AUCTORES
Globalize your Research
Research Article | DOI: https://doi.org/10.31579/2690-8808/305
Department of Oral and Maxillofacial Surgery, Anandaban tertiary Hospital, Head of Department, Position-Level 11th, Nepal.
*Corresponding Author: Bikash Desar, Department of Oral and Maxillofacial Surgery, Anandaban tertiary Hospital, Head of Department, Position-Level 11th, Nepal.
Citation: Bikash Desar, Rajani Shakya, (2026), Management of Condylar Fractures; Open Reduction Versus Conservative Management, J, Clinical Case Reports and Studies, 7(3); DOI:10.31579/2690-8808/305
Copyright: Bikash Desar, Rajani Shakya, (2026), Management of Condylar Fractures; Open Reduction Versus Conservative Management, J, Clinical Case Reports and Studies, 7(3); DOI:10.31579/2690-8808/305
Received: 28 January 2026 | Accepted: 05 February 2026 | Published: 16 February 2026
Keywords: deviation; height of ramus; moderately displaced condylar fractures; nonsurgical/conservative management; subcondylar and condylar neck fractures; surgical management; symmetry
Background and Objectives:
There are indications and contraindications for the treatment of condylar fractures. Most of the time fractures are managed my closed reduction depending on the nature of fracture pattern and open reductions are done during absolute indications. Open reduction international fixation and closed deductions have there own advantages and disadvantages. This study was done with the aim of comparing the outcomes of open reduction international fixation versus closed reduction by inter- maxillary fixation.
Materials and Methods:
The present study included a total of 20 patients with moderately displaced condylar fractures in patients > 18 years of age who were randomly divided into nonsurgical and surgical group and were managed accordingly. In the present study, the outcomes of conservative versus surgical management of subcondylar and condylar neck fractures were discussed in terms of seven parameters, including the maximal interincisal mouth opening, protrusive and lateral excursive movements of the mandible, status of occlusion, deviation of mandible during mouth opening, pain (in terms of visual analog scale) and the height of ascending ramus (radiographically) which were measured and evaluated pre- and post-operatively at different intervals of time. The follow-up was done for a period of up to 6 weeks postoperatively.
Statistical Analysis Used:
Descriptive and analytical statistics were calculated using the Statistical Package for Social Sciences version 19. The Mann–Whitney U-test was used to assess the significance of the difference between the groups, whereas the Wilcoxon signed-rank test was used to assess the significance of the difference between the paired observations in each group.
Results:
Patients treated surgically showed better improvement in maximal interincisal mouth opening, lateral excursions with minimal deviation, early relief from pain, and restoration of height of the ramus with symmetry in comparison with the patients managed conservatively where prolonged periods of pain apart from obvious deviation and minimal restoration of height of the ramus was observed over a follow-up period of 6 weeks postoperatively. The results were also found to be statistically significant with the value of P < 0.05.
Interpretation and Conclusion:
Surgery is inarguably preferred over conservative management of moderately displaced condylar fractures as per the results of the present study. The present study provided valuable information and mandated further studies with larger sample sizes to come to definitive conclusions.
Mandibular condylar fractures are the most common that account for nearly 20%–62% of all the mandibular fractures.[1] The main causes of condylar fractures include road traffic accidents (approximately 50%), falls (30%), and interpersonal violence (20%).[2] The commonly accepted and generally agreed upon aim of treatment is the restoration of the pretraumatic function of the masticatory system. This restoration usually involves the re-establishment of the pretraumatic relationship of the fractured segments, the occlusion and the maxillofacial symmetry. Condylar fractures can be treated with one of two methods including conservative (closed reduction + immobilization) and/or surgical (open reduction + internal fixation) methods. Both these modalities of treatment have their indications and contraindications and merits and demerits.[3] In 1983, Zide and Kent proposed both the absolute and relative indications for open reduction of the condyle. A gradual transition can be observed in the absolute, relative, and possible indications of Zide and Kent. Several studies have shown favorable clinical results with conservative treatment of condylar fractures. However, numerous studies have also shown signs of dysfunction with conservative treatment. Open reduction and internal fixation (ORIF) of the condylar fractures have been recommended in selected cases and various indications have been proposed for the same.[1] Earlier, the majority of maxillofacial surgeons seemed to favor conservative treatment of condylar fractures. This preference was largely dependent on the result of three main factors leading to “satisfactory” results in a majority of cases. There are no large series of cases reported in the literature that have been reviewed and followed up after surgical treatment because the management of condylar fractures has historically been with nonsurgical means. The surgery of condylar fractures is difficult and risky because of the inherent anatomical hazards, including the possibility of damage to the facial nerve.[4] Conservative technique (nonsurgical) maintains normal occlusion with less morbidity producing satisfactory results because of the immediate or early mobilization of the jaws and maintaining occlusion with the help of the arch bars and elastics. Functional recovery is achieved in the earlier stages and union always occurs with less complications. However, the nonsurgical technique is frequently associated with poor long-term function, i.e., reduced mouth opening, malocclusion, and deviation on opening.[4] Conservative reduction, on the other hand, has its own disadvantages and can prove to be uncomfortable for the patient along with a compromised airway, poor oral hygiene, speech difficulties, impaired nutritional intake with weight loss, and disuse atrophy of the masticatory muscles.[3] In recent years, open treatment of condylar fractures has become more common mostly because of the better understanding of anatomy along with the advent of newer instruments and techniques. Open reduction and rigid internal fixation of condylar fractures ideally give the condylar process its pretraumatic position or close to the position restoring skeletal continuity re-establishing the normal mandibular position and bringing the teeth into a proper occlusal relationship. Regardless of any type of the treatment modality used, the teeth in occlusion seem to be the most important goal along with early functional recovery.[3] As per the literature, condylar fractures with >35°–45° of displacement in the coronal or sagittal plane with/without shortening of the height of ramus >5 mm are to be considered for the surgical approach of the treatment.[5,6,7] There still has been no clear criteria for which modality of treatment, open or closed, should be followed for condylar fractures. Hence, the present study was designed with the purpose of comparing the outcomes of surgical versus conservative management of moderately displaced subcondylar and condylar neck fractures.
The present prospective cohort study was carried out on 20 patients with condylar fractures selected from the Outpatient Department over a period of 2½ years starting from May 2013 undergoing extraction of maxillary or mandibular teeth simultaneously to conduct a split-mouth study. The research protocol was approved by the Institutional Ethics Committee governing the use of human participants in clinical experimentation.
Inclusion criteria
1. Age of the patients: >18 years
2. Condylar fractures with or without associated mandibular body and ramus fractures
3. Location of the fracture line in the condylar neck or the subcondylar level
4. 10°–45° of displacement of the condylar fragment in the frontal or sagittal plane: and/or
5. Shortening of the height of the ascending ramus of the mandible ≥2 mm.
Exclusion criteria
1. Condylar head fractures;
2. Insufficient dentition to restore normal occlusion;
3. Patients not fit to undergo surgical procedure under general anesthesia;
4. Any associated mid-face fractures; and
5. Patients with a history of temporomandibular joint (TMJ) dysfunction.
Patients were asked to sign a written informed consent form which explained the procedure and also any complications that might have resulted as a result of the surgery or intermaxillary fixation (IMF) procedure done for all the patients allotted for surgical and conservative management. A detailed case history, including the past exposure to anesthetics, sedatives, and previous surgical procedures, if any, and/or hospital admission were recorded. General physical examination, routine hematological investigations, and HIV and Hepatitis B surface antigen testing were done for all the patients. In addition, a chest X-ray and electrocardiogram evaluation was performed for all the patients allotted for surgical management. Any additional investigations, when required, as per the systemic condition of the patients was carried out. Preoperative photographs and relevant radiographs, including the orthopantomographs (OPGs) and computed tomography (CT) scans were taken for all the patients. For the patients who were treated by open reduction, surgery was performed under general anesthesia with endotracheal intubation in a standardized manner. Clinical and radiological parameters were evaluated during the follow-up visits:
1. Maximal interincisal mouth opening
2. Protrusive and lateral excursive movements of the mandible
3. Occlusal discrepancy as revealed by the improper intercuspation of the 1st molars on either side of the jaws
4. Pain
5. Deviation during opening and
6. The height of the ascending ramus of the mandible.
Parameters of maximal interincisal mouth opening and protrusive movements were measured from the incisal edges of the upper and lower anterior teeth while lateral movements and deviation of the mandible on mouth opening were assessed and measured with reference to the dental midline using a metallic scale. All the above parameters were assessed preoperatively and at an interval of day 3 and weeks 1, 2, 4, and 6 postoperatively for the surgical group. For the conservative group, parameters were assessed and measured preoperatively with follow-up at an interval of 2, 4, and 6 weeks postoperatively. The pain was measured using the visual analog scale (VAS) [Figure 1] based on the patient perception of pain preoperatively and at an interval of day 1, day 3, and weeks 1, 2, 4, and 6 postoperatively for both surgical and conservative groups. The height of the ascending ramus was measured on the OPG from the superior-most point of condyle to the inferior-most point of the angle of the mandible on the affected side radiographically using the ADOBE Photoshop software preoperatively and at an interval of day 3 and 6 weeks postoperatively for both surgical and conservative groups. In addition, the degree of displacement of the condyle was assessed and measured using cone-beam CT for every case to be selected for the study.

Figure 1: Visual analog scale for pain assessment
Closed reduction
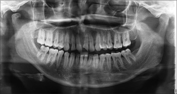
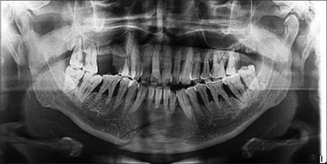
For all the patients who were considered for the said method, arch bar splinting of the maxilla and mandible and intermaxillary fixation was done with teeth in occlusion with the help of guiding elastics. Patients were systematically followed up at an interval of day 1, day 3, and weeks 1, 2, 4, and 6 postoperatively [Figures 2-7].

Figure 2: Preoperative orthopantomography

Figure 3: Measurement of the height of ramus using orthopantomograph with Adobe Photoshop software

Figure 4: Preoperative mouth opening

Figure 5: Measurement of degree of displacement of condyle using cone-beam computed tomography

Figure 6: Postoperative orthopantomograph

Figure 7: Postoperative mouth opening with deviation
Open reduction
For all the patients who were considered for surgical intervention, the retromandibular approach was chosen. Condylar fracture reduction was done with the teeth in occlusion, and fixation was done with the use of suitable titanium miniplates and screws. Patients were systematically followed up similarly at an interval of day 1, day 3, and weeks 1, 2, 4, and 6 postoperatively [Figures 8-14].

Figure 8: Preoperative orthopantomography

Figure 9: Preoperative mouth opening

Figure 10: Intra-operative incision marking

Figure 11: Closure with vicryl 3–0

Figure 12: Postoperative measurement of mouth opening with deviation

Figure 13: Postoperative measurement of lateral movement and deviation

Figure 14: Postoperative healing.
Descriptive and analytical statistics were calculated using Statistical Package for Social Sciences (SPSS) version 19 (SPSS Inc., Chicago, IL, USA). The Mann–Whitney U-test was used to assess the significance of the difference between the groups, whereas the Wilcoxon signed-rank test was used to assess the significance of the difference between the paired observations in each group.
The present study included 20 patients with condylar fractures, of which 10 patients were managed conservatively and 10 patients were managed with a surgical procedure. Of these 20 patients, 80% (16) were male and 20% (04) were female with the mean age of 33 years and all were >18 years of age. In the present study, preoperatively, maximal interincisal opening recorded was 9.60 mm and6.10 mm in the nonsurgical and surgical groups, respectively. By the 2nd, 4th, and 6th week, the mean of increase in the maximal interincisal opening was 6.80 mm, 9.90 mm, and 12.50 mm in the nonsurgical group, whereas in the surgical group, it was found to be 15 mm, 18.60 mm, and 20.90 mm, respectively [Graph 1]. In conservative management patients, another advantage seen was the immediate anatomic restoration of the height of the ramus along with symmetry. Protrusive and lateral excursive movements were also compared in the two groups. For protrusive movements, the mean increase of movement by the 2nd, 4th, and 6th week were 0.40 mm, 2.60 mm, and 3 mm in the nonsurgical group and 1.60 mm, 2.20 mm, and 2.60 mm in the surgical group, respectively [Graph 2]. The mean increase in lateral excursive movement by the 2nd, 4th, and 6th week were 0.90 mm, 4.60 mm, and 5.30 mm in the nonsurgical group, whereas in the surgical group, these values came out to be 2.80 mm, 6.60 mm, and 8.90 mm, respectively [Graph 3] showing an early and certain benefit of surgery over conservative management on restoration of the functional lateral movements by the end of 6 weeks. It was, however, difficult to assess the protrusive and lateral excursive movements in the IMF group at the 2nd and 4th week postoperatively. In the nonsurgical group, preoperatively, six cases had deranged occlusion, of which two came to normal in 2 weeks’ time, while three were satisfactory. By the end of 6 weeks, all 10 cases attained normal occlusion. In the surgical group, seven cases had deranged occlusion by the 2nd week, however, all seven cases attained normal occlusion and by the end of 6 weeks, all 10 cases had normal occlusion [Graph 4] indicating normal occlusion achieved in 2 weeks by the surgical repositioning of the condyles. In the present study, the deviation of the mandible during mouth opening was assessed and measured pre- as well as post-operatively by 2nd, 4th, and 6th week for surgical and the conservative groups. Preoperatively, the mean deviation of mandible was 1.20 mm and 1.50 mm for the nonsurgical and surgical groups, respectively. By the 2nd week, the mean value of deviation became 1.10 mm and 0.10 mm for the two groups, respectively [Graph 5] and the results seen were found to be statistically significant (P = 0.0173). The present study assessed the pain perception of the patients as per VAS pre- and post-operatively at day 1 and day 3 and weeks 1, 2, 4, and 6, respectively for the surgical and conservative treatment groups who were treated for condylar fractures, and comparison was done between the groups. Preoperatively, the mean of pain (VAS score) for the nonsurgical group came out to be 5.60, while for the surgical group, it was found to be 4.10. Pain perception of patients in the nonsurgical and surgical treatment groups was comparable postoperatively at day 1 and weeks 2, 4, and 6, respectively, and hence, the results were found to be statistically insignificant. However, postoperatively at day 3 and week 1, the mean of pain (VAS score) for conservative treatment group was found to be 5.70 and 3.60, respectively, whereas for the surgical treatment group, was 2.70 and 0.90, respectively, [Graph 6] which was statistically significant with P = 0.0082 and 0.0376, respectively. In the present study, the height of the ascending ramus (radiographically) was measured on the fractured condyle side preoperatively and postoperatively at day 3rd and 6th week for both the conservative and surgical treatment groups and restoration of the height was assessed postoperatively at different time intervals. For conservatively managed patients, the mean of the restoration of the height of ascending ramus by day 3 was 0 mm, whereas for the sample of patients managed surgically, it was found to be 2.40 mm [Graph 7] with statistically significant results (P = 0.0002).

Graph 1: Open in a new tab
Comparison of two groups (nonsurgical and surgical) with maximal interincisal mouth opening (in mm) at different time points

Graph 2: Open in a new tab
Comparison of two groups (nonsurgical and surgical) with protrusive movement (in mm) at different time points

Graph 3: Open in a new tab
Comparison of two groups (nonsurgical and surgical) with lateral movement (in mm) at different time points

Graph 4: Open in a new tab
Comparison of two groups (nonsurgical and surgical) with status of occlusion at different time points

Graph 5: Open in a new tab
Comparison of two groups (nonsurgical and surgical) with deviation (in mm) at different time points

Graph 6: Open in a new tab
Comparison of two groups (nonsurgical and surgical) with visual analog scale scores at different time points

Graph 7: Open in a new tab
Comparison of two groups (nonsurgical and surgical) with the height of the ascending ramus (mm) at different time points
Condylar fractures are the most common injuries that are seen with the mandible accounting for approximately 20%–62% of all the mandibular fractures. The choice of surgical versus nonsurgical treatment of the fractures of the condylar process remains controversial. In the past, the risk of wound infection in the preantibiotic era, the proximity of nerves and vessels, and the absence of sophisticated osteosynthesis materials were the reasons to opt for the conservative management of condylar fractures, however, with the advent of better anesthetic procedures and the introduction of antibiotics and better instruments and techniques, surgery with repositioning has increasingly been performed. Teeth in occlusion with proper function seem to be the most important goal in the treatment of any mandibular fracture.[5] In the present scenario, for dislocated fractures, open approaches are considered as the treatment of choice in many centers. The development of stable osteosynthesis modalities with mini-plates (Pape et al., 1980), lag screws (Wackerbauer, 1962; Petzel, 1980; Eckelt and Gerber, 1981; Krenkel, 1992), and the further development of the surgical approaches have made the operative treatment safer and have the functional advantage of earlier mobilization of the traumatized tissues, though, for moderately displaced condylar fractures, open treatment is still considered an option.[8] Several authors have supported surgical management of the condylar fractures in view of the excellent postoperative mouth opening and protrusive and lateral excursive movements (Baker, 1998). Surgical procedures in the condylar region have become simpler owing to a better understanding of the anatomy and the advances in the instrumentation. However, several authors are of the opinion that conservative management offers good results as it obviates the need for difficult surgical access to the TMJ, repositioning of the fractured condyle and avoiding injury to the facial nerve.[9] In the present study, the outcomes of conservative and surgical management for mandibular condyle fractures were discussed in terms of seven parameters, including the maximal interincisal mouth opening, protrusive and lateral excursive movements of the mandible, status of occlusion, deviation of mandible during mouth opening, pain (in terms of VAS), and height of ascending ramus (radiographically) which were measured and evaluated pre- and post-operatively at different intervals of time. In a prospective study done by Hyde et al.,[6] the mean interincisal opening obtained was found to be 42 mm in the surgical group, while 32 mm in the conservative management group with elastic traction and the results were found to be statistically significant. The results of the present study were in accordance with the results of the above-mentioned study which signified the merit of surgical over conservative management of the condylar fractures. In a study by Eckelt et al.,[8] significant differences were found for the parameters of lateral excursions in the surgical (up to 16 mm) as against the closed (up to 13 mm) groups, and it correlated with the findings of the present study too. Carneiro et al.,[10] however, concluded, from their study, that there was no difference in the protrusive and lateral excursive movements whether condylar fracture was treated by surgical or nonsurgical methods. Ellis et al.[11] concluded from their study that the patients treated by closed techniques had a significantly greater percentage of malocclusion compared with the patients treated by open-reduction methods in spite of the fact that the initial displacement of the fractures was greater in patients treated by open reduction. Haug and Assael[12] observed no statistical difference between ORIF and closed reduction with maxillo-mandibular fixation (CRMMF) in terms of occlusion. Hyde et al.[6] found that the VAS scoring revealed statistically significant (P = 0.03) differences with less pain in the operative treatment group (2.9 open) than in the conservative treatment group (13.5 closed). Another study by Haug and Assael[12] reported statistically significant differences in the patient's perception of pain (P < 0.05) with patients treated by CRMMF. The prospective study by Hyde et al.[6] correlated with the same results. The results of the present study were in accordance with the results of the said studies with a significant difference in pain (in terms of VAS) between the surgical and the nonsurgical groups. Danda et al.[1] in their study found four patients (25%) in the conservative while 14 patients (87.5%) in the surgical (ORIF) group having an anatomic reduction of the condyle radiographically. The study by Eckelt et al.[8] showed the correct anatomical position of the fragments that were achieved significantly more often in the operative group in contrast to the closed treatment group. The results of the present study were found to be in accordance with the said studies, again, where good anatomical restoration and symmetry of the height of the ascending ramus was achieved in the surgical group by 6 weeks postoperatively. The results of another study conducted by Ebenezer and Ramalingam[9] showed similar results. The present study clearly suggested and favored surgical management over conservative methods for the treatment, and therefore, gave an adequate insight to maxillofacial surgeons who need to decide whether surgical or, conservative procedures are to be performed for the management of moderately displaced condylar fractures. The limitations of the present study included a relatively smaller sample size and procedures performed by a group of surgeons and not by the same surgeon. Despite the said limitations, the present study recommended for surgical over conservative management of the moderately displaced condylar fractures, however, further studies with larger sample sizes and procedures preferably done by the same surgeon would prove even more constructive as far as definitive conclusions are concerned.
The present study showed the superiority and merits of surgical management over conservative management of moderately displaced condylar fractures. Out of the seven parameters assessed for the evaluation of outcomes for the two different treatment modalities, five parameters, including maximal interincisal mouth opening, lateral excursions with minimal deviation, early relief from pain, and restoration of height of the ramus with symmetry showed statistically significant difference for the surgical group over the conservative group over a period of 2–6 weeks in follow- up. Although conservative procedures can be considered for the management of condylar fractures as they avoid the need for difficult surgical access, and the possibility of injury to the facial nerve with acceptable results, owing to the advances in the instrumentation and techniques for surgery with the benefits of early and superior functional rehabilitation, comfort and anatomical reduction with symmetry, surgery could be considered as the preferred modality of treatment over conservative management of moderately displaced condylar fractures as per the results of the present study.
Clearly Auctoresonline and particularly Psychology and Mental Health Care Journal is dedicated to improving health care services for individuals and populations. The editorial boards' ability to efficiently recognize and share the global importance of health literacy with a variety of stakeholders. Auctoresonline publishing platform can be used to facilitate of optimal client-based services and should be added to health care professionals' repertoire of evidence-based health care resources.
Journal of Clinical Cardiology and Cardiovascular Intervention The submission and review process was adequate. However I think that the publication total value should have been enlightened in early fases. Thank you for all.
Journal of Women Health Care and Issues By the present mail, I want to say thank to you and tour colleagues for facilitating my published article. Specially thank you for the peer review process, support from the editorial office. I appreciate positively the quality of your journal.
Journal of Clinical Research and Reports I would be very delighted to submit my testimonial regarding the reviewer board and the editorial office. The reviewer board were accurate and helpful regarding any modifications for my manuscript. And the editorial office were very helpful and supportive in contacting and monitoring with any update and offering help. It was my pleasure to contribute with your promising Journal and I am looking forward for more collaboration.
We would like to thank the Journal of Thoracic Disease and Cardiothoracic Surgery because of the services they provided us for our articles. The peer-review process was done in a very excellent time manner, and the opinions of the reviewers helped us to improve our manuscript further. The editorial office had an outstanding correspondence with us and guided us in many ways. During a hard time of the pandemic that is affecting every one of us tremendously, the editorial office helped us make everything easier for publishing scientific work. Hope for a more scientific relationship with your Journal.
The peer-review process which consisted high quality queries on the paper. I did answer six reviewers’ questions and comments before the paper was accepted. The support from the editorial office is excellent.
Journal of Neuroscience and Neurological Surgery. I had the experience of publishing a research article recently. The whole process was simple from submission to publication. The reviewers made specific and valuable recommendations and corrections that improved the quality of my publication. I strongly recommend this Journal.
Dr. Katarzyna Byczkowska My testimonial covering: "The peer review process is quick and effective. The support from the editorial office is very professional and friendly. Quality of the Clinical Cardiology and Cardiovascular Interventions is scientific and publishes ground-breaking research on cardiology that is useful for other professionals in the field.
Thank you most sincerely, with regard to the support you have given in relation to the reviewing process and the processing of my article entitled "Large Cell Neuroendocrine Carcinoma of The Prostate Gland: A Review and Update" for publication in your esteemed Journal, Journal of Cancer Research and Cellular Therapeutics". The editorial team has been very supportive.
Testimony of Journal of Clinical Otorhinolaryngology: work with your Reviews has been a educational and constructive experience. The editorial office were very helpful and supportive. It was a pleasure to contribute to your Journal.
Dr. Bernard Terkimbi Utoo, I am happy to publish my scientific work in Journal of Women Health Care and Issues (JWHCI). The manuscript submission was seamless and peer review process was top notch. I was amazed that 4 reviewers worked on the manuscript which made it a highly technical, standard and excellent quality paper. I appreciate the format and consideration for the APC as well as the speed of publication. It is my pleasure to continue with this scientific relationship with the esteem JWHCI.
This is an acknowledgment for peer reviewers, editorial board of Journal of Clinical Research and Reports. They show a lot of consideration for us as publishers for our research article “Evaluation of the different factors associated with side effects of COVID-19 vaccination on medical students, Mutah university, Al-Karak, Jordan”, in a very professional and easy way. This journal is one of outstanding medical journal.
Dear Hao Jiang, to Journal of Nutrition and Food Processing We greatly appreciate the efficient, professional and rapid processing of our paper by your team. If there is anything else we should do, please do not hesitate to let us know. On behalf of my co-authors, we would like to express our great appreciation to editor and reviewers.
As an author who has recently published in the journal "Brain and Neurological Disorders". I am delighted to provide a testimonial on the peer review process, editorial office support, and the overall quality of the journal. The peer review process at Brain and Neurological Disorders is rigorous and meticulous, ensuring that only high-quality, evidence-based research is published. The reviewers are experts in their fields, and their comments and suggestions were constructive and helped improve the quality of my manuscript. The review process was timely and efficient, with clear communication from the editorial office at each stage. The support from the editorial office was exceptional throughout the entire process. The editorial staff was responsive, professional, and always willing to help. They provided valuable guidance on formatting, structure, and ethical considerations, making the submission process seamless. Moreover, they kept me informed about the status of my manuscript and provided timely updates, which made the process less stressful. The journal Brain and Neurological Disorders is of the highest quality, with a strong focus on publishing cutting-edge research in the field of neurology. The articles published in this journal are well-researched, rigorously peer-reviewed, and written by experts in the field. The journal maintains high standards, ensuring that readers are provided with the most up-to-date and reliable information on brain and neurological disorders. In conclusion, I had a wonderful experience publishing in Brain and Neurological Disorders. The peer review process was thorough, the editorial office provided exceptional support, and the journal's quality is second to none. I would highly recommend this journal to any researcher working in the field of neurology and brain disorders.
Dear Agrippa Hilda, Journal of Neuroscience and Neurological Surgery, Editorial Coordinator, I trust this message finds you well. I want to extend my appreciation for considering my article for publication in your esteemed journal. I am pleased to provide a testimonial regarding the peer review process and the support received from your editorial office. The peer review process for my paper was carried out in a highly professional and thorough manner. The feedback and comments provided by the authors were constructive and very useful in improving the quality of the manuscript. This rigorous assessment process undoubtedly contributes to the high standards maintained by your journal.
International Journal of Clinical Case Reports and Reviews. I strongly recommend to consider submitting your work to this high-quality journal. The support and availability of the Editorial staff is outstanding and the review process was both efficient and rigorous.
Thank you very much for publishing my Research Article titled “Comparing Treatment Outcome Of Allergic Rhinitis Patients After Using Fluticasone Nasal Spray And Nasal Douching" in the Journal of Clinical Otorhinolaryngology. As Medical Professionals we are immensely benefited from study of various informative Articles and Papers published in this high quality Journal. I look forward to enriching my knowledge by regular study of the Journal and contribute my future work in the field of ENT through the Journal for use by the medical fraternity. The support from the Editorial office was excellent and very prompt. I also welcome the comments received from the readers of my Research Article.
Dear Erica Kelsey, Editorial Coordinator of Cancer Research and Cellular Therapeutics Our team is very satisfied with the processing of our paper by your journal. That was fast, efficient, rigorous, but without unnecessary complications. We appreciated the very short time between the submission of the paper and its publication on line on your site.
I am very glad to say that the peer review process is very successful and fast and support from the Editorial Office. Therefore, I would like to continue our scientific relationship for a long time. And I especially thank you for your kindly attention towards my article. Have a good day!
"We recently published an article entitled “Influence of beta-Cyclodextrins upon the Degradation of Carbofuran Derivatives under Alkaline Conditions" in the Journal of “Pesticides and Biofertilizers” to show that the cyclodextrins protect the carbamates increasing their half-life time in the presence of basic conditions This will be very helpful to understand carbofuran behaviour in the analytical, agro-environmental and food areas. We greatly appreciated the interaction with the editor and the editorial team; we were particularly well accompanied during the course of the revision process, since all various steps towards publication were short and without delay".
I would like to express my gratitude towards you process of article review and submission. I found this to be very fair and expedient. Your follow up has been excellent. I have many publications in national and international journal and your process has been one of the best so far. Keep up the great work.
We are grateful for this opportunity to provide a glowing recommendation to the Journal of Psychiatry and Psychotherapy. We found that the editorial team were very supportive, helpful, kept us abreast of timelines and over all very professional in nature. The peer review process was rigorous, efficient and constructive that really enhanced our article submission. The experience with this journal remains one of our best ever and we look forward to providing future submissions in the near future.
I am very pleased to serve as EBM of the journal, I hope many years of my experience in stem cells can help the journal from one way or another. As we know, stem cells hold great potential for regenerative medicine, which are mostly used to promote the repair response of diseased, dysfunctional or injured tissue using stem cells or their derivatives. I think Stem Cell Research and Therapeutics International is a great platform to publish and share the understanding towards the biology and translational or clinical application of stem cells.
I would like to give my testimony in the support I have got by the peer review process and to support the editorial office where they were of asset to support young author like me to be encouraged to publish their work in your respected journal and globalize and share knowledge across the globe. I really give my great gratitude to your journal and the peer review including the editorial office.
I am delighted to publish our manuscript entitled "A Perspective on Cocaine Induced Stroke - Its Mechanisms and Management" in the Journal of Neuroscience and Neurological Surgery. The peer review process, support from the editorial office, and quality of the journal are excellent. The manuscripts published are of high quality and of excellent scientific value. I recommend this journal very much to colleagues.
Dr.Tania Muñoz, My experience as researcher and author of a review article in The Journal Clinical Cardiology and Interventions has been very enriching and stimulating. The editorial team is excellent, performs its work with absolute responsibility and delivery. They are proactive, dynamic and receptive to all proposals. Supporting at all times the vast universe of authors who choose them as an option for publication. The team of review specialists, members of the editorial board, are brilliant professionals, with remarkable performance in medical research and scientific methodology. Together they form a frontline team that consolidates the JCCI as a magnificent option for the publication and review of high-level medical articles and broad collective interest. I am honored to be able to share my review article and open to receive all your comments.
“The peer review process of JPMHC is quick and effective. Authors are benefited by good and professional reviewers with huge experience in the field of psychology and mental health. The support from the editorial office is very professional. People to contact to are friendly and happy to help and assist any query authors might have. Quality of the Journal is scientific and publishes ground-breaking research on mental health that is useful for other professionals in the field”.
Dear editorial department: On behalf of our team, I hereby certify the reliability and superiority of the International Journal of Clinical Case Reports and Reviews in the peer review process, editorial support, and journal quality. Firstly, the peer review process of the International Journal of Clinical Case Reports and Reviews is rigorous, fair, transparent, fast, and of high quality. The editorial department invites experts from relevant fields as anonymous reviewers to review all submitted manuscripts. These experts have rich academic backgrounds and experience, and can accurately evaluate the academic quality, originality, and suitability of manuscripts. The editorial department is committed to ensuring the rigor of the peer review process, while also making every effort to ensure a fast review cycle to meet the needs of authors and the academic community. Secondly, the editorial team of the International Journal of Clinical Case Reports and Reviews is composed of a group of senior scholars and professionals with rich experience and professional knowledge in related fields. The editorial department is committed to assisting authors in improving their manuscripts, ensuring their academic accuracy, clarity, and completeness. Editors actively collaborate with authors, providing useful suggestions and feedback to promote the improvement and development of the manuscript. We believe that the support of the editorial department is one of the key factors in ensuring the quality of the journal. Finally, the International Journal of Clinical Case Reports and Reviews is renowned for its high- quality articles and strict academic standards. The editorial department is committed to publishing innovative and academically valuable research results to promote the development and progress of related fields. The International Journal of Clinical Case Reports and Reviews is reasonably priced and ensures excellent service and quality ratio, allowing authors to obtain high-level academic publishing opportunities in an affordable manner. I hereby solemnly declare that the International Journal of Clinical Case Reports and Reviews has a high level of credibility and superiority in terms of peer review process, editorial support, reasonable fees, and journal quality. Sincerely, Rui Tao.
Clinical Cardiology and Cardiovascular Interventions I testity the covering of the peer review process, support from the editorial office, and quality of the journal.
Clinical Cardiology and Cardiovascular Interventions, we deeply appreciate the interest shown in our work and its publication. It has been a true pleasure to collaborate with you. The peer review process, as well as the support provided by the editorial office, have been exceptional, and the quality of the journal is very high, which was a determining factor in our decision to publish with you.
The peer reviewers process is quick and effective, the supports from editorial office is excellent, the quality of journal is high. I would like to collabroate with Internatioanl journal of Clinical Case Reports and Reviews journal clinically in the future time.
Clinical Cardiology and Cardiovascular Interventions, I would like to express my sincerest gratitude for the trust placed in our team for the publication in your journal. It has been a true pleasure to collaborate with you on this project. I am pleased to inform you that both the peer review process and the attention from the editorial coordination have been excellent. Your team has worked with dedication and professionalism to ensure that your publication meets the highest standards of quality. We are confident that this collaboration will result in mutual success, and we are eager to see the fruits of this shared effort.
Dear Dr. Jessica Magne, Editorial Coordinator 0f Clinical Cardiology and Cardiovascular Interventions, I hope this message finds you well. I want to express my utmost gratitude for your excellent work and for the dedication and speed in the publication process of my article titled "Navigating Innovation: Qualitative Insights on Using Technology for Health Education in Acute Coronary Syndrome Patients." I am very satisfied with the peer review process, the support from the editorial office, and the quality of the journal. I hope we can maintain our scientific relationship in the long term.
Dear Monica Gissare, - Editorial Coordinator of Nutrition and Food Processing. ¨My testimony with you is truly professional, with a positive response regarding the follow-up of the article and its review, you took into account my qualities and the importance of the topic¨.
Dear Dr. Jessica Magne, Editorial Coordinator 0f Clinical Cardiology and Cardiovascular Interventions, The review process for the article “The Handling of Anti-aggregants and Anticoagulants in the Oncologic Heart Patient Submitted to Surgery” was extremely rigorous and detailed. From the initial submission to the final acceptance, the editorial team at the “Journal of Clinical Cardiology and Cardiovascular Interventions” demonstrated a high level of professionalism and dedication. The reviewers provided constructive and detailed feedback, which was essential for improving the quality of our work. Communication was always clear and efficient, ensuring that all our questions were promptly addressed. The quality of the “Journal of Clinical Cardiology and Cardiovascular Interventions” is undeniable. It is a peer-reviewed, open-access publication dedicated exclusively to disseminating high-quality research in the field of clinical cardiology and cardiovascular interventions. The journal's impact factor is currently under evaluation, and it is indexed in reputable databases, which further reinforces its credibility and relevance in the scientific field. I highly recommend this journal to researchers looking for a reputable platform to publish their studies.
Dear Editorial Coordinator of the Journal of Nutrition and Food Processing! "I would like to thank the Journal of Nutrition and Food Processing for including and publishing my article. The peer review process was very quick, movement and precise. The Editorial Board has done an extremely conscientious job with much help, valuable comments and advices. I find the journal very valuable from a professional point of view, thank you very much for allowing me to be part of it and I would like to participate in the future!”
Dealing with The Journal of Neurology and Neurological Surgery was very smooth and comprehensive. The office staff took time to address my needs and the response from editors and the office was prompt and fair. I certainly hope to publish with this journal again.Their professionalism is apparent and more than satisfactory. Susan Weiner
My Testimonial Covering as fellowing: Lin-Show Chin. The peer reviewers process is quick and effective, the supports from editorial office is excellent, the quality of journal is high. I would like to collabroate with Internatioanl journal of Clinical Case Reports and Reviews.
My experience publishing in Psychology and Mental Health Care was exceptional. The peer review process was rigorous and constructive, with reviewers providing valuable insights that helped enhance the quality of our work. The editorial team was highly supportive and responsive, making the submission process smooth and efficient. The journal's commitment to high standards and academic rigor makes it a respected platform for quality research. I am grateful for the opportunity to publish in such a reputable journal.
My experience publishing in International Journal of Clinical Case Reports and Reviews was exceptional. I Come forth to Provide a Testimonial Covering the Peer Review Process and the editorial office for the Professional and Impartial Evaluation of the Manuscript.
I would like to offer my testimony in the support. I have received through the peer review process and support the editorial office where they are to support young authors like me, encourage them to publish their work in your esteemed journals, and globalize and share knowledge globally. I really appreciate your journal, peer review, and editorial office.
Dear Agrippa Hilda- Editorial Coordinator of Journal of Neuroscience and Neurological Surgery, "The peer review process was very quick and of high quality, which can also be seen in the articles in the journal. The collaboration with the editorial office was very good."
I would like to express my sincere gratitude for the support and efficiency provided by the editorial office throughout the publication process of my article, “Delayed Vulvar Metastases from Rectal Carcinoma: A Case Report.” I greatly appreciate the assistance and guidance I received from your team, which made the entire process smooth and efficient. The peer review process was thorough and constructive, contributing to the overall quality of the final article. I am very grateful for the high level of professionalism and commitment shown by the editorial staff, and I look forward to maintaining a long-term collaboration with the International Journal of Clinical Case Reports and Reviews.
To Dear Erin Aust, I would like to express my heartfelt appreciation for the opportunity to have my work published in this esteemed journal. The entire publication process was smooth and well-organized, and I am extremely satisfied with the final result. The Editorial Team demonstrated the utmost professionalism, providing prompt and insightful feedback throughout the review process. Their clear communication and constructive suggestions were invaluable in enhancing my manuscript, and their meticulous attention to detail and dedication to quality are truly commendable. Additionally, the support from the Editorial Office was exceptional. From the initial submission to the final publication, I was guided through every step of the process with great care and professionalism. The team's responsiveness and assistance made the entire experience both easy and stress-free. I am also deeply impressed by the quality and reputation of the journal. It is an honor to have my research featured in such a respected publication, and I am confident that it will make a meaningful contribution to the field.
"I am grateful for the opportunity of contributing to [International Journal of Clinical Case Reports and Reviews] and for the rigorous review process that enhances the quality of research published in your esteemed journal. I sincerely appreciate the time and effort of your team who have dedicatedly helped me in improvising changes and modifying my manuscript. The insightful comments and constructive feedback provided have been invaluable in refining and strengthening my work".
I thank the ‘Journal of Clinical Research and Reports’ for accepting this article for publication. This is a rigorously peer reviewed journal which is on all major global scientific data bases. I note the review process was prompt, thorough and professionally critical. It gave us an insight into a number of important scientific/statistical issues. The review prompted us to review the relevant literature again and look at the limitations of the study. The peer reviewers were open, clear in the instructions and the editorial team was very prompt in their communication. This journal certainly publishes quality research articles. I would recommend the journal for any future publications.
Dear Jessica Magne, with gratitude for the joint work. Fast process of receiving and processing the submitted scientific materials in “Clinical Cardiology and Cardiovascular Interventions”. High level of competence of the editors with clear and correct recommendations and ideas for enriching the article.
We found the peer review process quick and positive in its input. The support from the editorial officer has been very agile, always with the intention of improving the article and taking into account our subsequent corrections.
My article, titled 'No Way Out of the Smartphone Epidemic Without Considering the Insights of Brain Research,' has been republished in the International Journal of Clinical Case Reports and Reviews. The review process was seamless and professional, with the editors being both friendly and supportive. I am deeply grateful for their efforts.
To Dear Erin Aust – Editorial Coordinator of Journal of General Medicine and Clinical Practice! I declare that I am absolutely satisfied with your work carried out with great competence in following the manuscript during the various stages from its receipt, during the revision process to the final acceptance for publication. Thank Prof. Elvira Farina
Dear Jessica, and the super professional team of the ‘Clinical Cardiology and Cardiovascular Interventions’ I am sincerely grateful to the coordinated work of the journal team for the no problem with the submission of my manuscript: “Cardiometabolic Disorders in A Pregnant Woman with Severe Preeclampsia on the Background of Morbid Obesity (Case Report).” The review process by 5 experts was fast, and the comments were professional, which made it more specific and academic, and the process of publication and presentation of the article was excellent. I recommend that my colleagues publish articles in this journal, and I am interested in further scientific cooperation. Sincerely and best wishes, Dr. Oleg Golyanovskiy.
Dear Ashley Rosa, Editorial Coordinator of the journal - Psychology and Mental Health Care. " The process of obtaining publication of my article in the Psychology and Mental Health Journal was positive in all areas. The peer review process resulted in a number of valuable comments, the editorial process was collaborative and timely, and the quality of this journal has been quickly noticed, resulting in alternative journals contacting me to publish with them." Warm regards, Susan Anne Smith, PhD. Australian Breastfeeding Association.
Dear Jessica Magne, Editorial Coordinator, Clinical Cardiology and Cardiovascular Interventions, Auctores Publishing LLC. I appreciate the journal (JCCI) editorial office support, the entire team leads were always ready to help, not only on technical front but also on thorough process. Also, I should thank dear reviewers’ attention to detail and creative approach to teach me and bring new insights by their comments. Surely, more discussions and introduction of other hemodynamic devices would provide better prevention and management of shock states. Your efforts and dedication in presenting educational materials in this journal are commendable. Best wishes from, Farahnaz Fallahian.
Dear Maria Emerson, Editorial Coordinator, International Journal of Clinical Case Reports and Reviews, Auctores Publishing LLC. I am delighted to have published our manuscript, "Acute Colonic Pseudo-Obstruction (ACPO): A rare but serious complication following caesarean section." I want to thank the editorial team, especially Maria Emerson, for their prompt review of the manuscript, quick responses to queries, and overall support. Yours sincerely Dr. Victor Olagundoye.
Dear Ashley Rosa, Editorial Coordinator, International Journal of Clinical Case Reports and Reviews. Many thanks for publishing this manuscript after I lost confidence the editors were most helpful, more than other journals Best wishes from, Susan Anne Smith, PhD. Australian Breastfeeding Association.
Dear Agrippa Hilda, Editorial Coordinator, Journal of Neuroscience and Neurological Surgery. The entire process including article submission, review, revision, and publication was extremely easy. The journal editor was prompt and helpful, and the reviewers contributed to the quality of the paper. Thank you so much! Eric Nussbaum, MD
Dr Hala Al Shaikh This is to acknowledge that the peer review process for the article ’ A Novel Gnrh1 Gene Mutation in Four Omani Male Siblings, Presentation and Management ’ sent to the International Journal of Clinical Case Reports and Reviews was quick and smooth. The editorial office was prompt with easy communication.
Dear Erin Aust, Editorial Coordinator, Journal of General Medicine and Clinical Practice. We are pleased to share our experience with the “Journal of General Medicine and Clinical Practice”, following the successful publication of our article. The peer review process was thorough and constructive, helping to improve the clarity and quality of the manuscript. We are especially thankful to Ms. Erin Aust, the Editorial Coordinator, for her prompt communication and continuous support throughout the process. Her professionalism ensured a smooth and efficient publication experience. The journal upholds high editorial standards, and we highly recommend it to fellow researchers seeking a credible platform for their work. Best wishes By, Dr. Rakhi Mishra.
Dear Jessica Magne, Editorial Coordinator, Clinical Cardiology and Cardiovascular Interventions, Auctores Publishing LLC. The peer review process of the journal of Clinical Cardiology and Cardiovascular Interventions was excellent and fast, as was the support of the editorial office and the quality of the journal. Kind regards Walter F. Riesen Prof. Dr. Dr. h.c. Walter F. Riesen.
Dear Ashley Rosa, Editorial Coordinator, International Journal of Clinical Case Reports and Reviews, Auctores Publishing LLC. Thank you for publishing our article, Exploring Clozapine's Efficacy in Managing Aggression: A Multiple Single-Case Study in Forensic Psychiatry in the international journal of clinical case reports and reviews. We found the peer review process very professional and efficient. The comments were constructive, and the whole process was efficient. On behalf of the co-authors, I would like to thank you for publishing this article. With regards, Dr. Jelle R. Lettinga.
Dear Clarissa Eric, Editorial Coordinator, Journal of Clinical Case Reports and Studies, I would like to express my deep admiration for the exceptional professionalism demonstrated by your journal. I am thoroughly impressed by the speed of the editorial process, the substantive and insightful reviews, and the meticulous preparation of the manuscript for publication. Additionally, I greatly appreciate the courteous and immediate responses from your editorial office to all my inquiries. Best Regards, Dariusz Ziora
Dear Chrystine Mejia, Editorial Coordinator, Journal of Neurodegeneration and Neurorehabilitation, Auctores Publishing LLC, We would like to thank the editorial team for the smooth and high-quality communication leading up to the publication of our article in the Journal of Neurodegeneration and Neurorehabilitation. The reviewers have extensive knowledge in the field, and their relevant questions helped to add value to our publication. Kind regards, Dr. Ravi Shrivastava.
Dear Clarissa Eric, Editorial Coordinator, Journal of Clinical Case Reports and Studies, Auctores Publishing LLC, USA Office: +1-(302)-520-2644. I would like to express my sincere appreciation for the efficient and professional handling of my case report by the ‘Journal of Clinical Case Reports and Studies’. The peer review process was not only fast but also highly constructive—the reviewers’ comments were clear, relevant, and greatly helped me improve the quality and clarity of my manuscript. I also received excellent support from the editorial office throughout the process. Communication was smooth and timely, and I felt well guided at every stage, from submission to publication. The overall quality and rigor of the journal are truly commendable. I am pleased to have published my work with Journal of Clinical Case Reports and Studies, and I look forward to future opportunities for collaboration. Sincerely, Aline Tollet, UCLouvain.
Dear Ms. Mayra Duenas, Editorial Coordinator, International Journal of Clinical Case Reports and Reviews. “The International Journal of Clinical Case Reports and Reviews represented the “ideal house” to share with the research community a first experience with the use of the Simeox device for speech rehabilitation. High scientific reputation and attractive website communication were first determinants for the selection of this Journal, and the following submission process exceeded expectations: fast but highly professional peer review, great support by the editorial office, elegant graphic layout. Exactly what a dynamic research team - also composed by allied professionals - needs!" From, Chiara Beccaluva, PT - Italy.
Dear Maria Emerson, Editorial Coordinator, we have deeply appreciated the professionalism demonstrated by the International Journal of Clinical Case Reports and Reviews. The reviewers have extensive knowledge of our field and have been very efficient and fast in supporting the process. I am really looking forward to further collaboration. Thanks. Best regards, Dr. Claudio Ligresti
Dear Chrystine Mejia, Editorial Coordinator, Journal of Neurodegeneration and Neurorehabilitation. “The peer review process was efficient and constructive, and the editorial office provided excellent communication and support throughout. The journal ensures scientific rigor and high editorial standards, while also offering a smooth and timely publication process. We sincerely appreciate the work of the editorial team in facilitating the dissemination of innovative approaches such as the Bonori Method.” Best regards, Dr. Matteo Bonori.
I recommend without hesitation submitting relevant papers on medical decision making to the International Journal of Clinical Case Reports and Reviews. I am very grateful to the editorial staff. Maria Emerson was a pleasure to communicate with. The time from submission to publication was an extremely short 3 weeks. The editorial staff submitted the paper to three reviewers. Two of the reviewers commented positively on the value of publishing the paper. The editorial staff quickly recognized the third reviewer’s comments as an unjust attempt to reject the paper. I revised the paper as recommended by the first two reviewers.
Dear Maria Emerson, Editorial Coordinator, Journal of Clinical Research and Reports. Thank you for publishing our case report: "Clinical Case of Effective Fetal Stem Cells Treatment in a Patient with Autism Spectrum Disorder" within the "Journal of Clinical Research and Reports" being submitted by the team of EmCell doctors from Kyiv, Ukraine. We much appreciate a professional and transparent peer-review process from Auctores. All research Doctors are so grateful to your Editorial Office and Auctores Publishing support! I amiably wish our article publication maintained a top quality of your International Scientific Journal. My best wishes for a prosperity of the Journal of Clinical Research and Reports. Hope our scientific relationship and cooperation will remain long lasting. Thank you very much indeed. Kind regards, Dr. Andriy Sinelnyk Cell Therapy Center EmCell
Dear Editorial Team, Clinical Cardiology and Cardiovascular Interventions. It was truly a rewarding experience to work with the journal “Clinical Cardiology and Cardiovascular Interventions”. The peer review process was insightful and encouraging, helping us refine our work to a higher standard. The editorial office offered exceptional support with prompt and thoughtful communication. I highly value the journal’s role in promoting scientific advancement and am honored to be part of it. Best regards, Meng-Jou Lee, MD, Department of Anesthesiology, National Taiwan University Hospital.
Dear Editorial Team, Journal-Clinical Cardiology and Cardiovascular Interventions, “Publishing my article with Clinical Cardiology and Cardiovascular Interventions has been a highly positive experience. The peer-review process was rigorous yet supportive, offering valuable feedback that strengthened my work. The editorial team demonstrated exceptional professionalism, prompt communication, and a genuine commitment to maintaining the highest scientific standards. I am very pleased with the publication quality and proud to be associated with such a reputable journal.” Warm regards, Dr. Mahmoud Kamal Moustafa Ahmed
Dear Maria Emerson, Editorial Coordinator of ‘International Journal of Clinical Case Reports and Reviews’, I appreciate the opportunity to publish my article with your journal. The editorial office provided clear communication during the submission and review process, and I found the overall experience professional and constructive. Best regards, Elena Salvatore.
Dear Mayra Duenas, Editorial Coordinator of ‘International Journal of Clinical Case Reports and Reviews Herewith I confirm an optimal peer review process and a great support of the editorial office of the present journal
Dear Editorial Team, Clinical Cardiology and Cardiovascular Interventions. I am really grateful for the peers review; their feedback gave me the opportunity to reflect on the message and impact of my work and to ameliorate the article. The editors did a great job in addition by encouraging me to continue with the process of publishing.
Dear Cecilia Lilly, Editorial Coordinator, Endocrinology and Disorders, Thank you so much for your quick response regarding reviewing and all process till publishing our manuscript entitled: Prevalence of Pre-Diabetes and its Associated Risk Factors Among Nile College Students, Sudan. Best regards, Dr Mamoun Magzoub.
International Journal of Clinical Case Reports and Reviews is a high quality journal that has a clear and concise submission process. The peer review process was comprehensive and constructive. Support from the editorial office was excellent, since the administrative staff were responsive. The journal provides a fast and timely publication timeline.
Dear Maria Emerson, Editorial Coordinator of International Journal of Clinical Case Reports and Reviews, What distinguishes International Journal of Clinical Case Report and Review is not only the scientific rigor of its publications, but the intellectual climate in which research is evaluated. The submission process is refreshingly free of unnecessary formal barriers and bureaucratic rituals that often complicate academic publishing without adding real value. The peer-review system is demanding yet constructive, guided by genuine scientific dialogue rather than hierarchical or authoritarian attitudes. Reviewers act as collaborators in improving the manuscript, not as gatekeepers imposing arbitrary standards. This journal offers a rare balance: high methodological standards combined with a respectful, transparent, and supportive editorial approach. In an era where publishing can feel more burdensome than research itself, this platform restores the original purpose of peer review — to refine ideas, not to obstruct them Prof. Perlat Kapisyzi, FCCP PULMONOLOGIST AND THORACIC IMAGING.
Dear Mayra Duenas, Editorial Coordinator of the journal IJCCR, I write here a little on my experience as an author submitting to the International Journal of Clinical Case Reports and Reviews (IJCCR). This was my first submission to IJCCR and my manuscript was inherently an outsider’s effort. It attempted to broadly identify and then make some sense of life’s under-appreciated mysteries. I initially had responded to a request for possible submissions. I then contacted IJCCR with a tentative topic for a manuscript. They quickly got back with an approval for the submission, but with a particular requirement that it be medically relevant. I then put together a manuscript and submitted it. After the usual back-and-forth over forms and formality, the manuscript was sent off for reviews. Within 2 weeks I got back 4 reviews which were both helpful and also surprising. Surprising in that the topic was somewhat foreign to medical literature. My subsequent updates in response to the reviewer comments went smoothly and in short order I had a series of proofs to evaluate. All in all, the whole publication process seemed outstanding. It was both helpful in terms of the paper’s content and also in terms of its efficient and friendly communications. Thank you all very much. Sincerely, Ted Christopher, Rochester, NY.
Dear Grace Pierce, Editorial Coordinator of the journal IJCCR, I had a very positive experience with Auctores - Journal throughout the publication process. The Editorial Team was highly responsive, professional, and supportive at every stage. I would like to extend my sincere thanks to the Editor: Grace Pierce, for her guidance and assistance. The peer-review process was smooth and constructive, helping improve the quality of my work. I would gladly recommend Auctores Journal to fellow researchers and authors. Dr. SABITA SINHA, Medical Oncologist, MD (Electro Homeopathy).
Dear Maria Emerson, Editorial Coordinator of - Journal of Clinical Research and Reports. ''I am pleased to provide this testimonial following the publication of our recent case report in this journal. The peer review process was rigorous, constructive, thorough, and conducted in a timely manner. The reviewers’ comments were thoughtful, detailed, and highly constructive, contributing substantially to the refinement, clarity, and scientific robustness of our manuscript. The process was conducted with professionalism and academic integrity throughout. The support provided by the editorial office was exemplary. Communication was consistently prompt, clear, and courteous at all stages of the submission and publication process. The editorial team demonstrated a high level of organization and responsiveness, ensuring that all queries were addressed efficiently and that the process remained transparent and well-coordinated. The overall quality of the journal is reflected in its strong editorial standards, commitment to scientific excellence, and dedication to publishing clinically meaningful research. It has been a privilege to publish our work in this journal, and we would welcome the opportunity to contribute further in the future.'' Best wishes from, Dr. Efstratios Trogkanis, Cardiologist.
Dear Reader: We have published several articles in the Auctores Publishing, LLC, journal, Clinical Medical Reviews and Reports in recent years (CMRR). This is an ‘open access’ journal and the following are our observations. From the initial invitation to submit an article, to the final edits of galley proofs, we have found CMRR personnel to be professional, responsive, rapid and thorough. This entire process begins with Catherine Mitchell, Editorial Coordinator. She is simply outstanding, and, I believe, unparalleled in her capacity. I cannot imagine a more responsive and dedicated Editorial Coordinator. As I read the dates and timing of her correspondence with us, it seems that she never sleeps. I hope Auctores Publishing, LLC, appreciates her efforts as much as these authors do. Thank you to Auctores Publishing, LLC, to the Editorial Staff/Board, and to Catherine Mitchell from a grateful author(s).