AUCTORES
Globalize your Research
Case Report | DOI: https://doi.org/10.31579/2690-4861/500
1Faculty of Medicine, University of Balamand, Beirut, Lebanon.
2Department of Radiation Oncology, Memorial Sloan Kettering Cancer Center, New York, NY, USA.
3Department of Medicine, Lymphoma Service, Memorial Sloan Kettering Cancer Center, New York, USA.
4New York Proton Center, New York, NY 10035, USA.
†These authors contributed equally to this work
*Corresponding Author: Carla Hajj, Memorial Sloan Kettering Cancer Center, New York, NY 10027, USA.
Citation: Joseph Hajj, Melissa Hatem, Brandon Imber, Joachim Yahalom, Carla Hajj, (2024), A 50-year-old woman with chemo-refractory diffuse large B cell lymphoma of the head of the pancreas, cured with definitive radiation therapy, International Journal of Clinical Case Reports and Reviews, 18(4); DOI: 10.31579/2690-4861/500
Copyright: © 2024, Carla Hajj. This is an open-access article distributed under the terms of the Creative Commons Attribution License, which permits unrestricted use, distribution, and reproduction in any medium, provided the original author and source are credited.
Received: 04 July 2024 | Accepted: 15 July 2024 | Published: 29 July 2024
Keywords: diffuse large b cell lymphoma; chemotherapy; r-chop; pet; pancreatic cancer; radiation therapy; non-hodgkin lymphoma; chemo-refractory
Diffuse large B cell lymphoma (DLBCL) is the most common lymphoma, accounting for 30% of all non-Hodgkin lymphomas. It is most prevalent in elderly people and is usually associated with a poor prognosis. DLBCL is also classified as the most prevalent subtype of primary pancreatic lymphoma. Chemotherapy with combination drugs; rituximab, cyclophosphamide, doxorubicin, vincristine and prednisone (R-CHOP) is the treatment of choice in the management of DLBCL. It proved effective outcomes in 50-60% of the cases. However, 10% of the patients are refractory and need more aggressive treatment modalities.
In this case report, we present a 50-year-old patient with localized DLBCL of the pancreas refractory to 6 cycles of R-CHOP chemotherapy and successfully treated with definitive radiation therapy.
The two main subtypes of lymphomas are Hodgkin and non-Hodgkin lymphomas. Both can present with B symptoms which include low grade fever, drenching night sweats and unintentional weight loss. When B symptoms are present, the likelihood of a poorer prognosis becomes higher [1]. Hodgkin lymphomas are usually localized and spread contiguously while non-Hodgkin lymphomas have a more advanced stage, do not spread contiguously, commonly have extra nodal involvement, and are associated with a worst prognosis. Reed Sternberg cells (CD15/CD30 positive and CD20/CD45 negative) are characteristic of Hodgkin lymphomas.
Diffuse large B- cell lymphoma (DLBCL) is the most common subtype of non-Hodgkin lymphomas in adults (about 30%) [2], and is usually diagnosed in older patients, with a median age at presentation of 70 years [3]. The pathogenesis includes mutations in the BCL2 gene (an anti-apoptotic factor) and the BCL6 gene (a mediator of growth suppression) [4]. Many variants have been classified by the World Health Organization (WHO) and were mainly defined by anatomical site of involvement [5]. DLBCL is the most common subtype of primary pancreatic lymphoma (PPL), compromising 77-80% of the total cases [6,7]. The prognosis is variable and depends on the IPI (international prognostic index) score of the patient.
The standard of care treatment is R-CHOP: rituximab, cyclophosphamide, doxorubicin, vincristine and prednisone. The co-expression of BCL2 and MYC, demonstrated by immunohistochemistry, has been associated with a worse prognosis in patients that were treated with R-CHOP [8,9]. After 1st line therapy, 50-60% of DLBCL patients achieve and maintain complete remission; around 30-40% relapse and 10% will be refractory [10,11].
We report a case of a 50 years old female patient who got diagnosed with localized DLBCL of the pancreas, refractory to 6 cycles of R-CHOP chemotherapy but successfully treated with radiation therapy.
The patient is a 50-year-old woman whose oncologic history goes back to July 2019 when she developed new onset of jaundice, pruritis, dark urine and clay-colored stools. She therefore underwent an ultrasound of the abdomen which showed mass around the head of the pancreas and a dilated common bile duct (CBD). A CT scan of the chest, abdomen and pelvis confirmed a 3.5 hypodense solid mass of the head of the pancreas and no other sites of disease. An MRI of the abdomen confirmed a 3.5 hypodense mass causing a mass effect on the CBD, in addition to enlarged peripancreatic lymph nodes, the largest measuring 2x2.5cm. An endoscopic ultrasound (EUS) showed again a localized pancreatic uncinate mass, measuring 43x28mm, in addition to enlarged nodes in the periportal area, with the largest node measuring 36x26mm. A fine needle aspirate (FNA) of the node was suggestive of a B cell lymphoma. A subsequent core biopsy of the pancreatic confirmed diffuse large B-cell lymphoma.
Germinal Center B-Cell like (GCB) subtype. A baseline PET scan showed FDG avid pancreatic head mass. A bone marrow biopsy was negative. The patient was treated with 6 cycles of R-CHOPx6, completed on 12/31/20. An interim and an end of treatment PET scans showed persistent focal FDG avidity within the pancreatic head, with an SUV of 24.5 (figure 1).
In February 2021, an EUS with FNA and core biopsy of the periportal lymph node confirmed persistent B-cell lymphoma of germinal center type after 6 cycles of R-CHOP.

Figure 1: (a)-Baseline PET scan on 9/3/2020. (b) and (c)-PET scans on 11/10/2020 and 2/3/2021, respectively, showing partial response to R-CHOPx6 treatment; Images from our institutional radiology department.
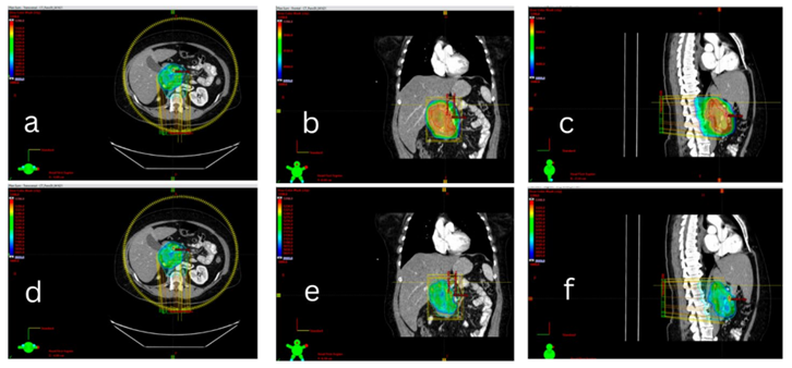
The case was reviewed at the tumor board, and the consensus was to defer stem cell transplantation and proceed with definitive radiation treatment. The patient therefore received a total of 50Gy in 25 fractions (36Gy in 18fractions for the initial phase followed by a 14Gy cone down) between 04/28/21 and 06/02/21, in accordance with the recommendation of The International Lymphoma Radiation Oncology Group (ILROG) for the use of Radiation Therapy (RT) in hematological diseases [12] (figure 2). The patient was treated with deep inspiration breath hold (DIBH). Image-guidance was used with daily KVs, CBCTs and intrafractional monitoring. The patient was NPO 3 hours prior to her daily treatments.

Figure 2: (a), (b) and (c)- 36 Gy coverage and (d), (e) and (f)- 50 Gy coverage; Images from our institutional radiology department.
A PET scan done in July 2021, approximately 6 weeks after the end of radiation therapy, showed a markedly decreased pancreatic lymphoma mass with residual small focus on FGD uptake slightly above liver activity, when compared to pet scan done on 04/16/2021. This focus was covered by the higher radiation dose (50Gy) and it was considered to be most likely inflammatory. No other FGD avid lesions were seen (figure 3a and 3b).

Figure 3: (a)-PET/CT simulation: 04/16/2021. Reference regions: SUVmax and mean in a reference region in the liver are 2.4 and 1.9. Pancreas: FDG avid pancreatic head mass (5.6x 5.1 cm, SUV 28.8) with central hypodensity/photopenia, possibly cystic/necrotic change or ductal dilatation. (b)-PET: 07/14/2021. Reference regions: SUVmax and mean in a reference region in the liver are 2.8 and 1.9. Pancreas: Markedly decreased size and FDG uptake of pancreatic head mass with ill-defined residual focal FDG uptake adjacent to the biliary stent, image 165, SUV 4.8, previously 5.6x5.1 cm, SUV 28.8; Images from our institutional radiology department.
Approximately 2 months later, in September 2021, another PET scan showed a completed response in the pancreatic head mass and regional lymph nodes: no definite evidence of FGD-avid neoplastic disease was seen; a decrease in the intensity of now ill-defined residual FGD uptake within the pancreatic head was noted, possibly post treatment inflammation.
Several follow up PET scans (every 3-4 months, last one in March 2024) and one CT chest-abdomen-pelvis in May 2022 were done showing sustained complete response in the pancreas and no new suspicious lesions (figure 4). In particular, no new lesions were visible on 3/20/2024, as the PET scan showed a persistent complete remission (figure 5). No acute, subacute or long-term side effects of radiation were reported by the patient.

Figure 4: (a)-PET: 09/24/21. Reference regions: SUVmax and mean in a reference region in the liver are 3.3 and 2.4. Pancreas: Decreased intensity of now ill-defined residual FDG uptake within the pancreatic head, image 147, SUV 2.6, before SUV 4.8. (b)-PET: 03/16/2023. Reference regions: SUVmax and mean in a reference region in the liver are 2.9 and 2.5, prior 2.8 and 2.4. Pancreas: Unchanged mild patchy uptake in the pancreatic head at site of prior FDG avid lesion, image 153, SUV 2.4 previously SUV 2.6; Images from our institutional radiology department.

Figure 5: PET: 3/20/2024. Reference regions: SUVmax and mean in a reference region in the liver are 3.0 and 2.4. Pancreas: No abnormal uptake. No recurrent FDG avidity in the pancreatic head as was seen on PET April 16, 2021; Images from our institutional radiology department.
Pancreatic cancers are prevalent and associated with high mortality rates in the United States, accounting for one fourth of death related to cancer. Most pancreatic cancers are adenocarcinomas, thus making physicians less aware of the other types of pancreatic cancers[13]. Primary pancreatic lymphoma (PPL) is one of the rarest types of lymphoma resulting in only 1% of all extra nodal types of lymphoma and accounting for less than 0.7% of all types of pancreatic malignancies [14].
Since PPL is very rare and its clinical and imaging presentation can mimic pancreatic adenocarcinoma, physicians face a diagnostic and therapeutic challenge. Thus, a preoperative cytohistologic diagnosis is very important in case of PPL, to avoid unnecessary and morbid surgical interventions, such as a Whipple procedure or a distal pancreatectomy [7,13].
Sadot et al. from Memorial Sloan Kettering Cancer Center looked at the clinical features and outcome of PPL. A comparison between response rates of different modalities of treatment, including chemotherapy, chemotherapy with surgery, chemotherapy with radiation and surgery alone showed that the response rates of patients treated with chemotherapy only had the best clinical outcomes, with 85% CR/PR and 15% SD/PD, analogous to the response rates of patients diagnosed with nodal DLBCL and treated with either R-CHOP or CHOP. Of note, in the chemotherapy alone subgroup, 36% of patients were treated with R-CHOP and 10% with CHOP [7]. In summary, the most common type of PPL is DLBCL, and the best treatment modality is chemotherapy with R-CHOP or CHOP.
In the case of refractory or relapsed DLBCL, patients who are transplant eligible are treated by intensive salvage regimens, using high-dose chemotherapy and autologous stem cell transplant (ASCT) which only cures a restricted number of patients [15].
The PARMA trial, in which patients with chemo-sensitive refractory or relapsed non-Hodgkin lymphoma were randomized to either receive high dose chemotherapy followed by autologous bone marrow transplant (HD-ABMT) or conventional chemotherapy, showed that patients who received HD-ABMT had a greater OS (53% vs 32%) and a greater 5-year event survival (46% vs 12%) [16]. However, it was estimated that only half of the patients with relapsed/refractory (R/R) NHL would be qualified for transplant and half of those would have chemo-sensitive disease. In addition, in this trial, radiotherapy was used as part of the treatment for bulky disease that is >5cm, and the results revealed fewer instances of relapse noted when radiotherapy was used: relapses occurred at the primary site of disease at the time of the first relapse in 5 of the 12 patients who underwent irradiation and in 26 of the 42 who did not (p= 0.21).
On the other hand, transplant ineligible patients have been treated with palliative intent [15]. RT has long been considered for palliative care only in this setting. However, in some cases where the patient is transplant ineligible, or does not want transplant, radiation therapy can be administered either as effective palliation or with curative intent, as long as the tumor is localized.
In a review on the role of radiation therapy in patients with relapsed/refractory (R/R) DLBCL published in 2018, some case scenarios have been discussed by the International Lymphoma Radiation Oncology Group (ILROG), and one recommendation was that only on very rare occasions, in patients who have localized R/R disease, can radiation therapy be offered with curative intent, for example in locoregionally confined disease, with a proposed dose of 45-55Gy in 1.8Gy/fraction, reduction of treatment volume (or cone down) after 36Gy, and adjustment of final dose depending on the patient’s response [17].
Prior to the rituximab era, two randomized clinical trials, the Southwest Oncology Group Study (SWOG) 8736 and the Eastern Cooperative Oncology Group Study (ECOG) 1484, compared chemotherapy alone (CHOP) vs chemotherapy with radiotherapy in patients with non-Hodgkin’s Lymphoma [18,19]. The SWOG 8736 study concluded that 3 cycles of chemotherapy followed by involved-field radiotherapy are better than 8 cycles of chemotherapy alone when treating localized intermediate and high-grade non-Hodgkin’s Lymphoma in terms of overall survival (p=0.02) and progression-free survival (p=0.03) [18]. On the other hand, in the ECOG 1484 study, which compared observation vs low dose radiotherapy for patients who achieved complete remission after chemotherapy, no survival benefits were reported between the two groups, but in those who received radiotherapy, a prolonged 6-year disease-free survival (73% for RT group vs 56% for observation group) (p=0.05) and better local control were seen [19].
In the Groupe d’Etudes des Lymphomes d’Adulte (GELA) LNH 93-4 trial, the addition of radiation therapy to 4 cycles of R-CHOP was evaluated in patients with aggressive and localized Non-Hodgkin Lymphoma (ALNHL). The progression free survival was 61% in the R-CHOP arm, compared to 64% in the R-CHOP + RT arm (p=0.56), and the overall survival was 72% vs 68%, respectively (p=0.54) [20].
Additionally, in a prospective, randomized controlled phase 3 trial published in 2011, six hundred and forty patients with aggressive types of non-Hodgkin lymphoma primarily DLBCL as an integral part of combined-modality therapy were randomly assigned to receive radiation doses either of 40-45gy in 20-23 fractions or 30Gy in 15 fractions. The overall response rate was 91% in both groups (p=0.87). No significant difference was detected between the 2 groups in the rate of within-radiation field progression (HR=0.98, 95%CI=0.68-1.4, p=0.89), progression free survival or overall survival. Notably, a trend toward reduced toxicities was detected in the lower dose group, with only the decrease in erythema reaching statistical significance [21].
This case report contributes to the ongoing growing body of literature on the efficacy of radiation therapy in chemo-refractory, localized DLBCL cases.
In our patient, DLBCL did not respond to 6 cycles of R-CHOP chemotherapy, but achieved PET complete response to a definitive dose of radiation therapy without noticeable side effects. This paradigm offers valuable insights into improving the therapeutic index in patients with localized extranodal DLBCL using definitive radiation therapy, while avoiding more cytotoxic regimens with or without stem cell transplantation.
The presented case study has limitations that should be acknowledged. As a single case report, the findings may not be generalized to a broader patient population due to patient and disease variability. The decision to proceed to definitive radiation therapy in patients with chemo-refractory DLBCL needs to be personalized and agreed upon at multidisciplinary meetings by the tumor board.
We presented a case of a localized DLBCL of the pancreas that was refractory to 6 cycles of R- CHOP. The tumor board decision was to defer stem cell transplant and proceed with definitive radiation therapy. A total dose of 36/50 Gy in 25fx was delivered to the patient. No acute, subacute or long-term side effects of radiation were reported by the patient or the treating physician. The patient remains with no evidence of disease almost 3 years since the completion of radiation therapy. In selected cases, definitive radiation therapy in chemo-refractory localized DLBCL is a reasonable alternative to aggressive systemic therapies and/or stem cell transplant.
Clearly Auctoresonline and particularly Psychology and Mental Health Care Journal is dedicated to improving health care services for individuals and populations. The editorial boards' ability to efficiently recognize and share the global importance of health literacy with a variety of stakeholders. Auctoresonline publishing platform can be used to facilitate of optimal client-based services and should be added to health care professionals' repertoire of evidence-based health care resources.
Journal of Clinical Cardiology and Cardiovascular Intervention The submission and review process was adequate. However I think that the publication total value should have been enlightened in early fases. Thank you for all.
Journal of Women Health Care and Issues By the present mail, I want to say thank to you and tour colleagues for facilitating my published article. Specially thank you for the peer review process, support from the editorial office. I appreciate positively the quality of your journal.
Journal of Clinical Research and Reports I would be very delighted to submit my testimonial regarding the reviewer board and the editorial office. The reviewer board were accurate and helpful regarding any modifications for my manuscript. And the editorial office were very helpful and supportive in contacting and monitoring with any update and offering help. It was my pleasure to contribute with your promising Journal and I am looking forward for more collaboration.
We would like to thank the Journal of Thoracic Disease and Cardiothoracic Surgery because of the services they provided us for our articles. The peer-review process was done in a very excellent time manner, and the opinions of the reviewers helped us to improve our manuscript further. The editorial office had an outstanding correspondence with us and guided us in many ways. During a hard time of the pandemic that is affecting every one of us tremendously, the editorial office helped us make everything easier for publishing scientific work. Hope for a more scientific relationship with your Journal.
The peer-review process which consisted high quality queries on the paper. I did answer six reviewers’ questions and comments before the paper was accepted. The support from the editorial office is excellent.
Journal of Neuroscience and Neurological Surgery. I had the experience of publishing a research article recently. The whole process was simple from submission to publication. The reviewers made specific and valuable recommendations and corrections that improved the quality of my publication. I strongly recommend this Journal.
Dr. Katarzyna Byczkowska My testimonial covering: "The peer review process is quick and effective. The support from the editorial office is very professional and friendly. Quality of the Clinical Cardiology and Cardiovascular Interventions is scientific and publishes ground-breaking research on cardiology that is useful for other professionals in the field.
Thank you most sincerely, with regard to the support you have given in relation to the reviewing process and the processing of my article entitled "Large Cell Neuroendocrine Carcinoma of The Prostate Gland: A Review and Update" for publication in your esteemed Journal, Journal of Cancer Research and Cellular Therapeutics". The editorial team has been very supportive.
Testimony of Journal of Clinical Otorhinolaryngology: work with your Reviews has been a educational and constructive experience. The editorial office were very helpful and supportive. It was a pleasure to contribute to your Journal.
Dr. Bernard Terkimbi Utoo, I am happy to publish my scientific work in Journal of Women Health Care and Issues (JWHCI). The manuscript submission was seamless and peer review process was top notch. I was amazed that 4 reviewers worked on the manuscript which made it a highly technical, standard and excellent quality paper. I appreciate the format and consideration for the APC as well as the speed of publication. It is my pleasure to continue with this scientific relationship with the esteem JWHCI.
This is an acknowledgment for peer reviewers, editorial board of Journal of Clinical Research and Reports. They show a lot of consideration for us as publishers for our research article “Evaluation of the different factors associated with side effects of COVID-19 vaccination on medical students, Mutah university, Al-Karak, Jordan”, in a very professional and easy way. This journal is one of outstanding medical journal.
Dear Hao Jiang, to Journal of Nutrition and Food Processing We greatly appreciate the efficient, professional and rapid processing of our paper by your team. If there is anything else we should do, please do not hesitate to let us know. On behalf of my co-authors, we would like to express our great appreciation to editor and reviewers.
As an author who has recently published in the journal "Brain and Neurological Disorders". I am delighted to provide a testimonial on the peer review process, editorial office support, and the overall quality of the journal. The peer review process at Brain and Neurological Disorders is rigorous and meticulous, ensuring that only high-quality, evidence-based research is published. The reviewers are experts in their fields, and their comments and suggestions were constructive and helped improve the quality of my manuscript. The review process was timely and efficient, with clear communication from the editorial office at each stage. The support from the editorial office was exceptional throughout the entire process. The editorial staff was responsive, professional, and always willing to help. They provided valuable guidance on formatting, structure, and ethical considerations, making the submission process seamless. Moreover, they kept me informed about the status of my manuscript and provided timely updates, which made the process less stressful. The journal Brain and Neurological Disorders is of the highest quality, with a strong focus on publishing cutting-edge research in the field of neurology. The articles published in this journal are well-researched, rigorously peer-reviewed, and written by experts in the field. The journal maintains high standards, ensuring that readers are provided with the most up-to-date and reliable information on brain and neurological disorders. In conclusion, I had a wonderful experience publishing in Brain and Neurological Disorders. The peer review process was thorough, the editorial office provided exceptional support, and the journal's quality is second to none. I would highly recommend this journal to any researcher working in the field of neurology and brain disorders.
Dear Agrippa Hilda, Journal of Neuroscience and Neurological Surgery, Editorial Coordinator, I trust this message finds you well. I want to extend my appreciation for considering my article for publication in your esteemed journal. I am pleased to provide a testimonial regarding the peer review process and the support received from your editorial office. The peer review process for my paper was carried out in a highly professional and thorough manner. The feedback and comments provided by the authors were constructive and very useful in improving the quality of the manuscript. This rigorous assessment process undoubtedly contributes to the high standards maintained by your journal.
International Journal of Clinical Case Reports and Reviews. I strongly recommend to consider submitting your work to this high-quality journal. The support and availability of the Editorial staff is outstanding and the review process was both efficient and rigorous.
Thank you very much for publishing my Research Article titled “Comparing Treatment Outcome Of Allergic Rhinitis Patients After Using Fluticasone Nasal Spray And Nasal Douching" in the Journal of Clinical Otorhinolaryngology. As Medical Professionals we are immensely benefited from study of various informative Articles and Papers published in this high quality Journal. I look forward to enriching my knowledge by regular study of the Journal and contribute my future work in the field of ENT through the Journal for use by the medical fraternity. The support from the Editorial office was excellent and very prompt. I also welcome the comments received from the readers of my Research Article.
Dear Erica Kelsey, Editorial Coordinator of Cancer Research and Cellular Therapeutics Our team is very satisfied with the processing of our paper by your journal. That was fast, efficient, rigorous, but without unnecessary complications. We appreciated the very short time between the submission of the paper and its publication on line on your site.
I am very glad to say that the peer review process is very successful and fast and support from the Editorial Office. Therefore, I would like to continue our scientific relationship for a long time. And I especially thank you for your kindly attention towards my article. Have a good day!
"We recently published an article entitled “Influence of beta-Cyclodextrins upon the Degradation of Carbofuran Derivatives under Alkaline Conditions" in the Journal of “Pesticides and Biofertilizers” to show that the cyclodextrins protect the carbamates increasing their half-life time in the presence of basic conditions This will be very helpful to understand carbofuran behaviour in the analytical, agro-environmental and food areas. We greatly appreciated the interaction with the editor and the editorial team; we were particularly well accompanied during the course of the revision process, since all various steps towards publication were short and without delay".
I would like to express my gratitude towards you process of article review and submission. I found this to be very fair and expedient. Your follow up has been excellent. I have many publications in national and international journal and your process has been one of the best so far. Keep up the great work.
We are grateful for this opportunity to provide a glowing recommendation to the Journal of Psychiatry and Psychotherapy. We found that the editorial team were very supportive, helpful, kept us abreast of timelines and over all very professional in nature. The peer review process was rigorous, efficient and constructive that really enhanced our article submission. The experience with this journal remains one of our best ever and we look forward to providing future submissions in the near future.
I am very pleased to serve as EBM of the journal, I hope many years of my experience in stem cells can help the journal from one way or another. As we know, stem cells hold great potential for regenerative medicine, which are mostly used to promote the repair response of diseased, dysfunctional or injured tissue using stem cells or their derivatives. I think Stem Cell Research and Therapeutics International is a great platform to publish and share the understanding towards the biology and translational or clinical application of stem cells.
I would like to give my testimony in the support I have got by the peer review process and to support the editorial office where they were of asset to support young author like me to be encouraged to publish their work in your respected journal and globalize and share knowledge across the globe. I really give my great gratitude to your journal and the peer review including the editorial office.
I am delighted to publish our manuscript entitled "A Perspective on Cocaine Induced Stroke - Its Mechanisms and Management" in the Journal of Neuroscience and Neurological Surgery. The peer review process, support from the editorial office, and quality of the journal are excellent. The manuscripts published are of high quality and of excellent scientific value. I recommend this journal very much to colleagues.
Dr.Tania Muñoz, My experience as researcher and author of a review article in The Journal Clinical Cardiology and Interventions has been very enriching and stimulating. The editorial team is excellent, performs its work with absolute responsibility and delivery. They are proactive, dynamic and receptive to all proposals. Supporting at all times the vast universe of authors who choose them as an option for publication. The team of review specialists, members of the editorial board, are brilliant professionals, with remarkable performance in medical research and scientific methodology. Together they form a frontline team that consolidates the JCCI as a magnificent option for the publication and review of high-level medical articles and broad collective interest. I am honored to be able to share my review article and open to receive all your comments.
“The peer review process of JPMHC is quick and effective. Authors are benefited by good and professional reviewers with huge experience in the field of psychology and mental health. The support from the editorial office is very professional. People to contact to are friendly and happy to help and assist any query authors might have. Quality of the Journal is scientific and publishes ground-breaking research on mental health that is useful for other professionals in the field”.
Dear editorial department: On behalf of our team, I hereby certify the reliability and superiority of the International Journal of Clinical Case Reports and Reviews in the peer review process, editorial support, and journal quality. Firstly, the peer review process of the International Journal of Clinical Case Reports and Reviews is rigorous, fair, transparent, fast, and of high quality. The editorial department invites experts from relevant fields as anonymous reviewers to review all submitted manuscripts. These experts have rich academic backgrounds and experience, and can accurately evaluate the academic quality, originality, and suitability of manuscripts. The editorial department is committed to ensuring the rigor of the peer review process, while also making every effort to ensure a fast review cycle to meet the needs of authors and the academic community. Secondly, the editorial team of the International Journal of Clinical Case Reports and Reviews is composed of a group of senior scholars and professionals with rich experience and professional knowledge in related fields. The editorial department is committed to assisting authors in improving their manuscripts, ensuring their academic accuracy, clarity, and completeness. Editors actively collaborate with authors, providing useful suggestions and feedback to promote the improvement and development of the manuscript. We believe that the support of the editorial department is one of the key factors in ensuring the quality of the journal. Finally, the International Journal of Clinical Case Reports and Reviews is renowned for its high- quality articles and strict academic standards. The editorial department is committed to publishing innovative and academically valuable research results to promote the development and progress of related fields. The International Journal of Clinical Case Reports and Reviews is reasonably priced and ensures excellent service and quality ratio, allowing authors to obtain high-level academic publishing opportunities in an affordable manner. I hereby solemnly declare that the International Journal of Clinical Case Reports and Reviews has a high level of credibility and superiority in terms of peer review process, editorial support, reasonable fees, and journal quality. Sincerely, Rui Tao.
Clinical Cardiology and Cardiovascular Interventions I testity the covering of the peer review process, support from the editorial office, and quality of the journal.
Clinical Cardiology and Cardiovascular Interventions, we deeply appreciate the interest shown in our work and its publication. It has been a true pleasure to collaborate with you. The peer review process, as well as the support provided by the editorial office, have been exceptional, and the quality of the journal is very high, which was a determining factor in our decision to publish with you.
The peer reviewers process is quick and effective, the supports from editorial office is excellent, the quality of journal is high. I would like to collabroate with Internatioanl journal of Clinical Case Reports and Reviews journal clinically in the future time.
Clinical Cardiology and Cardiovascular Interventions, I would like to express my sincerest gratitude for the trust placed in our team for the publication in your journal. It has been a true pleasure to collaborate with you on this project. I am pleased to inform you that both the peer review process and the attention from the editorial coordination have been excellent. Your team has worked with dedication and professionalism to ensure that your publication meets the highest standards of quality. We are confident that this collaboration will result in mutual success, and we are eager to see the fruits of this shared effort.
Dear Dr. Jessica Magne, Editorial Coordinator 0f Clinical Cardiology and Cardiovascular Interventions, I hope this message finds you well. I want to express my utmost gratitude for your excellent work and for the dedication and speed in the publication process of my article titled "Navigating Innovation: Qualitative Insights on Using Technology for Health Education in Acute Coronary Syndrome Patients." I am very satisfied with the peer review process, the support from the editorial office, and the quality of the journal. I hope we can maintain our scientific relationship in the long term.
Dear Monica Gissare, - Editorial Coordinator of Nutrition and Food Processing. ¨My testimony with you is truly professional, with a positive response regarding the follow-up of the article and its review, you took into account my qualities and the importance of the topic¨.
Dear Dr. Jessica Magne, Editorial Coordinator 0f Clinical Cardiology and Cardiovascular Interventions, The review process for the article “The Handling of Anti-aggregants and Anticoagulants in the Oncologic Heart Patient Submitted to Surgery” was extremely rigorous and detailed. From the initial submission to the final acceptance, the editorial team at the “Journal of Clinical Cardiology and Cardiovascular Interventions” demonstrated a high level of professionalism and dedication. The reviewers provided constructive and detailed feedback, which was essential for improving the quality of our work. Communication was always clear and efficient, ensuring that all our questions were promptly addressed. The quality of the “Journal of Clinical Cardiology and Cardiovascular Interventions” is undeniable. It is a peer-reviewed, open-access publication dedicated exclusively to disseminating high-quality research in the field of clinical cardiology and cardiovascular interventions. The journal's impact factor is currently under evaluation, and it is indexed in reputable databases, which further reinforces its credibility and relevance in the scientific field. I highly recommend this journal to researchers looking for a reputable platform to publish their studies.
Dear Editorial Coordinator of the Journal of Nutrition and Food Processing! "I would like to thank the Journal of Nutrition and Food Processing for including and publishing my article. The peer review process was very quick, movement and precise. The Editorial Board has done an extremely conscientious job with much help, valuable comments and advices. I find the journal very valuable from a professional point of view, thank you very much for allowing me to be part of it and I would like to participate in the future!”
Dealing with The Journal of Neurology and Neurological Surgery was very smooth and comprehensive. The office staff took time to address my needs and the response from editors and the office was prompt and fair. I certainly hope to publish with this journal again.Their professionalism is apparent and more than satisfactory. Susan Weiner
My Testimonial Covering as fellowing: Lin-Show Chin. The peer reviewers process is quick and effective, the supports from editorial office is excellent, the quality of journal is high. I would like to collabroate with Internatioanl journal of Clinical Case Reports and Reviews.
My experience publishing in Psychology and Mental Health Care was exceptional. The peer review process was rigorous and constructive, with reviewers providing valuable insights that helped enhance the quality of our work. The editorial team was highly supportive and responsive, making the submission process smooth and efficient. The journal's commitment to high standards and academic rigor makes it a respected platform for quality research. I am grateful for the opportunity to publish in such a reputable journal.
My experience publishing in International Journal of Clinical Case Reports and Reviews was exceptional. I Come forth to Provide a Testimonial Covering the Peer Review Process and the editorial office for the Professional and Impartial Evaluation of the Manuscript.
I would like to offer my testimony in the support. I have received through the peer review process and support the editorial office where they are to support young authors like me, encourage them to publish their work in your esteemed journals, and globalize and share knowledge globally. I really appreciate your journal, peer review, and editorial office.
Dear Agrippa Hilda- Editorial Coordinator of Journal of Neuroscience and Neurological Surgery, "The peer review process was very quick and of high quality, which can also be seen in the articles in the journal. The collaboration with the editorial office was very good."
I would like to express my sincere gratitude for the support and efficiency provided by the editorial office throughout the publication process of my article, “Delayed Vulvar Metastases from Rectal Carcinoma: A Case Report.” I greatly appreciate the assistance and guidance I received from your team, which made the entire process smooth and efficient. The peer review process was thorough and constructive, contributing to the overall quality of the final article. I am very grateful for the high level of professionalism and commitment shown by the editorial staff, and I look forward to maintaining a long-term collaboration with the International Journal of Clinical Case Reports and Reviews.
To Dear Erin Aust, I would like to express my heartfelt appreciation for the opportunity to have my work published in this esteemed journal. The entire publication process was smooth and well-organized, and I am extremely satisfied with the final result. The Editorial Team demonstrated the utmost professionalism, providing prompt and insightful feedback throughout the review process. Their clear communication and constructive suggestions were invaluable in enhancing my manuscript, and their meticulous attention to detail and dedication to quality are truly commendable. Additionally, the support from the Editorial Office was exceptional. From the initial submission to the final publication, I was guided through every step of the process with great care and professionalism. The team's responsiveness and assistance made the entire experience both easy and stress-free. I am also deeply impressed by the quality and reputation of the journal. It is an honor to have my research featured in such a respected publication, and I am confident that it will make a meaningful contribution to the field.
"I am grateful for the opportunity of contributing to [International Journal of Clinical Case Reports and Reviews] and for the rigorous review process that enhances the quality of research published in your esteemed journal. I sincerely appreciate the time and effort of your team who have dedicatedly helped me in improvising changes and modifying my manuscript. The insightful comments and constructive feedback provided have been invaluable in refining and strengthening my work".
I thank the ‘Journal of Clinical Research and Reports’ for accepting this article for publication. This is a rigorously peer reviewed journal which is on all major global scientific data bases. I note the review process was prompt, thorough and professionally critical. It gave us an insight into a number of important scientific/statistical issues. The review prompted us to review the relevant literature again and look at the limitations of the study. The peer reviewers were open, clear in the instructions and the editorial team was very prompt in their communication. This journal certainly publishes quality research articles. I would recommend the journal for any future publications.
Dear Jessica Magne, with gratitude for the joint work. Fast process of receiving and processing the submitted scientific materials in “Clinical Cardiology and Cardiovascular Interventions”. High level of competence of the editors with clear and correct recommendations and ideas for enriching the article.
We found the peer review process quick and positive in its input. The support from the editorial officer has been very agile, always with the intention of improving the article and taking into account our subsequent corrections.
My article, titled 'No Way Out of the Smartphone Epidemic Without Considering the Insights of Brain Research,' has been republished in the International Journal of Clinical Case Reports and Reviews. The review process was seamless and professional, with the editors being both friendly and supportive. I am deeply grateful for their efforts.
To Dear Erin Aust – Editorial Coordinator of Journal of General Medicine and Clinical Practice! I declare that I am absolutely satisfied with your work carried out with great competence in following the manuscript during the various stages from its receipt, during the revision process to the final acceptance for publication. Thank Prof. Elvira Farina
Dear Jessica, and the super professional team of the ‘Clinical Cardiology and Cardiovascular Interventions’ I am sincerely grateful to the coordinated work of the journal team for the no problem with the submission of my manuscript: “Cardiometabolic Disorders in A Pregnant Woman with Severe Preeclampsia on the Background of Morbid Obesity (Case Report).” The review process by 5 experts was fast, and the comments were professional, which made it more specific and academic, and the process of publication and presentation of the article was excellent. I recommend that my colleagues publish articles in this journal, and I am interested in further scientific cooperation. Sincerely and best wishes, Dr. Oleg Golyanovskiy.
Dear Ashley Rosa, Editorial Coordinator of the journal - Psychology and Mental Health Care. " The process of obtaining publication of my article in the Psychology and Mental Health Journal was positive in all areas. The peer review process resulted in a number of valuable comments, the editorial process was collaborative and timely, and the quality of this journal has been quickly noticed, resulting in alternative journals contacting me to publish with them." Warm regards, Susan Anne Smith, PhD. Australian Breastfeeding Association.
Dear Jessica Magne, Editorial Coordinator, Clinical Cardiology and Cardiovascular Interventions, Auctores Publishing LLC. I appreciate the journal (JCCI) editorial office support, the entire team leads were always ready to help, not only on technical front but also on thorough process. Also, I should thank dear reviewers’ attention to detail and creative approach to teach me and bring new insights by their comments. Surely, more discussions and introduction of other hemodynamic devices would provide better prevention and management of shock states. Your efforts and dedication in presenting educational materials in this journal are commendable. Best wishes from, Farahnaz Fallahian.
Dear Maria Emerson, Editorial Coordinator, International Journal of Clinical Case Reports and Reviews, Auctores Publishing LLC. I am delighted to have published our manuscript, "Acute Colonic Pseudo-Obstruction (ACPO): A rare but serious complication following caesarean section." I want to thank the editorial team, especially Maria Emerson, for their prompt review of the manuscript, quick responses to queries, and overall support. Yours sincerely Dr. Victor Olagundoye.
Dear Ashley Rosa, Editorial Coordinator, International Journal of Clinical Case Reports and Reviews. Many thanks for publishing this manuscript after I lost confidence the editors were most helpful, more than other journals Best wishes from, Susan Anne Smith, PhD. Australian Breastfeeding Association.
Dear Agrippa Hilda, Editorial Coordinator, Journal of Neuroscience and Neurological Surgery. The entire process including article submission, review, revision, and publication was extremely easy. The journal editor was prompt and helpful, and the reviewers contributed to the quality of the paper. Thank you so much! Eric Nussbaum, MD
Dr Hala Al Shaikh This is to acknowledge that the peer review process for the article ’ A Novel Gnrh1 Gene Mutation in Four Omani Male Siblings, Presentation and Management ’ sent to the International Journal of Clinical Case Reports and Reviews was quick and smooth. The editorial office was prompt with easy communication.
Dear Erin Aust, Editorial Coordinator, Journal of General Medicine and Clinical Practice. We are pleased to share our experience with the “Journal of General Medicine and Clinical Practice”, following the successful publication of our article. The peer review process was thorough and constructive, helping to improve the clarity and quality of the manuscript. We are especially thankful to Ms. Erin Aust, the Editorial Coordinator, for her prompt communication and continuous support throughout the process. Her professionalism ensured a smooth and efficient publication experience. The journal upholds high editorial standards, and we highly recommend it to fellow researchers seeking a credible platform for their work. Best wishes By, Dr. Rakhi Mishra.
Dear Jessica Magne, Editorial Coordinator, Clinical Cardiology and Cardiovascular Interventions, Auctores Publishing LLC. The peer review process of the journal of Clinical Cardiology and Cardiovascular Interventions was excellent and fast, as was the support of the editorial office and the quality of the journal. Kind regards Walter F. Riesen Prof. Dr. Dr. h.c. Walter F. Riesen.
Dear Ashley Rosa, Editorial Coordinator, International Journal of Clinical Case Reports and Reviews, Auctores Publishing LLC. Thank you for publishing our article, Exploring Clozapine's Efficacy in Managing Aggression: A Multiple Single-Case Study in Forensic Psychiatry in the international journal of clinical case reports and reviews. We found the peer review process very professional and efficient. The comments were constructive, and the whole process was efficient. On behalf of the co-authors, I would like to thank you for publishing this article. With regards, Dr. Jelle R. Lettinga.
Dear Clarissa Eric, Editorial Coordinator, Journal of Clinical Case Reports and Studies, I would like to express my deep admiration for the exceptional professionalism demonstrated by your journal. I am thoroughly impressed by the speed of the editorial process, the substantive and insightful reviews, and the meticulous preparation of the manuscript for publication. Additionally, I greatly appreciate the courteous and immediate responses from your editorial office to all my inquiries. Best Regards, Dariusz Ziora
Dear Chrystine Mejia, Editorial Coordinator, Journal of Neurodegeneration and Neurorehabilitation, Auctores Publishing LLC, We would like to thank the editorial team for the smooth and high-quality communication leading up to the publication of our article in the Journal of Neurodegeneration and Neurorehabilitation. The reviewers have extensive knowledge in the field, and their relevant questions helped to add value to our publication. Kind regards, Dr. Ravi Shrivastava.
Dear Clarissa Eric, Editorial Coordinator, Journal of Clinical Case Reports and Studies, Auctores Publishing LLC, USA Office: +1-(302)-520-2644. I would like to express my sincere appreciation for the efficient and professional handling of my case report by the ‘Journal of Clinical Case Reports and Studies’. The peer review process was not only fast but also highly constructive—the reviewers’ comments were clear, relevant, and greatly helped me improve the quality and clarity of my manuscript. I also received excellent support from the editorial office throughout the process. Communication was smooth and timely, and I felt well guided at every stage, from submission to publication. The overall quality and rigor of the journal are truly commendable. I am pleased to have published my work with Journal of Clinical Case Reports and Studies, and I look forward to future opportunities for collaboration. Sincerely, Aline Tollet, UCLouvain.
Dear Ms. Mayra Duenas, Editorial Coordinator, International Journal of Clinical Case Reports and Reviews. “The International Journal of Clinical Case Reports and Reviews represented the “ideal house” to share with the research community a first experience with the use of the Simeox device for speech rehabilitation. High scientific reputation and attractive website communication were first determinants for the selection of this Journal, and the following submission process exceeded expectations: fast but highly professional peer review, great support by the editorial office, elegant graphic layout. Exactly what a dynamic research team - also composed by allied professionals - needs!" From, Chiara Beccaluva, PT - Italy.
Dear Maria Emerson, Editorial Coordinator, we have deeply appreciated the professionalism demonstrated by the International Journal of Clinical Case Reports and Reviews. The reviewers have extensive knowledge of our field and have been very efficient and fast in supporting the process. I am really looking forward to further collaboration. Thanks. Best regards, Dr. Claudio Ligresti
Dear Chrystine Mejia, Editorial Coordinator, Journal of Neurodegeneration and Neurorehabilitation. “The peer review process was efficient and constructive, and the editorial office provided excellent communication and support throughout. The journal ensures scientific rigor and high editorial standards, while also offering a smooth and timely publication process. We sincerely appreciate the work of the editorial team in facilitating the dissemination of innovative approaches such as the Bonori Method.” Best regards, Dr. Matteo Bonori.
I recommend without hesitation submitting relevant papers on medical decision making to the International Journal of Clinical Case Reports and Reviews. I am very grateful to the editorial staff. Maria Emerson was a pleasure to communicate with. The time from submission to publication was an extremely short 3 weeks. The editorial staff submitted the paper to three reviewers. Two of the reviewers commented positively on the value of publishing the paper. The editorial staff quickly recognized the third reviewer’s comments as an unjust attempt to reject the paper. I revised the paper as recommended by the first two reviewers.
Dear Maria Emerson, Editorial Coordinator, Journal of Clinical Research and Reports. Thank you for publishing our case report: "Clinical Case of Effective Fetal Stem Cells Treatment in a Patient with Autism Spectrum Disorder" within the "Journal of Clinical Research and Reports" being submitted by the team of EmCell doctors from Kyiv, Ukraine. We much appreciate a professional and transparent peer-review process from Auctores. All research Doctors are so grateful to your Editorial Office and Auctores Publishing support! I amiably wish our article publication maintained a top quality of your International Scientific Journal. My best wishes for a prosperity of the Journal of Clinical Research and Reports. Hope our scientific relationship and cooperation will remain long lasting. Thank you very much indeed. Kind regards, Dr. Andriy Sinelnyk Cell Therapy Center EmCell
Dear Editorial Team, Clinical Cardiology and Cardiovascular Interventions. It was truly a rewarding experience to work with the journal “Clinical Cardiology and Cardiovascular Interventions”. The peer review process was insightful and encouraging, helping us refine our work to a higher standard. The editorial office offered exceptional support with prompt and thoughtful communication. I highly value the journal’s role in promoting scientific advancement and am honored to be part of it. Best regards, Meng-Jou Lee, MD, Department of Anesthesiology, National Taiwan University Hospital.
Dear Editorial Team, Journal-Clinical Cardiology and Cardiovascular Interventions, “Publishing my article with Clinical Cardiology and Cardiovascular Interventions has been a highly positive experience. The peer-review process was rigorous yet supportive, offering valuable feedback that strengthened my work. The editorial team demonstrated exceptional professionalism, prompt communication, and a genuine commitment to maintaining the highest scientific standards. I am very pleased with the publication quality and proud to be associated with such a reputable journal.” Warm regards, Dr. Mahmoud Kamal Moustafa Ahmed
Dear Maria Emerson, Editorial Coordinator of ‘International Journal of Clinical Case Reports and Reviews’, I appreciate the opportunity to publish my article with your journal. The editorial office provided clear communication during the submission and review process, and I found the overall experience professional and constructive. Best regards, Elena Salvatore.
Dear Mayra Duenas, Editorial Coordinator of ‘International Journal of Clinical Case Reports and Reviews Herewith I confirm an optimal peer review process and a great support of the editorial office of the present journal
Dear Editorial Team, Clinical Cardiology and Cardiovascular Interventions. I am really grateful for the peers review; their feedback gave me the opportunity to reflect on the message and impact of my work and to ameliorate the article. The editors did a great job in addition by encouraging me to continue with the process of publishing.
Dear Cecilia Lilly, Editorial Coordinator, Endocrinology and Disorders, Thank you so much for your quick response regarding reviewing and all process till publishing our manuscript entitled: Prevalence of Pre-Diabetes and its Associated Risk Factors Among Nile College Students, Sudan. Best regards, Dr Mamoun Magzoub.
International Journal of Clinical Case Reports and Reviews is a high quality journal that has a clear and concise submission process. The peer review process was comprehensive and constructive. Support from the editorial office was excellent, since the administrative staff were responsive. The journal provides a fast and timely publication timeline.
Dear Mayra Duenas, Editorial Coordinator of the journal IJCCR, I write here a little on my experience as an author submitting to the International Journal of Clinical Case Reports and Reviews (IJCCR). This was my first submission to IJCCR and my manuscript was inherently an outsider’s effort. It attempted to broadly identify and then make some sense of life’s under-appreciated mysteries. I initially had responded to a request for possible submissions. I then contacted IJCCR with a tentative topic for a manuscript. They quickly got back with an approval for the submission, but with a particular requirement that it be medically relevant. I then put together a manuscript and submitted it. After the usual back-and-forth over forms and formality, the manuscript was sent off for reviews. Within 2 weeks I got back 4 reviews which were both helpful and also surprising. Surprising in that the topic was somewhat foreign to medical literature. My subsequent updates in response to the reviewer comments went smoothly and in short order I had a series of proofs to evaluate. All in all, the whole publication process seemed outstanding. It was both helpful in terms of the paper’s content and also in terms of its efficient and friendly communications. Thank you all very much. Sincerely, Ted Christopher, Rochester, NY.
Dear Grace Pierce, Editorial Coordinator of the journal IJCCR, I had a very positive experience with Auctores - Journal throughout the publication process. The Editorial Team was highly responsive, professional, and supportive at every stage. I would like to extend my sincere thanks to the Editor: Grace Pierce, for her guidance and assistance. The peer-review process was smooth and constructive, helping improve the quality of my work. I would gladly recommend Auctores Journal to fellow researchers and authors. Dr. SABITA SINHA, Medical Oncologist, MD (Electro Homeopathy).
Dear Maria Emerson, Editorial Coordinator of - Journal of Clinical Research and Reports. ''I am pleased to provide this testimonial following the publication of our recent case report in this journal. The peer review process was rigorous, constructive, thorough, and conducted in a timely manner. The reviewers’ comments were thoughtful, detailed, and highly constructive, contributing substantially to the refinement, clarity, and scientific robustness of our manuscript. The process was conducted with professionalism and academic integrity throughout. The support provided by the editorial office was exemplary. Communication was consistently prompt, clear, and courteous at all stages of the submission and publication process. The editorial team demonstrated a high level of organization and responsiveness, ensuring that all queries were addressed efficiently and that the process remained transparent and well-coordinated. The overall quality of the journal is reflected in its strong editorial standards, commitment to scientific excellence, and dedication to publishing clinically meaningful research. It has been a privilege to publish our work in this journal, and we would welcome the opportunity to contribute further in the future.'' Best wishes from, Dr. Efstratios Trogkanis, Cardiologist.
Dear Reader: We have published several articles in the Auctores Publishing, LLC, journal, Clinical Medical Reviews and Reports in recent years (CMRR). This is an ‘open access’ journal and the following are our observations. From the initial invitation to submit an article, to the final edits of galley proofs, we have found CMRR personnel to be professional, responsive, rapid and thorough. This entire process begins with Catherine Mitchell, Editorial Coordinator. She is simply outstanding, and, I believe, unparalleled in her capacity. I cannot imagine a more responsive and dedicated Editorial Coordinator. As I read the dates and timing of her correspondence with us, it seems that she never sleeps. I hope Auctores Publishing, LLC, appreciates her efforts as much as these authors do. Thank you to Auctores Publishing, LLC, to the Editorial Staff/Board, and to Catherine Mitchell from a grateful author(s).
Dear Maria Emerson, Editorial Coordinator of International Journal of Clinical Case Reports and Reviews, What distinguishes International Journal of Clinical Case Report and Review is not only the scientific rigor of its publications, but the intellectual climate in which research is evaluated. The submission process is refreshingly free of unnecessary formal barriers and bureaucratic rituals that often complicate academic publishing without adding real value. The peer-review system is demanding yet constructive, guided by genuine scientific dialogue rather than hierarchical or authoritarian attitudes. Reviewers act as collaborators in improving the manuscript, not as gatekeepers imposing arbitrary standards. This journal offers a rare balance: high methodological standards combined with a respectful, transparent, and supportive editorial approach. In an era where publishing can feel more burdensome than research itself, this platform restores the original purpose of peer review — to refine ideas, not to obstruct them Prof. Perlat Kapisyzi, FCCP PULMONOLOGIST AND THORACIC IMAGING.