AUCTORES
Globalize your Research
Research | DOI: https://doi.org/10.31579/2690-4861/795
National Institute of Genetic Engineering and Biotechnology, Tehran, Iran.
*Corresponding Author: Elham Bahrami Salehloo. National Institute of Genetic Engineering and Biotechnology, Tehran, Iran.
Citation: Forouzandeh G., Sabouni F, Dizaji A., Elham B. Salehloo, (2025), Anti-Inflammatory Effect of Artemia Protein Extract on The Lps-Induced Primary Rat Astrocyte Cells as A Model of Alzheimer's Disease, International Journal of Clinical Case Reports and Reviews, 27(4); DOI:10.31579/2690-4861/793
Copyright: © 2025, Elham Bahrami Salehloo. This is an open-access article distributed under the terms of the Creative Commons Attribution License, which permits unrestricted use, distribution, and reproduction in any medium, provided the original author and source are credited.
Received: 26 May 2025 | Accepted: 09 June 2025 | Published: 07 July 2025
Keywords: artemia proteins; anti-inflammation; no; astrocytes; alzheimer's disease
Background: Artemia is a crustacean brine shrimp typically in inland saltwater lakes. Artemia can tolerate extremely high temperatures or low-oxygen waters. So, the function of some proteins of this organism had shown new functions been investigated, most notably Artemin and P26.
Objectives: In this study, the effect of Artemia Extracted Proteins was evaluated on the Function of the cellular Alzheimer's disease model using LPS-induced inflammation Astrocyte cells.
Materials and Methods: Artemia cysts were hatched and the protein content was extracted. Semi-purification of the protein content was performed using Ion exchange chromatography. On the other hand, astrocyte cells were isolated from Infant rats’ brains according to protocols. The Alzheimer disease protective effect of isolated protein portion was evaluated in, 1, 2.5, 5, 7.5, 10 µg/ml concentrations on LPS-induced inflammation astrocytes using cell cytotoxicity and NO generation assay according to MTT assay and Griess test. The iNOS gene expression was evaluated using RT-PCR as the key signal of cellular NO generation.
Results: The results showed that among the different isolated protein fractions, 1, 2, 3, and 6 fractions had no toxic effect on astrocytes and played an important role in reducing the inflammation of these cells, so could evaluated as potent proteins for reducing the progression of Alzheimer's disease.
Conclusion: As known that Astrocytes inflammation contributes to the progression of Alzheimer's disease, mitigating the inflammation of the astrocytes by Artemia extracted proteins could be evaluated as potent therapeutic agents to improve and suspend the progress course of Alzheimer's disease.
Artemia is a crustacean brine shrimp existing in the sea and is considered an excellent target for biochemical and biophysical study due to its good adaptation to environmental stressors [1]. This creature is capable of enduring high salinity, living in various climatic conditions from the desert to tropical and mountainous weather. Artemia cysts live in liquid nitrogen, and a percentage of them can survive at higher temperatures than boiling point. Artemia has 8 bisexual (2n=42) and parthenogenetic (diploid, triploid, tetraploid, pentaploid) species. In the latest research, 595 Artemia-living geographic regions have been reported worldwide. Nowadays, Artemia has valuable usage; in human life as nutrition; in research as a model in genetics laboratories or radiometric studies; in medicine as bio-capsule; in industrial manufacturing in bio-processing of chitin and chitosan, and its use in salt-producing pools has made it an integral part of the aquaculture industry and one of the requirements of this industry [2-6]. Artemia extract has an antiaging effect [7] and it has been applied in cosmetics for skin care [8]. However, the anti-inflammatory effect of artemia extract on the glial cells has not been studied. Alzheimer's disease (AD) is characterized by significant neuronal death throughout the brain, which immediately causes memory impairment and severe disruption in cognitive function. AD is also characterized by significant reactive astrogliosis and activated microglia. The special role of astrocytes in AD pathogenesis was raised after discovering that astrocytes pose as Aβ and (in particular its shorter form) as Aβ42 natural scavengers. In the AD early stages, neurons commence producing large amounts of Aβ, which endangers dendrites, leading to their degeneration; this condition, however, activates astrocytes encompassing the endangered neuronal domain. Astrocytes eventually accumulate Aβ in excess, which would affect their function and prompt to reduce their support for other neuronal processes. This situation can also lead to subsequent neuronal degeneration and trigger Aβ accumulation in distant areas. Adjacent astrocytes detect and activate Aβ extracellular deposits, and send their projections toward the plagues, to remove additional Aβ. The repetition of this process ultimately involves more astrocytes, and through the astrocytes, the neurons are also engaged, indeed leading to the release of plagues [9-12]. Astrocytes are special glial cells, that occupy about 25 to 50% of the brain's volume, are ostensibly star-shaped, have many projections developing a non-synaptic connection with the neurons, and have perivascular feet covering about 85% of the existing capillaries’ surface in the CNS [10, 13]. These cells are the only brain cells that store high-energy glycogen molecules and are connected with gap junctions [14], which could permeability them to ions and other molecules with molecular weights less than 1000 Daltons [15, 16]. At the molecular level, all types of cerebral damage such as neuroinflammation [17, 18] undergo hypertrophy of the astroglia projections and significant increases in astrocytes (reactive astrogliosis) [19-22]. Therefore, astrocyte cells have a major contribution to CNS homeostasis and CNS response to inflammation in Alzheimer's disease progression [18, 22]. Studies particularly targeting astrocytes to attenuate astrogliosis open up new ways to novel therapies for AD [11, 23]. On the other hand, in various pathological conditions, constitute neurodegenerative diseases and neuroinflammation inducible nitric oxide synthase (iNOS) gene overexpress and results in high-level production of nitric oxide (NO). NO is an important inflammatory mediator and therefore NO signaling pathway characterizes a crucial therapeutic target (24-27). So, finding substances that could eliminate inflammation or minimize it as low as possible in these cells would be an effective therapeutic goal with minimal side effects [18].
In this study, the effect of Artemia partially purified protein fractions on Alzheimer's disease via inhibition of inflammatory signs in a cellular model on the primary rat astrocyte cells.
3.1 Artemia Cysts Hatching and Protein Extraction
Artemia urmiana cysts were provided from Urmia Lake (West-North of Iran). 10 gr of cysts were hydrated in tap and/or seawater at room temperature for one hour. Then the cysts were decolorized by Sodium Hypochlorite (NaOCl 5% W/V) until the cysts' color changed from brown to orange. Then the cysts were washed with 500 ml of cold distilled water. The decolorized cysts were hatched in 2 liters of artificial seawater (0.4 M NaCl, 0.009 M KCl, 0.05 M MgCl2, 0.009M CaCl2, and 0.028 M Na2SO4, pH= 8.0) at room temperature and/or 37 ºC for 24 hr. under light chamber in a shaking incubator according to the procedure reported by Liu and Mclennan (Liu and Mclennan, 1994). Freshly hatched nauplius is phototropism, the nauplius was collected by attraction to light. the tube connected to the air pump is putplaced in a loop containing artemiawith Artemia cysts to oxygenatesupply the cysts with oxygen. After passing about 24 hours, at have passed, first, the pump or the filter doingthat does the air conditioningaeration is slowly removed slowly, so that the aeration would be completely cutturned off. It is observed after After a while, observe that the shellsmussels come to the surface of the water and the hatched nauplius orients down to the bottom of the water. In the next step, the shells and unhatched cysts are slowly segregated with a pipette in orderthemselves to calculate the amount of naupliies obtained. Finally, after calculating the weight of the obtained naupliies, they are transferred to a falcon 15 and are frozen. The next steps of the research were as follows:the bottom of the water. The collected nauplius was washed with 400 ml of cold distilled water. Embryos were suspended in 50 ml of PBS, pH=7.4, and centrifuged at 3000 rpm for 20 minutes. 1.0 gr of freshly isolated nauplius was dissolved in 5 ml of extraction buffer (Tris- HCl 50 mM, pH 6.8). Total proteins were extracted by liquid homogenization, high-frequency sound wave sonication, and 3 times freeze/thaw cycles in liquid nitrogen separately. The homogenate was filtered through two layers of Mira cloth into a 50 mL Falcon tube at room temperature. The filtered homogenate was kept at -20°C until protein purification. In all of the experiments, total protein concentration was measured by Bradford methods. Extracting the extract using a homogenizer crushing with buffer A and B. Determining the amount of protein in the extract with Bradford method. Purification of protein
3.2 Protein Purification by salting out method.
Buffer replacement and salt removal of soluble specimens by dialysis method.
Partial separation of the protein components existing in the Artemia raw extract with ion Anion-Exchange Chromatography (type of resin used in chromatography DEAE is Cellulose Fast Flow ion exchange). The protein content of crude extracts was precipitated with the salting out method by using Ammonium Sulfate 40% (W/V) at 4°C on the orbital shaker for 2hr. The supernatant was removed and the precipitate was centrifuged at 5000 rpm for 20 min at 4°C. Then the crude was dissolved in Tris-HCl 50 mM, NaCl 20mM, pH 6.5 buffer dialysis and dialyzed against the same buffer overnight at 4 ºC. Partial separation of the protein was performed using ion exchange chromatography. An 18 × 3 cm column with DE-52 Sepharose beads (Whatman) was used for fast-flow ion exchange chromatography. First, the column was equilibrated d by Tris-HCl 50 mM, NaCl 20 mM pH 6.5 binding buffer. Then the extract after dialysis was eluted 1: 100 with the same buffer. Then gradients of 0.1, 0.2, 0.3, and 1.0 M of NaCl in Tris-HCl 50 mM buffer pH 6.5 were applied. The samples were collected as 2.0 ml fraction by 0.5 ml/min flow rate. SDS-PAGE electrophoresis was performed for each one of the fractions to analyze the protein profile on 13% resolving SDS-PAGE gel using electrophoresis LKB-Pharmacia electrophoresis system (LKB Pharmacia, Uppsala, Sweden). After running; the gels were stained by Coomassie blue. Finally, the fractions were concentrated by freeze-drying and sterilized by filtration through 0.2 µm filter papers to use for further analysis.
3.3 Primary Astrocyte Cell Culture and Treatment
Primary astrocyte cell cultures were obtained from mixed glial cell cultures. To achieve this, with pH = 8.5 and at a temperature of 27-28 °C. Since Artemia cysts need light to hatch, they are lit by a moonlight bulb. At the endapproval of the process, the hoseIran Ethics Committee of the National Institute of Genetic Engineering and Biotechnology (Permit Number: IR.NIGEB.EC.1395.4.1.C), The Wistar rat infants were decapitated and the brains were dissected under sterile conditions. The meninges and blood vessels of the cortex tissues were carefully taken away, and then mechanically split up in Dulbecco’s modified eagle medium (DMEM) (GibcoBRL, Grand Island, NY, USA). Then these cells convey into the flasks containing DMEM complemented with 100 UI/ml penicillin G, 100 μg/ml streptomycin (Merk, Darmstadt, Germany), and 10% of heat-inactivated fetal bovine serum (FBS) (GibcoBRL, Grand Island, NY, USA). Firstly, Mixed glial cultures were acquired and they were maintained at 37ºC in a 5% CO2 incubator (Binder, USA). The cell medium was renewed twice a week. To get pure astrocytes, the mixed glial cultures were trypsinized 3-4 times covering the bottom of the flask after 14 days. Typically, pure astrocytes can be obtained after the fourth passage. 20×103 and 5×104 astrocyte cells were seeded into each well of 96 and 24 well plates, respectively. The cells were incubated with 10
4.1 Artemia Cyst Culture
The purity of the cysts after hatching was measured by: The efficiency of the procedure is presented in Table 1.
| Cyst Purity ((% | Nauplii | Umbrella | Embryo | Total decapsulated | Total Cysts | Repetition |
| 87.5 | 33.1gr | 6.6gr | 5.8gr | 52gr | 83gr | 3 |
Table 1: Calculating the purity of cysts based on the numbers obtained during the research process.
4.2. Gel Electrophoresis of Proteins
According to the applied method, total protein content was evaluated at about, 14±1 mg per gram of nauplii wet weight. Partial purification was done by DEAE ion exchange chromatography. The samples were plotted at 280 nm continuously indicating the chromatogram of purification (Figure. 1A).

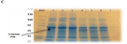
The electrophoresis of the crude extract and the purified extract using ion exchange chromatography was performed on SDS-page acrylamide gel (Figure. 1B).

As shown the Protein separation pattern was unaffected with more sharpness and most effective separation. The Gel was examined by Alpha Ease FC and it was found that among the different proteins that had been separated along the gel, the two bands were around 26 kd could be assumed to be the main proteins Artemin and P26 that the content of both proteins is higher than other proteins present in the extract matrix related to more clearly visible sharp bands (Figure. 1C).

Figure 1: Chromatography and Acrylamide gel of Artemia protein extract. A) A Chromatogram from protein separation of chromatography column, DEAE-Sepharose resin, Flow rate 1ml/min. B) Acrylamide gel from Artemia-obtained protein extract. C) Components separated from the ion exchange chromatography column.
4.3. Astrocyte Cells Separation
After 7 days of the primary mixed glial cell culture, the types of glial cells were carpeting the flask floor. Up to the 14th day, the astrocyte cells were populated and propagated all around the flask floor. To achieve pure astrocyte, trypsin treatment of the glial mixed cells was performed 3-4 times. Typically, one can obtain pure astrocytes after the fourth subculture (Figure. 2).

Figure 2: Primary astrocyte cell culture. Pure astrocyte after the fourth passage, observed with antimicrobial microscopy (magnification x75).
4.4. Specific Staining of Astrocytes by ICC
The results of specific immunocytochemical staining of astrocytes isolated from the neonatal rat brain indicate the high purity of the isolated astrocytes (Figure 3).

4.5. MTT test results
Evaluation of Toxicity of Different Concentrations of Artemia-extracted Protein extract was applied on Extract Fractions in the Inflamed Astrocyte Cells.
Artemia-extracted protein fractions were applied on the LPS-inflamed astrocyte cells at 1, 2.5, 5, 7.5, and 10 μg/ml concentrations separately. The survival rate of astrocytes was measured using MTT assay after 48 hours.
The results of statistical analysis indicated the effects of fractions in the range of concentrations and their reciprocal effects (fraction × different concentrations of extracted protein extracts) on cell cytotoxicity were significant at P value >0.05 (Table 2).
| Variation Sources | Degree of Freedom | Sum of Squares | Mean of Squares | F |
| Fraction | 6 | 0.683 | 0.113 | 10.09** |
| Different Concentrations of Extract | 4 | 1.225 | 0.306 | 27.11** |
| Fraction× Different Concentrations of Extract | 24 | 0.968 | 0.040 | 3.57** |
| Experimental Error | 72 | 0.813 | 0.011 | - |
| Total | 107 | 3.691 | - | - |
Table 2: MTT assay analysis of variance to evaluate the degree of toxicity produced by the desired protein extract on astrocyte cells (*p value <0>
These results exhibit different toxicity values for each fraction and cause differences in the viability rate of astrocytes (Figure. 4A).

The simultaneous application of varying fractions and concentrations of extracted protein extracts had different effects on the survival of astrocyte cells. The mean comparison results showed that Fraction no.6 had the least toxicity effect on astrocyte cells while owning the greatest survival effect on astrocyte cells. Fractions no.7 and 4 also had the highest toxicity effect on astrocyte cells, despite the lowest viable cells and the highest toxicity of both evaluated as 10 μg/ml concentration. The mean comparison results of the different concentrations showed that 5 μg/ml concentration had the lowest toxicity effect and the highest survival effect on cells for these two fractions. Along with this, 10 μg/ml concentration had the highest toxicity and the lowest survival effect on astrocyte cells for both (Figure. 4B).

The results of reciprocal effects (Fraction × different concentrations of extracted protein extract) had shown that fraction no.6 and 1, in 2.5 and 5 μg/ml concentrations had the least toxicity effects on astrocyte cells and the highest cell viability were monitored for these fractions (Figure. 4C).

Figure 4: Cell viability measurement of different fractions and concentrations of protein extract. A) Effect of different fractions of the protein extract on the survival of astrocyte cells (* p value <0>
4.6. Effect of Protein Extract Fractions on the NO Production in Inflamed Astrocyte Cells
The results indicated that the effects of Fractions, different concentrations of Artemia protein extract, and reciprocal effects (Fraction × different concentrations of protein extract) on the amount of cellular inflammation in astrocyte cells were significantly different at the 1% level (Table 3).
| Variation Sources | Degree of Freedom | Sum of Squares | Mean of Squares | F |
| Fraction | 6 | 0.035 | 0.005 | 34.29** |
| Different Concentrations of Extract | 4 | 0.486 | 0.121 | 695.81** |
| Fraction× Different Concentrations of Extract | 24 | 0.012 | 0.0005 | 3.05** |
| Experimental Error | 72 | 0.012 | 0.0001 | - |
| Total | 107 | 0.833 | - | - |
Table 3: Griess test analysis of variance to examine the reduction level of inflammation in astrocyte cells by the protein extract (p-value <0>
These results reveal that different fractions have different effects on the level of astrocyte cells’ cellular inflammation. The results of mean comparison indicated that Fraction no.6 had the highest effect on the level of astrocyte cellular inflammation via generated NO reduction, which significantly reduced inflammation rates compared to other fractions; contrarily Fractions no.7 and 4 had the least effect on the level of astrocyte cellular inflammation (Figure. 5A).

The mean comparison results of different concentrations pertained to protein extract over the level of astrocyte cells’ inflammation unveiled that the most effect on inflammation rate was observed at concentrations of 1, 2.5, and 5μg/ml leading to its remarkable decrease. Additionally, the lowest effect was seen at 10 μg/ml pharmaceutical concentration (Figure. 5B).

So, getting together the results demonstrated that Fraction no.6 in 5μg/ml concentration had the highest effect on cellular inflammation, significantly reducing inflammation via decreasing the NO generation compared to another fraction (Figure 5C).

Figure 5: NO production assay of different fractions and concentrations of protein extract on the inflamed astrocyte cells. A) Level of cellular inflammation at different fractions of the protein extract (p-value <0>
4.7. Expression Analysis of iNOS Gene via RT-PCR
Transcriptional studies were performed using RT-PCR. RNA extraction from the sample was performed after 48 hours (Fig. 6A) and purity of the extracted RNA was measured using nanodrop (Table 4).

| sample | Cdna Concentration Amount | 260.280 NM |
| Astrocyte +/LPS +/Drug – | 2523 NG/ML | 1.7 |
| Astrocyte +/ LPS +/ Drug + | 3302 NG/ML | 1.7 |
Table 4: Measurement of purity of the extracted RNA using nanodrop
After cDNA Synthesis, an RT-PCR reaction was performed using iNOS gene primers, and finally PCR products were taken over the 1.8% agarose gel. In Agarose gels, the molecular weight marker ladder indicates the bands formed by 350 bp correspond to the beta-actin gene (housekeeping gene), and the band in 253 bp corresponds to the iNOS gene, no band was observed in the negative control sample, confirming the absence of
contamination in the work. Positive control samples were astrocytic cells exposed to LPS (LPS + cells). The results revealed that Fraction no.6 at a concentration of 5 μg/ml (which had the highest cellular viability and reduced inflammation as previously mentioned) was exerted on inflamed astrocyte cells. As shown in Figure 5B, Fraction no.6 at a concentration of 5 μg/ml significantly reduced the expression of iNOS (Figure. 6B).

Conversion of qualitative bands to semi-quantitative data by Total lab software revealed that expression of iNOS gene in the drug positive group considering beta-actin control group has reduced. (Figure.6C).

Figure 6: RNA Extraction and analysis of iNOS gene expression. A) RNA Extraction bands on the gel electrophoresis. B) RT-PCR electrophoresis pattern for the iNOS gene. C) Semiquantitative conversion of qualitative bands of iNOS gene using total lab software (* p value <0>
Astrocytes, indeed, play an important role in controlling largely the creation of synapses, specifying the brain’s microstructures and forming neuroglial-vascular units, integrating different cerebral structures and, receiving and releasing trans-mates. Additionally, Astroglia Syncytium connecting each other by gap junctions allows the direct transfer of ions, metabolic agents, and secondary messengers [13, 20] in neurodegenerative diseases such as AD Astrocyte suffering from neuroinflammation [17, 18] and more activated [11, 12]. In such pathological processes, the Expression of the iNOS gene increases in activated astrocytes, and NO as a critical inflammatory factor in neuroinflammation is overproduced [24-27]. Previous studies outlined substances that can suppress or regulate the activity of glial cells stand as ideal choices for a variety of neurodegenerative diseases such as Alzheimer's disease [18-21] especially targeting astrocytes for improving AD [11, 23]. Therefore, seeking the appropriate anti-inflammatory drugs mitigating the activity of glial cells could ultimately lead to the emergence of appropriate therapies against many nervous degeneration conditions. Artemia has a long-standing history of use in aquaculture as a highly nutritious live food source (with high protein content, especially amino acid [30], particularly for the larval stages of various fish and crustacean species. This widespread use in aquaculture implies a degree of biocompatibility and nutritional value that makes Artemia a subject of interest for broader biological applications [31-34]. Furthermore, traditional medicine practices, particularly in regions surrounding hypersaline lakes like Urmia Lake in Iran, have utilized Artemia extract and mud derived from these environments for the treatment of inflammatory conditions and skin diseases. This historical application provides an empirical basis for investigating the potential pharmacological properties of Artemia. Artemia contains proteins from the family of chaperones. They help artemia tolerate environmentally severe conditions, of which P26 shock protein poses the most important one accounting for about 10% of the proteins present in the extract [2, 3]. These organisms exhibit remarkable resilience, capable of surviving in conditions of extreme salinity, low oxygen tension, and significant temperature fluctuations [35]. This adaptability suggests the presence of sophisticated biological mechanisms and potentially unique biomolecules that facilitate survival under such challenging conditions [36]. Consequently, there has been a growing scientific interest in exploring the potential therapeutic applications of materials derived from marine organisms, including Artemia, due to their diverse bioactive properties. Many studies have focused on peptides and other biomaterials extracted from various marine animals, revealing promising anticancer and other pharmacological activities [35]. This increasing attention to marine resources underscores the potential for discovering novel therapeutic agents from organisms adapted to extreme environments. The cosmetic industry has also recognized the potential of Artemia extract, incorporating it into formulations for sunlight protection and anti-aging purposes. These applications likely stem from the antioxidant and potentially anti-inflammatory properties of Artemia-derived compounds, which can help protect the skin from environmental damage [37]. A patent (US20170042802A1) further highlights the cosmetic use of Artemia salina extract to protect the skin from thermal stress, including cold stress, which is also known to induce inflammatory responses. This protective effect against temperature extremes suggests that Artemia extract may contain components that help stabilize cellular functions and prevent the release of inflammatory mediators triggered by temperature fluctuations [8] Studies, such as the one by Vaseli-Hagh et al [7], have demonstrated the anti-aging effects of Artemia proteins on human fibroblasts. Treatment with fractions of Artemia extract resulted in a notable reduction in senescence-associated β-Galactosidase activity, a key marker of cellular aging. Additionally, these fractions induced the synthesis of collagen type I, and promoted fibroblast proliferation [7]. These findings suggest that Artemia proteins may play a role in mitigating age-related inflammation in the skin by reducing cellular senescence and supporting tissue regeneration. The traditional use of Artemia urmiana extract for treating inflammatory skin disorders in folk medicine provides further evidence for its potential in skin health. This historical application suggests the presence of bioactive compounds in Artemia that can alleviate skin inflammation [7]. Research into nano hyalurosomes containing Artemia franciscana extract has shown enhanced penetration into deeper skin layers, leading to anti-aging effects [38]. Furthermore, the active substance in Artemia franciscana has demonstrated anti-inflammatory properties and the ability to induce heat shock proteins, which are crucial in reducing UV stress, heat stress, and lowering the levels of inflammatory cytokines. In summary, the evidence indicates that Artemia extract and proteins possess anti-inflammatory effects on various skin cell types, contributing to anti-aging properties and overall skin protection. One study indicates that the hydrolytic extract of Artemia salina exhibits protective functions under oxidative stress, including safeguarding the central and ventral nervous systems. Oxidative stress is a significant factor in neuronal damage and often precedes or accompanies inflammation in neurodegenerative conditions. Therefore, the neuroprotective effect of Artemia extract against oxidative stress may suggest an indirect anti-inflammatory role by mitigating the initial triggers of inflammation in neuronal cells. Furthermore, another study reports that Artemia salina L. extract provided protection against carbon tetrachloride (CCl4)-induced toxicity in HepG2 cells, a liver cell line [39]. While this finding is not directly related to neuronal cells, it suggests a general cytoprotective capacity of Artemia extract that could potentially extend to other cell types, including neurons. However, further research is specifically needed to investigate the direct anti-inflammatory effects of Artemia extract and proteins on neuronal cells. However, the anti-inflammatory effects of Artemia extract and proteins on glial cells have not been studied. Beyond skin, neuronal, and glial cells, research has explored the anti-inflammatory effects of Artemia extract and proteins on other cell types. A study has been conducted on the antioxidant and anti-inflammatory activity of fractionated Artemia urmiana extract on human peripheral blood neutrophils, a type of immune cell. The study found that the Artemia extract increased the activity of superoxide dismutase (SOD), an important antioxidant enzyme, in these cells [40]. While nitric oxide production was not significantly affected, the observed increase in SOD activity suggests a potential mechanism for indirect anti-inflammatory effects. In another study Artemia urmiana extract and its protein fractions were tested on the human leukemic HL-60 cell line. Although this study primarily focused on cell growth, differentiation, and apoptosis, the observed bioactivity of the Artemia extract on these leukemic cells, which are involved in immune responses, suggests a potential link to inflammatory processes [37]. Another research showed that a methanolic extract of Artemia salina eggs exhibited anticancer activity by decreasing the cell viability of human colorectal cancer cells (HCT116) and melanoma cells (B16F10). Chronic inflammation is increasingly recognized as a contributing factor in cancer development, suggesting that the anticancer activity of Artemia extracts might, in part, be related to the modulation of inflammatory pathways [37]. As mentioned above the documented medicinal benefits of Artemia extend beyond its potential anti-inflammatory effects. consequently, Artemia extract and proteins demonstrate promising anti-inflammatory effects, particularly on skin cells. While direct evidence for anti-inflammatory effects on neuronal and glial cells is limited in the provided material, neuroprotective potential under oxidative stress warrants further investigation. The medicinal benefits of Artemia are diverse, ranging from traditional remedies to applications in aquaculture drug delivery and its role in drug discovery. Further research into the specific bioactive compounds within Artemia and their mechanisms of action is crucial to fully unlock its therapeutic potential in medicine and related fields.
The perspective of these results revealed that Artemia-extracted protein affected the LPS-inflamed astrocyte cells after purifying and performing chromatography at concentrations of 1, 2.5, 5, 7.5, and 10 µg/ml. The result demonstrated that according to the results of the MTT assay, fractions 7 and 4 had a toxic effect on astrocyte cells and subsequently had no longer an influential contribution in diminishing the inflammation of astrocytic cells. Also, fractions 1, 2, 3, and 6 caused a valuable reduction of the inflammation in astrocytes and had no toxic effect on such cells, thus specifying that their anti-inflammatory effects are not motivated by cell death. It is conceivable to investigate upstream inflammatory pathways. Therefore, astrocyte cell inflammation decreased by the Artemia-extracted protein could be considered as a new therapeutic bio-potency to improve or stop the progress of the cited neural disease.
This work was supported by funds from the National Institute of Genetic Engineering and Biotechnology, Tehran, Iran.
Clearly Auctoresonline and particularly Psychology and Mental Health Care Journal is dedicated to improving health care services for individuals and populations. The editorial boards' ability to efficiently recognize and share the global importance of health literacy with a variety of stakeholders. Auctoresonline publishing platform can be used to facilitate of optimal client-based services and should be added to health care professionals' repertoire of evidence-based health care resources.
Journal of Clinical Cardiology and Cardiovascular Intervention The submission and review process was adequate. However I think that the publication total value should have been enlightened in early fases. Thank you for all.
Journal of Women Health Care and Issues By the present mail, I want to say thank to you and tour colleagues for facilitating my published article. Specially thank you for the peer review process, support from the editorial office. I appreciate positively the quality of your journal.
Journal of Clinical Research and Reports I would be very delighted to submit my testimonial regarding the reviewer board and the editorial office. The reviewer board were accurate and helpful regarding any modifications for my manuscript. And the editorial office were very helpful and supportive in contacting and monitoring with any update and offering help. It was my pleasure to contribute with your promising Journal and I am looking forward for more collaboration.
We would like to thank the Journal of Thoracic Disease and Cardiothoracic Surgery because of the services they provided us for our articles. The peer-review process was done in a very excellent time manner, and the opinions of the reviewers helped us to improve our manuscript further. The editorial office had an outstanding correspondence with us and guided us in many ways. During a hard time of the pandemic that is affecting every one of us tremendously, the editorial office helped us make everything easier for publishing scientific work. Hope for a more scientific relationship with your Journal.
The peer-review process which consisted high quality queries on the paper. I did answer six reviewers’ questions and comments before the paper was accepted. The support from the editorial office is excellent.
Journal of Neuroscience and Neurological Surgery. I had the experience of publishing a research article recently. The whole process was simple from submission to publication. The reviewers made specific and valuable recommendations and corrections that improved the quality of my publication. I strongly recommend this Journal.
Dr. Katarzyna Byczkowska My testimonial covering: "The peer review process is quick and effective. The support from the editorial office is very professional and friendly. Quality of the Clinical Cardiology and Cardiovascular Interventions is scientific and publishes ground-breaking research on cardiology that is useful for other professionals in the field.
Thank you most sincerely, with regard to the support you have given in relation to the reviewing process and the processing of my article entitled "Large Cell Neuroendocrine Carcinoma of The Prostate Gland: A Review and Update" for publication in your esteemed Journal, Journal of Cancer Research and Cellular Therapeutics". The editorial team has been very supportive.
Testimony of Journal of Clinical Otorhinolaryngology: work with your Reviews has been a educational and constructive experience. The editorial office were very helpful and supportive. It was a pleasure to contribute to your Journal.
Dr. Bernard Terkimbi Utoo, I am happy to publish my scientific work in Journal of Women Health Care and Issues (JWHCI). The manuscript submission was seamless and peer review process was top notch. I was amazed that 4 reviewers worked on the manuscript which made it a highly technical, standard and excellent quality paper. I appreciate the format and consideration for the APC as well as the speed of publication. It is my pleasure to continue with this scientific relationship with the esteem JWHCI.
This is an acknowledgment for peer reviewers, editorial board of Journal of Clinical Research and Reports. They show a lot of consideration for us as publishers for our research article “Evaluation of the different factors associated with side effects of COVID-19 vaccination on medical students, Mutah university, Al-Karak, Jordan”, in a very professional and easy way. This journal is one of outstanding medical journal.
Dear Hao Jiang, to Journal of Nutrition and Food Processing We greatly appreciate the efficient, professional and rapid processing of our paper by your team. If there is anything else we should do, please do not hesitate to let us know. On behalf of my co-authors, we would like to express our great appreciation to editor and reviewers.
As an author who has recently published in the journal "Brain and Neurological Disorders". I am delighted to provide a testimonial on the peer review process, editorial office support, and the overall quality of the journal. The peer review process at Brain and Neurological Disorders is rigorous and meticulous, ensuring that only high-quality, evidence-based research is published. The reviewers are experts in their fields, and their comments and suggestions were constructive and helped improve the quality of my manuscript. The review process was timely and efficient, with clear communication from the editorial office at each stage. The support from the editorial office was exceptional throughout the entire process. The editorial staff was responsive, professional, and always willing to help. They provided valuable guidance on formatting, structure, and ethical considerations, making the submission process seamless. Moreover, they kept me informed about the status of my manuscript and provided timely updates, which made the process less stressful. The journal Brain and Neurological Disorders is of the highest quality, with a strong focus on publishing cutting-edge research in the field of neurology. The articles published in this journal are well-researched, rigorously peer-reviewed, and written by experts in the field. The journal maintains high standards, ensuring that readers are provided with the most up-to-date and reliable information on brain and neurological disorders. In conclusion, I had a wonderful experience publishing in Brain and Neurological Disorders. The peer review process was thorough, the editorial office provided exceptional support, and the journal's quality is second to none. I would highly recommend this journal to any researcher working in the field of neurology and brain disorders.
Dear Agrippa Hilda, Journal of Neuroscience and Neurological Surgery, Editorial Coordinator, I trust this message finds you well. I want to extend my appreciation for considering my article for publication in your esteemed journal. I am pleased to provide a testimonial regarding the peer review process and the support received from your editorial office. The peer review process for my paper was carried out in a highly professional and thorough manner. The feedback and comments provided by the authors were constructive and very useful in improving the quality of the manuscript. This rigorous assessment process undoubtedly contributes to the high standards maintained by your journal.
International Journal of Clinical Case Reports and Reviews. I strongly recommend to consider submitting your work to this high-quality journal. The support and availability of the Editorial staff is outstanding and the review process was both efficient and rigorous.
Thank you very much for publishing my Research Article titled “Comparing Treatment Outcome Of Allergic Rhinitis Patients After Using Fluticasone Nasal Spray And Nasal Douching" in the Journal of Clinical Otorhinolaryngology. As Medical Professionals we are immensely benefited from study of various informative Articles and Papers published in this high quality Journal. I look forward to enriching my knowledge by regular study of the Journal and contribute my future work in the field of ENT through the Journal for use by the medical fraternity. The support from the Editorial office was excellent and very prompt. I also welcome the comments received from the readers of my Research Article.
Dear Erica Kelsey, Editorial Coordinator of Cancer Research and Cellular Therapeutics Our team is very satisfied with the processing of our paper by your journal. That was fast, efficient, rigorous, but without unnecessary complications. We appreciated the very short time between the submission of the paper and its publication on line on your site.
I am very glad to say that the peer review process is very successful and fast and support from the Editorial Office. Therefore, I would like to continue our scientific relationship for a long time. And I especially thank you for your kindly attention towards my article. Have a good day!
"We recently published an article entitled “Influence of beta-Cyclodextrins upon the Degradation of Carbofuran Derivatives under Alkaline Conditions" in the Journal of “Pesticides and Biofertilizers” to show that the cyclodextrins protect the carbamates increasing their half-life time in the presence of basic conditions This will be very helpful to understand carbofuran behaviour in the analytical, agro-environmental and food areas. We greatly appreciated the interaction with the editor and the editorial team; we were particularly well accompanied during the course of the revision process, since all various steps towards publication were short and without delay".
I would like to express my gratitude towards you process of article review and submission. I found this to be very fair and expedient. Your follow up has been excellent. I have many publications in national and international journal and your process has been one of the best so far. Keep up the great work.
We are grateful for this opportunity to provide a glowing recommendation to the Journal of Psychiatry and Psychotherapy. We found that the editorial team were very supportive, helpful, kept us abreast of timelines and over all very professional in nature. The peer review process was rigorous, efficient and constructive that really enhanced our article submission. The experience with this journal remains one of our best ever and we look forward to providing future submissions in the near future.
I am very pleased to serve as EBM of the journal, I hope many years of my experience in stem cells can help the journal from one way or another. As we know, stem cells hold great potential for regenerative medicine, which are mostly used to promote the repair response of diseased, dysfunctional or injured tissue using stem cells or their derivatives. I think Stem Cell Research and Therapeutics International is a great platform to publish and share the understanding towards the biology and translational or clinical application of stem cells.
I would like to give my testimony in the support I have got by the peer review process and to support the editorial office where they were of asset to support young author like me to be encouraged to publish their work in your respected journal and globalize and share knowledge across the globe. I really give my great gratitude to your journal and the peer review including the editorial office.
I am delighted to publish our manuscript entitled "A Perspective on Cocaine Induced Stroke - Its Mechanisms and Management" in the Journal of Neuroscience and Neurological Surgery. The peer review process, support from the editorial office, and quality of the journal are excellent. The manuscripts published are of high quality and of excellent scientific value. I recommend this journal very much to colleagues.
Dr.Tania Muñoz, My experience as researcher and author of a review article in The Journal Clinical Cardiology and Interventions has been very enriching and stimulating. The editorial team is excellent, performs its work with absolute responsibility and delivery. They are proactive, dynamic and receptive to all proposals. Supporting at all times the vast universe of authors who choose them as an option for publication. The team of review specialists, members of the editorial board, are brilliant professionals, with remarkable performance in medical research and scientific methodology. Together they form a frontline team that consolidates the JCCI as a magnificent option for the publication and review of high-level medical articles and broad collective interest. I am honored to be able to share my review article and open to receive all your comments.
“The peer review process of JPMHC is quick and effective. Authors are benefited by good and professional reviewers with huge experience in the field of psychology and mental health. The support from the editorial office is very professional. People to contact to are friendly and happy to help and assist any query authors might have. Quality of the Journal is scientific and publishes ground-breaking research on mental health that is useful for other professionals in the field”.
Dear editorial department: On behalf of our team, I hereby certify the reliability and superiority of the International Journal of Clinical Case Reports and Reviews in the peer review process, editorial support, and journal quality. Firstly, the peer review process of the International Journal of Clinical Case Reports and Reviews is rigorous, fair, transparent, fast, and of high quality. The editorial department invites experts from relevant fields as anonymous reviewers to review all submitted manuscripts. These experts have rich academic backgrounds and experience, and can accurately evaluate the academic quality, originality, and suitability of manuscripts. The editorial department is committed to ensuring the rigor of the peer review process, while also making every effort to ensure a fast review cycle to meet the needs of authors and the academic community. Secondly, the editorial team of the International Journal of Clinical Case Reports and Reviews is composed of a group of senior scholars and professionals with rich experience and professional knowledge in related fields. The editorial department is committed to assisting authors in improving their manuscripts, ensuring their academic accuracy, clarity, and completeness. Editors actively collaborate with authors, providing useful suggestions and feedback to promote the improvement and development of the manuscript. We believe that the support of the editorial department is one of the key factors in ensuring the quality of the journal. Finally, the International Journal of Clinical Case Reports and Reviews is renowned for its high- quality articles and strict academic standards. The editorial department is committed to publishing innovative and academically valuable research results to promote the development and progress of related fields. The International Journal of Clinical Case Reports and Reviews is reasonably priced and ensures excellent service and quality ratio, allowing authors to obtain high-level academic publishing opportunities in an affordable manner. I hereby solemnly declare that the International Journal of Clinical Case Reports and Reviews has a high level of credibility and superiority in terms of peer review process, editorial support, reasonable fees, and journal quality. Sincerely, Rui Tao.
Clinical Cardiology and Cardiovascular Interventions I testity the covering of the peer review process, support from the editorial office, and quality of the journal.
Clinical Cardiology and Cardiovascular Interventions, we deeply appreciate the interest shown in our work and its publication. It has been a true pleasure to collaborate with you. The peer review process, as well as the support provided by the editorial office, have been exceptional, and the quality of the journal is very high, which was a determining factor in our decision to publish with you.
The peer reviewers process is quick and effective, the supports from editorial office is excellent, the quality of journal is high. I would like to collabroate with Internatioanl journal of Clinical Case Reports and Reviews journal clinically in the future time.
Clinical Cardiology and Cardiovascular Interventions, I would like to express my sincerest gratitude for the trust placed in our team for the publication in your journal. It has been a true pleasure to collaborate with you on this project. I am pleased to inform you that both the peer review process and the attention from the editorial coordination have been excellent. Your team has worked with dedication and professionalism to ensure that your publication meets the highest standards of quality. We are confident that this collaboration will result in mutual success, and we are eager to see the fruits of this shared effort.
Dear Dr. Jessica Magne, Editorial Coordinator 0f Clinical Cardiology and Cardiovascular Interventions, I hope this message finds you well. I want to express my utmost gratitude for your excellent work and for the dedication and speed in the publication process of my article titled "Navigating Innovation: Qualitative Insights on Using Technology for Health Education in Acute Coronary Syndrome Patients." I am very satisfied with the peer review process, the support from the editorial office, and the quality of the journal. I hope we can maintain our scientific relationship in the long term.
Dear Monica Gissare, - Editorial Coordinator of Nutrition and Food Processing. ¨My testimony with you is truly professional, with a positive response regarding the follow-up of the article and its review, you took into account my qualities and the importance of the topic¨.
Dear Dr. Jessica Magne, Editorial Coordinator 0f Clinical Cardiology and Cardiovascular Interventions, The review process for the article “The Handling of Anti-aggregants and Anticoagulants in the Oncologic Heart Patient Submitted to Surgery” was extremely rigorous and detailed. From the initial submission to the final acceptance, the editorial team at the “Journal of Clinical Cardiology and Cardiovascular Interventions” demonstrated a high level of professionalism and dedication. The reviewers provided constructive and detailed feedback, which was essential for improving the quality of our work. Communication was always clear and efficient, ensuring that all our questions were promptly addressed. The quality of the “Journal of Clinical Cardiology and Cardiovascular Interventions” is undeniable. It is a peer-reviewed, open-access publication dedicated exclusively to disseminating high-quality research in the field of clinical cardiology and cardiovascular interventions. The journal's impact factor is currently under evaluation, and it is indexed in reputable databases, which further reinforces its credibility and relevance in the scientific field. I highly recommend this journal to researchers looking for a reputable platform to publish their studies.
Dear Editorial Coordinator of the Journal of Nutrition and Food Processing! "I would like to thank the Journal of Nutrition and Food Processing for including and publishing my article. The peer review process was very quick, movement and precise. The Editorial Board has done an extremely conscientious job with much help, valuable comments and advices. I find the journal very valuable from a professional point of view, thank you very much for allowing me to be part of it and I would like to participate in the future!”
Dealing with The Journal of Neurology and Neurological Surgery was very smooth and comprehensive. The office staff took time to address my needs and the response from editors and the office was prompt and fair. I certainly hope to publish with this journal again.Their professionalism is apparent and more than satisfactory. Susan Weiner
My Testimonial Covering as fellowing: Lin-Show Chin. The peer reviewers process is quick and effective, the supports from editorial office is excellent, the quality of journal is high. I would like to collabroate with Internatioanl journal of Clinical Case Reports and Reviews.
My experience publishing in Psychology and Mental Health Care was exceptional. The peer review process was rigorous and constructive, with reviewers providing valuable insights that helped enhance the quality of our work. The editorial team was highly supportive and responsive, making the submission process smooth and efficient. The journal's commitment to high standards and academic rigor makes it a respected platform for quality research. I am grateful for the opportunity to publish in such a reputable journal.
My experience publishing in International Journal of Clinical Case Reports and Reviews was exceptional. I Come forth to Provide a Testimonial Covering the Peer Review Process and the editorial office for the Professional and Impartial Evaluation of the Manuscript.
I would like to offer my testimony in the support. I have received through the peer review process and support the editorial office where they are to support young authors like me, encourage them to publish their work in your esteemed journals, and globalize and share knowledge globally. I really appreciate your journal, peer review, and editorial office.
Dear Agrippa Hilda- Editorial Coordinator of Journal of Neuroscience and Neurological Surgery, "The peer review process was very quick and of high quality, which can also be seen in the articles in the journal. The collaboration with the editorial office was very good."
I would like to express my sincere gratitude for the support and efficiency provided by the editorial office throughout the publication process of my article, “Delayed Vulvar Metastases from Rectal Carcinoma: A Case Report.” I greatly appreciate the assistance and guidance I received from your team, which made the entire process smooth and efficient. The peer review process was thorough and constructive, contributing to the overall quality of the final article. I am very grateful for the high level of professionalism and commitment shown by the editorial staff, and I look forward to maintaining a long-term collaboration with the International Journal of Clinical Case Reports and Reviews.
To Dear Erin Aust, I would like to express my heartfelt appreciation for the opportunity to have my work published in this esteemed journal. The entire publication process was smooth and well-organized, and I am extremely satisfied with the final result. The Editorial Team demonstrated the utmost professionalism, providing prompt and insightful feedback throughout the review process. Their clear communication and constructive suggestions were invaluable in enhancing my manuscript, and their meticulous attention to detail and dedication to quality are truly commendable. Additionally, the support from the Editorial Office was exceptional. From the initial submission to the final publication, I was guided through every step of the process with great care and professionalism. The team's responsiveness and assistance made the entire experience both easy and stress-free. I am also deeply impressed by the quality and reputation of the journal. It is an honor to have my research featured in such a respected publication, and I am confident that it will make a meaningful contribution to the field.
"I am grateful for the opportunity of contributing to [International Journal of Clinical Case Reports and Reviews] and for the rigorous review process that enhances the quality of research published in your esteemed journal. I sincerely appreciate the time and effort of your team who have dedicatedly helped me in improvising changes and modifying my manuscript. The insightful comments and constructive feedback provided have been invaluable in refining and strengthening my work".
I thank the ‘Journal of Clinical Research and Reports’ for accepting this article for publication. This is a rigorously peer reviewed journal which is on all major global scientific data bases. I note the review process was prompt, thorough and professionally critical. It gave us an insight into a number of important scientific/statistical issues. The review prompted us to review the relevant literature again and look at the limitations of the study. The peer reviewers were open, clear in the instructions and the editorial team was very prompt in their communication. This journal certainly publishes quality research articles. I would recommend the journal for any future publications.
Dear Jessica Magne, with gratitude for the joint work. Fast process of receiving and processing the submitted scientific materials in “Clinical Cardiology and Cardiovascular Interventions”. High level of competence of the editors with clear and correct recommendations and ideas for enriching the article.
We found the peer review process quick and positive in its input. The support from the editorial officer has been very agile, always with the intention of improving the article and taking into account our subsequent corrections.
My article, titled 'No Way Out of the Smartphone Epidemic Without Considering the Insights of Brain Research,' has been republished in the International Journal of Clinical Case Reports and Reviews. The review process was seamless and professional, with the editors being both friendly and supportive. I am deeply grateful for their efforts.
To Dear Erin Aust – Editorial Coordinator of Journal of General Medicine and Clinical Practice! I declare that I am absolutely satisfied with your work carried out with great competence in following the manuscript during the various stages from its receipt, during the revision process to the final acceptance for publication. Thank Prof. Elvira Farina
Dear Jessica, and the super professional team of the ‘Clinical Cardiology and Cardiovascular Interventions’ I am sincerely grateful to the coordinated work of the journal team for the no problem with the submission of my manuscript: “Cardiometabolic Disorders in A Pregnant Woman with Severe Preeclampsia on the Background of Morbid Obesity (Case Report).” The review process by 5 experts was fast, and the comments were professional, which made it more specific and academic, and the process of publication and presentation of the article was excellent. I recommend that my colleagues publish articles in this journal, and I am interested in further scientific cooperation. Sincerely and best wishes, Dr. Oleg Golyanovskiy.
Dear Ashley Rosa, Editorial Coordinator of the journal - Psychology and Mental Health Care. " The process of obtaining publication of my article in the Psychology and Mental Health Journal was positive in all areas. The peer review process resulted in a number of valuable comments, the editorial process was collaborative and timely, and the quality of this journal has been quickly noticed, resulting in alternative journals contacting me to publish with them." Warm regards, Susan Anne Smith, PhD. Australian Breastfeeding Association.
Dear Jessica Magne, Editorial Coordinator, Clinical Cardiology and Cardiovascular Interventions, Auctores Publishing LLC. I appreciate the journal (JCCI) editorial office support, the entire team leads were always ready to help, not only on technical front but also on thorough process. Also, I should thank dear reviewers’ attention to detail and creative approach to teach me and bring new insights by their comments. Surely, more discussions and introduction of other hemodynamic devices would provide better prevention and management of shock states. Your efforts and dedication in presenting educational materials in this journal are commendable. Best wishes from, Farahnaz Fallahian.
Dear Maria Emerson, Editorial Coordinator, International Journal of Clinical Case Reports and Reviews, Auctores Publishing LLC. I am delighted to have published our manuscript, "Acute Colonic Pseudo-Obstruction (ACPO): A rare but serious complication following caesarean section." I want to thank the editorial team, especially Maria Emerson, for their prompt review of the manuscript, quick responses to queries, and overall support. Yours sincerely Dr. Victor Olagundoye.
Dear Ashley Rosa, Editorial Coordinator, International Journal of Clinical Case Reports and Reviews. Many thanks for publishing this manuscript after I lost confidence the editors were most helpful, more than other journals Best wishes from, Susan Anne Smith, PhD. Australian Breastfeeding Association.
Dear Agrippa Hilda, Editorial Coordinator, Journal of Neuroscience and Neurological Surgery. The entire process including article submission, review, revision, and publication was extremely easy. The journal editor was prompt and helpful, and the reviewers contributed to the quality of the paper. Thank you so much! Eric Nussbaum, MD
Dr Hala Al Shaikh This is to acknowledge that the peer review process for the article ’ A Novel Gnrh1 Gene Mutation in Four Omani Male Siblings, Presentation and Management ’ sent to the International Journal of Clinical Case Reports and Reviews was quick and smooth. The editorial office was prompt with easy communication.
Dear Erin Aust, Editorial Coordinator, Journal of General Medicine and Clinical Practice. We are pleased to share our experience with the “Journal of General Medicine and Clinical Practice”, following the successful publication of our article. The peer review process was thorough and constructive, helping to improve the clarity and quality of the manuscript. We are especially thankful to Ms. Erin Aust, the Editorial Coordinator, for her prompt communication and continuous support throughout the process. Her professionalism ensured a smooth and efficient publication experience. The journal upholds high editorial standards, and we highly recommend it to fellow researchers seeking a credible platform for their work. Best wishes By, Dr. Rakhi Mishra.
Dear Jessica Magne, Editorial Coordinator, Clinical Cardiology and Cardiovascular Interventions, Auctores Publishing LLC. The peer review process of the journal of Clinical Cardiology and Cardiovascular Interventions was excellent and fast, as was the support of the editorial office and the quality of the journal. Kind regards Walter F. Riesen Prof. Dr. Dr. h.c. Walter F. Riesen.
Dear Ashley Rosa, Editorial Coordinator, International Journal of Clinical Case Reports and Reviews, Auctores Publishing LLC. Thank you for publishing our article, Exploring Clozapine's Efficacy in Managing Aggression: A Multiple Single-Case Study in Forensic Psychiatry in the international journal of clinical case reports and reviews. We found the peer review process very professional and efficient. The comments were constructive, and the whole process was efficient. On behalf of the co-authors, I would like to thank you for publishing this article. With regards, Dr. Jelle R. Lettinga.
Dear Clarissa Eric, Editorial Coordinator, Journal of Clinical Case Reports and Studies, I would like to express my deep admiration for the exceptional professionalism demonstrated by your journal. I am thoroughly impressed by the speed of the editorial process, the substantive and insightful reviews, and the meticulous preparation of the manuscript for publication. Additionally, I greatly appreciate the courteous and immediate responses from your editorial office to all my inquiries. Best Regards, Dariusz Ziora
Dear Chrystine Mejia, Editorial Coordinator, Journal of Neurodegeneration and Neurorehabilitation, Auctores Publishing LLC, We would like to thank the editorial team for the smooth and high-quality communication leading up to the publication of our article in the Journal of Neurodegeneration and Neurorehabilitation. The reviewers have extensive knowledge in the field, and their relevant questions helped to add value to our publication. Kind regards, Dr. Ravi Shrivastava.
Dear Clarissa Eric, Editorial Coordinator, Journal of Clinical Case Reports and Studies, Auctores Publishing LLC, USA Office: +1-(302)-520-2644. I would like to express my sincere appreciation for the efficient and professional handling of my case report by the ‘Journal of Clinical Case Reports and Studies’. The peer review process was not only fast but also highly constructive—the reviewers’ comments were clear, relevant, and greatly helped me improve the quality and clarity of my manuscript. I also received excellent support from the editorial office throughout the process. Communication was smooth and timely, and I felt well guided at every stage, from submission to publication. The overall quality and rigor of the journal are truly commendable. I am pleased to have published my work with Journal of Clinical Case Reports and Studies, and I look forward to future opportunities for collaboration. Sincerely, Aline Tollet, UCLouvain.
Dear Ms. Mayra Duenas, Editorial Coordinator, International Journal of Clinical Case Reports and Reviews. “The International Journal of Clinical Case Reports and Reviews represented the “ideal house” to share with the research community a first experience with the use of the Simeox device for speech rehabilitation. High scientific reputation and attractive website communication were first determinants for the selection of this Journal, and the following submission process exceeded expectations: fast but highly professional peer review, great support by the editorial office, elegant graphic layout. Exactly what a dynamic research team - also composed by allied professionals - needs!" From, Chiara Beccaluva, PT - Italy.
Dear Maria Emerson, Editorial Coordinator, we have deeply appreciated the professionalism demonstrated by the International Journal of Clinical Case Reports and Reviews. The reviewers have extensive knowledge of our field and have been very efficient and fast in supporting the process. I am really looking forward to further collaboration. Thanks. Best regards, Dr. Claudio Ligresti
Dear Chrystine Mejia, Editorial Coordinator, Journal of Neurodegeneration and Neurorehabilitation. “The peer review process was efficient and constructive, and the editorial office provided excellent communication and support throughout. The journal ensures scientific rigor and high editorial standards, while also offering a smooth and timely publication process. We sincerely appreciate the work of the editorial team in facilitating the dissemination of innovative approaches such as the Bonori Method.” Best regards, Dr. Matteo Bonori.
I recommend without hesitation submitting relevant papers on medical decision making to the International Journal of Clinical Case Reports and Reviews. I am very grateful to the editorial staff. Maria Emerson was a pleasure to communicate with. The time from submission to publication was an extremely short 3 weeks. The editorial staff submitted the paper to three reviewers. Two of the reviewers commented positively on the value of publishing the paper. The editorial staff quickly recognized the third reviewer’s comments as an unjust attempt to reject the paper. I revised the paper as recommended by the first two reviewers.
Dear Maria Emerson, Editorial Coordinator, Journal of Clinical Research and Reports. Thank you for publishing our case report: "Clinical Case of Effective Fetal Stem Cells Treatment in a Patient with Autism Spectrum Disorder" within the "Journal of Clinical Research and Reports" being submitted by the team of EmCell doctors from Kyiv, Ukraine. We much appreciate a professional and transparent peer-review process from Auctores. All research Doctors are so grateful to your Editorial Office and Auctores Publishing support! I amiably wish our article publication maintained a top quality of your International Scientific Journal. My best wishes for a prosperity of the Journal of Clinical Research and Reports. Hope our scientific relationship and cooperation will remain long lasting. Thank you very much indeed. Kind regards, Dr. Andriy Sinelnyk Cell Therapy Center EmCell
Dear Editorial Team, Clinical Cardiology and Cardiovascular Interventions. It was truly a rewarding experience to work with the journal “Clinical Cardiology and Cardiovascular Interventions”. The peer review process was insightful and encouraging, helping us refine our work to a higher standard. The editorial office offered exceptional support with prompt and thoughtful communication. I highly value the journal’s role in promoting scientific advancement and am honored to be part of it. Best regards, Meng-Jou Lee, MD, Department of Anesthesiology, National Taiwan University Hospital.
Dear Editorial Team, Journal-Clinical Cardiology and Cardiovascular Interventions, “Publishing my article with Clinical Cardiology and Cardiovascular Interventions has been a highly positive experience. The peer-review process was rigorous yet supportive, offering valuable feedback that strengthened my work. The editorial team demonstrated exceptional professionalism, prompt communication, and a genuine commitment to maintaining the highest scientific standards. I am very pleased with the publication quality and proud to be associated with such a reputable journal.” Warm regards, Dr. Mahmoud Kamal Moustafa Ahmed
Dear Maria Emerson, Editorial Coordinator of ‘International Journal of Clinical Case Reports and Reviews’, I appreciate the opportunity to publish my article with your journal. The editorial office provided clear communication during the submission and review process, and I found the overall experience professional and constructive. Best regards, Elena Salvatore.
Dear Mayra Duenas, Editorial Coordinator of ‘International Journal of Clinical Case Reports and Reviews Herewith I confirm an optimal peer review process and a great support of the editorial office of the present journal
Dear Editorial Team, Clinical Cardiology and Cardiovascular Interventions. I am really grateful for the peers review; their feedback gave me the opportunity to reflect on the message and impact of my work and to ameliorate the article. The editors did a great job in addition by encouraging me to continue with the process of publishing.
Dear Cecilia Lilly, Editorial Coordinator, Endocrinology and Disorders, Thank you so much for your quick response regarding reviewing and all process till publishing our manuscript entitled: Prevalence of Pre-Diabetes and its Associated Risk Factors Among Nile College Students, Sudan. Best regards, Dr Mamoun Magzoub.
International Journal of Clinical Case Reports and Reviews is a high quality journal that has a clear and concise submission process. The peer review process was comprehensive and constructive. Support from the editorial office was excellent, since the administrative staff were responsive. The journal provides a fast and timely publication timeline.
Dear Mayra Duenas, Editorial Coordinator of the journal IJCCR, I write here a little on my experience as an author submitting to the International Journal of Clinical Case Reports and Reviews (IJCCR). This was my first submission to IJCCR and my manuscript was inherently an outsider’s effort. It attempted to broadly identify and then make some sense of life’s under-appreciated mysteries. I initially had responded to a request for possible submissions. I then contacted IJCCR with a tentative topic for a manuscript. They quickly got back with an approval for the submission, but with a particular requirement that it be medically relevant. I then put together a manuscript and submitted it. After the usual back-and-forth over forms and formality, the manuscript was sent off for reviews. Within 2 weeks I got back 4 reviews which were both helpful and also surprising. Surprising in that the topic was somewhat foreign to medical literature. My subsequent updates in response to the reviewer comments went smoothly and in short order I had a series of proofs to evaluate. All in all, the whole publication process seemed outstanding. It was both helpful in terms of the paper’s content and also in terms of its efficient and friendly communications. Thank you all very much. Sincerely, Ted Christopher, Rochester, NY.
Dear Grace Pierce, Editorial Coordinator of the journal IJCCR, I had a very positive experience with Auctores - Journal throughout the publication process. The Editorial Team was highly responsive, professional, and supportive at every stage. I would like to extend my sincere thanks to the Editor: Grace Pierce, for her guidance and assistance. The peer-review process was smooth and constructive, helping improve the quality of my work. I would gladly recommend Auctores Journal to fellow researchers and authors. Dr. SABITA SINHA, Medical Oncologist, MD (Electro Homeopathy).
Dear Maria Emerson, Editorial Coordinator of - Journal of Clinical Research and Reports. ''I am pleased to provide this testimonial following the publication of our recent case report in this journal. The peer review process was rigorous, constructive, thorough, and conducted in a timely manner. The reviewers’ comments were thoughtful, detailed, and highly constructive, contributing substantially to the refinement, clarity, and scientific robustness of our manuscript. The process was conducted with professionalism and academic integrity throughout. The support provided by the editorial office was exemplary. Communication was consistently prompt, clear, and courteous at all stages of the submission and publication process. The editorial team demonstrated a high level of organization and responsiveness, ensuring that all queries were addressed efficiently and that the process remained transparent and well-coordinated. The overall quality of the journal is reflected in its strong editorial standards, commitment to scientific excellence, and dedication to publishing clinically meaningful research. It has been a privilege to publish our work in this journal, and we would welcome the opportunity to contribute further in the future.'' Best wishes from, Dr. Efstratios Trogkanis, Cardiologist.
Dear Reader: We have published several articles in the Auctores Publishing, LLC, journal, Clinical Medical Reviews and Reports in recent years (CMRR). This is an ‘open access’ journal and the following are our observations. From the initial invitation to submit an article, to the final edits of galley proofs, we have found CMRR personnel to be professional, responsive, rapid and thorough. This entire process begins with Catherine Mitchell, Editorial Coordinator. She is simply outstanding, and, I believe, unparalleled in her capacity. I cannot imagine a more responsive and dedicated Editorial Coordinator. As I read the dates and timing of her correspondence with us, it seems that she never sleeps. I hope Auctores Publishing, LLC, appreciates her efforts as much as these authors do. Thank you to Auctores Publishing, LLC, to the Editorial Staff/Board, and to Catherine Mitchell from a grateful author(s).
Dear Maria Emerson, Editorial Coordinator of International Journal of Clinical Case Reports and Reviews, What distinguishes International Journal of Clinical Case Report and Review is not only the scientific rigor of its publications, but the intellectual climate in which research is evaluated. The submission process is refreshingly free of unnecessary formal barriers and bureaucratic rituals that often complicate academic publishing without adding real value. The peer-review system is demanding yet constructive, guided by genuine scientific dialogue rather than hierarchical or authoritarian attitudes. Reviewers act as collaborators in improving the manuscript, not as gatekeepers imposing arbitrary standards. This journal offers a rare balance: high methodological standards combined with a respectful, transparent, and supportive editorial approach. In an era where publishing can feel more burdensome than research itself, this platform restores the original purpose of peer review — to refine ideas, not to obstruct them Prof. Perlat Kapisyzi, FCCP PULMONOLOGIST AND THORACIC IMAGING.