AUCTORES
Globalize your Research
Review | DOI: https://doi.org/10.31579/2768-0487/180
1Medical Microbiology Department, College of Health Sciences, Hawler Medical University.
2Midwifery department, Erbil technical medical institute, Erbil polytechnic university, Kurdistan region/Erbil/ Iraq.
3Department of Biology, College of Education, Salahaddin University-Erbil, Kurdistan Region, Iraq.
4Medical Laboratory Technology Department, Kalar Technical College, Garmian Polytechnic University, Kalar, Iraq.
*Corresponding Author: Fattma A. Ali., Medical Microbiology Department, College of Health Sciences, Hawler Medical University.
Citation: Al-Daoody AA, Hero H. Abbas, Fattma A. Ali, Media A. Othman, Sawsan M. Sorche, et al., (2025), Causative Agents of Primary Amoebic Meningoencephalitis Naegleria Fowleri, Journal of Clinical and Laboratory Research, 8(3); DOI:10.31579/2768-0487/180
Copyright: © 2025, Fattma A. Ali. This is an open-access article distributed under the terms of the Creative Commons Attribution License, which permits unrestricted use, distribution, and reproduction in any medium, provided the original author and source are credited.
Received: 04 June 2025 | Accepted: 18 June 2025 | Published: 30 June 2025
Keywords: free-living amoebae; primary amoebic meningitis; naegleria; diagnosis; pathogen
The free-living amoeba Naegleria fowleri is frequently found in humid freshwater settings including warm springs, lakes, naturally occurring mineral water, and resort spas that are frequented by travelers. Primary amoebic meningoencephalitis (PAM), a severe, deadly illness of the central nervous system that kills a person within seven days, is caused by Naegleria fowleri. When ameba-containing water come into the body through the nose, commonly during re-creational aquatic actions like swimming or diving, infection may result. The PAM Though it was once believed to be an uncommon disorder, more instances are being documented every year. PAM is challenging to detect as its signs and symptoms resemble those of meningitis caused by bacteria. Therefore, the first step for identification is clinical inference and clinician attention. Therapy must start as soon as amoebae are found in CSF wet mount and involve systemic and intrathecal injection of large doses of amphotericin B, either with or without miconazole, rifampin, and sulfisoxazole. The spread of N. fowleri can be stopped via adequately chlorinating heavily used swimming pools (one part per million). In high-risk locations, local public health authorities should also think about monitoring waters used for recreation for N. fowleri, especially in summertime. This review is meant to bring focus to the significance of Naegleria fowleri infections and provides information on ways to comprehend the disease's pathogenesis, clinical symptoms, and associated processes, in addition to treatment and prevention measures.
The ameboflagellate known as Naegleria fowleri is referred to as "the brain-eating amoeba"(Gyori, 2003). This amoeba thrives in tropical and subtropical environments because it is thermophilic. Its development is facilitated by warm water from power plants or elevated temperatures during the sweltering summer months (Martinez and Visvesvara, 1997). Primary amoebic meningoencephalitis (PAM) is a severe, active, and quickly lethal central nervous system (CNS) infection caused by this amoeba. The infection is brought on by trophozoite breathing (Gyori, 2003). After inhaling contaminated water, it clings to the olfactory nerve before moving down the fila olfactory and blood vessels through the cribriform plate of the ethmoid bone and into the anterior cerebral fossae. It consumes nerve tissue, causing massive bleeding, necrosis, and inflammation that eventually results in fatality (Control and Prevention, 2008). Children and young adults in good health who have recently come into contact with lukewarm freshwater water (polluted water found in ponds, swimming pools, and artificial lakes) are susceptible to infections. Ameba has also been found in industrial water sources that are artificially treated (Huizinga and McLaughlin, 1990), as well as in home water systems There have been around 310 instances documented, with a in elevation case mortality rate of almost 95% (Cervantes-Sandoval et al., 2008, Gautam et al., 2012). In recent years, PAM instances have been recorded more often globally. The rise in occurrence might perhaps be attributed to heightened knowledge of the illness or the advancement of more quick, extremely precise, sensitive, and specific diagnostic procedures, such PCR. Changes in the environment, thermal contamination of water from industry, and the growth of industrialized areas with cooling towers and nuclear power plants may also provide more opportunities for infection. These factors allow for the simultaneous growth of amoeba and their bacterial food source (Marciano-Cabral and Cabral, 2007). This review aimed to focus the role of N. fowleri as a causative agent of meningitis to draw special attention for its analysis and organization.
2.Ecology of Naegleria fowleri
The genus Naegleria is found in water as well as soil all around the world (De Jonckheere, 2012). Additionally, they have been kept far from sewage, aquaria, fresh and warm-water lakes, streams, spas, overheated but non-chlorinated swimming pools, hot-spring hydrotherapy and therapeutic pools, as well as healthy people's throats and nasal cavities (Trabelsi et al., 2012). In addition, this amoeba has been isolated from a variety of species, include fish, amphibian species, and reptiles (Pantchev and Tappe, 2011). 012This microorganism's susceptibility to high concentration is shown by the fact that it has not been found in saltwater. Since the existence of cyanobacteria and eubacteria has been linked to the vertical dispersion of N. fowleri in water, it is plausible that the Naegleria genus's natural purpose is to regulate populations of bacteria. Furthermore, the amounts of manganese and iron in the water column have been linked to the dispersion of Naegleria (Martínez-Castillo et al., 2016). Because it is thermophilic, N. fowleri can withstand temperatures as high as 45C˚.As a result, during the summer, when the outside temperature is expected to be high, these amoebae mostly multiply (Sifuentes et al., 2014).
3.Life Cycle of Naegleria fowleri
Depending on the surroundings, this protozoon goes through three distinct phases in its life cycle (Siddiqui et al., 2016). The flagellate, cyst, and trophozoite stages (cystSt). The trophozoites of ameboids range in size from 10 to 25 mm and reproduce by binary fission. In nutrient-poor aquatic settings or when the media's ionic content shifts, the trophozoites can transition into the flagellate phase. Unfavorable settings, such as high temperatures, low pH environments, or high salt levels, can be home to the cystSt of N. fowleri. (Stahl and Olson, 2021). In its life cycle, N. fowleri goes through three stages: cysts, trophozoites, and flagellated stages. Promitosis is the process by which trophozoites multiply (nuclear membrane stays intact). Fresh water, soil, thermal discharges from power plants, heated swimming pools, hydrotherapy and therapeutic pools, aquariums, and sewage are all known to contain Naegleria fowleri. When trophozoites encounter unfavorable environmental conditions, including a decreased food supply, they can transition into a transient, non-feeding, flagellated stage (10–16 µm in length). When favorable circumstances are restored, they transition back to the trophozoite stage. Cerebrospinal fluid (CSF) and tissue contain Naegleria fowleri trophozoites, with flagellated forms infrequently seen in CSF. Brain tissue doesn't have cysts. The ameba or flagellate will develop a cyst if the environment is not favorable for continuous feeding and growth (such as low temperatures, food scarcity). The cyst form has a spherical diameter ranging from 7 to 15 µm. It features a single nucleus and a smooth, one-layered wall. Because they can withstand harsh environments longer, cysts have a higher chance of surviving until they do (Yoder et al., 2010a) (Figure 1).

Figure 1: Lifespan series of Naegleria fowleri (David and AP, 2006).
4.Pathogenesis
Second only to HIV infection, protozoal infections of the central nervous system (CNS) are important global sources of morbidity and mortality (Mishra et al., 2009). N. fowleri causes infection of the central nervous system by means of amoebae that enter the nasal cavity, pierce the olfactory neuroepithelium, migrate along the olfactory nerves, traverse the cribriform plate, and eventually arrive at the olfactory bulbs (OBs) (Figure. 2 a) (Rojas-Hernández et al., 2004). After the amoebae enter the brain, they can multiply and cause an acute inflammatory response (Figure 2b), which can cause the patient to pass away in about a week. (Cervantes-Sandoval et al., 2008). Over ninety percent of N. fowleri infections are caused by persons splashing, diving, or submerging themselves in warm water bodies, which opens the nasal cavity to the

Figure 2: Diagram illustrating the infection caused by N. fowleri. (a) The preliminary phases of PAM. (1), evade the innate immune system; (2) cause independent-contact cytotoxicity (naegleriapores); (3) adhere to epithelial cells; (4) invade the neuroepithelium; and (5), migrate to OBs. (b) The latter PAM phases. (6) Olfactory phylum contact; (7) amoeba cribriform plate crossing; (8) N. fowleri proliferation and inflammatory response in the OBs; and (9) tissue injury (bleeding, phagocytosis, and protease release) (Martínez-Castillo et al., 2016).
Amoeba's trophozoites (Grace et al., 2015a). While recreational swimming activities are the primary source of infection, religious organizations' ablution procedures and the use of hygiene equipment such as neti pots can also cause the illness (Siddiqui et al., 2016). It has also been proposed that the amoeba can "dry-infect" through dust that contains cysts, which will lead to infection after the amoeba transforms into its trophozoite form. Even while this last process only accounts for around 6.5% of PAM instances, it is quite worrying because there isn't much that can be done to stop dust from entering the lungs (Maciver et al., 2020). The amoeba enters the nasal canal, enters the nasal mucosa, and then travels through the cribriform plate, following the olfactory nerves until it reaches the olfactory bulb. Following its entry into the brain by the olfactory nerve bundles, it grows and finally results in cerebral edema, herniation, and death (Pugh and Levy, 2016). Infections with N. fowleri have been reported in otherwise healthy children and adults after engaging in water sports including swimming, diving, and water skiing. Additionally, it has been hypothesized that when water is driven or splashed into the nasal cavity, it enters the host's body through the nose. In order to reach the olfactory bulbs inside the central nervous system (CNS), infectious agents first adhere to the nasal mucosa and then move down the olfactory nerve and through the cribriform plate, which is more porous in children and young adults (Jarolim et al., 2000). When N. fowleri enters the olfactory bulbs (Figure3), it triggers a powerful immunological response by stimulating neutrophils and macrophages in the innate immune system. Trophozoites are the form in which N. fowleri enters the human body. The trophozoite's feeding cups are structures on its surface that allow the organism to consume human tissue, fungus, and bacteria (Marciano-Cabral and Cabral, 2007). The pathogenicity of N. fowleri is based on the production of cytolytic chemicals, such as acid hydrolases, phospholipases, neuraminidases, and phospholipolytic enzymes that contribute to host cell and nerve damage, in addition to tissue degradation by the feeding cup. Because N. fowleri may live freely in soil, water, or its host, the human central nervous system (CNS), it is an amphizoic amoeba. The pathogenicity of N. fowleri is based on the production of cytolytic chemicals, such as acid hydrolases, phospholipases, neuraminidases, and phospholipolytic enzymes that contribute to host cell and nerve damage, in addition to tissue degradation by the feeding cup (De Jonckheere, 2011). Histology reveals an acute inflammatory response mostly consisting of neutrophils with several trophozoites present and large regions of lytic necrosis. The literature shown that the fibrinopurulent exudate is essentially nonexistent in human and experimental animal models (Guarner et al., 2007). In order to visualize motile N. fowleri, a microscopic analysis of freshly obtained cerebrospinal fluid (CSF) is typically used to provide a quick diagnosis. Giemsa or Wright stains of CSF smears in conjunction with the enflagellation test can be used to identify trophozoites. These two approaches may be sufficient in the beginning as a prompt diagnosis is required to initiate an appropriate course of treatment. The anti-N. fowleri antibody immunofluorescence test (Movahedi et al., 2012).

Figure 3: The olfactory nerve and olfactory bulb are emphasized in the head anatomy. This neural pathway is the main route via which the amoebas enter the brain (Gillen et al., 2019).
5.Primary Amoebic Meningoencephalitis (PAM)
The uncommon but almost usually deadly disease known as primary amoebic meningoencephalitis (PAM) is brought on by an infection with the free-living, thermophilic amoeba Naegleria fowleri, which is prevalent in freshwater habitats (Marciano-Cabral and Cabral, 2007). PAM develops in otherwise healthy people who come into contact with heated, untreated, or inadequately disinfected water. When N. fowleri-containing water enters the nose, it causes infection. The amoebae then migrate through the cribriform plate and go via the olfactory nerve to the brain. There is a range of 2 to 15 days during the incubation period. Similar to those of bacterial or viral meningitis, signs and symptoms of infection might include fever, headache, stiff neck, anorexia, vomiting, altered mental state, seizures, and coma. Usually, death happens three to seven days after symptoms appear. Acute hemorrhagic necrosis of the cerebral cortex and olfactory bulbs is revealed by autopsy results (Yoder et al., 2010b) Despite the fact that Naegleria has over forty species, PAM is only caused by a single of them, N. fowleri. In the hottest periods of the year, when the outside temperature rises, N. fowleri may thrive in natural bodies of water, such as lakes and rivers, and can withstand temperatures as high as 45°C. Normally free-living, N. fowleri feeds on waterborne bacteria; inadvertent entry of the amoeba into the human nostril causes PAM. Water samples from freshwater lakes, ponds, and rivers have shown evidence of N. fowleri. These samples also came from soil, hot springs, warm groundwater, and thermally contaminated water (Maclean et al., 2004). The free-living ameba Naegleria fowleri causes a quickly progressing and frequently deadly illness known as primary amebic meningoencephalitis (PAM). Because of its thermophilic characteristics, N. fowleri is frequently found in freshwater that is warm habitats (Visvesvara et al., 2007a). PAM develops when N. fowleri is inadvertently introduced into the nose. The ameba then enters the central nervous system (CNS) through the olfactory nerves and cribriform plate. The consequences of a CNS invasion include cerebral edema, necrosis, herniation, and, most often, death. By examining the tissue of the brain or cerebrospinal fluid (CSF) under a microscope, it is possible to make an educated guess about the presence of N. fowleri infection (Visvesvara, 2010). PAM a hemorrhagic-necrotizing meningoencephalitis primarily affecting immunocompetent children and young adults, is brought on by N. fowleri. Summertime is the most common time for this illness to arise since people are swimming for fun and the water temperature is adjusted to meet the amoeba's thermal requirements (Bonilla-Lemus et al., 2020).
Seven to ten days after infection, the acute hemorrhagic necrotizing meningoencephalitis that accompanies CNS invasion usually leads in mortality (Martinez and Visvesvara, 1997).
6.Host Immune Responses to N. fowleri Infection
Water serves as a medium via which Naegleria fowleri enters the upper nasal mucosa. After there, it reaches the cribriform plate's sub-olfactory area, which is where the olfactory bulb is situated. As it ascends via this plate's pores and initially comes into contact with the tissues surrounding this particular area and the olfactory epithelium/bulb (Baig and Khan, 2014). The microscopic patterns that appear and the cytokines that are generated in PAM patients provide insight into the host immune response to Naegleria fowleri. The olfactory region's macrophages have a tendency to attract a high influx of neutrophils when infected with Naegleria fowleri. As demonstrated at autopsy, there is significant cerebral edema and neuronal tissue damage due to the acute inflammatory cytokines created by the local and recruited leukocytes, as well as the release of proteases, collagenase, and several other tissue-destructive lysosomal products by the inflammatory white blood cells (Baig, 2015). Leukocytes enter the neural tissue when the blood-brain barrier is disrupted, with neutrophils and macrophages making up the majority of these lesions. In PAM, complement activation, tissue-destructive cytokines, and the proteases generated by the Naegleria trophozoites induce cytotoxicity, resulting in the development of an offibrino-suppurative exudate-based lesion. Hemorrhage resulting from injury to the microvasculature is seen on both microscopic and large slides made from autopsied brains (Cerva, 1989).
7.Clinical and Laboratory Diagnosis
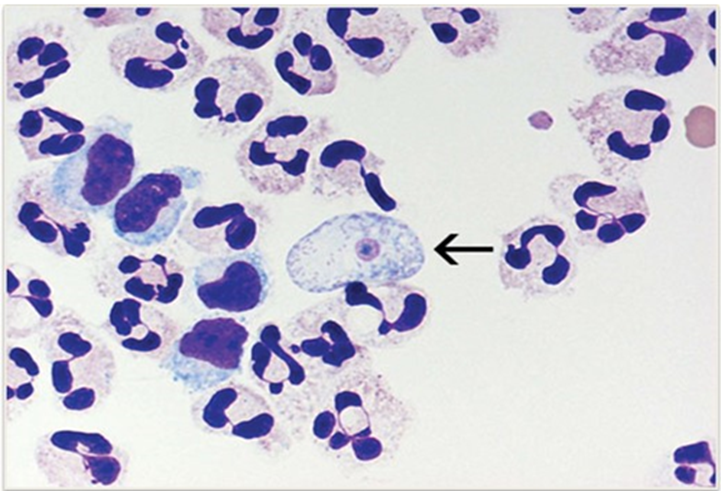
Although some cases have been documented within 24 hours of infection rate, clinical symptoms and indicators of N. fowleri infections often appear 2 to 8 days after infectivity (Visvesvara et al., 2007b). The most typical symptoms of an N. fowleri infection are photophobia, disorientation, seizures, severe headache, fever, chills, positive Brudzinski sign, positive Kernig sign, and maybe even coma. Specific signs and symptoms are not present. Furthermore, in few instances, myocardial necrosis and irregular heart rhythms have been noted (Grace et al., 2015a). The most significant finding is that higher intracranial pressure and cerebral spinal fluid (CSF) pressure have been linked to mortality. Patients infected with N. fowleri have been reported to have CSF pressures as high as 600 mm H2O. When examining a fresh sample of CSF under a microscope, the motile amebae are frequently observed moving quickly. Brain abnormalities are frequently visible on magnetic resonance imaging (MRI), which displays abnormalities in the midbrain and subarachnoid space, among other parts of the brain (Visvesvara et al., 2007b). To recognition, the amebae may be colored as well using a number of staining, including Giemsa-Wright or a modified trichrome stain (Visvesvara, 2010).

Figure 4: An N. fowleri trophozoite (arrow) stained with Giemsa-Wright is shown in a cytospin of fixed CSF surrounded by polymorphonuclear leukocytes and a few lymphocytes. One can observe the nucleus and nucleolus inside the trophozoite (Capewell et al., 2014)
8.Treatments
It is crucial to emphasize that selecting a suitable therapy depends on having a proper diagnosis. Nevertheless, most individuals infected with this bacterium pass away, and PAM is not frequently detected in the early stages of illness. There is an immediate need for additional effective medications due to the high death rate. Research on drug development has advanced since the initial PAM study (Rice et al., 2015). There are currently no clinical trials
evaluating the superiority of one treatment plan over another since N. fowleri infections in humans are uncommon. The majority of data pertaining to the effectiveness of medications is derived from either in vitro research or case reports. A number of case reports and in vitro studies have examined amphotericin B, which is arguably the most often prescribed drug for treating N. fowleri infections. The cornerstone of therapy is thought to be the polyene antifungal amphotericin B. It functions by attaching itself to ergosterol in the cell membrane to create holes that change the permeability of the membrane and cause the cell to die (Grace et al., 2015b).

Figure 5: specimen from a Caucasian 12-year-old girl. Naegleria fowleri on oil-immersed cytospin slides with cerebrospinal fluid (CSF) stained with Wright-Giemsa (original magnification, ×1000). Naegleria organisms are shown with arrows (Dunn et al., 2016)

Figure 6: Phase contrast microscopy image of a wet mount of Naegleria fowleri trophozoites grown from a patient's CSF for primary amebic meningoencephalitis (PAM) (Visvesvara et al., 2007a).
According to the current study, quinazolines by themselves or in combination with silver nanoparticles may be effective treatments for amoebae that feed on the brain(Mungroo et al., 2020).
.Successful therapeutic approaches against PAM
A number of experimental medications have been explored in vitro to successfully kill the protozoan within the host that it infects because of the seriousness and lethal nature of the PAM disease processes. Additionally, the treatment plan for people infected with this bacterium seems to revolve around intensive therapy and early diagnostics. It looks that the most popular medication regimen for PAM patients is a mix of amphotericin B, rifampicin, and antifungal medications. Despite the fact that giving these medications to patients does not guarantee their life, they are nevertheless regarded as the
main therapeutic approach used to treat PAM in a clinical environment (Yadav et al., 2013). Because of this, a number of investigational therapeutic medications have been utilized in addition to the traditional combination medication therapy that PAM patients are receiving. Among the most promising medications is miltefosine (Heggie and Küpper, 2017). Miltefosine has demonstrated effectiveness when combined with other therapeutic medications such amphotericin B, rifampicin, fluconazole, and chlorpromazine, both in vivo mouse models and in vitro investigations, despite the fact that the precise impact of the drug on Naegleria sp. has not been further investigated (Kim et al., 2008). The antirheumatic medication auranofin was tested in a different study using axenic cultures of pathogenic strains of Naegleria fowleri. It was discovered that the drug had an amoebicidal effect on the protozoan, which reduced the number of amoebas in the cultures. This effect was observed even after accounting for auranofin's effects on the integrity of the protozoan membrane and the organism's decreased metabolic activity (Peroutka-Bigus and Bellaire, 2019). When studied with Amphotericin B in vitro and in mouse models, corifungin has also been shown to be more effective than the latter medication. Corifungin primarily causes rupture of the organism's plasma and cytoplasmic membranes, which results in amoeba lysis. Furthermore, the FDA has authorized configurin as an orphan medication for the treatment of PAM (Debnath et al., 2012).
10.Prevention and Control
The World Health Organization (WHO) states that immunization is the greatest and most efficient method of disease prevention. As an alternative, one might employ additional preventative measures to ward off N. fowleri infection. The majority of PAM instances happen when people engage in certain activities in amoeba-infested waterways, such swimming pools or natural bodies of water. Pools and water parks should be chlorinated to avoid PAM since N. fowleri is vulnerable to chlorine and is destroyed at one part per million. To find out if N. fowleri is present in such waters, the South Australian High Commission's ameba-monitoring programme regularly measures total coliform counts and residual chlorine levels. Global implementation of comparable initiatives might stop new cases of N. fowleri infection. Although N. fowleri infection has also been linked to household water sources, medical equipment, and hygiene products, chlorine should also be used to sanitize these items (Visvesvara, 2013). Because Naegleria fowleri is a thermophilic amoeba, it multiplies in water at temperatures higher than thirty degrees Celsius. There are precautions that people who play water sports in warmer areas may take, such as staying out of freshwater bodies like lakes, rivers, and ponds, especially in the summer whenever the water is warmer. Because N. fowleri cannot live in chlorinated or salted water, these conditions greatly reduce the likelihood of N. fowleri infections. In an effort to prevent N. fowleri from getting into the nasal passages, people should refrain from leaping into bodies of water, splashing, and immersing their heads in it, if they cannot avoid watery activities. When engaging in such activities is unavoidable, people should use nose clips to reduce the likelihood that water that is contaminated may get inside their noses (Cogo et al., 2004). Local public health authorities should take N. fowleri amoebae into consideration and publish relevant warnings, especially during the hot summer months. It is advised to warn kids not to submerge their heads in dubious waters (Schuster and Visvesvara, 2004).
Primary meningoencephalitis (PAM) is caused by the opportunistic free-living amoeba Naegleria fowleri. Diffuse hemorrhagic necrotizing meningoencephalitis causes a fast start and fulminant course in the clinical course of a neurological illness caused by Naegleria. Granulomatous amebic encephalitis and PAM are two types of primary amebic meningoencephalitis. N. fowleri is the main cause of PAM in a patient in good condition that has previously had close contact with fresh water, particularly during the summer. The neuroepithelium and olfactory mucosa serve as the entrance points. Patients often pass away within 7 to 10 days after the beginning of symptoms. The incubation period is between 3 and 8 days, with an acute and quickly lethal outcome. While the patient's clinical manifestations and indicators were comparable to those previously documented, hydrocephalus had not been documented earlier. Moreover, this is the first record of PM with hydrocephalus that is communicative. The majority of PAM cases are frequently mislabeled as acute tubercular meningitis or bacterial meningitis. In this instance, the patient was first treated for bacterial meningitis; however, because he did not improve, PAM was discovered at a follow-up assessment (Movahedi et al., 2012). Naegleria is often spread by swimming or diving in contaminated water, but it can also be contracted from other sources, including tap water and the air. In rare instances, cases of the infection have been documented when the victim washed their face or breathed in airborne cysts. Out of the seven pediatric PAM cases, only two patients have previous records of contact (Singh et al., 1998). PAM's first clinical symptoms, which include headache, fever, nausea, and vomiting, followed by altered consciousness and seizures, are quite similar to those of acute bacterial meningitis. This is also one of the causes of the low reported incidence of the condition, as the majority of patients go miss-diagnosed. In addition to having a fever and headache, our patient did not exhibit any focused deficiencies in his nervous system. The trichome or giemsa stain is primarily used to detect the presence of trophozoites in the cerebrospinal fluid (CSF), which is necessary for the diagnosis of Naegleria fowleri. The other CSF analysis results, such as increased opening pressure, are not particularly PAM-specific (Chen et al., 2019).
In conclusion, PAM is an exceedingly rare and deadly infection, but due to improved diagnoses, a rising prevalence is now being documented in developing nations. The deadly parasite Naegleria fowleri is the cause of primary amoebic meningoencephalitis in humans, with a fatality rate of about 95%. It is widely distributed in nations with extremely hot summers. When a human comes into touch with contaminated water, the parasite causes the illness. The infection starts when the infectious stage "Trophozoites" enters the nasal tube, travels to the brain, infects the central nervous system, and ultimately results in death within three to seven days. Amphotericin B is one drug that can treat this deadly illness, but it still kills people. Ultimately, it is imperative to conduct further research on this parasite and explore strategies for managing it to safeguard the immune system. PAM should be taken into consideration for any patient with pyogenic meningitis who does not exhibit any bacteria by staining, antigen detection, or culture, despite its rarity and dismal prognosis. In these situations, CSF cytology of wet mount becomes required since early amphotericin therapy may increase survival. Since early treatment can significantly improve the prognosis of the condition, diagnostic staff members should be more aware of the need of carefully examining CSF wet preparation in order to diagnose Naegleria infections quickly.
Clearly Auctoresonline and particularly Psychology and Mental Health Care Journal is dedicated to improving health care services for individuals and populations. The editorial boards' ability to efficiently recognize and share the global importance of health literacy with a variety of stakeholders. Auctoresonline publishing platform can be used to facilitate of optimal client-based services and should be added to health care professionals' repertoire of evidence-based health care resources.
Journal of Clinical Cardiology and Cardiovascular Intervention The submission and review process was adequate. However I think that the publication total value should have been enlightened in early fases. Thank you for all.
Journal of Women Health Care and Issues By the present mail, I want to say thank to you and tour colleagues for facilitating my published article. Specially thank you for the peer review process, support from the editorial office. I appreciate positively the quality of your journal.
Journal of Clinical Research and Reports I would be very delighted to submit my testimonial regarding the reviewer board and the editorial office. The reviewer board were accurate and helpful regarding any modifications for my manuscript. And the editorial office were very helpful and supportive in contacting and monitoring with any update and offering help. It was my pleasure to contribute with your promising Journal and I am looking forward for more collaboration.
We would like to thank the Journal of Thoracic Disease and Cardiothoracic Surgery because of the services they provided us for our articles. The peer-review process was done in a very excellent time manner, and the opinions of the reviewers helped us to improve our manuscript further. The editorial office had an outstanding correspondence with us and guided us in many ways. During a hard time of the pandemic that is affecting every one of us tremendously, the editorial office helped us make everything easier for publishing scientific work. Hope for a more scientific relationship with your Journal.
The peer-review process which consisted high quality queries on the paper. I did answer six reviewers’ questions and comments before the paper was accepted. The support from the editorial office is excellent.
Journal of Neuroscience and Neurological Surgery. I had the experience of publishing a research article recently. The whole process was simple from submission to publication. The reviewers made specific and valuable recommendations and corrections that improved the quality of my publication. I strongly recommend this Journal.
Dr. Katarzyna Byczkowska My testimonial covering: "The peer review process is quick and effective. The support from the editorial office is very professional and friendly. Quality of the Clinical Cardiology and Cardiovascular Interventions is scientific and publishes ground-breaking research on cardiology that is useful for other professionals in the field.
Thank you most sincerely, with regard to the support you have given in relation to the reviewing process and the processing of my article entitled "Large Cell Neuroendocrine Carcinoma of The Prostate Gland: A Review and Update" for publication in your esteemed Journal, Journal of Cancer Research and Cellular Therapeutics". The editorial team has been very supportive.
Testimony of Journal of Clinical Otorhinolaryngology: work with your Reviews has been a educational and constructive experience. The editorial office were very helpful and supportive. It was a pleasure to contribute to your Journal.
Dr. Bernard Terkimbi Utoo, I am happy to publish my scientific work in Journal of Women Health Care and Issues (JWHCI). The manuscript submission was seamless and peer review process was top notch. I was amazed that 4 reviewers worked on the manuscript which made it a highly technical, standard and excellent quality paper. I appreciate the format and consideration for the APC as well as the speed of publication. It is my pleasure to continue with this scientific relationship with the esteem JWHCI.
This is an acknowledgment for peer reviewers, editorial board of Journal of Clinical Research and Reports. They show a lot of consideration for us as publishers for our research article “Evaluation of the different factors associated with side effects of COVID-19 vaccination on medical students, Mutah university, Al-Karak, Jordan”, in a very professional and easy way. This journal is one of outstanding medical journal.
Dear Hao Jiang, to Journal of Nutrition and Food Processing We greatly appreciate the efficient, professional and rapid processing of our paper by your team. If there is anything else we should do, please do not hesitate to let us know. On behalf of my co-authors, we would like to express our great appreciation to editor and reviewers.
As an author who has recently published in the journal "Brain and Neurological Disorders". I am delighted to provide a testimonial on the peer review process, editorial office support, and the overall quality of the journal. The peer review process at Brain and Neurological Disorders is rigorous and meticulous, ensuring that only high-quality, evidence-based research is published. The reviewers are experts in their fields, and their comments and suggestions were constructive and helped improve the quality of my manuscript. The review process was timely and efficient, with clear communication from the editorial office at each stage. The support from the editorial office was exceptional throughout the entire process. The editorial staff was responsive, professional, and always willing to help. They provided valuable guidance on formatting, structure, and ethical considerations, making the submission process seamless. Moreover, they kept me informed about the status of my manuscript and provided timely updates, which made the process less stressful. The journal Brain and Neurological Disorders is of the highest quality, with a strong focus on publishing cutting-edge research in the field of neurology. The articles published in this journal are well-researched, rigorously peer-reviewed, and written by experts in the field. The journal maintains high standards, ensuring that readers are provided with the most up-to-date and reliable information on brain and neurological disorders. In conclusion, I had a wonderful experience publishing in Brain and Neurological Disorders. The peer review process was thorough, the editorial office provided exceptional support, and the journal's quality is second to none. I would highly recommend this journal to any researcher working in the field of neurology and brain disorders.
Dear Agrippa Hilda, Journal of Neuroscience and Neurological Surgery, Editorial Coordinator, I trust this message finds you well. I want to extend my appreciation for considering my article for publication in your esteemed journal. I am pleased to provide a testimonial regarding the peer review process and the support received from your editorial office. The peer review process for my paper was carried out in a highly professional and thorough manner. The feedback and comments provided by the authors were constructive and very useful in improving the quality of the manuscript. This rigorous assessment process undoubtedly contributes to the high standards maintained by your journal.
International Journal of Clinical Case Reports and Reviews. I strongly recommend to consider submitting your work to this high-quality journal. The support and availability of the Editorial staff is outstanding and the review process was both efficient and rigorous.
Thank you very much for publishing my Research Article titled “Comparing Treatment Outcome Of Allergic Rhinitis Patients After Using Fluticasone Nasal Spray And Nasal Douching" in the Journal of Clinical Otorhinolaryngology. As Medical Professionals we are immensely benefited from study of various informative Articles and Papers published in this high quality Journal. I look forward to enriching my knowledge by regular study of the Journal and contribute my future work in the field of ENT through the Journal for use by the medical fraternity. The support from the Editorial office was excellent and very prompt. I also welcome the comments received from the readers of my Research Article.
Dear Erica Kelsey, Editorial Coordinator of Cancer Research and Cellular Therapeutics Our team is very satisfied with the processing of our paper by your journal. That was fast, efficient, rigorous, but without unnecessary complications. We appreciated the very short time between the submission of the paper and its publication on line on your site.
I am very glad to say that the peer review process is very successful and fast and support from the Editorial Office. Therefore, I would like to continue our scientific relationship for a long time. And I especially thank you for your kindly attention towards my article. Have a good day!
"We recently published an article entitled “Influence of beta-Cyclodextrins upon the Degradation of Carbofuran Derivatives under Alkaline Conditions" in the Journal of “Pesticides and Biofertilizers” to show that the cyclodextrins protect the carbamates increasing their half-life time in the presence of basic conditions This will be very helpful to understand carbofuran behaviour in the analytical, agro-environmental and food areas. We greatly appreciated the interaction with the editor and the editorial team; we were particularly well accompanied during the course of the revision process, since all various steps towards publication were short and without delay".
I would like to express my gratitude towards you process of article review and submission. I found this to be very fair and expedient. Your follow up has been excellent. I have many publications in national and international journal and your process has been one of the best so far. Keep up the great work.
We are grateful for this opportunity to provide a glowing recommendation to the Journal of Psychiatry and Psychotherapy. We found that the editorial team were very supportive, helpful, kept us abreast of timelines and over all very professional in nature. The peer review process was rigorous, efficient and constructive that really enhanced our article submission. The experience with this journal remains one of our best ever and we look forward to providing future submissions in the near future.
I am very pleased to serve as EBM of the journal, I hope many years of my experience in stem cells can help the journal from one way or another. As we know, stem cells hold great potential for regenerative medicine, which are mostly used to promote the repair response of diseased, dysfunctional or injured tissue using stem cells or their derivatives. I think Stem Cell Research and Therapeutics International is a great platform to publish and share the understanding towards the biology and translational or clinical application of stem cells.
I would like to give my testimony in the support I have got by the peer review process and to support the editorial office where they were of asset to support young author like me to be encouraged to publish their work in your respected journal and globalize and share knowledge across the globe. I really give my great gratitude to your journal and the peer review including the editorial office.
I am delighted to publish our manuscript entitled "A Perspective on Cocaine Induced Stroke - Its Mechanisms and Management" in the Journal of Neuroscience and Neurological Surgery. The peer review process, support from the editorial office, and quality of the journal are excellent. The manuscripts published are of high quality and of excellent scientific value. I recommend this journal very much to colleagues.
Dr.Tania Muñoz, My experience as researcher and author of a review article in The Journal Clinical Cardiology and Interventions has been very enriching and stimulating. The editorial team is excellent, performs its work with absolute responsibility and delivery. They are proactive, dynamic and receptive to all proposals. Supporting at all times the vast universe of authors who choose them as an option for publication. The team of review specialists, members of the editorial board, are brilliant professionals, with remarkable performance in medical research and scientific methodology. Together they form a frontline team that consolidates the JCCI as a magnificent option for the publication and review of high-level medical articles and broad collective interest. I am honored to be able to share my review article and open to receive all your comments.
“The peer review process of JPMHC is quick and effective. Authors are benefited by good and professional reviewers with huge experience in the field of psychology and mental health. The support from the editorial office is very professional. People to contact to are friendly and happy to help and assist any query authors might have. Quality of the Journal is scientific and publishes ground-breaking research on mental health that is useful for other professionals in the field”.
Dear editorial department: On behalf of our team, I hereby certify the reliability and superiority of the International Journal of Clinical Case Reports and Reviews in the peer review process, editorial support, and journal quality. Firstly, the peer review process of the International Journal of Clinical Case Reports and Reviews is rigorous, fair, transparent, fast, and of high quality. The editorial department invites experts from relevant fields as anonymous reviewers to review all submitted manuscripts. These experts have rich academic backgrounds and experience, and can accurately evaluate the academic quality, originality, and suitability of manuscripts. The editorial department is committed to ensuring the rigor of the peer review process, while also making every effort to ensure a fast review cycle to meet the needs of authors and the academic community. Secondly, the editorial team of the International Journal of Clinical Case Reports and Reviews is composed of a group of senior scholars and professionals with rich experience and professional knowledge in related fields. The editorial department is committed to assisting authors in improving their manuscripts, ensuring their academic accuracy, clarity, and completeness. Editors actively collaborate with authors, providing useful suggestions and feedback to promote the improvement and development of the manuscript. We believe that the support of the editorial department is one of the key factors in ensuring the quality of the journal. Finally, the International Journal of Clinical Case Reports and Reviews is renowned for its high- quality articles and strict academic standards. The editorial department is committed to publishing innovative and academically valuable research results to promote the development and progress of related fields. The International Journal of Clinical Case Reports and Reviews is reasonably priced and ensures excellent service and quality ratio, allowing authors to obtain high-level academic publishing opportunities in an affordable manner. I hereby solemnly declare that the International Journal of Clinical Case Reports and Reviews has a high level of credibility and superiority in terms of peer review process, editorial support, reasonable fees, and journal quality. Sincerely, Rui Tao.
Clinical Cardiology and Cardiovascular Interventions I testity the covering of the peer review process, support from the editorial office, and quality of the journal.
Clinical Cardiology and Cardiovascular Interventions, we deeply appreciate the interest shown in our work and its publication. It has been a true pleasure to collaborate with you. The peer review process, as well as the support provided by the editorial office, have been exceptional, and the quality of the journal is very high, which was a determining factor in our decision to publish with you.
The peer reviewers process is quick and effective, the supports from editorial office is excellent, the quality of journal is high. I would like to collabroate with Internatioanl journal of Clinical Case Reports and Reviews journal clinically in the future time.
Clinical Cardiology and Cardiovascular Interventions, I would like to express my sincerest gratitude for the trust placed in our team for the publication in your journal. It has been a true pleasure to collaborate with you on this project. I am pleased to inform you that both the peer review process and the attention from the editorial coordination have been excellent. Your team has worked with dedication and professionalism to ensure that your publication meets the highest standards of quality. We are confident that this collaboration will result in mutual success, and we are eager to see the fruits of this shared effort.
Dear Dr. Jessica Magne, Editorial Coordinator 0f Clinical Cardiology and Cardiovascular Interventions, I hope this message finds you well. I want to express my utmost gratitude for your excellent work and for the dedication and speed in the publication process of my article titled "Navigating Innovation: Qualitative Insights on Using Technology for Health Education in Acute Coronary Syndrome Patients." I am very satisfied with the peer review process, the support from the editorial office, and the quality of the journal. I hope we can maintain our scientific relationship in the long term.
Dear Monica Gissare, - Editorial Coordinator of Nutrition and Food Processing. ¨My testimony with you is truly professional, with a positive response regarding the follow-up of the article and its review, you took into account my qualities and the importance of the topic¨.
Dear Editorial Coordinator of the Journal of Nutrition and Food Processing! "I would like to thank the Journal of Nutrition and Food Processing for including and publishing my article. The peer review process was very quick, movement and precise. The Editorial Board has done an extremely conscientious job with much help, valuable comments and advices. I find the journal very valuable from a professional point of view, thank you very much for allowing me to be part of it and I would like to participate in the future!”
Dealing with The Journal of Neurology and Neurological Surgery was very smooth and comprehensive. The office staff took time to address my needs and the response from editors and the office was prompt and fair. I certainly hope to publish with this journal again.Their professionalism is apparent and more than satisfactory. Susan Weiner
My Testimonial Covering as fellowing: Lin-Show Chin. The peer reviewers process is quick and effective, the supports from editorial office is excellent, the quality of journal is high. I would like to collabroate with Internatioanl journal of Clinical Case Reports and Reviews.
My experience publishing in Psychology and Mental Health Care was exceptional. The peer review process was rigorous and constructive, with reviewers providing valuable insights that helped enhance the quality of our work. The editorial team was highly supportive and responsive, making the submission process smooth and efficient. The journal's commitment to high standards and academic rigor makes it a respected platform for quality research. I am grateful for the opportunity to publish in such a reputable journal.
My experience publishing in International Journal of Clinical Case Reports and Reviews was exceptional. I Come forth to Provide a Testimonial Covering the Peer Review Process and the editorial office for the Professional and Impartial Evaluation of the Manuscript.
I would like to offer my testimony in the support. I have received through the peer review process and support the editorial office where they are to support young authors like me, encourage them to publish their work in your esteemed journals, and globalize and share knowledge globally. I really appreciate your journal, peer review, and editorial office.
Dear Agrippa Hilda- Editorial Coordinator of Journal of Neuroscience and Neurological Surgery, "The peer review process was very quick and of high quality, which can also be seen in the articles in the journal. The collaboration with the editorial office was very good."
I would like to express my sincere gratitude for the support and efficiency provided by the editorial office throughout the publication process of my article, “Delayed Vulvar Metastases from Rectal Carcinoma: A Case Report.” I greatly appreciate the assistance and guidance I received from your team, which made the entire process smooth and efficient. The peer review process was thorough and constructive, contributing to the overall quality of the final article. I am very grateful for the high level of professionalism and commitment shown by the editorial staff, and I look forward to maintaining a long-term collaboration with the International Journal of Clinical Case Reports and Reviews.
To Dear Erin Aust, I would like to express my heartfelt appreciation for the opportunity to have my work published in this esteemed journal. The entire publication process was smooth and well-organized, and I am extremely satisfied with the final result. The Editorial Team demonstrated the utmost professionalism, providing prompt and insightful feedback throughout the review process. Their clear communication and constructive suggestions were invaluable in enhancing my manuscript, and their meticulous attention to detail and dedication to quality are truly commendable. Additionally, the support from the Editorial Office was exceptional. From the initial submission to the final publication, I was guided through every step of the process with great care and professionalism. The team's responsiveness and assistance made the entire experience both easy and stress-free. I am also deeply impressed by the quality and reputation of the journal. It is an honor to have my research featured in such a respected publication, and I am confident that it will make a meaningful contribution to the field.
"I am grateful for the opportunity of contributing to [International Journal of Clinical Case Reports and Reviews] and for the rigorous review process that enhances the quality of research published in your esteemed journal. I sincerely appreciate the time and effort of your team who have dedicatedly helped me in improvising changes and modifying my manuscript. The insightful comments and constructive feedback provided have been invaluable in refining and strengthening my work".
I thank the ‘Journal of Clinical Research and Reports’ for accepting this article for publication. This is a rigorously peer reviewed journal which is on all major global scientific data bases. I note the review process was prompt, thorough and professionally critical. It gave us an insight into a number of important scientific/statistical issues. The review prompted us to review the relevant literature again and look at the limitations of the study. The peer reviewers were open, clear in the instructions and the editorial team was very prompt in their communication. This journal certainly publishes quality research articles. I would recommend the journal for any future publications.
Dear Jessica Magne, with gratitude for the joint work. Fast process of receiving and processing the submitted scientific materials in “Clinical Cardiology and Cardiovascular Interventions”. High level of competence of the editors with clear and correct recommendations and ideas for enriching the article.
We found the peer review process quick and positive in its input. The support from the editorial officer has been very agile, always with the intention of improving the article and taking into account our subsequent corrections.
My article, titled 'No Way Out of the Smartphone Epidemic Without Considering the Insights of Brain Research,' has been republished in the International Journal of Clinical Case Reports and Reviews. The review process was seamless and professional, with the editors being both friendly and supportive. I am deeply grateful for their efforts.
To Dear Erin Aust – Editorial Coordinator of Journal of General Medicine and Clinical Practice! I declare that I am absolutely satisfied with your work carried out with great competence in following the manuscript during the various stages from its receipt, during the revision process to the final acceptance for publication. Thank Prof. Elvira Farina
Dear Jessica, and the super professional team of the ‘Clinical Cardiology and Cardiovascular Interventions’ I am sincerely grateful to the coordinated work of the journal team for the no problem with the submission of my manuscript: “Cardiometabolic Disorders in A Pregnant Woman with Severe Preeclampsia on the Background of Morbid Obesity (Case Report).” The review process by 5 experts was fast, and the comments were professional, which made it more specific and academic, and the process of publication and presentation of the article was excellent. I recommend that my colleagues publish articles in this journal, and I am interested in further scientific cooperation. Sincerely and best wishes, Dr. Oleg Golyanovskiy.
Dear Ashley Rosa, Editorial Coordinator of the journal - Psychology and Mental Health Care. " The process of obtaining publication of my article in the Psychology and Mental Health Journal was positive in all areas. The peer review process resulted in a number of valuable comments, the editorial process was collaborative and timely, and the quality of this journal has been quickly noticed, resulting in alternative journals contacting me to publish with them." Warm regards, Susan Anne Smith, PhD. Australian Breastfeeding Association.
Dear Jessica Magne, Editorial Coordinator, Clinical Cardiology and Cardiovascular Interventions, Auctores Publishing LLC. I appreciate the journal (JCCI) editorial office support, the entire team leads were always ready to help, not only on technical front but also on thorough process. Also, I should thank dear reviewers’ attention to detail and creative approach to teach me and bring new insights by their comments. Surely, more discussions and introduction of other hemodynamic devices would provide better prevention and management of shock states. Your efforts and dedication in presenting educational materials in this journal are commendable. Best wishes from, Farahnaz Fallahian.
Dear Maria Emerson, Editorial Coordinator, International Journal of Clinical Case Reports and Reviews, Auctores Publishing LLC. I am delighted to have published our manuscript, "Acute Colonic Pseudo-Obstruction (ACPO): A rare but serious complication following caesarean section." I want to thank the editorial team, especially Maria Emerson, for their prompt review of the manuscript, quick responses to queries, and overall support. Yours sincerely Dr. Victor Olagundoye.
Dear Ashley Rosa, Editorial Coordinator, International Journal of Clinical Case Reports and Reviews. Many thanks for publishing this manuscript after I lost confidence the editors were most helpful, more than other journals Best wishes from, Susan Anne Smith, PhD. Australian Breastfeeding Association.
Dear Agrippa Hilda, Editorial Coordinator, Journal of Neuroscience and Neurological Surgery. The entire process including article submission, review, revision, and publication was extremely easy. The journal editor was prompt and helpful, and the reviewers contributed to the quality of the paper. Thank you so much! Eric Nussbaum, MD
Dr Hala Al Shaikh This is to acknowledge that the peer review process for the article ’ A Novel Gnrh1 Gene Mutation in Four Omani Male Siblings, Presentation and Management ’ sent to the International Journal of Clinical Case Reports and Reviews was quick and smooth. The editorial office was prompt with easy communication.
Dear Erin Aust, Editorial Coordinator, Journal of General Medicine and Clinical Practice. We are pleased to share our experience with the “Journal of General Medicine and Clinical Practice”, following the successful publication of our article. The peer review process was thorough and constructive, helping to improve the clarity and quality of the manuscript. We are especially thankful to Ms. Erin Aust, the Editorial Coordinator, for her prompt communication and continuous support throughout the process. Her professionalism ensured a smooth and efficient publication experience. The journal upholds high editorial standards, and we highly recommend it to fellow researchers seeking a credible platform for their work. Best wishes By, Dr. Rakhi Mishra.
Dear Jessica Magne, Editorial Coordinator, Clinical Cardiology and Cardiovascular Interventions, Auctores Publishing LLC. The peer review process of the journal of Clinical Cardiology and Cardiovascular Interventions was excellent and fast, as was the support of the editorial office and the quality of the journal. Kind regards Walter F. Riesen Prof. Dr. Dr. h.c. Walter F. Riesen.
Dear Ashley Rosa, Editorial Coordinator, International Journal of Clinical Case Reports and Reviews, Auctores Publishing LLC. Thank you for publishing our article, Exploring Clozapine's Efficacy in Managing Aggression: A Multiple Single-Case Study in Forensic Psychiatry in the international journal of clinical case reports and reviews. We found the peer review process very professional and efficient. The comments were constructive, and the whole process was efficient. On behalf of the co-authors, I would like to thank you for publishing this article. With regards, Dr. Jelle R. Lettinga.
Dear Clarissa Eric, Editorial Coordinator, Journal of Clinical Case Reports and Studies, I would like to express my deep admiration for the exceptional professionalism demonstrated by your journal. I am thoroughly impressed by the speed of the editorial process, the substantive and insightful reviews, and the meticulous preparation of the manuscript for publication. Additionally, I greatly appreciate the courteous and immediate responses from your editorial office to all my inquiries. Best Regards, Dariusz Ziora
Dear Chrystine Mejia, Editorial Coordinator, Journal of Neurodegeneration and Neurorehabilitation, Auctores Publishing LLC, We would like to thank the editorial team for the smooth and high-quality communication leading up to the publication of our article in the Journal of Neurodegeneration and Neurorehabilitation. The reviewers have extensive knowledge in the field, and their relevant questions helped to add value to our publication. Kind regards, Dr. Ravi Shrivastava.
Dear Clarissa Eric, Editorial Coordinator, Journal of Clinical Case Reports and Studies, Auctores Publishing LLC, USA Office: +1-(302)-520-2644. I would like to express my sincere appreciation for the efficient and professional handling of my case report by the ‘Journal of Clinical Case Reports and Studies’. The peer review process was not only fast but also highly constructive—the reviewers’ comments were clear, relevant, and greatly helped me improve the quality and clarity of my manuscript. I also received excellent support from the editorial office throughout the process. Communication was smooth and timely, and I felt well guided at every stage, from submission to publication. The overall quality and rigor of the journal are truly commendable. I am pleased to have published my work with Journal of Clinical Case Reports and Studies, and I look forward to future opportunities for collaboration. Sincerely, Aline Tollet, UCLouvain.
Dear Ms. Mayra Duenas, Editorial Coordinator, International Journal of Clinical Case Reports and Reviews. “The International Journal of Clinical Case Reports and Reviews represented the “ideal house” to share with the research community a first experience with the use of the Simeox device for speech rehabilitation. High scientific reputation and attractive website communication were first determinants for the selection of this Journal, and the following submission process exceeded expectations: fast but highly professional peer review, great support by the editorial office, elegant graphic layout. Exactly what a dynamic research team - also composed by allied professionals - needs!" From, Chiara Beccaluva, PT - Italy.
Dear Maria Emerson, Editorial Coordinator, we have deeply appreciated the professionalism demonstrated by the International Journal of Clinical Case Reports and Reviews. The reviewers have extensive knowledge of our field and have been very efficient and fast in supporting the process. I am really looking forward to further collaboration. Thanks. Best regards, Dr. Claudio Ligresti
Dear Chrystine Mejia, Editorial Coordinator, Journal of Neurodegeneration and Neurorehabilitation. “The peer review process was efficient and constructive, and the editorial office provided excellent communication and support throughout. The journal ensures scientific rigor and high editorial standards, while also offering a smooth and timely publication process. We sincerely appreciate the work of the editorial team in facilitating the dissemination of innovative approaches such as the Bonori Method.” Best regards, Dr. Matteo Bonori.
I recommend without hesitation submitting relevant papers on medical decision making to the International Journal of Clinical Case Reports and Reviews. I am very grateful to the editorial staff. Maria Emerson was a pleasure to communicate with. The time from submission to publication was an extremely short 3 weeks. The editorial staff submitted the paper to three reviewers. Two of the reviewers commented positively on the value of publishing the paper. The editorial staff quickly recognized the third reviewer’s comments as an unjust attempt to reject the paper. I revised the paper as recommended by the first two reviewers.
Dear Maria Emerson, Editorial Coordinator, Journal of Clinical Research and Reports. Thank you for publishing our case report: "Clinical Case of Effective Fetal Stem Cells Treatment in a Patient with Autism Spectrum Disorder" within the "Journal of Clinical Research and Reports" being submitted by the team of EmCell doctors from Kyiv, Ukraine. We much appreciate a professional and transparent peer-review process from Auctores. All research Doctors are so grateful to your Editorial Office and Auctores Publishing support! I amiably wish our article publication maintained a top quality of your International Scientific Journal. My best wishes for a prosperity of the Journal of Clinical Research and Reports. Hope our scientific relationship and cooperation will remain long lasting. Thank you very much indeed. Kind regards, Dr. Andriy Sinelnyk Cell Therapy Center EmCell
Dear Editorial Team, Clinical Cardiology and Cardiovascular Interventions. It was truly a rewarding experience to work with the journal “Clinical Cardiology and Cardiovascular Interventions”. The peer review process was insightful and encouraging, helping us refine our work to a higher standard. The editorial office offered exceptional support with prompt and thoughtful communication. I highly value the journal’s role in promoting scientific advancement and am honored to be part of it. Best regards, Meng-Jou Lee, MD, Department of Anesthesiology, National Taiwan University Hospital.
Dear Editorial Team, Journal-Clinical Cardiology and Cardiovascular Interventions, “Publishing my article with Clinical Cardiology and Cardiovascular Interventions has been a highly positive experience. The peer-review process was rigorous yet supportive, offering valuable feedback that strengthened my work. The editorial team demonstrated exceptional professionalism, prompt communication, and a genuine commitment to maintaining the highest scientific standards. I am very pleased with the publication quality and proud to be associated with such a reputable journal.” Warm regards, Dr. Mahmoud Kamal Moustafa Ahmed
Dear Maria Emerson, Editorial Coordinator of ‘International Journal of Clinical Case Reports and Reviews’, I appreciate the opportunity to publish my article with your journal. The editorial office provided clear communication during the submission and review process, and I found the overall experience professional and constructive. Best regards, Elena Salvatore.
Dear Mayra Duenas, Editorial Coordinator of ‘International Journal of Clinical Case Reports and Reviews Herewith I confirm an optimal peer review process and a great support of the editorial office of the present journal
Dear Editorial Team, Clinical Cardiology and Cardiovascular Interventions. I am really grateful for the peers review; their feedback gave me the opportunity to reflect on the message and impact of my work and to ameliorate the article. The editors did a great job in addition by encouraging me to continue with the process of publishing.
Dear Cecilia Lilly, Editorial Coordinator, Endocrinology and Disorders, Thank you so much for your quick response regarding reviewing and all process till publishing our manuscript entitled: Prevalence of Pre-Diabetes and its Associated Risk Factors Among Nile College Students, Sudan. Best regards, Dr Mamoun Magzoub.
International Journal of Clinical Case Reports and Reviews is a high quality journal that has a clear and concise submission process. The peer review process was comprehensive and constructive. Support from the editorial office was excellent, since the administrative staff were responsive. The journal provides a fast and timely publication timeline.
Dear Mayra Duenas, Editorial Coordinator of the journal IJCCR, I write here a little on my experience as an author submitting to the International Journal of Clinical Case Reports and Reviews (IJCCR). This was my first submission to IJCCR and my manuscript was inherently an outsider’s effort. It attempted to broadly identify and then make some sense of life’s under-appreciated mysteries. I initially had responded to a request for possible submissions. I then contacted IJCCR with a tentative topic for a manuscript. They quickly got back with an approval for the submission, but with a particular requirement that it be medically relevant. I then put together a manuscript and submitted it. After the usual back-and-forth over forms and formality, the manuscript was sent off for reviews. Within 2 weeks I got back 4 reviews which were both helpful and also surprising. Surprising in that the topic was somewhat foreign to medical literature. My subsequent updates in response to the reviewer comments went smoothly and in short order I had a series of proofs to evaluate. All in all, the whole publication process seemed outstanding. It was both helpful in terms of the paper’s content and also in terms of its efficient and friendly communications. Thank you all very much. Sincerely, Ted Christopher, Rochester, NY.
Dear Grace Pierce, Editorial Coordinator of the journal IJCCR, I had a very positive experience with Auctores - Journal throughout the publication process. The Editorial Team was highly responsive, professional, and supportive at every stage. I would like to extend my sincere thanks to the Editor: Grace Pierce, for her guidance and assistance. The peer-review process was smooth and constructive, helping improve the quality of my work. I would gladly recommend Auctores Journal to fellow researchers and authors. Dr. SABITA SINHA, Medical Oncologist, MD (Electro Homeopathy).
Dear Maria Emerson, Editorial Coordinator of - Journal of Clinical Research and Reports. ''I am pleased to provide this testimonial following the publication of our recent case report in this journal. The peer review process was rigorous, constructive, thorough, and conducted in a timely manner. The reviewers’ comments were thoughtful, detailed, and highly constructive, contributing substantially to the refinement, clarity, and scientific robustness of our manuscript. The process was conducted with professionalism and academic integrity throughout. The support provided by the editorial office was exemplary. Communication was consistently prompt, clear, and courteous at all stages of the submission and publication process. The editorial team demonstrated a high level of organization and responsiveness, ensuring that all queries were addressed efficiently and that the process remained transparent and well-coordinated. The overall quality of the journal is reflected in its strong editorial standards, commitment to scientific excellence, and dedication to publishing clinically meaningful research. It has been a privilege to publish our work in this journal, and we would welcome the opportunity to contribute further in the future.'' Best wishes from, Dr. Efstratios Trogkanis, Cardiologist.
Dear Reader: We have published several articles in the Auctores Publishing, LLC, journal, Clinical Medical Reviews and Reports in recent years (CMRR). This is an ‘open access’ journal and the following are our observations. From the initial invitation to submit an article, to the final edits of galley proofs, we have found CMRR personnel to be professional, responsive, rapid and thorough. This entire process begins with Catherine Mitchell, Editorial Coordinator. She is simply outstanding, and, I believe, unparalleled in her capacity. I cannot imagine a more responsive and dedicated Editorial Coordinator. As I read the dates and timing of her correspondence with us, it seems that she never sleeps. I hope Auctores Publishing, LLC, appreciates her efforts as much as these authors do. Thank you to Auctores Publishing, LLC, to the Editorial Staff/Board, and to Catherine Mitchell from a grateful author(s).
Dear Maria Emerson, Editorial Coordinator of International Journal of Clinical Case Reports and Reviews, What distinguishes International Journal of Clinical Case Report and Review is not only the scientific rigor of its publications, but the intellectual climate in which research is evaluated. The submission process is refreshingly free of unnecessary formal barriers and bureaucratic rituals that often complicate academic publishing without adding real value. The peer-review system is demanding yet constructive, guided by genuine scientific dialogue rather than hierarchical or authoritarian attitudes. Reviewers act as collaborators in improving the manuscript, not as gatekeepers imposing arbitrary standards. This journal offers a rare balance: high methodological standards combined with a respectful, transparent, and supportive editorial approach. In an era where publishing can feel more burdensome than research itself, this platform restores the original purpose of peer review — to refine ideas, not to obstruct them Prof. Perlat Kapisyzi, FCCP PULMONOLOGIST AND THORACIC IMAGING.
Dear Mercy Grace, Editorial Coordinator of Obstetrics Gynecology and Reproductive Sciences, We would like to express our gratitude for your help at all stages of publishing and editing the article. The editors of the magazine answer all the necessary questions and help at every stage. We will definitely continue to cooperate and publish other works in the Obstetrics Gynecology and Reproductive Sciences! Best wishes from, Alla Konstantinovna Politova,