-5, TNF-α) suggest that anti-inflammatory agents can be used to control the febrile illness at the initial stage and to prevent the progression of the disease similar to the role of acetyl salicylic acid in rheumatic fever. EMF is an inflammatory disorder and the fusion protein, a tyrosine kinase created by fusion of PPGFRA and FIPILI genes, found as a therapeutic target for imatinib in idiopathic hypereosinophilic syndrome has been investigated in the treatment of EMF [48]. The use of Dopamine agonists in Parkinson’s disease induce valvular fibrosis through its action on 5HT (serotonin)2B receptors and polymorphism in this receptor may cause EMF [49]. 5HT2B receptor blockers such as ‘ terguride’may be helpful to inhibit the fibrotic process of EMF [50].
Endomyocardial fibrosis continues to be an enigmatic disease [51]. The final common pathway causing the endothelial damage and fibrosis is to be evaluated [52]. It has been found that ‘burnt-out’ stage of EMF was associated with skin disease such as Psoriasis, Pemphigus and pulmonary infection caused by tuberculosis, and concluding that EMF is an immunologically mediated disorder similar to rheumatic heart disease, following an infectious origin and the nature of infection varies in different geographical areas [53] Endomyocardial fibrosis, first described >75 years ago, is a cause of restrictive cardiomyopathy with an unclear aetiopathogenesis that is most commonly found in children and adolescents from tropical regions of Africa, Asia and South America. However, more cases are being identified in Kerala, a north Indian state [54]. The epidemiological trends of this cardiomyopathy are difficult to ascertain. The characteristic hallmark of endomyocardial fibrosis is ventricular fibrosis [55],[56] that causes diastolic dysfunction and atrioventricular regurgitation. The outcomes in affected patients remain poor. Cases of EMF may emerge in non-endemic areas, posing a diagnostic challenge for healthcare professionals unfamiliar with this condition [57]. A major focus of research is the identification of biomarkers of preclinical disease and new therapeutic targets. Collaborative multidisciplinary research and cross-learning from other fibrotic conditions should impart knowledge and help to improve the survival rates and the quality of life of patients with endomyocardial fibrosis [58].
Multimodality imaging is essential for the initial and definitive diagnosis of this disease. Cardiac magnetic resonance, through late gadolinium enhancement, allows tissue characterization and identifies the ‘double V sign’, which is pathognomonic of the disease, allowing confirmation of the diagnosis as shown in Figure 45.
The worsening heart failure despite successful valve repair, attributed to unexplained restrictive filling patterns [61] and its reason remains a vanishing mystery. Whether the same strains of rheumatic fever may also cause apical fibrosis is not clearly understood and so the rends are going to be difficult to eradicate these global epidemic problems in the tropics
Clearly Auctoresonline and particularly Psychology and Mental Health Care Journal is dedicated to improving health care services for individuals and populations. The editorial boards' ability to efficiently recognize and share the global importance of health literacy with a variety of stakeholders. Auctoresonline publishing platform can be used to facilitate of optimal client-based services and should be added to health care professionals' repertoire of evidence-based health care resources.
Journal of Clinical Cardiology and Cardiovascular Intervention The submission and review process was adequate. However I think that the publication total value should have been enlightened in early fases. Thank you for all.
Journal of Women Health Care and Issues By the present mail, I want to say thank to you and tour colleagues for facilitating my published article. Specially thank you for the peer review process, support from the editorial office. I appreciate positively the quality of your journal.
Journal of Clinical Research and Reports I would be very delighted to submit my testimonial regarding the reviewer board and the editorial office. The reviewer board were accurate and helpful regarding any modifications for my manuscript. And the editorial office were very helpful and supportive in contacting and monitoring with any update and offering help. It was my pleasure to contribute with your promising Journal and I am looking forward for more collaboration.
We would like to thank the Journal of Thoracic Disease and Cardiothoracic Surgery because of the services they provided us for our articles. The peer-review process was done in a very excellent time manner, and the opinions of the reviewers helped us to improve our manuscript further. The editorial office had an outstanding correspondence with us and guided us in many ways. During a hard time of the pandemic that is affecting every one of us tremendously, the editorial office helped us make everything easier for publishing scientific work. Hope for a more scientific relationship with your Journal.
The peer-review process which consisted high quality queries on the paper. I did answer six reviewers’ questions and comments before the paper was accepted. The support from the editorial office is excellent.
Journal of Neuroscience and Neurological Surgery. I had the experience of publishing a research article recently. The whole process was simple from submission to publication. The reviewers made specific and valuable recommendations and corrections that improved the quality of my publication. I strongly recommend this Journal.
Dr. Katarzyna Byczkowska My testimonial covering: "The peer review process is quick and effective. The support from the editorial office is very professional and friendly. Quality of the Clinical Cardiology and Cardiovascular Interventions is scientific and publishes ground-breaking research on cardiology that is useful for other professionals in the field.
Thank you most sincerely, with regard to the support you have given in relation to the reviewing process and the processing of my article entitled "Large Cell Neuroendocrine Carcinoma of The Prostate Gland: A Review and Update" for publication in your esteemed Journal, Journal of Cancer Research and Cellular Therapeutics". The editorial team has been very supportive.
Testimony of Journal of Clinical Otorhinolaryngology: work with your Reviews has been a educational and constructive experience. The editorial office were very helpful and supportive. It was a pleasure to contribute to your Journal.
Dr. Bernard Terkimbi Utoo, I am happy to publish my scientific work in Journal of Women Health Care and Issues (JWHCI). The manuscript submission was seamless and peer review process was top notch. I was amazed that 4 reviewers worked on the manuscript which made it a highly technical, standard and excellent quality paper. I appreciate the format and consideration for the APC as well as the speed of publication. It is my pleasure to continue with this scientific relationship with the esteem JWHCI.
This is an acknowledgment for peer reviewers, editorial board of Journal of Clinical Research and Reports. They show a lot of consideration for us as publishers for our research article “Evaluation of the different factors associated with side effects of COVID-19 vaccination on medical students, Mutah university, Al-Karak, Jordan”, in a very professional and easy way. This journal is one of outstanding medical journal.
Dear Hao Jiang, to Journal of Nutrition and Food Processing We greatly appreciate the efficient, professional and rapid processing of our paper by your team. If there is anything else we should do, please do not hesitate to let us know. On behalf of my co-authors, we would like to express our great appreciation to editor and reviewers.
As an author who has recently published in the journal "Brain and Neurological Disorders". I am delighted to provide a testimonial on the peer review process, editorial office support, and the overall quality of the journal. The peer review process at Brain and Neurological Disorders is rigorous and meticulous, ensuring that only high-quality, evidence-based research is published. The reviewers are experts in their fields, and their comments and suggestions were constructive and helped improve the quality of my manuscript. The review process was timely and efficient, with clear communication from the editorial office at each stage. The support from the editorial office was exceptional throughout the entire process. The editorial staff was responsive, professional, and always willing to help. They provided valuable guidance on formatting, structure, and ethical considerations, making the submission process seamless. Moreover, they kept me informed about the status of my manuscript and provided timely updates, which made the process less stressful. The journal Brain and Neurological Disorders is of the highest quality, with a strong focus on publishing cutting-edge research in the field of neurology. The articles published in this journal are well-researched, rigorously peer-reviewed, and written by experts in the field. The journal maintains high standards, ensuring that readers are provided with the most up-to-date and reliable information on brain and neurological disorders. In conclusion, I had a wonderful experience publishing in Brain and Neurological Disorders. The peer review process was thorough, the editorial office provided exceptional support, and the journal's quality is second to none. I would highly recommend this journal to any researcher working in the field of neurology and brain disorders.
Dear Agrippa Hilda, Journal of Neuroscience and Neurological Surgery, Editorial Coordinator, I trust this message finds you well. I want to extend my appreciation for considering my article for publication in your esteemed journal. I am pleased to provide a testimonial regarding the peer review process and the support received from your editorial office. The peer review process for my paper was carried out in a highly professional and thorough manner. The feedback and comments provided by the authors were constructive and very useful in improving the quality of the manuscript. This rigorous assessment process undoubtedly contributes to the high standards maintained by your journal.
International Journal of Clinical Case Reports and Reviews. I strongly recommend to consider submitting your work to this high-quality journal. The support and availability of the Editorial staff is outstanding and the review process was both efficient and rigorous.
Thank you very much for publishing my Research Article titled “Comparing Treatment Outcome Of Allergic Rhinitis Patients After Using Fluticasone Nasal Spray And Nasal Douching" in the Journal of Clinical Otorhinolaryngology. As Medical Professionals we are immensely benefited from study of various informative Articles and Papers published in this high quality Journal. I look forward to enriching my knowledge by regular study of the Journal and contribute my future work in the field of ENT through the Journal for use by the medical fraternity. The support from the Editorial office was excellent and very prompt. I also welcome the comments received from the readers of my Research Article.
Dear Erica Kelsey, Editorial Coordinator of Cancer Research and Cellular Therapeutics Our team is very satisfied with the processing of our paper by your journal. That was fast, efficient, rigorous, but without unnecessary complications. We appreciated the very short time between the submission of the paper and its publication on line on your site.
I am very glad to say that the peer review process is very successful and fast and support from the Editorial Office. Therefore, I would like to continue our scientific relationship for a long time. And I especially thank you for your kindly attention towards my article. Have a good day!
"We recently published an article entitled “Influence of beta-Cyclodextrins upon the Degradation of Carbofuran Derivatives under Alkaline Conditions" in the Journal of “Pesticides and Biofertilizers” to show that the cyclodextrins protect the carbamates increasing their half-life time in the presence of basic conditions This will be very helpful to understand carbofuran behaviour in the analytical, agro-environmental and food areas. We greatly appreciated the interaction with the editor and the editorial team; we were particularly well accompanied during the course of the revision process, since all various steps towards publication were short and without delay".
I would like to express my gratitude towards you process of article review and submission. I found this to be very fair and expedient. Your follow up has been excellent. I have many publications in national and international journal and your process has been one of the best so far. Keep up the great work.
We are grateful for this opportunity to provide a glowing recommendation to the Journal of Psychiatry and Psychotherapy. We found that the editorial team were very supportive, helpful, kept us abreast of timelines and over all very professional in nature. The peer review process was rigorous, efficient and constructive that really enhanced our article submission. The experience with this journal remains one of our best ever and we look forward to providing future submissions in the near future.
I am very pleased to serve as EBM of the journal, I hope many years of my experience in stem cells can help the journal from one way or another. As we know, stem cells hold great potential for regenerative medicine, which are mostly used to promote the repair response of diseased, dysfunctional or injured tissue using stem cells or their derivatives. I think Stem Cell Research and Therapeutics International is a great platform to publish and share the understanding towards the biology and translational or clinical application of stem cells.
I would like to give my testimony in the support I have got by the peer review process and to support the editorial office where they were of asset to support young author like me to be encouraged to publish their work in your respected journal and globalize and share knowledge across the globe. I really give my great gratitude to your journal and the peer review including the editorial office.
I am delighted to publish our manuscript entitled "A Perspective on Cocaine Induced Stroke - Its Mechanisms and Management" in the Journal of Neuroscience and Neurological Surgery. The peer review process, support from the editorial office, and quality of the journal are excellent. The manuscripts published are of high quality and of excellent scientific value. I recommend this journal very much to colleagues.
Dr.Tania Muñoz, My experience as researcher and author of a review article in The Journal Clinical Cardiology and Interventions has been very enriching and stimulating. The editorial team is excellent, performs its work with absolute responsibility and delivery. They are proactive, dynamic and receptive to all proposals. Supporting at all times the vast universe of authors who choose them as an option for publication. The team of review specialists, members of the editorial board, are brilliant professionals, with remarkable performance in medical research and scientific methodology. Together they form a frontline team that consolidates the JCCI as a magnificent option for the publication and review of high-level medical articles and broad collective interest. I am honored to be able to share my review article and open to receive all your comments.
“The peer review process of JPMHC is quick and effective. Authors are benefited by good and professional reviewers with huge experience in the field of psychology and mental health. The support from the editorial office is very professional. People to contact to are friendly and happy to help and assist any query authors might have. Quality of the Journal is scientific and publishes ground-breaking research on mental health that is useful for other professionals in the field”.
Dear editorial department: On behalf of our team, I hereby certify the reliability and superiority of the International Journal of Clinical Case Reports and Reviews in the peer review process, editorial support, and journal quality. Firstly, the peer review process of the International Journal of Clinical Case Reports and Reviews is rigorous, fair, transparent, fast, and of high quality. The editorial department invites experts from relevant fields as anonymous reviewers to review all submitted manuscripts. These experts have rich academic backgrounds and experience, and can accurately evaluate the academic quality, originality, and suitability of manuscripts. The editorial department is committed to ensuring the rigor of the peer review process, while also making every effort to ensure a fast review cycle to meet the needs of authors and the academic community. Secondly, the editorial team of the International Journal of Clinical Case Reports and Reviews is composed of a group of senior scholars and professionals with rich experience and professional knowledge in related fields. The editorial department is committed to assisting authors in improving their manuscripts, ensuring their academic accuracy, clarity, and completeness. Editors actively collaborate with authors, providing useful suggestions and feedback to promote the improvement and development of the manuscript. We believe that the support of the editorial department is one of the key factors in ensuring the quality of the journal. Finally, the International Journal of Clinical Case Reports and Reviews is renowned for its high- quality articles and strict academic standards. The editorial department is committed to publishing innovative and academically valuable research results to promote the development and progress of related fields. The International Journal of Clinical Case Reports and Reviews is reasonably priced and ensures excellent service and quality ratio, allowing authors to obtain high-level academic publishing opportunities in an affordable manner. I hereby solemnly declare that the International Journal of Clinical Case Reports and Reviews has a high level of credibility and superiority in terms of peer review process, editorial support, reasonable fees, and journal quality. Sincerely, Rui Tao.
Clinical Cardiology and Cardiovascular Interventions I testity the covering of the peer review process, support from the editorial office, and quality of the journal.
Clinical Cardiology and Cardiovascular Interventions, we deeply appreciate the interest shown in our work and its publication. It has been a true pleasure to collaborate with you. The peer review process, as well as the support provided by the editorial office, have been exceptional, and the quality of the journal is very high, which was a determining factor in our decision to publish with you.
The peer reviewers process is quick and effective, the supports from editorial office is excellent, the quality of journal is high. I would like to collabroate with Internatioanl journal of Clinical Case Reports and Reviews journal clinically in the future time.
Clinical Cardiology and Cardiovascular Interventions, I would like to express my sincerest gratitude for the trust placed in our team for the publication in your journal. It has been a true pleasure to collaborate with you on this project. I am pleased to inform you that both the peer review process and the attention from the editorial coordination have been excellent. Your team has worked with dedication and professionalism to ensure that your publication meets the highest standards of quality. We are confident that this collaboration will result in mutual success, and we are eager to see the fruits of this shared effort.
Dear Dr. Jessica Magne, Editorial Coordinator 0f Clinical Cardiology and Cardiovascular Interventions, I hope this message finds you well. I want to express my utmost gratitude for your excellent work and for the dedication and speed in the publication process of my article titled "Navigating Innovation: Qualitative Insights on Using Technology for Health Education in Acute Coronary Syndrome Patients." I am very satisfied with the peer review process, the support from the editorial office, and the quality of the journal. I hope we can maintain our scientific relationship in the long term.
Dear Monica Gissare, - Editorial Coordinator of Nutrition and Food Processing. ¨My testimony with you is truly professional, with a positive response regarding the follow-up of the article and its review, you took into account my qualities and the importance of the topic¨.
Dear Dr. Jessica Magne, Editorial Coordinator 0f Clinical Cardiology and Cardiovascular Interventions, The review process for the article “The Handling of Anti-aggregants and Anticoagulants in the Oncologic Heart Patient Submitted to Surgery” was extremely rigorous and detailed. From the initial submission to the final acceptance, the editorial team at the “Journal of Clinical Cardiology and Cardiovascular Interventions” demonstrated a high level of professionalism and dedication. The reviewers provided constructive and detailed feedback, which was essential for improving the quality of our work. Communication was always clear and efficient, ensuring that all our questions were promptly addressed. The quality of the “Journal of Clinical Cardiology and Cardiovascular Interventions” is undeniable. It is a peer-reviewed, open-access publication dedicated exclusively to disseminating high-quality research in the field of clinical cardiology and cardiovascular interventions. The journal's impact factor is currently under evaluation, and it is indexed in reputable databases, which further reinforces its credibility and relevance in the scientific field. I highly recommend this journal to researchers looking for a reputable platform to publish their studies.
Dear Editorial Coordinator of the Journal of Nutrition and Food Processing! "I would like to thank the Journal of Nutrition and Food Processing for including and publishing my article. The peer review process was very quick, movement and precise. The Editorial Board has done an extremely conscientious job with much help, valuable comments and advices. I find the journal very valuable from a professional point of view, thank you very much for allowing me to be part of it and I would like to participate in the future!”
Dealing with The Journal of Neurology and Neurological Surgery was very smooth and comprehensive. The office staff took time to address my needs and the response from editors and the office was prompt and fair. I certainly hope to publish with this journal again.Their professionalism is apparent and more than satisfactory. Susan Weiner
My Testimonial Covering as fellowing: Lin-Show Chin. The peer reviewers process is quick and effective, the supports from editorial office is excellent, the quality of journal is high. I would like to collabroate with Internatioanl journal of Clinical Case Reports and Reviews.
My experience publishing in Psychology and Mental Health Care was exceptional. The peer review process was rigorous and constructive, with reviewers providing valuable insights that helped enhance the quality of our work. The editorial team was highly supportive and responsive, making the submission process smooth and efficient. The journal's commitment to high standards and academic rigor makes it a respected platform for quality research. I am grateful for the opportunity to publish in such a reputable journal.
My experience publishing in International Journal of Clinical Case Reports and Reviews was exceptional. I Come forth to Provide a Testimonial Covering the Peer Review Process and the editorial office for the Professional and Impartial Evaluation of the Manuscript.
I would like to offer my testimony in the support. I have received through the peer review process and support the editorial office where they are to support young authors like me, encourage them to publish their work in your esteemed journals, and globalize and share knowledge globally. I really appreciate your journal, peer review, and editorial office.
Dear Agrippa Hilda- Editorial Coordinator of Journal of Neuroscience and Neurological Surgery, "The peer review process was very quick and of high quality, which can also be seen in the articles in the journal. The collaboration with the editorial office was very good."
I would like to express my sincere gratitude for the support and efficiency provided by the editorial office throughout the publication process of my article, “Delayed Vulvar Metastases from Rectal Carcinoma: A Case Report.” I greatly appreciate the assistance and guidance I received from your team, which made the entire process smooth and efficient. The peer review process was thorough and constructive, contributing to the overall quality of the final article. I am very grateful for the high level of professionalism and commitment shown by the editorial staff, and I look forward to maintaining a long-term collaboration with the International Journal of Clinical Case Reports and Reviews.
To Dear Erin Aust, I would like to express my heartfelt appreciation for the opportunity to have my work published in this esteemed journal. The entire publication process was smooth and well-organized, and I am extremely satisfied with the final result. The Editorial Team demonstrated the utmost professionalism, providing prompt and insightful feedback throughout the review process. Their clear communication and constructive suggestions were invaluable in enhancing my manuscript, and their meticulous attention to detail and dedication to quality are truly commendable. Additionally, the support from the Editorial Office was exceptional. From the initial submission to the final publication, I was guided through every step of the process with great care and professionalism. The team's responsiveness and assistance made the entire experience both easy and stress-free. I am also deeply impressed by the quality and reputation of the journal. It is an honor to have my research featured in such a respected publication, and I am confident that it will make a meaningful contribution to the field.
"I am grateful for the opportunity of contributing to [International Journal of Clinical Case Reports and Reviews] and for the rigorous review process that enhances the quality of research published in your esteemed journal. I sincerely appreciate the time and effort of your team who have dedicatedly helped me in improvising changes and modifying my manuscript. The insightful comments and constructive feedback provided have been invaluable in refining and strengthening my work".
I thank the ‘Journal of Clinical Research and Reports’ for accepting this article for publication. This is a rigorously peer reviewed journal which is on all major global scientific data bases. I note the review process was prompt, thorough and professionally critical. It gave us an insight into a number of important scientific/statistical issues. The review prompted us to review the relevant literature again and look at the limitations of the study. The peer reviewers were open, clear in the instructions and the editorial team was very prompt in their communication. This journal certainly publishes quality research articles. I would recommend the journal for any future publications.
Dear Jessica Magne, with gratitude for the joint work. Fast process of receiving and processing the submitted scientific materials in “Clinical Cardiology and Cardiovascular Interventions”. High level of competence of the editors with clear and correct recommendations and ideas for enriching the article.
We found the peer review process quick and positive in its input. The support from the editorial officer has been very agile, always with the intention of improving the article and taking into account our subsequent corrections.
My article, titled 'No Way Out of the Smartphone Epidemic Without Considering the Insights of Brain Research,' has been republished in the International Journal of Clinical Case Reports and Reviews. The review process was seamless and professional, with the editors being both friendly and supportive. I am deeply grateful for their efforts.
To Dear Erin Aust – Editorial Coordinator of Journal of General Medicine and Clinical Practice! I declare that I am absolutely satisfied with your work carried out with great competence in following the manuscript during the various stages from its receipt, during the revision process to the final acceptance for publication. Thank Prof. Elvira Farina
Dear Jessica, and the super professional team of the ‘Clinical Cardiology and Cardiovascular Interventions’ I am sincerely grateful to the coordinated work of the journal team for the no problem with the submission of my manuscript: “Cardiometabolic Disorders in A Pregnant Woman with Severe Preeclampsia on the Background of Morbid Obesity (Case Report).” The review process by 5 experts was fast, and the comments were professional, which made it more specific and academic, and the process of publication and presentation of the article was excellent. I recommend that my colleagues publish articles in this journal, and I am interested in further scientific cooperation. Sincerely and best wishes, Dr. Oleg Golyanovskiy.
Dear Ashley Rosa, Editorial Coordinator of the journal - Psychology and Mental Health Care. " The process of obtaining publication of my article in the Psychology and Mental Health Journal was positive in all areas. The peer review process resulted in a number of valuable comments, the editorial process was collaborative and timely, and the quality of this journal has been quickly noticed, resulting in alternative journals contacting me to publish with them." Warm regards, Susan Anne Smith, PhD. Australian Breastfeeding Association.
Dear Jessica Magne, Editorial Coordinator, Clinical Cardiology and Cardiovascular Interventions, Auctores Publishing LLC. I appreciate the journal (JCCI) editorial office support, the entire team leads were always ready to help, not only on technical front but also on thorough process. Also, I should thank dear reviewers’ attention to detail and creative approach to teach me and bring new insights by their comments. Surely, more discussions and introduction of other hemodynamic devices would provide better prevention and management of shock states. Your efforts and dedication in presenting educational materials in this journal are commendable. Best wishes from, Farahnaz Fallahian.
Dear Maria Emerson, Editorial Coordinator, International Journal of Clinical Case Reports and Reviews, Auctores Publishing LLC. I am delighted to have published our manuscript, "Acute Colonic Pseudo-Obstruction (ACPO): A rare but serious complication following caesarean section." I want to thank the editorial team, especially Maria Emerson, for their prompt review of the manuscript, quick responses to queries, and overall support. Yours sincerely Dr. Victor Olagundoye.
Dear Ashley Rosa, Editorial Coordinator, International Journal of Clinical Case Reports and Reviews. Many thanks for publishing this manuscript after I lost confidence the editors were most helpful, more than other journals Best wishes from, Susan Anne Smith, PhD. Australian Breastfeeding Association.
Dear Agrippa Hilda, Editorial Coordinator, Journal of Neuroscience and Neurological Surgery. The entire process including article submission, review, revision, and publication was extremely easy. The journal editor was prompt and helpful, and the reviewers contributed to the quality of the paper. Thank you so much! Eric Nussbaum, MD
Dr Hala Al Shaikh This is to acknowledge that the peer review process for the article ’ A Novel Gnrh1 Gene Mutation in Four Omani Male Siblings, Presentation and Management ’ sent to the International Journal of Clinical Case Reports and Reviews was quick and smooth. The editorial office was prompt with easy communication.
Dear Erin Aust, Editorial Coordinator, Journal of General Medicine and Clinical Practice. We are pleased to share our experience with the “Journal of General Medicine and Clinical Practice”, following the successful publication of our article. The peer review process was thorough and constructive, helping to improve the clarity and quality of the manuscript. We are especially thankful to Ms. Erin Aust, the Editorial Coordinator, for her prompt communication and continuous support throughout the process. Her professionalism ensured a smooth and efficient publication experience. The journal upholds high editorial standards, and we highly recommend it to fellow researchers seeking a credible platform for their work. Best wishes By, Dr. Rakhi Mishra.
Dear Jessica Magne, Editorial Coordinator, Clinical Cardiology and Cardiovascular Interventions, Auctores Publishing LLC. The peer review process of the journal of Clinical Cardiology and Cardiovascular Interventions was excellent and fast, as was the support of the editorial office and the quality of the journal. Kind regards Walter F. Riesen Prof. Dr. Dr. h.c. Walter F. Riesen.
Dear Ashley Rosa, Editorial Coordinator, International Journal of Clinical Case Reports and Reviews, Auctores Publishing LLC. Thank you for publishing our article, Exploring Clozapine's Efficacy in Managing Aggression: A Multiple Single-Case Study in Forensic Psychiatry in the international journal of clinical case reports and reviews. We found the peer review process very professional and efficient. The comments were constructive, and the whole process was efficient. On behalf of the co-authors, I would like to thank you for publishing this article. With regards, Dr. Jelle R. Lettinga.
Dear Clarissa Eric, Editorial Coordinator, Journal of Clinical Case Reports and Studies, I would like to express my deep admiration for the exceptional professionalism demonstrated by your journal. I am thoroughly impressed by the speed of the editorial process, the substantive and insightful reviews, and the meticulous preparation of the manuscript for publication. Additionally, I greatly appreciate the courteous and immediate responses from your editorial office to all my inquiries. Best Regards, Dariusz Ziora
Dear Chrystine Mejia, Editorial Coordinator, Journal of Neurodegeneration and Neurorehabilitation, Auctores Publishing LLC, We would like to thank the editorial team for the smooth and high-quality communication leading up to the publication of our article in the Journal of Neurodegeneration and Neurorehabilitation. The reviewers have extensive knowledge in the field, and their relevant questions helped to add value to our publication. Kind regards, Dr. Ravi Shrivastava.
Dear Clarissa Eric, Editorial Coordinator, Journal of Clinical Case Reports and Studies, Auctores Publishing LLC, USA Office: +1-(302)-520-2644. I would like to express my sincere appreciation for the efficient and professional handling of my case report by the ‘Journal of Clinical Case Reports and Studies’. The peer review process was not only fast but also highly constructive—the reviewers’ comments were clear, relevant, and greatly helped me improve the quality and clarity of my manuscript. I also received excellent support from the editorial office throughout the process. Communication was smooth and timely, and I felt well guided at every stage, from submission to publication. The overall quality and rigor of the journal are truly commendable. I am pleased to have published my work with Journal of Clinical Case Reports and Studies, and I look forward to future opportunities for collaboration. Sincerely, Aline Tollet, UCLouvain.
Dear Ms. Mayra Duenas, Editorial Coordinator, International Journal of Clinical Case Reports and Reviews. “The International Journal of Clinical Case Reports and Reviews represented the “ideal house” to share with the research community a first experience with the use of the Simeox device for speech rehabilitation. High scientific reputation and attractive website communication were first determinants for the selection of this Journal, and the following submission process exceeded expectations: fast but highly professional peer review, great support by the editorial office, elegant graphic layout. Exactly what a dynamic research team - also composed by allied professionals - needs!" From, Chiara Beccaluva, PT - Italy.
Dear Maria Emerson, Editorial Coordinator, we have deeply appreciated the professionalism demonstrated by the International Journal of Clinical Case Reports and Reviews. The reviewers have extensive knowledge of our field and have been very efficient and fast in supporting the process. I am really looking forward to further collaboration. Thanks. Best regards, Dr. Claudio Ligresti
Dear Chrystine Mejia, Editorial Coordinator, Journal of Neurodegeneration and Neurorehabilitation. “The peer review process was efficient and constructive, and the editorial office provided excellent communication and support throughout. The journal ensures scientific rigor and high editorial standards, while also offering a smooth and timely publication process. We sincerely appreciate the work of the editorial team in facilitating the dissemination of innovative approaches such as the Bonori Method.” Best regards, Dr. Matteo Bonori.
I recommend without hesitation submitting relevant papers on medical decision making to the International Journal of Clinical Case Reports and Reviews. I am very grateful to the editorial staff. Maria Emerson was a pleasure to communicate with. The time from submission to publication was an extremely short 3 weeks. The editorial staff submitted the paper to three reviewers. Two of the reviewers commented positively on the value of publishing the paper. The editorial staff quickly recognized the third reviewer’s comments as an unjust attempt to reject the paper. I revised the paper as recommended by the first two reviewers.
Dear Maria Emerson, Editorial Coordinator, Journal of Clinical Research and Reports. Thank you for publishing our case report: "Clinical Case of Effective Fetal Stem Cells Treatment in a Patient with Autism Spectrum Disorder" within the "Journal of Clinical Research and Reports" being submitted by the team of EmCell doctors from Kyiv, Ukraine. We much appreciate a professional and transparent peer-review process from Auctores. All research Doctors are so grateful to your Editorial Office and Auctores Publishing support! I amiably wish our article publication maintained a top quality of your International Scientific Journal. My best wishes for a prosperity of the Journal of Clinical Research and Reports. Hope our scientific relationship and cooperation will remain long lasting. Thank you very much indeed. Kind regards, Dr. Andriy Sinelnyk Cell Therapy Center EmCell
Dear Editorial Team, Clinical Cardiology and Cardiovascular Interventions. It was truly a rewarding experience to work with the journal “Clinical Cardiology and Cardiovascular Interventions”. The peer review process was insightful and encouraging, helping us refine our work to a higher standard. The editorial office offered exceptional support with prompt and thoughtful communication. I highly value the journal’s role in promoting scientific advancement and am honored to be part of it. Best regards, Meng-Jou Lee, MD, Department of Anesthesiology, National Taiwan University Hospital.
Dear Editorial Team, Journal-Clinical Cardiology and Cardiovascular Interventions, “Publishing my article with Clinical Cardiology and Cardiovascular Interventions has been a highly positive experience. The peer-review process was rigorous yet supportive, offering valuable feedback that strengthened my work. The editorial team demonstrated exceptional professionalism, prompt communication, and a genuine commitment to maintaining the highest scientific standards. I am very pleased with the publication quality and proud to be associated with such a reputable journal.” Warm regards, Dr. Mahmoud Kamal Moustafa Ahmed
Dear Maria Emerson, Editorial Coordinator of ‘International Journal of Clinical Case Reports and Reviews’, I appreciate the opportunity to publish my article with your journal. The editorial office provided clear communication during the submission and review process, and I found the overall experience professional and constructive. Best regards, Elena Salvatore.
Dear Mayra Duenas, Editorial Coordinator of ‘International Journal of Clinical Case Reports and Reviews Herewith I confirm an optimal peer review process and a great support of the editorial office of the present journal
Dear Editorial Team, Clinical Cardiology and Cardiovascular Interventions. I am really grateful for the peers review; their feedback gave me the opportunity to reflect on the message and impact of my work and to ameliorate the article. The editors did a great job in addition by encouraging me to continue with the process of publishing.
Dear Cecilia Lilly, Editorial Coordinator, Endocrinology and Disorders, Thank you so much for your quick response regarding reviewing and all process till publishing our manuscript entitled: Prevalence of Pre-Diabetes and its Associated Risk Factors Among Nile College Students, Sudan. Best regards, Dr Mamoun Magzoub.
International Journal of Clinical Case Reports and Reviews is a high quality journal that has a clear and concise submission process. The peer review process was comprehensive and constructive. Support from the editorial office was excellent, since the administrative staff were responsive. The journal provides a fast and timely publication timeline.
Dear Maria Emerson, Editorial Coordinator of International Journal of Clinical Case Reports and Reviews, What distinguishes International Journal of Clinical Case Report and Review is not only the scientific rigor of its publications, but the intellectual climate in which research is evaluated. The submission process is refreshingly free of unnecessary formal barriers and bureaucratic rituals that often complicate academic publishing without adding real value. The peer-review system is demanding yet constructive, guided by genuine scientific dialogue rather than hierarchical or authoritarian attitudes. Reviewers act as collaborators in improving the manuscript, not as gatekeepers imposing arbitrary standards. This journal offers a rare balance: high methodological standards combined with a respectful, transparent, and supportive editorial approach. In an era where publishing can feel more burdensome than research itself, this platform restores the original purpose of peer review — to refine ideas, not to obstruct them Prof. Perlat Kapisyzi, FCCP PULMONOLOGIST AND THORACIC IMAGING.
Dear Mayra Duenas, Editorial Coordinator of the journal IJCCR, I write here a little on my experience as an author submitting to the International Journal of Clinical Case Reports and Reviews (IJCCR). This was my first submission to IJCCR and my manuscript was inherently an outsider’s effort. It attempted to broadly identify and then make some sense of life’s under-appreciated mysteries. I initially had responded to a request for possible submissions. I then contacted IJCCR with a tentative topic for a manuscript. They quickly got back with an approval for the submission, but with a particular requirement that it be medically relevant. I then put together a manuscript and submitted it. After the usual back-and-forth over forms and formality, the manuscript was sent off for reviews. Within 2 weeks I got back 4 reviews which were both helpful and also surprising. Surprising in that the topic was somewhat foreign to medical literature. My subsequent updates in response to the reviewer comments went smoothly and in short order I had a series of proofs to evaluate. All in all, the whole publication process seemed outstanding. It was both helpful in terms of the paper’s content and also in terms of its efficient and friendly communications. Thank you all very much. Sincerely, Ted Christopher, Rochester, NY.
Dear Grace Pierce, Editorial Coordinator of the journal IJCCR, I had a very positive experience with Auctores - Journal throughout the publication process. The Editorial Team was highly responsive, professional, and supportive at every stage. I would like to extend my sincere thanks to the Editor: Grace Pierce, for her guidance and assistance. The peer-review process was smooth and constructive, helping improve the quality of my work. I would gladly recommend Auctores Journal to fellow researchers and authors. Dr. SABITA SINHA, Medical Oncologist, MD (Electro Homeopathy).
Dear Maria Emerson, Editorial Coordinator of - Journal of Clinical Research and Reports. ''I am pleased to provide this testimonial following the publication of our recent case report in this journal. The peer review process was rigorous, constructive, thorough, and conducted in a timely manner. The reviewers’ comments were thoughtful, detailed, and highly constructive, contributing substantially to the refinement, clarity, and scientific robustness of our manuscript. The process was conducted with professionalism and academic integrity throughout. The support provided by the editorial office was exemplary. Communication was consistently prompt, clear, and courteous at all stages of the submission and publication process. The editorial team demonstrated a high level of organization and responsiveness, ensuring that all queries were addressed efficiently and that the process remained transparent and well-coordinated. The overall quality of the journal is reflected in its strong editorial standards, commitment to scientific excellence, and dedication to publishing clinically meaningful research. It has been a privilege to publish our work in this journal, and we would welcome the opportunity to contribute further in the future.'' Best wishes from, Dr. Trogkanis Efstratios, Cardiologist.